meniscal tears and repair

Reading File
Finding Sources
Finding Sources
Searching PubMed

"meniscal tear" AND repair

Finding Sources
Finding Sources
Reading File
Reading File
Reading File
Reading File
Reading File
Reading File
Loading Image
Loading Image
Loading Image
Loading Image
Excellent — all four images are very clear and informative. I now have comprehensive content to deliver a thorough answer.

Meniscal Tears and Repair

Anatomy & Function

The menisci are paired C-shaped fibrocartilaginous structures that sit on the tibial plateau medially and laterally. Their primary roles are:
  • Load distribution — transmitting ~50–70% of compressive forces across the knee compartment
  • Shock absorption
  • Joint stability and proprioception
Loss of meniscal tissue — through tear or excision — concentrates focal stress on articular cartilage, accelerating degenerative arthritis, particularly on the lateral side.

Epidemiology

  • Meniscal tear is the most common knee injury requiring surgery
  • The medial meniscus is torn ~3× more often than the lateral
  • However, lateral meniscus tears occur more commonly with acute ACL injuries
  • Traumatic tears predominate in young, athletic patients; degenerative tears occur insidiously in older patients
Miller's Review of Orthopaedics, 9th Ed.

Vascular Zones (Key to Healing Potential)

The meniscus has three zones based on blood supply from the perimeniscal capillary plexus:
ZoneBlood SupplyHealing Potential
Red-Red (peripheral third)Well vascularizedHigh — best candidate for repair
Red-White (middle third)PartialIntermediate
White-White (inner/central)AvascularPoor — generally not repairable

Classification of Tear Patterns

Types of meniscal tears — vertical flap, longitudinal, radial, root, horizontal flap, and ramp lesion
Types of meniscal tears (Miller's Review of Orthopaedics)
Degenerative vs. traumatic tear patterns — degenerative flap, horizontal cleavage, complex vs. peripheral tear, radial tear
Degenerative (left) vs. traumatic (right) meniscal tear patterns (Textbook of Family Medicine)

By Orientation

TypeDescriptionTypical Context
Longitudinal (vertical)Parallel to circumferential fibers; peripheralAcute trauma in young patients; repairable
Bucket-handleLong longitudinal tear displacing centrallyYoung patients; causes locking
RadialPerpendicular to circumferential fibersDisrupts hoop stress; often not repairable
Horizontal cleavageSplits superior/inferior surfacesOlder, degenerative; associated with meniscal cysts
Complex/DegenerativeMultiple planesOlder patients; usually not repairable
Root tearRadial tear or avulsion at tibial attachmentSee below

Meniscal Root Tears

  • Defined as a radial tear or avulsion of the meniscal root from the tibial plateau
  • Completely disrupts the circumferential (hoop) fibers, abolishing hoop stress
  • Biomechanically equivalent to total meniscectomy
  • Lateral root tears → associated with ACL tears
  • Medial root tears → associated with chondral injuries
  • Acute root tears should be repaired whenever possible
Miller's Review of Orthopaedics, 9th Ed.

Clinical Presentation

  • Joint line tenderness (medial or lateral)
  • Intermittent locking, clicking, or catching
  • Giving way sensation
  • Effusion (often delayed)
  • Recurrent swelling with activity

Physical Examination

  • McMurray test: Knee hyperflexed, varus/valgus stress applied while internally/externally rotating the tibia as the knee is brought to extension. A palpable click + pain = positive (highly indicative of tear)
  • Apley grind test, Thessaly test also used

Imaging

MRI is the modality of choice — detects the tear and associated ligamentous/cartilage injuries.
Coronal MRI showing medial meniscus tear
Coronal MRI of the knee showing a medial meniscus tear (Gray's Anatomy for Students)
  • Plain radiographs and CT cannot diagnose meniscal tears
  • Arthroscopy remains the gold standard for diagnosis and is simultaneously therapeutic

Management

Conservative (Non-Operative)

Appropriate for:
  • Degenerative tears without mechanical symptoms
  • Partial-thickness tears, tears <5–10 mm, or those that cannot be displaced >1–2 mm
  • Initial management for all: NSAIDs, activity modification, physiotherapy, ice, corticosteroid injections
In the absence of intermittent swelling, catching, and locking, meniscal tears—particularly degenerative tears—may be treated conservatively. — Miller's Review of Orthopaedics

Surgical Options

1. Partial Meniscectomy

  • For tears not amenable to repair (complex, degenerative, central/radial tears)
  • Goal: resect minimal normal tissue
  • Recovery: weight-bearing as tolerated, return to activities ~3–4 weeks
  • Downside: increases peak stresses in the affected compartment → long-term OA risk

2. Meniscal Repair

General indications:
  • Tear length 1–4 cm
  • Vertical tear orientation
  • Red-red zone (vascularized)
  • Meniscal root tear
  • Patient < 40 years old
  • Concomitant ACL reconstruction (extends indications; improves results)
Augmentation techniques (fibrin clot, PRP, vascular access channels, synovial rasping) may extend repair indications into less-vascularized zones.

Surgical Techniques

Meniscal repair techniques — outside-in, inside-out, and all-inside approaches
Meniscal repair techniques: outside-in, inside-out (gold standard), all-inside (Miller's Review of Orthopaedics)
TechniqueDescriptionNotes
OpenDirect suture via open incisionRarely used today
Outside-inNeedles passed through skin into jointGood for anterior tears
Inside-outCannulas passed through portals; sutures tied externallyGold standard — vertical mattress sutures
All-insideEntirely intra-articular using implant devicesMost popular due to ease of use; latest generation allows tensioning
Nerve protection during repair:
  • Medial repairs → protect saphenous nerve branches (anterior to semitendinosus/gracilis, posterior to sartorius)
  • Lateral repairs → protect peroneal nerve (posterior to biceps femoris)

Outcomes of Repair

SettingSuccess Rate
Repair + concurrent ACL reconstruction~90%
Repair with intact ACL~60%
Repair with ACL-deficient knee~30%
Recovery after repair: restricted weight-bearing for 3–6 weeks; avoid flexion >90°; return to unrestricted activity in 2–3 months.
Miller's Review of Orthopaedics, 9th Ed.; Textbook of Family Medicine, 9th Ed.

Special Considerations

Meniscal Cysts

  • Primarily associated with horizontal cleavage tears of the lateral meniscus
  • Treatment: arthroscopic partial meniscectomy or repair + decompression through the tear
  • En bloc excision is no longer favored

Baker (Popliteal) Cysts

  • Commonly related to meniscal disorders
  • Located between the semimembranosus and medial head of gastrocnemius
  • Usually resolve with treatment of the underlying meniscal pathology

Discoid Meniscus

  • Congenital variant; lateral meniscus more commonly affected
  • May cause "snapping knee syndrome" in children

Recent Evidence

A 2025 systematic review (PMID: 39799406) in American Journal of Sports Medicine found that meniscal repair offers superior biomechanical properties compared to meniscectomy for horizontal meniscal tears — supporting a more aggressive repair-first approach even for tear patterns traditionally treated with resection.

Sources: Miller's Review of Orthopaedics 9th Ed. | Textbook of Family Medicine 9th Ed. | Gray's Anatomy for Students | ROSEN's Emergency Medicine

different meniscal tear on mri

Finding Sources
Finding Sources
Searching Images

meniscal tear MRI types bucket handle radial longitudinal

Reading File
Reading File
Reading File
Searching Images

meniscal root tear MRI extrusion radial

Loading Image
Loading Image
Loading Image
Loading Image
Loading Image
Loading Image
Loading Image
Loading Image
Reading File
I now have all the images and textual content needed. Let me compile the comprehensive answer.

Meniscal Tears on MRI — A Complete Visual Guide

MRI Basics: What You're Looking For

On MRI (best on proton density fat-saturated or T2-weighted sequences), the normal meniscus appears as a homogeneous low-signal (dark) triangular structure. A tear is diagnosed when:
  1. Increased signal intensity within the meniscus extends to the articular surface (superior or inferior margin)
  2. Distortion of the normal meniscal morphology
  3. Discontinuity of the fibrocartilage
Internal "globular" or "linear" high signal that does not reach the surface = intrasubstance degeneration (not a true tear, no surgical significance)

Overview of Tear Types — Anatomy to MRI Correlation

Schematic overview of meniscal tear types — bucket-handle (A, coronal MRI), longitudinal (B, arthroscopy), horizontal (C, sagittal MRI), and radial (D, sagittal MRI)
Overview: tear patterns correlated with imaging and arthroscopy (PMC)

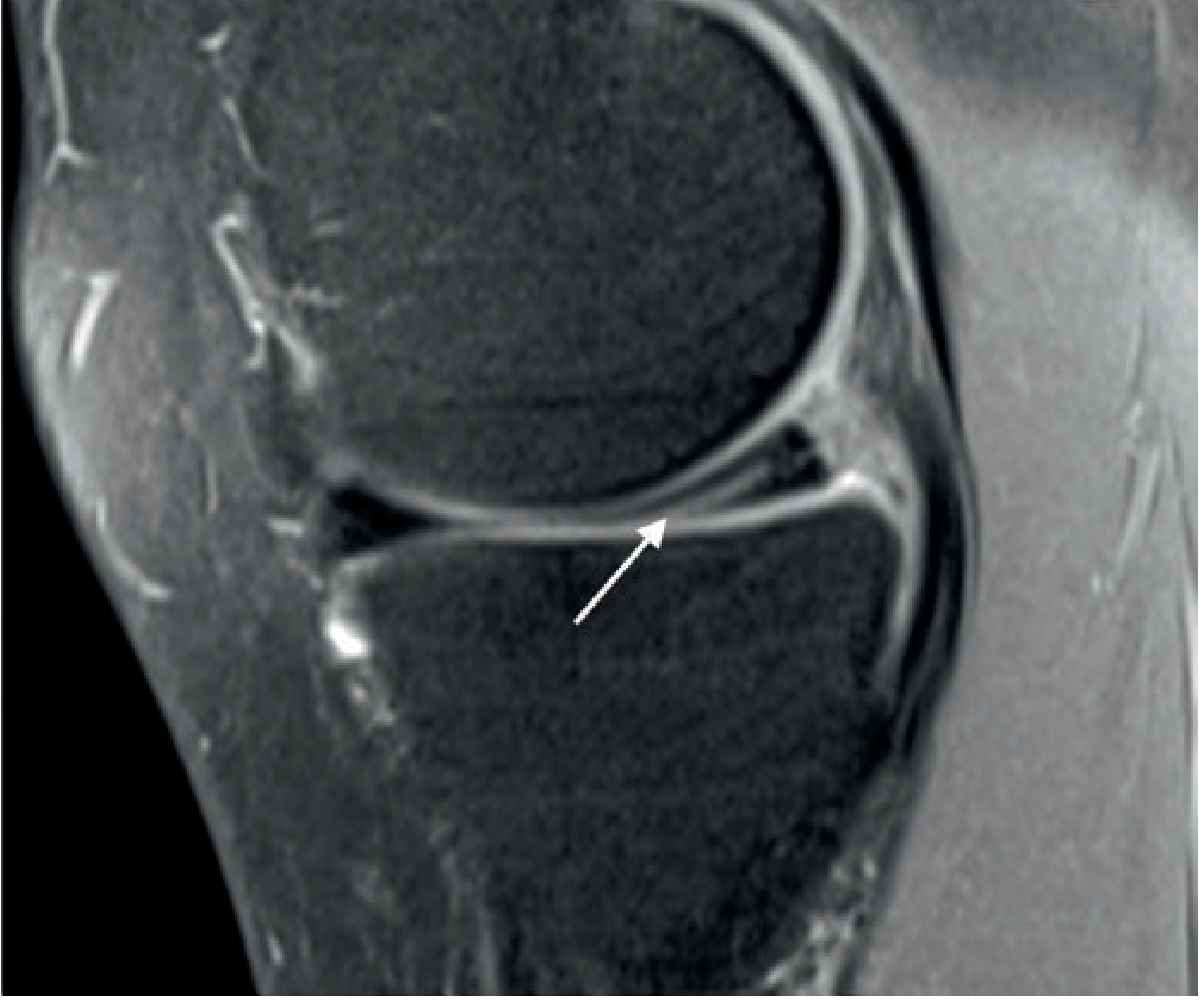
1. Horizontal (Cleavage) Tear

Mechanism: Degenerative; splits the meniscus into superior and inferior leaves parallel to the tibial plateau.
MRI appearance:
  • Linear high signal running horizontally through the meniscal substance, extending to the inferior articular surface (or both surfaces)
  • Most common in the posterior horn of the medial meniscus
  • May be asymptomatic; joint fluid can escape → parameniscal cyst
Sagittal PD fat-saturated MRI — horizontal undersurface tear of the posterior horn of the medial meniscus (arrow)
Horizontal tear — posterior horn medial meniscus (Grainger & Allison's Diagnostic Radiology)

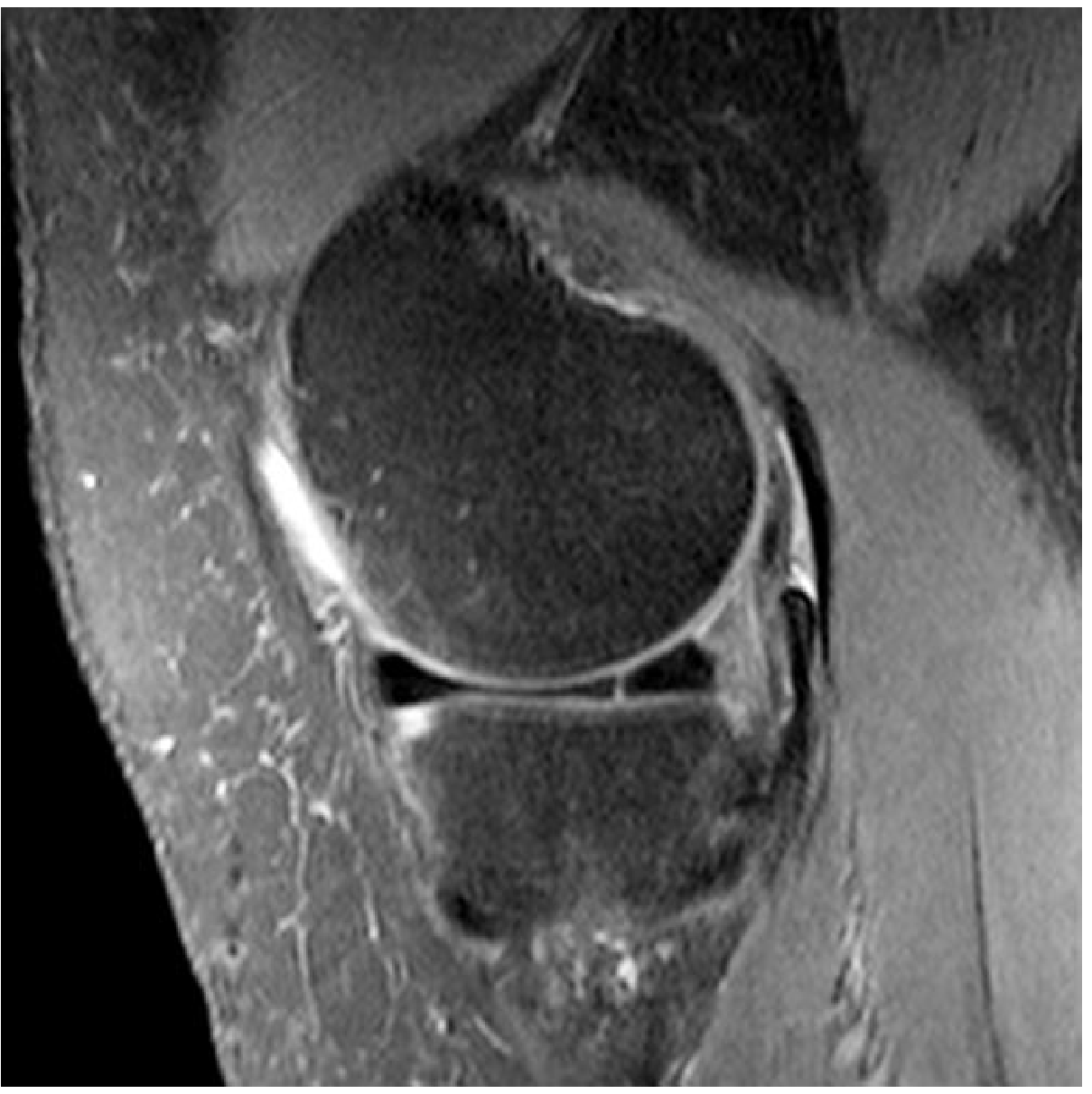
2. Longitudinal (Vertical) Tear

Mechanism: Acute trauma; tear runs parallel to the circumferential fibers in the periphery (red zone).
MRI appearance:
  • Vertical cleft within the peripheral substance of the meniscus on coronal views
  • High signal intensity confined to the peripheral third
  • Healing potential is better here due to vascular supply
Coronal PD fat-saturated MRI — vertical cleft in the peripheral body of the medial meniscus (arrowhead); note also ACL rupture (arrow)
Longitudinal tear — peripheral medial meniscus (Grainger & Allison's Diagnostic Radiology)

3. Bucket-Handle Tear

A large longitudinal tear in which the inner fragment remains attached at both ends but displaces centrally into the intercondylar notch — like the handle of a bucket flipping inward. The classic cause of acute knee locking.
MRI appearance — key signs:

Double PCL Sign (Sagittal)

The displaced fragment lies in the intercondylar notch anterior and inferior to the PCL, creating a second band paralleling the PCL on sagittal views.
Sagittal MRI — "Double PCL sign" with displaced bucket-handle fragment lying parallel to and below the PCL
Bucket-handle medial meniscus tear — Double PCL sign (Miller's Review of Orthopaedics)

Fragment-in-Notch Sign (Coronal)

Displaced dark low-signal fragment sitting in the intercondylar notch; peripheral meniscus appears truncated.
Coronal MRI — flipped bucket-handle fragment of medial meniscus within the intercondylar fossa (arrow); peripheral meniscus is truncated
Bucket-handle tear — fragment-in-notch sign, coronal view (Grainger & Allison's Diagnostic Radiology)
Coronal MRI — displaced bucket-handle fragment (arrowhead) in the intercondylar notch beneath the cruciate ligaments
Bucket-handle tear — "fragment-in-notch" sign (PMC)

Double Anterior Horn Sign (Sagittal)

Posterior horn fragment flips anteriorly and lies adjacent to the native anterior horn → two triangular dark structures at the anterior compartment.

4. Radial Tear

Mechanism: Extends perpendicular to the circumferential fibers from the free inner edge. Disrupts hoop stress.
MRI appearance:
  • Sagittal: high-signal "blunting" or truncation of the free edge — the normal pointed triangular shape is lost
  • Coronal/axial: focal gap in the meniscal substance
  • Complete radial tear → "Ghost Meniscus" sign: the section passes through the gap, showing no meniscal tissue where it should be
Sagittal PD fat-saturated MRI — radial tear of the medial meniscus showing high signal disrupting the normal triangular profile
Radial tear — sagittal PD fat-sat (Grainger & Allison's Diagnostic Radiology)
Sagittal PD fat-saturated MRI — "Ghost Meniscus" sign: complete radial tear of the posterior medial meniscus showing abnormal high signal replacing the normal low-signal tissue
Ghost Meniscus sign — complete radial tear (Grainger & Allison's Diagnostic Radiology)
Parrot-beak tear = a small oblique radial slit at the free edge; a common variant.

5. Meniscal Root Tear

Definition: Radial tear or avulsion within 1 cm of the tibial root attachment — biomechanically equivalent to total meniscectomy.
MRI appearance:
  • Sagittal: "Ghost sign" — absent posterior horn signal where root should anchor
  • Coronal + axial: focal high-signal gap at root attachment
  • Key secondary finding: meniscal extrusion >3 mm beyond the tibial margin (loss of hoop stress causes the meniscus to be extruded radially)
  • Medial root tears: often associated with subchondral marrow edema and cartilage loss
Coronal (A), axial (B), and coronal measurement (C) MRI demonstrating medial meniscal posterior root tear with 3.15 mm meniscal extrusion
Medial meniscal posterior root tear with measurable meniscal extrusion (PMC)
Coronal MRI — avulsion of the medial meniscal root with a fleck of bone at the tibial attachment
Meniscal root avulsion with bony fleck (Miller's Review of Orthopaedics)

6. Complex / Degenerative Tear

Mechanism: Multi-planar tear in degenerated fibrocartilage; common in older patients.
MRI appearance:
  • Diffuse irregular high signal involving multiple planes
  • Distorted meniscal morphology
  • Often involves the posterior horn of the medial meniscus
  • Associated with articular cartilage loss and subchondral edema

Summary Table

Tear TypeKey MRI SignBest Sequence/PlaneClinical Note
HorizontalLinear signal to inferior surfaceSagittal PDDegenerative; may form cyst
LongitudinalVertical peripheral cleftCoronal PDGood healing potential (red zone)
Bucket-handleDouble PCL sign; fragment-in-notch; double anterior hornSagittal + CoronalCauses locking; requires repair
RadialTruncated free edge; ghost meniscusSagittal + AxialDisrupts hoop stress; often not repairable
Root tearGhost sign at root; meniscal extrusion ≥3 mmCoronal + AxialBiomechanically = total meniscectomy; repair urgently
Complex/DegenerativeMulti-planar irregular signalAll planesOlder patients; partial meniscectomy

Sources: Grainger & Allison's Diagnostic Radiology | Miller's Review of Orthopaedics 9th Ed. | Imaging Anatomy Vol. 3 (Thieme) | PMC Clinical VQA

meniscal transplantation

Finding Sources
Finding Sources
Searching PubMed

"meniscal allograft transplantation"

Your credits are exhausted. Your daily credits reset tomorrow, or you can purchase a top-up for more.
This is a shared conversation. Sign in to Orris to start your own chat.