Describe Ganglia And Compare Differences Between Its Types 5 marks

Reading File
Finding Sources
Finding Sources
Reading File
Reading File
Reading File
Loading Image
Loading Image
Here is a comprehensive 5-mark answer on Ganglia:

Ganglia — Description and Types

Definition

Ganglia (singular: ganglion) are ovoid structures in the peripheral nervous system (PNS) containing clusters of neuronal cell bodies and their surrounding glial satellite cells, supported by delicate connective tissue and enclosed by a denser capsule. They function as relay stations for nerve impulses — at least one nerve enters and another exits from each ganglion. The direction of impulse transmission determines whether a ganglion is sensory or autonomic.
Junqueira's Basic Histology, Text and Atlas, 17e

Types of Ganglia

Ganglia are broadly divided into two main categories based on the direction and nature of the nerve impulses they transmit:

1. Sensory (Afferent) Ganglia

Sensory ganglia receive afferent impulses directed toward the CNS. They are associated with:
  • Cranial nerves → cranial ganglia
  • Dorsal roots of spinal nerves → dorsal root (spinal) ganglia
Key features:
  • Large neuronal cell bodies with prominent nuclei
  • Pseudounipolar neurons — relay information from peripheral nerve endings to the gray matter of the spinal cord
  • Each cell body is completely enveloped by satellite cells (thin, sheetlike glial cells)
  • Well-developed, distinct connective tissue capsule continuous with the epineurium of the nerve
  • No blood-nerve barrier equivalent to the blood-brain barrier
  • Fascicles of nerve fibers enter and leave the ganglion
Histology:
Sensory ganglion (G) with distinct capsule (C) and nerve fiber fascicles (F). Kluver-Barrera stain ×56
Fig (a): Sensory ganglion (G) showing distinct connective tissue capsule (C) and nerve fiber fascicles (F) — Kluver-Barrera stain ×56
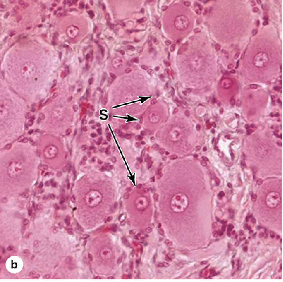
Higher magnification showing satellite cells (S) enveloping large neuronal perikarya — H&E ×400
Fig (b): Satellite cells (S) forming sheetlike envelopes around large sensory neuronal cell bodies — H&E ×400

2. Autonomic (Efferent) Ganglia

Autonomic ganglia are efferent — they regulate smooth muscle, cardiac muscle, glands, and visceral organs, maintaining homeostasis.
They use a two-neuron chain:
  1. Preganglionic neuron — cell body in the CNS; axon uses acetylcholine as the neurotransmitter at the synapse
  2. Postganglionic (second) neuronmultipolar, located in the peripheral ganglion; axon travels to the effector organ
Autonomic ganglia are subdivided into:

a) Sympathetic Ganglia

  • Cell bodies of preganglionic neurons arise from thoracic and lumbar spinal cord segments (T1–L2)
  • Second-order multipolar neurons located in small ganglia along the vertebral column (paravertebral chain ganglia) or prevertebral ganglia
  • Functionally: "fight or flight" responses
  • Cervical sympathetic ganglia include the Superior, Middle, and Inferior (Stellate) cervical ganglia, which supply the heart, head, and neck — Gray's Anatomy for Students
  • Satellite cells are present but may differ slightly from sensory ganglia

b) Parasympathetic Ganglia

  • Cell bodies of preganglionic neurons in medulla, midbrain, and sacral spinal cord (S2–S4)
  • Second-order neurons found in very small ganglia located near or within the effector organs (e.g., walls of the stomach and intestines) — these are called intramural ganglia
  • Capsules may be poorly defined or absent; perikarya and satellite cells form a loosely organized plexus within surrounding connective tissue
  • Functionally: "rest and digest"

Comparison Table: Sensory vs. Autonomic Ganglia

FeatureSensory GangliaAutonomic Ganglia
Impulse directionAfferent (to CNS)Efferent (from CNS to effector)
Neuron typePseudounipolarMultipolar
LocationDorsal root / cranial nerve rootsParavertebral, prevertebral, or intramural
CapsuleWell-developed, distinctLess developed; may be absent in parasympathetic
Satellite cellsProminent, sheet-like, envelop each cell bodyPresent but may be inconspicuous (intramural)
Neurotransmitter— (sensory relay)Acetylcholine (preganglionic); NE or ACh (postganglionic)
ExamplesDorsal root ganglion, trigeminal ganglionCervical sympathetic ganglia, ciliary ganglion, enteric ganglia

Sources:
  • Junqueira's Basic Histology, Text and Atlas, 17e — Ganglia, Sensory Ganglia, Autonomic Ganglia
  • Gray's Anatomy for Students — Cervical Ganglia
This is a shared conversation. Sign in to Orris to start your own chat.