Can you make notes on hydatid cyst of liver

Reading File
Finding Sources
Finding Sources
Reading File
Reading File
Reading File
Reading File
Reading File
Reading File
Loading Image
Loading Image
Loading Image
I now have everything needed for comprehensive notes. Here are the complete notes on Hydatid Cyst of the Liver:

Hydatid Cyst of the Liver (Hepatic Echinococcosis)


1. Aetiology & Causative Organisms

Hydatid disease (echinococcosis) is a zoonosis caused by the larval stage of the tapeworm Echinococcus. Three species are clinically relevant:
SpeciesDiseaseFeatures
E. granulosusCystic echinococcosisMost common; well-defined fluid-filled cysts
E. multilocularisAlveolar echinococcosisHighly invasive; solid masses mimicking carcinoma; mortality ~90% if untreated
E. vogeliPolycystic echinococcosisIntermediate aggressiveness; polycystic lesions

2. Epidemiology

  • Endemic in sheep-raising regions: Mediterranean Europe, Middle East, Africa, Far East, South America, Australia, New Zealand
  • Dogs are the definitive host; sheep are the major intermediate host (also yaks, goats, camels)
  • Humans are accidental intermediate hosts — no human-to-human transmission
  • Diagnosed equally in males and females; average age ~45 years

3. Life Cycle & Pathogenesis

Dog (definitive host)
  ↓ eggs shed in feces
Contaminated food/water/vegetables
  ↓ ingested by humans
Small intestine → eggs hatch → oncospheres released
  ↓ penetrate intestinal mucosa
  ↓ enter bloodstream/lymphatics
Liver (70%) > Lungs (20%) > Kidney, Spleen, Brain, Bone
  ↓ vesiculation
Hydatid cyst develops
Cyst wall structure (3 layers):
  1. Outer adventitial (pericyst) — host-derived fibrous capsule; can calcify
  2. Middle ectocyst (laminated layer) — acellular, gelatinous outer worm-derived membrane
  3. Inner endocyst (germinal layer) — inner worm-derived germinal membrane; produces brood capsules and daughter cysts
Key contents:
  • Brood capsules — small intracystic masses in which scoleces (future worm heads) develop
  • Daughter cysts — true replicas of the mother cyst
  • Hydatid sand — freed brood capsules + scoleces floating in hydatid fluid
  • Scolex contains a rostellum with 20–50 hooklets and 4 suckers

4. Clinical Features

Symptoms (largely asymptomatic until complications occur)

  • Abdominal pain (most common)
  • Dyspepsia, vomiting
  • Urticarial rash, pruritus (hypersensitivity)

Signs

  • Hepatomegaly (most frequent sign; usually right lobe)
  • Palpable mass
  • Jaundice (~8%) — biliary obstruction
  • Fever (~8%) — secondary infection

Complications

ComplicationDetails
Rupture into biliary treeMost common rupture site; → cholangitis, biliary obstruction, jaundice
Bacterial superinfectionMimics pyogenic abscess (up to 20% of hepatic cases)
Free rupture into peritoneum→ disseminated echinococcosis, anaphylaxis
Rupture into pleura/bronchi→ dyspnea, hemoptysis
Rupture into pericardiumRare but life-threatening
Portal hypertensionRare
Budd-Chiari syndromeRare
PancreatitisRare
Eosinophilia is not a feature unless the cyst ruptures

5. Imaging

Ultrasound (first-line — most widely used)

Ultrasound of hydatid cyst at varying stages
Fig. Ultrasound of hydatid cyst at varying stages: (A) Simple cyst with hydatid sand. (B) Daughter/granddaughter cysts — typical "rosette" appearance. (C) Amorphous mass filling (can mimic solid lesion). (D) Calcified cyst with "eggshell" appearance. — Sabiston Textbook of Surgery
Gharbi classification (also WHO-IWGE classification) stages cysts from simple unilocular to calcified.
Diagnostic US features:
  • Well-circumscribed cyst with budding signs on the membrane
  • Free-floating hyperechoic hydatid sand
  • Rosette pattern — daughter cysts present
  • Eggshell calcification — highly suggestive

CT / MRI

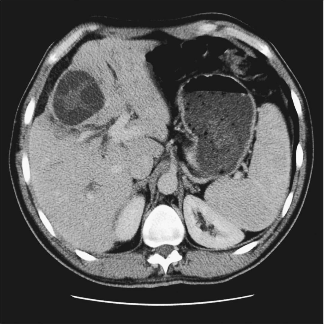
CT scan showing hydatid cyst in right lobe of liver
Fig. CT showing typical hydatid cyst in right hepatic lobe. — Sleisenger & Fordtran's Gastrointestinal and Liver Disease
  • Avascular cysts with ring enhancement
  • Multiple daughter cysts with intracystic septations
  • Peripheral focal calcifications
  • Fluid density varies with proteinaceous debris
  • Better than US for extrahepatic disease and hepatic anatomic relationships

ERCP / PTC

  • Indicated when biliary involvement is suspected

Plain X-ray

  • Ring-like calcifications visible in up to one-fourth of hepatic cysts (E. granulosus)

6. Laboratory / Serology

TestDetails
ELISABest serologic test; sensitivity 84–90%
Weinberg reactionOlder complement fixation test; up to 38% false-negative rate
EosinophiliaOnly present if cyst ruptures; otherwise absent
Routine bloodsUsually normal LFTs; leukocytosis if infected
Casoni skin testNonspecific; no longer recommended
Cyst fluid analysisDetection of protoscolices or acid-fast hooklets confirms diagnosis
All serologic tests are plagued by low sensitivity and specificity; imaging is more reliable

7. Gross Pathology

Liver resection specimen showing hydatid cyst with multiple daughter cysts
Fig. Liver resection specimen of hydatid cyst (E. granulosus) with multiple translucent daughter cysts. — Sleisenger & Fordtran's GI and Liver Disease
  • ~75% located in the right lobe of the liver
  • ~75% are solitary
  • Slow, spherical growth pattern
  • Degenerating cysts: vacuolation of membranes → calcification of wall (calcification does not always imply the cyst is dead)

8. Treatment

General Principles

  • Most cysts should be treated
  • Conservative management is appropriate for small, asymptomatic, densely calcified cysts in elderly patients
  • Preoperative albendazole is recommended to reduce spillage risk; steroids and epinephrine should be on standby for anaphylaxis

A. Surgery (Gold Standard)

Preparation:
  • Pack off the abdomen to prevent spillage (anaphylaxis + dissemination risk)
  • Aspirate through a closed suction system
  • Flush with scolicidal agent (hypertonic saline is standard)
Surgical options:
ApproachProcedure
ConservativeUnroofing → drainage/evacuation, marsupialization, omentoplasty
RadicalTotal pericystectomy, partial hepatectomy (formal resection without entering cyst)
LaparoscopicDrainage and unroofing; encouraging results in selected cases
Biliary involvementSuture closure of bile duct communication; major biliary repair; postoperative ERCP
  • Radical and conservative approaches are equally effective
  • Recurrence rate: 1–20% (generally ≤5% at experienced centres)
  • Calcified cysts need not be removed

B. PAIR (Percutaneous Minimally Invasive)

Puncture → Aspiration → Injection (scolicidal agent) → Re-aspiration
  • Previously contraindicated; now accepted in highly selected patients
  • Two small RCTs show similar success rates to surgery (both limited by small sample sizes)
  • Best for uncomplicated cysts; requires concomitant antihelminthic cover

C. Medical Therapy (Antihelminthics)

DrugDose
Albendazole (preferred)10 mg/kg/day in 2 divided doses × 28 days; repeat 3–4 cycles with 2-week breaks between cycles
MebendazoleAlternative; higher doses required
  • Effective at shrinking cysts in E. granulosus; complete disappearance in <50%
  • Used preoperatively to reduce spillage risk
  • Monotherapy (without drainage/resection) reserved for:
    • Widely disseminated disease
    • Poor surgical candidates

9. E. multilocularis vs E. granulosus — Key Differences

FeatureE. granulosus (Cystic)E. multilocularis (Alveolar)
Cyst typeWell-defined fluid-filled cystsSolid invasive masses
AppearanceUnilocular/multilocular cystsAlveoli-like microvesicles
Growth patternExpansileInfiltrative ("invasion" of parenchyma)
CTCalcified cysts, daughter cystsScattered calcified necrotic tissue
MimicsSimple hepatic cyst, abscessCirrhosis, hepatocellular carcinoma
PrognosisGood with treatmentPoor; mortality ~90% without treatment
SurgeryUsually curativeCurative in only ~1/3; often inoperable at diagnosis
MedicalAlbendazole effectiveLong-term albendazole indefinitely (if inoperable)

10. Key Points Summary

  • Caused by E. granulosus (most common), a tapeworm whose definitive host is the dog
  • Humans are accidental intermediate hosts infected via fecally contaminated food
  • Liver is most commonly affected (70%), followed by lungs (20%)
  • Cyst wall: pericyst (host) / ectocyst (outer worm) / endocyst (germinal, inner worm)
  • Largely asymptomatic until complications develop
  • Most dangerous complication: free rupture → anaphylaxis
  • Most common rupture site: biliary tree → cholangitis
  • Ultrasound is the primary imaging tool; rosette sign and eggshell calcification are pathognomonic
  • ELISA is best serology (84–90% sensitive); Casoni test is obsolete
  • Treatment: Surgery ± preoperative albendazole is the mainstay; PAIR for selected cases
  • Hypertonic saline is the standard scolicidal agent used intraoperatively

Sources: Sabiston Textbook of Surgery, p. 1891–1892 | Sleisenger & Fordtran's GI and Liver Disease, p. 1589 | Goldman-Cecil Medicine, p. 1599–1600 | Jawetz Melnick & Adelberg's Medical Microbiology
This is a shared conversation. Sign in to Orris to start your own chat.