Pseudogout

Reading File
Finding Sources
Finding Sources
Reading File
Reading File
Reading File
Reading File
Reading File
Searching Images

pseudogout calcium pyrophosphate crystals polarized light microscopy chondrocalcinosis

Searching PubMed

calcium pyrophosphate deposition disease treatment

Loading Image
Loading Image

Pseudogout (Calcium Pyrophosphate Deposition Disease)

Definition & Pathophysiology

Pseudogout is the acute inflammatory arthritis caused by calcium pyrophosphate dihydrate (CPPD) crystals deposited in articular cartilage, menisci, and intervertebral discs. When deposits enlarge and rupture into the joint space, they trigger inflammasome activation in macrophages — the same mechanism as in gout — producing an acute synovitis. Inflammation is generally milder than gout.
The condition is divided into three etiological types:
TypeMechanism
Sporadic (idiopathic)Aging chondrocytes produce excess extracellular inorganic pyrophosphate; most common
HereditaryAutosomal dominant mutations in pyrophosphate transport channels → early-onset disease
Secondary (metabolic)See associated conditions below

Associated Metabolic Conditions

Early or atypical CPPD should prompt screening for:
  • Hyperparathyroidism (↑ PTH → ↑ extracellular Ca²⁺)
  • Hemochromatosis (iron deposition alters pyrophosphatase activity)
  • Hypomagnesemia (Gitelman syndrome) — Mg²⁺ is a pyrophosphatase cofactor
  • Hypophosphatasia (↓ alkaline phosphatase → ↑ inorganic pyrophosphate)
  • Hypothyroidism, diabetes, prior joint trauma/surgery

Clinical Presentations

CPPD is frequently asymptomatic (lanthanic), recognized incidentally on imaging. When symptomatic, it presents in four patterns:
PatternDescription
Acute pseudogoutAcute mono- or oligoarthritis; ~60% of symptomatic cases
Pseudo-OAChronic polyarticular degeneration mimicking osteoarthritis; knees, wrists, MCPs
Pseudo-RAChronic inflammatory polyarthritis; can mimic rheumatoid arthritis
Asymptomatic CPPDChondrocalcinosis on imaging only

Acute Attack Features

  • Most common joint: knee (followed by wrist, elbow, shoulder, ankle)
  • Warm, swollen, acutely tender joint — similar to gout
  • Patients tend to be older than typical gout patients
  • Onset is less abrupt than gout; attacks can persist weeks to months
  • ~50% of pseudo-OA patients experience superimposed acute attacks

Diagnosis

Synovial Fluid Analysis (Definitive)

  • Crystal morphology: rhomboid-shaped, 0.5–5 μm
  • Birefringence: weakly positively birefringent under compensated polarized light (blue when parallel to slow axis — contrast with gout's needle-shaped, negatively birefringent urate crystals)
  • Leukocyte count during acute attack: 15,000–30,000 cells/mm³, neutrophil predominance
  • ⚠️ Crystals and concurrent infection can coexist — always consider septic arthritis
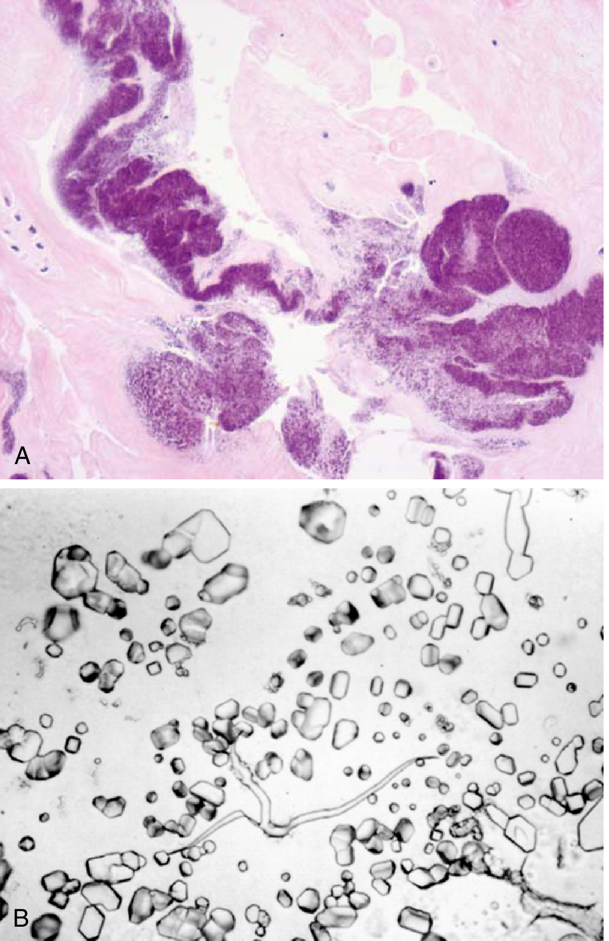
Pseudogout histopathology: (A) Amorphous basophilic crystal deposits in cartilage on H&E stain. (B) Rhomboid calcium pyrophosphate crystals on smear preparation.
Robbins Basic Pathology — Fig. 19.41: (A) CPPD deposits in cartilage as amorphous basophilic aggregates. (B) Rhomboid CPP crystals on smear.

Imaging

  • Chondrocalcinosis on plain radiograph: linear calcifications in articular cartilage — supportive but not diagnostic; absent in >50% of cases
  • Best views: wrists, knees, pubic symphysis
  • Hook-like osteophytes at MCPs (unlike the erosions of RA)
  • DECT can identify CPPD deposits (distinct from urate on dual-energy CT)
Multimodal CPPD identification: (a) DECT showing green CPPD deposits in meniscus, (b) gross chalky deposits, (c) polarized light histology with rhomboid crystals, (d) AP knee X-ray showing chondrocalcinosis in meniscal fibrocartilage

Metabolic Workup (especially in young patients or severe disease)

Serum: calcium, phosphorus, PTH, iron/TIBC/ferritin, alkaline phosphatase, magnesium

Crystal Comparison: Pseudogout vs. Gout

FeaturePseudogout (CPPD)Gout (MSU)
CrystalCalcium pyrophosphateMonosodium urate
ShapeRhomboidNeedle-shaped
BirefringenceWeakly positive (blue ∥ slow axis)Strongly negative (yellow ∥ slow axis)
Typical jointKnee, wrist1st MTP, ankle
Chondrocalcinosis on X-rayPresentAbsent
Serum uric acidNormalElevated
Onset patternLess abrupt, longer attacksAbrupt, nocturnal

Treatment

Acute Attack

There are no agents that prevent or reverse crystal formation; therapy targets inflammation:
  1. NSAIDs — first-line for most patients (short high-dose course); may be contraindicated in elderly or those with renal/GI comorbidities
  2. Colchicine — effective via inhibition of PMN activity; narrow therapeutic window limits use in elderly
  3. Corticosteroids — intra-articular injection (rapid relief after ruling out infection) or systemic oral course
  4. Joint aspiration — both diagnostic and provides symptomatic relief

Chronic/Prophylactic

  • Low-dose colchicine 0.6 mg twice daily for prevention of recurrent attacks
  • NSAIDs for chronic pseudo-OA
  • Methotrexate, IL-1 inhibitors, anti-TNF-α — show promise in small studies for refractory or periarticular disease
  • Treat underlying metabolic disease (e.g., hyperparathyroidism, hypomagnesemia) — may improve arthritis in those subtypes, though benefit on crystal burden in hemochromatosis is uncertain

Key Points

  • CPPD is primarily a disease of the elderly; consider underlying metabolic disease in young patients
  • Definitive diagnosis requires synovial fluid crystal identification under polarized light
  • Chondrocalcinosis on X-ray is supportive but neither sensitive nor specific
  • ~50% of affected individuals develop significant joint damage over time
  • No disease-modifying therapy exists; treatment is entirely symptomatic

Sources: Robbins & Kumar Basic Pathology 10e; Goldman-Cecil Medicine; Washington Manual of Medical Therapeutics; Rosen's Emergency Medicine; Miller's Review of Orthopaedics 9e

Septic arthritis

Finding Sources
Finding Sources
Reading File
Reading File
Reading File
Reading File
Reading File
Finding Sources
Reading File
Reading File
Reading File
Searching PubMed

"septic arthritis" diagnosis management

Reading File
Reading File
Searching Images

septic arthritis joint aspiration synovial fluid diagnosis

Loading Image
Loading Image

Septic Arthritis

Definition & Overview

Septic arthritis is invasion of a joint by an infectious agent — bacterial arthritis being the most common subset — resulting in organism proliferation and acute inflammation. It is an orthopedic emergency: even with prompt treatment, it leads to permanent loss of function in 25–50% of patients. Incidence in native joints is ~2–10/100,000; in patients with rheumatoid arthritis this rises to 30–70/100,000.

Pathogenesis & Routes of Infection

RouteNotes
Hematogenous spread (~75%)Most common; bacteremia seeds the highly vascular synovium
Direct inoculationTrauma, bites, arthrocentesis (rare: <1/10,000), arthroscopy
Contiguous spreadExtension from adjacent osteomyelitis (especially knee, hip, shoulder — where synovium attaches to metaphysis)
IatrogenicPost-joint injection or surgery
Bacteria trigger synovial hyperplasia, inflammatory cell infiltration, and release of proteases and cytokines that destroy cartilage and bone. Bacterial toxins and superantigens (e.g., staphylococcal toxic shock) compound this damage.

Microbiology

S. aureus is the single most common organism overall. Pathogen varies by clinical context:
Patient GroupLikely Organisms
Healthy adults, sexually activeS. aureus, N. gonorrhoeae, Streptococci
Elderly / comorbid (RA, DM, cancer)S. aureus, gram-negative bacilli
Injection drug usersS. aureus, gram-negatives; sternoclavicular involvement suggests IVDU
ChildrenS. aureus, Group A Strep; neonates add gram-negatives
Sickle cell diseaseSalmonella (increasingly also S. aureus)
Immunocompromised / HIVMRSA, gram-negatives, fungi, mycobacteria
Prosthetic jointCoagulase-negative staphylococci, S. aureus

Risk Factors

Penetrating trauma, RA, OA, DM, alcohol use disorder, injection drug use, cutaneous ulcers, indwelling IV catheters, cancer, immunosuppressive/biologic therapies, advanced age, low socioeconomic status.

Clinical Features

  • Onset: Acute (faster than osteomyelitis); the joint becomes exquisitely painful over hours
  • Monoarticular in >80% of cases
  • Most common joint: Knee (>50%), hip (25%), shoulder (15%) in adults; lower extremity predominates in all age groups
  • Fever in >80% of children, ~40% of adults; immunosuppressed patients may be afebrile
  • Signs: Swelling, erythema, warmth, exquisite tenderness; joint held in flexion (position of comfort); pain markedly worsened with passive range of motion
  • Children: May present with pseudoparalysis or refusal to bear weight
  • Polyarticular (<10–20%): seen in RA, SLE, immunocompromised patients — these patients may appear deceptively well but can decompensate rapidly

Synovial Fluid Analysis — Cornerstone of Diagnosis

Arthrocentesis is mandatory whenever septic arthritis is suspected. Anticoagulation is generally NOT a contraindication given the emergent nature.
Synovial fluid analysis: (a) purulent, hemorrhagic aspirate from septic arthritis; (b) Gram stain showing gram-positive cocci in short chains (Streptococcus pyogenes)
ParameterSepticInflammatory (gout, RA)Non-inflammatory (OA)Normal
AppearanceTurbid, purulentTurbid/cloudyClear/yellowClear
WBC count>50,000/mm³ (often much higher)2,000–50,000<2,000<200
% PMNs>75–90%>50%<25%<25%
Gram stainPositive <50%NegativeNegativeNegative
CulturePositive (gold standard)NegativeNegative
CrystalsAbsent (but coexistence possible)Present (gout/CPPD)Absent
Key caveat: A WBC <50,000/mm³ does not exclude septic arthritis, especially in immunocompromised patients. Conversely, the presence of crystals does not exclude concurrent infection — if WBC >50,000, treat both.
Synovial fluid analysis algorithm: from aspiration indication through WBC count, PMN%, crystal identification, to differential diagnosis
Harrison's Principles of Internal Medicine — Synovial fluid diagnostic algorithm

Diagnostic Workup

Laboratory

  • Blood cultures × 2 — positive in up to 50%; obtain before starting antibiotics
  • Serum WBC: leukocytosis in only ~50% of cases — insensitive
  • ESR: elevated in ~90%; CRP: useful to track resolution
  • Procalcitonin: shows promise but needs further validation
  • In young patients/IVDU: urethra/cervix/pharynx/rectal cultures for gonococcal disease
  • Metabolic workup if unusual organism suspected: iron studies, complement levels

Imaging

  • Plain radiography: usually normal early; provides baseline; may show joint space widening or erosion
  • Ultrasound: confirms effusion; guides arthrocentesis of deep joints (hip, sacroiliac)
  • MRI with contrast: preferred modality for diagnostic uncertainty and assessment of concurrent osteomyelitis, soft tissue involvement, fibrocartilaginous joints
  • CT: useful for sacroiliac or sternoclavicular joints
  • Bone scintigraphy: detects infection earlier than other modalities (increased symmetric uptake)

Differential Diagnosis

ConditionKey distinguishing features
Gout/PseudogoutCrystals on synovial fluid; WBC typically <50,000; may coexist with infection
Reactive arthritisMigratory polyarthritis; less effusion; WBC usually <50,000; follows GI/GU infection
Transient (toxic) synovitisChildren 3 months–6 years; hip; afebrile; normal WBC/ESR; self-limited
OsteomyelitisMay produce adjacent joint effusion; both can coexist
Juvenile idiopathic arthritisMore gradual onset; often polyarticular
Lyme arthritisEndemic area; less debilitated; check serology
RA/Psoriatic arthritisChronic course; septic arthritis can supervene — the sudden worsening of one joint in well-controlled polyarthritis warrants aspiration
Rheumatic feverMigratory polyarthritis; may mimic gonococcal bacteremia

Treatment

1. Antibiotics — Empirical (Start ASAP After Cultures)

Gram stain guides initial selection; modify when sensitivities return. Duration: 2–6 weeks (typically 4 weeks for S. aureus).
Gram Stain Result / Clinical ScenarioEmpirical Regimen
Gram-positive cocciVancomycin 15 mg/kg IV (covers MRSA)
Gram-negative bacilliCeftazidime, cefepime, imipenem, meropenem, or pip-tazo
No organisms on Gram stain (healthy adult)Vancomycin alone
No organisms + immunocompromised/IVDUVancomycin + anti-pseudomonal agent (cefepime 2g IV or imipenem)
N. gonorrhoeae suspectedCeftriaxone 1g IV q24h; also treat for chlamydia (doxycycline 100mg BID × 7 days)
Sickle cellVancomycin + ciprofloxacin (Salmonella coverage)
MSSA confirmedSwitch to nafcillin/oxacillin or cefazolin

Targeted Therapy (Goldman-Cecil Table)

OrganismFirst ChoiceAlternative
MSSANafcillin/oxacillin 1.5–2g IV q4–6h or cefazolinVancomycin or daptomycin
MRSAVancomycin or daptomycin 6–10 mg/kg q24hLinezolid; dalbavancin
Penicillin-sensitive StrepPenicillin G or ceftriaxoneVancomycin
Enterobacteriaceae / SalmonellaCeftriaxoneCiprofloxacin
P. aeruginosaCefepime 2g IV q8–12hCeftazidime, imipenem, ciprofloxacin

2. Joint Drainage

  • Serial needle aspiration: standard initial approach for most joints; performed daily until clinical improvement
  • Arthroscopic irrigation and debridement: preferred for hip (deep joint, difficult needle access); post-ACL reconstruction septic arthritis; failure to respond to needle aspiration
  • Open surgical drainage: reserved for life-threatening complications (necrotizing fasciitis), failed arthroscopic management, or anatomically inaccessible joints
  • Gonococcal arthritis rarely requires surgery

3. Adjunctive Measures

  • Immobilization initially, then early mobilization to prevent contractures
  • Dexamethasone (short course) in children may speed symptom resolution
  • Treat underlying source (cellulitis, UTI, pneumonia, endocarditis)

Gonococcal Arthritis — Special Considerations

  • Most common cause of infectious arthritis in sexually active adults <40 years
  • Two presentations:
    1. Purulent monoarthritis (large or distal joints, elbows/knees)
    2. Triad: tenosynovitis + dermatitis (pustular/vesicular skin lesions) + polyarthralgias — associated with bacteremia
  • Synovial fluid cultures often negative (positive in only 25–50%); culture pharynx, cervix/urethra, rectum, and blood — PCR of all sites increases yield
  • Screen for coexisting STIs (syphilis, HIV, chlamydia, hepatitis B/C)
  • Treatment: Ceftriaxone 1g IM/IV q24h until improvement, then oral step-down; consult current CDC guidelines for emerging resistance
  • Prognosis: Good — rarely causes joint destruction compared to nongonococcal septic arthritis

Prognosis

  • Loss of function occurs in 25–50% of patients even with adequate treatment
  • Worse outcomes with: delayed diagnosis, MRSA, prosthetic joints, RA, immunosuppression
  • Bacteremia from septic arthritis carries risk of seeding other sites — assess for endocarditis if S. aureus bacteremia is confirmed

Sources: Rosen's Emergency Medicine; Goldman-Cecil Medicine; Tintinalli's Emergency Medicine; Harrison's Principles of Internal Medicine 22e
This is a shared conversation. Sign in to Orris to start your own chat.