A 68 yrs old patient with a history of 30 yrs of smoking complains of severe cough and sob. What are the test required

Reading File
Checking Date & Time
Finding Sources
Finding Sources
Finding Sources
Finding Sources
Reading File
Finding Sources
Finding Sources
Finding Sources
Finding Sources
Reading File
Reading File
Reading File
Reading File
Reading File
Excellent — I now have comprehensive, textbook-backed content. Let me compile the full answer.

Investigations for a 68-Year-Old Smoker with Severe Cough & Shortness of Breath

Given the clinical profile — 68 years old, 30 pack-year smoking history, severe cough, and shortness of breath (SOB) — the top differential diagnoses are:
  1. COPD (most likely)
  2. Lung cancer (must not miss in a heavy smoker)
  3. Heart failure (can mimic COPD)
  4. Pulmonary hypertension
  5. Pulmonary embolism / Interstitial lung disease (must exclude)
A structured, layered investigation approach is required:

1. Pulmonary Function Tests (PFTs) — Cornerstone

TestWhat it Detects
Spirometry (FEV₁/FVC ratio)Obstructive pattern — ratio <0.7 confirms COPD
Post-bronchodilator FEV₁Grades COPD severity (mild ≥80%, moderate 50–79%, severe 30–49%, very severe <30%)
Diffusing Capacity (DLCO)Reduced in emphysema, interstitial lung disease
Inspiratory/Expiratory pressuresAssesses respiratory muscle weakness
Spirometry with a post-bronchodilator FEV₁/FVC <0.7 is required to confirm COPD. The FEV₁ percentage of predicted then grades severity. — Tintinalli's Emergency Medicine, p. 509

2. Chest Imaging

TestFindings
Chest X-ray (PA view)Hyperinflation, flattened diaphragms, bullous changes (emphysema); masses/nodules (lung cancer); cardiomegaly/pleural effusion (heart failure)
High-Resolution CT Chest (HRCT)Emphysematous changes not visible on X-ray; lung masses; interstitial lung disease; lymphadenopathy; pulmonary embolism (with CT-PA)
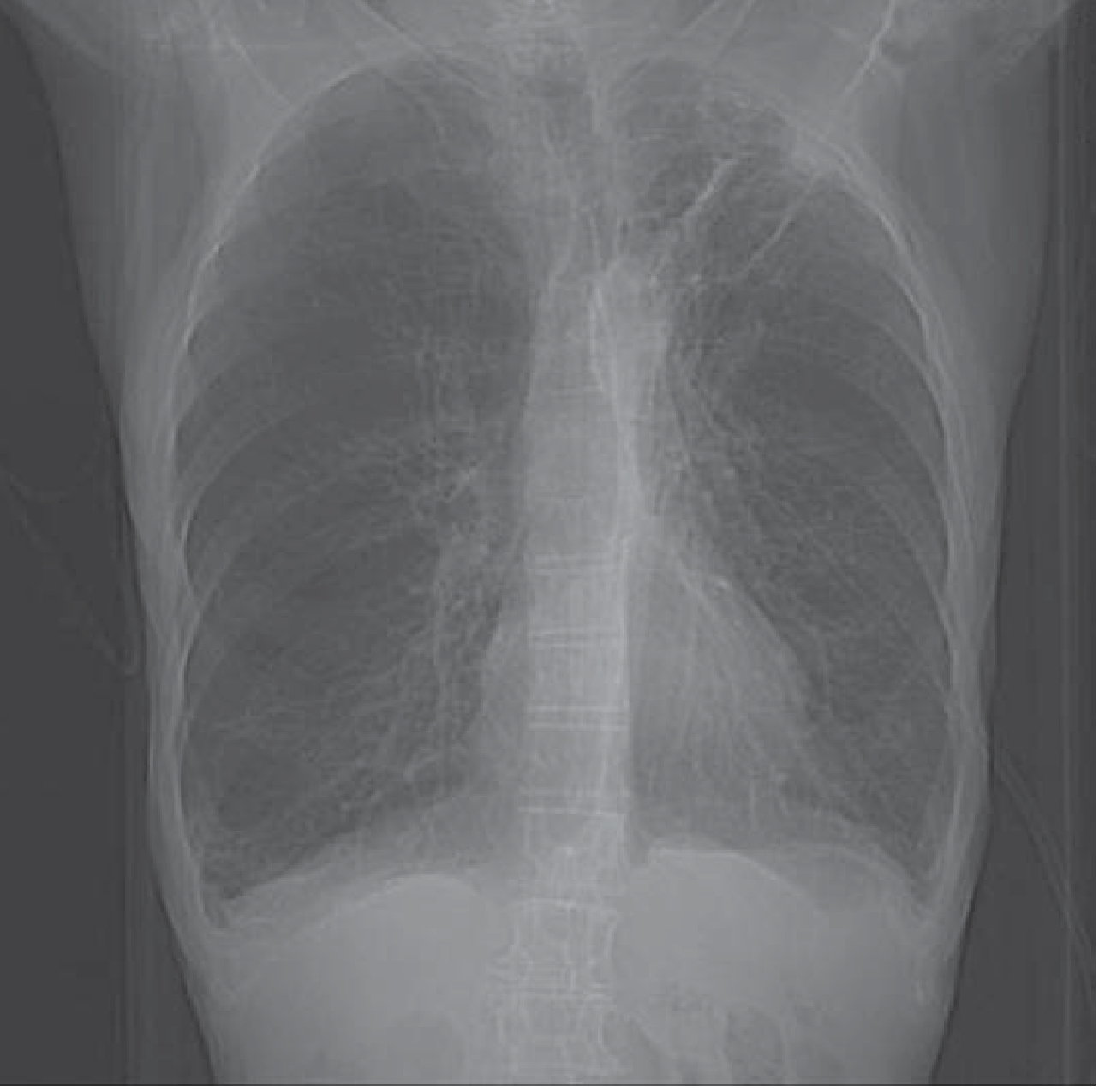
Chest X-ray in COPD
Posteroanterior chest radiograph in a patient with COPD — Tintinalli's Emergency Medicine
A plain chest radiograph is useful in demonstrating changes suggestive of COPD (hyperinflation, bullous changes). CT of the chest may reveal emphysema or an interstitial process not suggested by plain radiographs. — Fishman's Pulmonary Diseases and Disorders, p. 439

3. Arterial Blood Gas (ABG)

  • Detects hypoxemia (PaO₂ ↓) and hypercapnia (PaCO₂ ↑)
  • In early COPD: mild to moderate hypoxemia without hypercapnia
  • In advanced COPD: progressive hypercapnia and respiratory acidosis
  • Guides need for oxygen therapy: criterion = PaO₂ ≤55 mmHg or SaO₂ ≤88%

4. Blood Tests

TestPurpose
CBC (Full Blood Count)Polycythemia (secondary to chronic hypoxia); anemia; infection (elevated WBC)
CRP / ESRAcute exacerbation or infection
BNP / NT-proBNPBNP <100 pg/mL supports COPD; >500 pg/mL suggests heart failure
Serum Electrolytes & CreatinineMetabolic acidosis, renal dysfunction
α₁-Antitrypsin levelIf early-onset or family history of COPD (accounts for <1% of cases)
Sputum Culture & SensitivityIf infective exacerbation suspected — identify organism

5. Cardiac Investigations

TestPurpose
ECGDetects dysrhythmias, right ventricular hypertrophy (P pulmonale), ischemia
EchocardiographyPulmonary arterial pressure (PASP ≥35 mmHg = pulmonary hypertension); right ventricular function; left heart failure
The ECG detects dysrhythmias or ischemia but does not accurately assess the severity of pulmonary hypertension. BNP helps differentiate COPD from acute heart failure. — Tintinalli's Emergency Medicine, p. 509

6. Bronchoscopy (if lung cancer is suspected)

  • Indicated if CT shows a lung mass, nodule, or unexplained hilar lymphadenopathy
  • Allows direct visualization, biopsy, and BAL
  • Endobronchial ultrasound (EBUS) bronchoscopy for mediastinal staging
CT and PET scans help exclude malignancy in smokers; endobronchial ultrasound bronchoscopy is used for investigation of pulmonary nodules or masses. — Harrison's Principles of Internal Medicine, 22E

7. Additional Tests (if cause remains unclear)

TestIndication
Cardiopulmonary Exercise Test (CPET)Differentiates cardiac vs. respiratory cause of dyspnea
V/Q Scan or CT-PAIf pulmonary embolism is suspected
6-Minute Walk TestFunctional status and oxygen desaturation on exertion
Sleep Study (Polysomnography)If overlap syndrome (COPD + OSA) suspected
Pulse OximetryBaseline oxygen saturation monitoring

Summary: Priority Order of Tests

PriorityTest
First-lineChest X-ray, Spirometry/PFTs, ABG, CBC, CRP, BNP, ECG
Second-lineCT Chest (HRCT or CT-PA), Echocardiography, Sputum culture
Third-line / specialistBronchoscopy (EBUS), CPET, Right heart catheterization, Lung biopsy

Clinical Bottom Line: In a 68-year-old with a 30-year smoking history, spirometry is mandatory to confirm COPD, and CT chest is essential to exclude an underlying lung malignancy. BNP helps differentiate from heart failure, and ABG quantifies the severity of respiratory impairment. Minor hemoptysis in a COPD patient should always raise suspicion for lung cancer and prompt urgent CT/bronchoscopy.
Sources: Tintinalli's Emergency Medicine; Fishman's Pulmonary Diseases and Disorders; Murray & Nadel's Textbook of Respiratory Medicine; Harrison's Principles of Internal Medicine 22E
This is a shared conversation. Sign in to Orris to start your own chat.