Create a clinical case with a diagnosis of acute tubulointerstitial nephritis

Reading File
Finding Sources
Finding Sources
Reading File
Reading File
Reading File
Reading File
Finding Sources
Loading Image
Here is a complete clinical case of acute tubulointerstitial nephritis (ATIN).

Clinical Case: Acute Tubulointerstitial Nephritis


Patient Presentation

Patient: Maria G., 52-year-old woman Chief complaint: Fatigue, decreased urine output, and low-grade fever for 10 days
History of present illness: Three weeks ago, the patient was prescribed omeprazole 20 mg/day for gastroesophageal reflux and trimethoprim-sulfamethoxazole (TMP-SMX) for a urinary tract infection. Ten days after starting these medications she developed generalized fatigue, oliguria, bilateral flank discomfort, mild fever (38.2 °C), and a diffuse maculopapular rash on her trunk. She denies dysuria, vomiting, or diarrhea. No prior kidney disease.
Past medical history: Hypertension (lisinopril), type 2 diabetes (metformin), recurrent UTIs
Medications: Lisinopril 10 mg/day, metformin 500 mg BID, omeprazole 20 mg/day (new), TMP-SMX DS (new)
Allergies: No known drug allergies prior to this episode

Physical Examination

FindingResult
Temperature38.2 °C
Blood pressure148/92 mmHg
Heart rate94 bpm
Respiratory rate18 rpm
Bilateral costovertebral angle tendernessPresent (mild)
SkinDiffuse maculopapular rash, trunk and upper limbs
EyesNo uveitis, no injection
EdemaAbsent

Laboratory Results

TestResultReference
Serum creatinine3.4 mg/dL0.6–1.1 mg/dL
BUN48 mg/dL7–20 mg/dL
eGFR18 mL/min/1.73 m²>60
Serum potassium5.6 mEq/L3.5–5.0 mEq/L
Serum sodium138 mEq/L135–145 mEq/L
Bicarbonate (HCO₃⁻)16 mEq/L22–28 mEq/L
Chloride112 mEq/L98–107 mEq/L
Serum IgEElevatedNormal
Complete blood countWBC 11,200/μL; Eosinophils 12%Eosinophils <5%
Serum albumin3.8 g/dL3.5–5.0 g/dL
Urine analysis (midstream):
FindingResult
ColorAmber, turbid
Leukocyte esterase+++
RBCs10–15/HPF (non-dysmorphic)
WBCs25–30/HPF
EosinophiluriaPresent (Hansel stain)
WBC castsPresent
Proteinuria+1 (trace/mild, < 1 g/24 h)
β₂-microglobulinElevated (indicating proximal tubular dysfunction)
Spot urine sodium: 42 mEq/L (FENa > 2%, consistent with intrinsic renal injury)

Imaging

Renal ultrasound:
  • Kidneys bilaterally enlarged (right 12.1 cm; left 12.4 cm), echogenic parenchyma
  • No hydronephrosis, no stones, no masses
  • Normal vascular flow on Doppler

Renal Biopsy

Biopsy was performed given rapid AKI without a clear single offending agent.
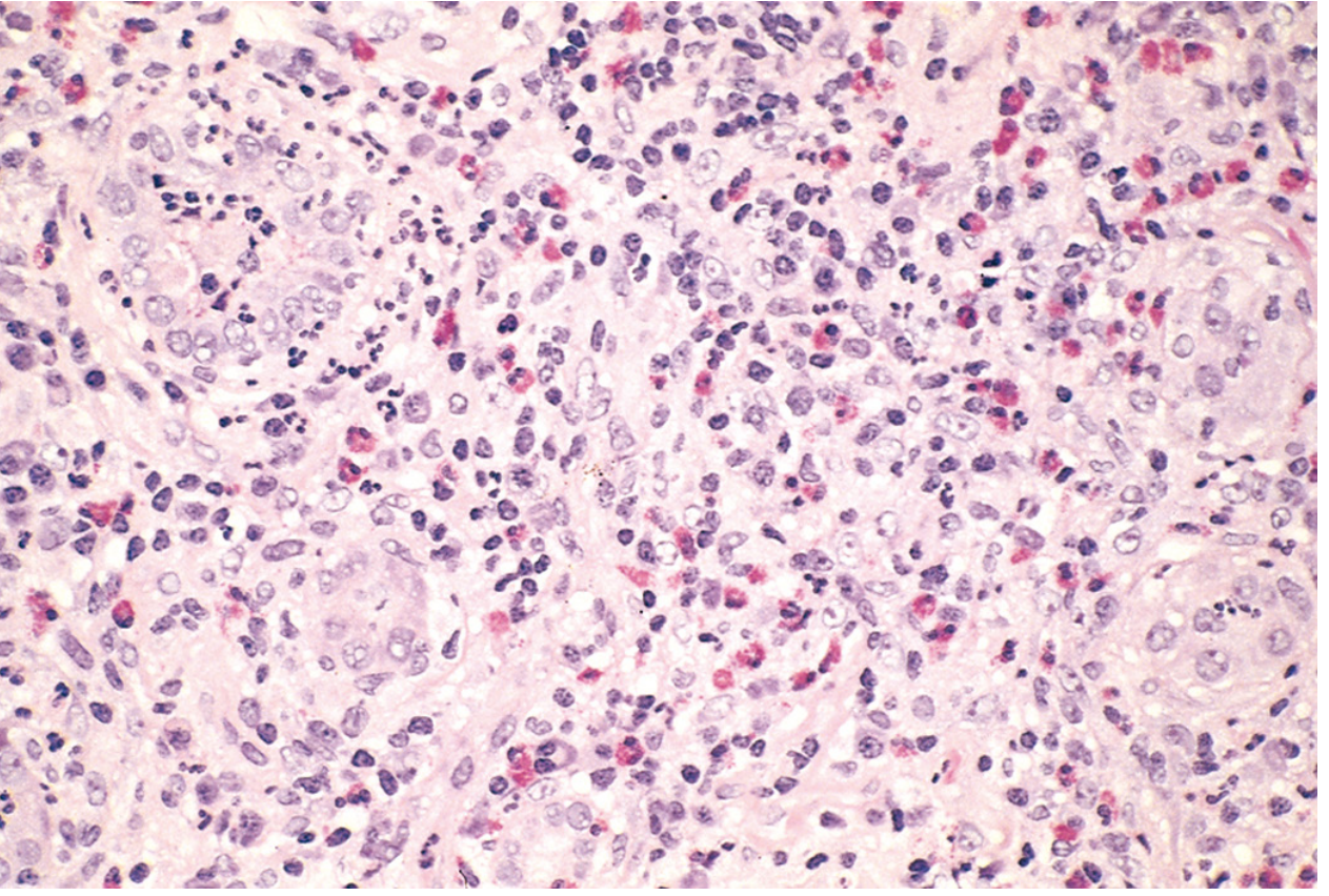
Renal biopsy — acute drug-induced interstitial nephritis. Dense interstitial infiltrate of lymphocytes, macrophages, eosinophils, and neutrophils with interstitial edema and tubular injury.
Histopathology findings:
  • Interstitium: Pronounced edema with dense mononuclear infiltrate (lymphocytes, macrophages). Prominent eosinophils and neutrophils present in clusters.
  • Tubules: Tubulitis (lymphocytic infiltration into tubular epithelium); variable tubular injury and early regenerative changes.
  • Glomeruli: Normal morphology (no glomerulonephritis).
  • Vessels: No vasculitis.
  • Granulomas: Absent in this case.

Diagnosis

Acute Tubulointerstitial Nephritis (ATIN) — Drug-induced (TMP-SMX and/or proton pump inhibitor)

Pathophysiology

The drugs (secreted by renal tubules) bind covalently to cytoplasmic or extracellular components of tubular cells, creating immunogenic neo-antigens. The resulting injury is mediated by:
  1. Type I hypersensitivity (IgE-mediated): Elevated serum IgE, eosinophilia, and skin rash suggest involvement of this arm.
  2. Type IV hypersensitivity (T cell–mediated): The dense mononuclear interstitial infiltrate and tubulitis are characteristic of delayed-type hypersensitivity.
Key features supporting a hypersensitivity mechanism:
  • Latent period of ~10 days after drug initiation
  • Idiosyncratic reaction (not dose-dependent)
  • Triad of fever + rash + eosinophilia (present in ~25% of cases)
  • Recurrence expected upon re-exposure
Tubular dysfunction manifests as:
  • Impaired urine concentration → polyuria/nocturia
  • Impaired acid excretion → hyperchloremic metabolic acidosis (non-anion gap)
  • Impaired potassium handling → hyperkalemia
  • β₂-microglobulinuria → proximal tubule dysfunction
Robbins, Cotran & Kumar Pathologic Basis of Disease; Harrison's Principles of Internal Medicine, 22nd ed.

Differential Diagnosis

ConditionFeatures distinguishing from ATIN
Acute glomerulonephritisNephritic syndrome, dysmorphic RBCs, RBC casts, heavy proteinuria
Acute pyelonephritisPositive urine culture, bacteria, fever, no eosinophils; usually no AKI this severe
Prerenal AKIFENa < 1%, low urine Na, responds to fluids
Acute tubular injury (ATI)Granular "muddy brown" casts, no eosinophilia, no rash, often ischemic/nephrotoxic cause
IgG4-related TINElevated IgG4, fibrosis, often older males
TINU syndromeTubulointerstitial nephritis + uveitis; typically adolescent girls

Management

  1. Immediate cessation of offending drugs (TMP-SMX and omeprazole) — the most critical step. Recovery may take weeks to several months.
  2. Corticosteroids: Prednisone 1 mg/kg/day (up to 60 mg/day) for 4–8 weeks with gradual taper, considered when renal function fails to improve within 1 week of drug withdrawal or in severe AKI.
  3. Supportive measures:
    • IV fluids with close monitoring of fluid balance
    • Dietary potassium restriction; consider potassium binders if K⁺ remains elevated
    • Discontinue lisinopril temporarily (RAAS blockade may worsen hyperkalemia and AKI)
    • Hold metformin until renal function recovers (risk of lactic acidosis)
  4. Close monitoring: Serum creatinine, electrolytes, and urinalysis every 48–72 hours during acute phase.
  5. Avoidance of re-exposure to sulfonamides and PPIs; document allergy in medical record.
  6. Nephrology referral given AKI stage 3 (creatinine 3.4 mg/dL from presumed baseline ~0.9 mg/dL).

Teaching Points

  • ATIN accounts for up to 15–20% of AKI cases and is the second most common cause of drug-induced AKI after pyelonephritis. — Robbins, Cotran & Kumar Pathologic Basis of Disease
  • The classic triad (fever, rash, eosinophilia) is present in only ~25% of patients; its absence does not exclude the diagnosis.
  • PPIs and sulfa drugs are among the most frequent culprits today; immune checkpoint inhibitors are an increasingly recognized cause in oncology patients.
  • Eosinophiluria (Hansel stain) supports the diagnosis but has limited sensitivity.
  • Tubular dysfunction (non-anion gap acidosis, impaired concentration, β₂-microglobulinuria) distinguishes TIN from glomerulonephritis.
  • Glomeruli are normal on biopsy unless NSAIDs are the cause, in which case concurrent minimal change disease and nephrotic syndrome may develop.
  • Early recognition and drug withdrawal are the key determinants of reversibility.

Make a little shorter

Clinical Case: Acute Tubulointerstitial Nephritis


Patient Presentation

Patient: Maria G., 52-year-old woman Chief complaint: Fatigue, oliguria, and low-grade fever for 10 days
Three weeks ago she was prescribed omeprazole and TMP-SMX for a UTI. Ten days later she developed fatigue, decreased urine output, bilateral flank discomfort, fever (38.2 °C), and a diffuse maculopapular rash on her trunk. No prior kidney disease.
Medications: Lisinopril, metformin, omeprazole (new), TMP-SMX DS (new)

Physical Examination

  • Temperature 38.2 °C, BP 148/92 mmHg
  • Bilateral costovertebral angle tenderness (mild)
  • Diffuse maculopapular rash on trunk and upper limbs
  • No edema, no uveitis

Laboratory & Urinalysis

TestResult
Serum creatinine3.4 mg/dL ↑
eGFR18 mL/min/1.73 m²
K⁺5.6 mEq/L ↑
HCO₃⁻16 mEq/L ↓ (non-anion gap metabolic acidosis)
Eosinophils12% ↑
Serum IgEElevated
UrinalysisWBCs 25–30/HPF, RBCs 10–15/HPF, WBC casts, eosinophiluria (Hansel stain +), mild proteinuria (+1), elevated β₂-microglobulin
FENa> 2% (intrinsic renal injury)
Renal ultrasound: Bilaterally enlarged kidneys, echogenic parenchyma, no hydronephrosis.

Renal Biopsy

Acute drug-induced interstitial nephritis — dense interstitial infiltrate of lymphocytes, macrophages, eosinophils, and neutrophils with interstitial edema and tubular injury.
  • Pronounced interstitial edema with dense lymphocytic and macrophage infiltrate; eosinophils and neutrophils in clusters
  • Tubulitis (lymphocytes infiltrating tubular epithelium); variable tubular injury
  • Normal glomeruli; no granulomas; no vasculitis

Diagnosis

Acute Tubulointerstitial Nephritis — Drug-induced (TMP-SMX / PPI)

Pathophysiology

The drugs are secreted by renal tubules, bind to tubular cell components, and create immunogenic neo-antigens. Injury results from:
  • Type I hypersensitivity (IgE-mediated): explains elevated IgE, eosinophilia, and rash
  • Type IV hypersensitivity (T cell–mediated): explains the interstitial mononuclear infiltrate and tubulitis
The reaction is idiosyncratic (not dose-dependent), with a latent period of days to weeks and recurrence upon re-exposure. — Robbins, Cotran & Kumar Pathologic Basis of Disease

Management

  1. Stop the offending drugs immediately — the most critical step
  2. Corticosteroids (prednisone 1 mg/kg/day) if creatinine does not improve within ~1 week of drug withdrawal
  3. Hold lisinopril and metformin until renal function recovers
  4. Fluid balance management and electrolyte correction (K⁺, HCO₃⁻)
  5. Nephrology referral; document allergy and avoid re-exposure

Key Teaching Points

  • The classic triad of fever + rash + eosinophilia is present in only ~25% of patients — its absence does not exclude ATIN
  • PPIs and sulfa drugs are among the most common culprits today; immune checkpoint inhibitors are increasingly recognized
  • Tubular dysfunction (non-anion gap acidosis, hyperkalemia, β₂-microglobulinuria) distinguishes ATIN from glomerulonephritis
  • Glomeruli are normal on biopsy unless NSAIDs are the cause (concurrent minimal change disease may occur)
  • Early drug withdrawal is the key determinant of reversibility; recovery may take several months — Harrison's Principles of Internal Medicine, 22nd ed.

Now make a case about chronic

Finding Sources
Reading File
Reading File
Finding Sources
Reading File
Finding Sources
Searching Images

chronic tubulointerstitial nephritis fibrosis histology biopsy

Reading File
Loading Image

Clinical Case: Chronic Tubulointerstitial Nephritis


Patient Presentation

Patient: Roberto A., 61-year-old man Chief complaint: Progressive fatigue, nocturia, and slowly worsening renal function over 3 years
He reports daily use of a combination analgesic (aspirin + acetaminophen + caffeine) for chronic lower back pain for at least 8 years ("at least 6 tablets a day"). He minimized this use during previous medical consultations. Over the past year he has noted increasing nocturia (3–4 times/night), difficulty concentrating urine, and mild nausea. No fever, no rash, no gross hematuria.
Past medical history: Chronic low back pain, hypertension, type 2 diabetes Medications: Amlodipine, metformin, over-the-counter analgesic combination (heavy long-term use)

Physical Examination

  • BP 162/96 mmHg; HR 78 bpm; afebrile
  • Pallor of mucous membranes (anemia)
  • No significant edema
  • No costovertebral angle tenderness
  • No rash or uveitis

Laboratory & Urinalysis

TestResult
Serum creatinine3.1 mg/dL ↑ (baseline 1.2 mg/dL 3 years ago)
eGFR22 mL/min/1.73 m²
BUN44 mg/dL ↑
K⁺5.2 mEq/L ↑
HCO₃⁻17 mEq/L ↓ (non-anion gap metabolic acidosis / distal RTA)
Uric acid9.1 mg/dL ↑
Hemoglobin9.4 g/dL ↓ (out of proportion to degree of CKD)
UrinalysisFixed specific gravity ~1.010, glycosuria (normal serum glucose), mild proteinuria (<1 g/day), occasional RBCs and WBCs, granular casts
β₂-microglobulin (urine)Elevated (proximal tubular dysfunction)
No eosinophilia. No eosinophiluria.

Imaging

Renal ultrasound / CT without contrast:
  • Bilateral small kidneys (right 8.6 cm; left 8.9 cm) with irregular cortical contour and atrophic scars
  • Increased parenchymal echogenicity
  • Papillary calcifications visible on CT (characteristic of analgesic nephropathy)
  • No hydronephrosis

Renal Biopsy

Chronic tubulointerstitial nephritis — H&E showing interstitial fibrosis, tubular atrophy, and scattered chronic inflammatory infiltrate of lymphocytes and macrophages within fibrosed stroma.
Histopathology findings:
  • Interstitium: Diffuse tubulointerstitial fibrosis with collagen deposition; scattered chronic infiltrate of lymphocytes and macrophages (less abundant than in acute TIN)
  • Tubules: Tubular atrophy with loss of tubular epithelium; dilated tubular lumens in some areas
  • Glomeruli: Relatively spared early; global sclerosis in advanced foci
  • Vessels: Hyaline arteriolosclerosis (related to hypertension)
  • No eosinophils, no granulomas
Goldman-Cecil Medicine; Brenner and Rector's The Kidney

Diagnosis

Chronic Tubulointerstitial Nephritis — Analgesic nephropathy (chronic combination analgesic use)

Pathophysiology

Long-term ingestion of combination analgesics (aspirin + acetaminophen ± caffeine) produces:
  1. Toxic metabolites (particularly from acetaminophen) that concentrate in the renal medulla via the normal urinary concentrating mechanism — medullary cells are selectively exposed to high toxic concentrations
  2. Medullary ischemia — aspirin inhibits prostaglandin-mediated vasodilation of vasa recta, reducing medullary blood flow
  3. Papillary necrosis — combined ischemia and toxicity leads to coagulative necrosis of the papillae, with eventual sloughing and calcification
  4. Over years: progressive cortical scarring, fibrosis, and CKD
The reaction is dose- and duration-dependent (typically >6 tablets/day for >3 years), unlike the idiosyncratic reaction of acute TIN. — Harrison's Principles of Internal Medicine, 22nd ed.

Management

  1. Complete cessation of all analgesic combinations — the single most important intervention; progression may halt if stopped early
  2. BP control — target <130/80 mmHg; avoid NSAIDs; ACE inhibitor or ARB preferred for renoprotection
  3. Correct metabolic acidosis — oral sodium bicarbonate supplementation
  4. Anemia management — erythropoiesis-stimulating agents ± iron if EPO-deficient anemia confirmed
  5. Hold metformin given eGFR <30 mL/min/1.73 m²
  6. Screen for urothelial malignancy — increased risk of transitional cell carcinoma of renal pelvis, distal ureter, and bladder in analgesic nephropathy; urine cytology + cystoscopy
  7. Nephrology referral for CKD stage 4 management and preparation for renal replacement therapy planning

Key Teaching Points

  • Chronic TIN is insidious — patients often present with advanced CKD; analgesic use frequently goes unreported
  • Anemia out of proportion to the degree of renal failure is a characteristic early clue
  • Tubular dysfunction precedes significant GFR loss: nocturia, fixed specific gravity, glycosuria, RTA, and β₂-microglobulinuria
  • The classic CT finding is bilateral small kidneys with papillary calcifications and irregular cortical scarring
  • On biopsy: interstitial fibrosis replaces the acute inflammatory infiltrate — far less cellular than acute TIN
  • Chronic analgesic use raises the risk of uroepithelial malignancy — screening is mandatory
  • Unlike acute TIN, there is no fever, rash, or eosinophilia; the course is slow and smoldering — Goldman-Cecil Medicine

Remove key teaching points

Clinical Case: Chronic Tubulointerstitial Nephritis


Patient Presentation

Patient: Roberto A., 61-year-old man Chief complaint: Progressive fatigue, nocturia, and slowly worsening renal function over 3 years
He reports daily use of a combination analgesic (aspirin + acetaminophen + caffeine) for chronic lower back pain for at least 8 years ("at least 6 tablets a day"). He minimized this use during previous medical consultations. Over the past year he has noted increasing nocturia (3–4 times/night), difficulty concentrating urine, and mild nausea. No fever, no rash, no gross hematuria.
Past medical history: Chronic low back pain, hypertension, type 2 diabetes Medications: Amlodipine, metformin, over-the-counter analgesic combination (heavy long-term use)

Physical Examination

  • BP 162/96 mmHg; HR 78 bpm; afebrile
  • Pallor of mucous membranes (anemia)
  • No significant edema
  • No costovertebral angle tenderness
  • No rash or uveitis

Laboratory & Urinalysis

TestResult
Serum creatinine3.1 mg/dL ↑ (baseline 1.2 mg/dL 3 years ago)
eGFR22 mL/min/1.73 m²
BUN44 mg/dL ↑
K⁺5.2 mEq/L ↑
HCO₃⁻17 mEq/L ↓ (non-anion gap metabolic acidosis / distal RTA)
Uric acid9.1 mg/dL ↑
Hemoglobin9.4 g/dL ↓ (out of proportion to degree of CKD)
UrinalysisFixed specific gravity ~1.010, glycosuria (normal serum glucose), mild proteinuria (<1 g/day), occasional RBCs and WBCs, granular casts
β₂-microglobulin (urine)Elevated (proximal tubular dysfunction)
No eosinophilia. No eosinophiluria.

Imaging

Renal ultrasound / CT without contrast:
  • Bilateral small kidneys (right 8.6 cm; left 8.9 cm) with irregular cortical contour and atrophic scars
  • Increased parenchymal echogenicity
  • Papillary calcifications visible on CT (characteristic of analgesic nephropathy)
  • No hydronephrosis

Renal Biopsy

Chronic tubulointerstitial nephritis — H&E showing interstitial fibrosis, tubular atrophy, and scattered chronic inflammatory infiltrate of lymphocytes and macrophages within fibrosed stroma.
Histopathology findings:
  • Interstitium: Diffuse tubulointerstitial fibrosis with collagen deposition; scattered chronic infiltrate of lymphocytes and macrophages (less abundant than in acute TIN)
  • Tubules: Tubular atrophy with loss of tubular epithelium; dilated tubular lumens in some areas
  • Glomeruli: Relatively spared early; global sclerosis in advanced foci
  • Vessels: Hyaline arteriolosclerosis (related to hypertension)
  • No eosinophils, no granulomas
Goldman-Cecil Medicine; Brenner and Rector's The Kidney

Diagnosis

Chronic Tubulointerstitial Nephritis — Analgesic nephropathy (chronic combination analgesic use)

Pathophysiology

Long-term ingestion of combination analgesics (aspirin + acetaminophen ± caffeine) produces:
  1. Toxic metabolites that concentrate in the renal medulla via the normal urinary concentrating mechanism — medullary cells are selectively exposed to high toxic concentrations
  2. Medullary ischemia — aspirin inhibits prostaglandin-mediated vasodilation of vasa recta, reducing medullary blood flow
  3. Papillary necrosis — combined ischemia and toxicity leads to coagulative necrosis of the papillae, with eventual sloughing and calcification
  4. Over years: progressive cortical scarring, fibrosis, and CKD
The reaction is dose- and duration-dependent (typically >6 tablets/day for >3 years), unlike the idiosyncratic reaction of acute TIN. — Harrison's Principles of Internal Medicine, 22nd ed.

Management

  1. Complete cessation of all analgesic combinations — the single most important intervention
  2. BP control — target <130/80 mmHg; avoid NSAIDs; ACE inhibitor or ARB preferred for renoprotection
  3. Correct metabolic acidosis — oral sodium bicarbonate supplementation
  4. Anemia management — erythropoiesis-stimulating agents ± iron if EPO-deficient anemia confirmed
  5. Hold metformin given eGFR <30 mL/min/1.73 m²
  6. Screen for urothelial malignancy — increased risk of transitional cell carcinoma of renal pelvis, distal ureter, and bladder; urine cytology + cystoscopy
  7. Nephrology referral for CKD stage 4 management and renal replacement therapy planning
This is a shared conversation. Sign in to Orris to start your own chat.