Hodgkin lymphoma diagnosis investigation their findings and treatment and when to start
"Hodgkin lymphoma" AND treatment
| Type | Frequency | Key Features |
|---|---|---|
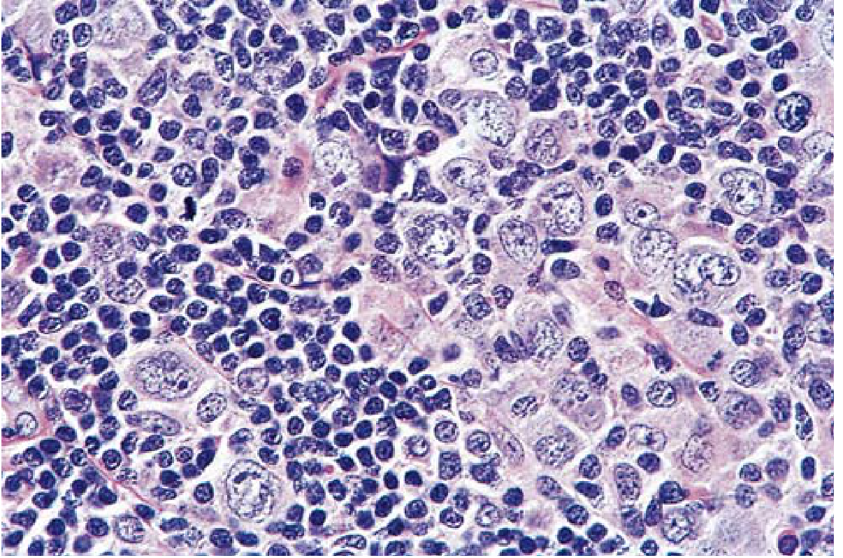
| Classic HL (CHL) | 95% | 4 subtypes; RS cells express CD15, CD30 |
| Nodular Lymphocyte-Predominant HL (NLPHL) | 5% | "Popcorn" (LP) cells; CD20+, CD45+, CD15−; indolent course |
| Subtype | Frequency | Notes |
|---|---|---|
| Nodular Sclerosis (NS) | 75% | Most common; equal M:F; collagen bands; anterior mediastinal mass; adolescents/young adults |
| Mixed Cellularity (MC) | 15–20% | More common in HIV+ and developing countries; classic RS cells; aggressive |
| Lymphocyte-Rich | 5% | Rare |
| Lymphocyte-Depleted (LD) | <5% | Most aggressive; advanced-stage disease |
Flow cytometry is often non-diagnostic in HL — tissue biopsy is mandatory.

| Stage | Definition |
|---|---|
| I | Single lymph node region or lymphoid structure |
| II | ≥2 lymph node regions on the same side of the diaphragm |
| III | Lymph node regions on both sides of the diaphragm (III₁ = splenic/portal nodes; III₂ = para-aortic/iliac/mesenteric) |
| IV | Multiple extranodal sites or nodes + extranodal disease |
| Drug | Mechanism |
|---|---|
| A – Doxorubicin | Anthracycline (topoisomerase II inhibitor) |
| B – Bleomycin | DNA strand cleavage |
| V – Vinblastine | Vinca alkaloid (microtubule inhibitor) |
| D – Dacarbazine | Alkylating agent |
| Disease Stage | 5-Year OS |
|---|---|
| Localized (Stage I–II) | ~92% |
| Advanced (Stage III–IV) | ~70–80% |
| Overall | ~86% |