Ependymal cells appearance

Reading File
Finding Sources
Finding Sources
Reading File
Reading File
Reading File
Loading Image
Loading Image
Loading Image

Ependymal Cells — Appearance

Ependymal cells are a type of glial cell that form an epithelium-like lining throughout the CNS ventricular system and spinal canal. Here is a comprehensive description of their appearance:

Light Microscopy

Shape & Arrangement
  • Form a single layer of cuboidal-to-columnar cells lining the fluid-filled ventricles of the brain and the central canal of the spinal cord
  • Cells are arranged in a continuous sheet resembling simple epithelium
  • At the ventricular surface, they appear as a uniform row of tall, closely packed cells
Apical surface (facing the lumen)
  • Bears cilia — the most distinctive feature, visible on H&E as a fuzzy/brush border at the luminal edge; these cilia beat to circulate CSF
  • Bears long microvilli (involved in CSF absorption)
  • Apical junctional complexes (like zonulae occludentes and adherentes) bind adjacent cells tightly
Basal surface (facing the neuropil)
  • The basal ends of ependymal cells taper and extend branching processes that penetrate into the adjacent neuropil
  • No basal lamina is present — a key distinction from true epithelia
  • At the TEM level: numerous basal infoldings that interdigitate with astrocyte processes
Nuclei
  • Oval to round, euchromatic nuclei located toward the basal pole of the cell

Histological Images

Fig. (a) — Cerebral ventricle lining, H&E ×100:
Ependymal cells (E) lining a cerebral ventricle (V), with neuropil (N) on the outside — Junqueira's Basic Histology
Columnar ependymal cells (E) line the ventricle (V), extending cilia into the lumen. Basal ends taper into the neuropil (N).

Fig. (b) — Central canal of spinal cord, H&E ×200:
Ependymal cells (E) forming a ring around the central canal (C) of the spinal cord — Junqueira's Basic Histology
Ependymal cells (E) encircle the central canal (C) in a perfect single-layered ring with prominent apical cilia.

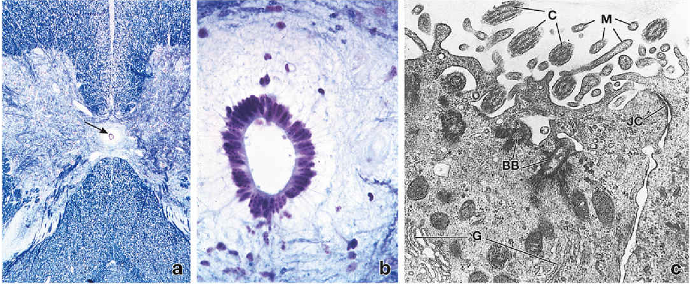
Fig. (c) — Light microscopy + TEM of ependymal lining:
Ependymal lining: toluidine blue LM (a,b) and TEM showing cilia (C), microvilli (M), junctional complex (JC), basal bodies (BB), Golgi (G) — Histology: A Text and Atlas
  • (a) Toluidine blue at low power (×20): central canal seen in context of spinal cord
  • (b) Higher magnification (×340): single layer of columnar ependymal cells clearly visible
  • (c) TEM (×20,000): apical surface shows cilia (C) and microvilli (M), joined by a junctional complex (JC); basal bodies (BB) and Golgi apparatus (G) visible in apical cytoplasm

Key Distinguishing Features Summary

FeatureEpendymal Cells
ShapeCuboidal to columnar
ArrangementSingle layer (simple epithelium-like)
Apical surfaceCilia + microvilli
Lateral junctionsJunctional complexes (apical)
Basal laminaAbsent
Basal processesTaper and branch into neuropil
LocationVentricles of brain + central canal of spinal cord

Specialized Variant: Tanycytes

A specialized subtype called tanycytes is found mainly in the floor of the third ventricle. They differ in that:
  • They lack cilia on their free surface
  • Their cell body gives rise to a long process projecting into the brain parenchyma
  • They transport substances from CSF to the hypothalamo-portal blood circulation and are sensitive to glucose, potentially monitoring energy balance
Junqueira's Basic Histology, p. 438–439; Histology: A Text and Atlas, p. 974
This is a shared conversation. Sign in to Orris to start your own chat.