Stye

Reading File
Finding Sources
Finding Sources
Reading File
Reading File
Reading File
Reading File
Reading File
Loading Image
Loading Image
Reading File
Searching PubMed

hordeolum stye treatment

Here is a comprehensive overview of the stye (hordeolum):

Stye (Hordeolum)

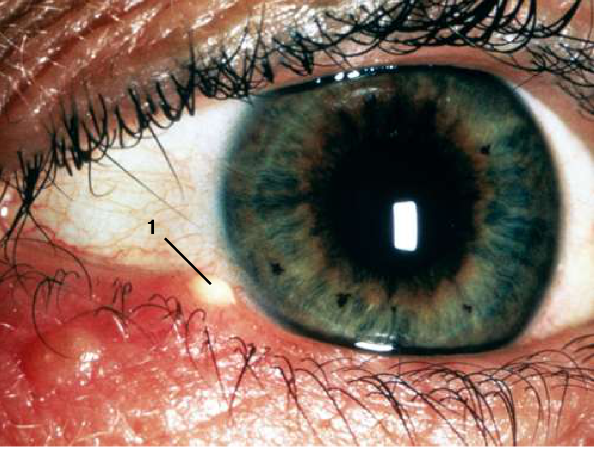
Lower lid stye — note the small pointing pustule at the lash margin
Lower lid stye (1) — Goldman-Cecil Medicine

Definition & Types

A hordeolum (stye) is an acute bacterial abscess of an eyelid gland. There are two types:
FeatureExternal Hordeolum (Stye)Internal Hordeolum
Gland involvedLash follicle + gland of Zeis (sebaceous) or Moll (sweat)Meibomian gland
LocationLid margin, at the base of a lashTarsal plate (inner surface of eyelid)
PointingAnteriorly through the skinOn the inner palpebral conjunctival surface
DemographicsCommon in children and young adultsSimilar
Kanski's Clinical Ophthalmology, p. 81; Tintinalli's Emergency Medicine, p. 1581

Causative Organism

Staphylococcus aureus is the predominant pathogen. Acute blepharitis frequently co-exists with or predisposes to hordeolum formation.

Clinical Features

  • Acute tender, erythematous swelling at the lid margin
  • Small pustule at the margin, often with a lash at the apex (external type)
  • Pain, edema, and erythema of the eyelid
  • May be accompanied by eyelid cellulitis (erythema, edema, and tenderness of surrounding skin)
  • Spontaneous drainage typically occurs within 5–7 days
  • Multiple lesions may occur simultaneously, occasionally involving the entire lid margin

Differentiating from Chalazion

FeatureHordeolumChalazion
OnsetAcuteSubacute to chronic
TendernessMarked, tense, fluctuantMild or absent
PusYesNo (lipogranulomatous content)
CellulitisOften presentMinimal or absent
GlandZeis, Moll, or meibomianMeibomian (occluded)
ResolutionUsually drains in 5–7 daysMay persist weeks
⚠️ If swelling is nasal to the medial canthus, consider dacryocystitis — refer to ophthalmology promptly, as it can dissect posteriorly to the cavernous sinus.
Pfenninger and Fowler's Procedures for Primary Care, p. 458

Treatment

Conservative (first-line)

  • Warm compresses — applied frequently (4×/day); promotes spontaneous drainage
  • Topical antibiotics — erythromycin or bacitracin ointment, or fluoroquinolone drops (moxifloxacin, gatifloxacin) for 7–10 days
  • Epilation of the associated lash (external hordeolum)
  • Systemic antibiotics if significant surrounding cellulitis is present

Incision and Drainage (I&D) — when indicated

  • Failure of medical management
  • Significant pain
  • Significant localized pus collection
  • Associated or prior eyelid cellulitis
Technique: After topical/local anesthesia (2% lidocaine with epinephrine), the hordeolum is incised from the side that allows the best access — externally if pointing through the skin, internally if pointing through the conjunctiva. A tongue blade or metal elevator supports the lid; a no. 11 blade scalpel is used to incise and drain.
Contraindication to I&D: Lesion near the lacrimal punctum (nasal to medial canthus) → refer to ophthalmology to avoid damaging the lacrimal drainage system.
Pfenninger and Fowler's Procedures for Primary Care, p. 459; Goldman-Cecil Medicine; Tintinalli's Emergency Medicine, p. 1581

When to Refer

  • No improvement within 48 hours of conservative treatment
  • Suspected lacrimal involvement (nasal location)
  • Recurrent lesions in the same location (may indicate an underlying carcinoma in the case of chalazia)
  • Significant orbital or preseptal cellulitis
This is a shared conversation. Sign in to Orris to start your own chat.