Interstitial lung disease..honey comb lung

Reading File
Finding Sources
Finding Sources
Searching PubMed

"interstitial lung disease" AND "honeycombing"

Reading File
Reading File
Reading File
Reading File
Reading File
Searching Images

honeycomb lung HRCT interstitial pulmonary fibrosis

Reading File
Loading Image
Loading Image
Loading Image
Loading Image
Here is a comprehensive overview of Interstitial Lung Disease (ILD) and Honeycomb Lung, drawn from authoritative textbooks.

Interstitial Lung Disease (ILD) & Honeycomb Lung

What is ILD?

Interstitial lung disease (ILD) — also called diffuse parenchymal lung disease (DPLD) — is a heterogeneous group of disorders characterized predominantly by inflammation and fibrosis of the lung interstitium, producing a restrictive pattern on pulmonary function tests.

Major Categories (Robbins Pathologic Basis of Disease)

CategoryExamples
FibrosingIPF (UIP), NSIP, COP, connective tissue disease–associated, pneumoconiosis, drug reactions, radiation
GranulomatousSarcoidosis, hypersensitivity pneumonitis
EosinophilicEosinophilic pneumonia
Smoking-relatedDIP, RB-ILD
OtherLangerhans cell histiocytosis, PAP, LIP

Common Clinical Features

  • Progressive dyspnea and dry cough
  • End-inspiratory crackles (Velcro crackles)
  • Tachypnea, eventual cyanosis and clubbing
  • Restrictive defect on PFTs: ↓ FVC, ↓ TLC, ↓ DLCO
  • Chest imaging: bilateral nodules, reticular lines, ground-glass opacities

Honeycomb Lung — Definition

The Fleischner Society defines honeycombing as:
"The appearance of clustered cystic air spaces, typically of comparable diameters on the order of 3–10 mm (occasionally up to 2.5 cm), usually subpleural, with well-defined walls."
It represents established, irreversible pulmonary fibrosis — the final common pathway of many ILDs, referred to as end-stage lung or honeycomb lung.

The Prototypical Cause: Idiopathic Pulmonary Fibrosis (IPF)

IPF is the most important cause of honeycomb lung. Its histologic pattern is Usual Interstitial Pneumonia (UIP).

Pathogenesis

IPF pathogenesis diagram showing environmental factors leading to epithelial injury and fibrosis
Proposed pathogenesis of IPF: recurrent alveolar epithelial injury in genetically susceptible individuals triggers TGF-β–driven fibroblast activation and collagen deposition.
Key factors:
  • Environmental: Cigarette smoking (OR 1.6–9.4), metal/wood dust, microaspiration, air pollution, farming
  • Genetic: Mutations in TERT, TERC, PARN, RTEL1 (telomere maintenance); MUC5B promoter polymorphism (↑risk); surfactant gene mutations in familial forms
  • Age: Rarely before age 50; peak at 55–75 years

Histopathology

Gross

  • Pleural surfaces are cobblestoned due to interlobular septal scarring
  • Cut surface: firm, rubbery white fibrosis — lower lobe, subpleural, and periseptal distribution

Microscopic (UIP Pattern)

Hallmarks:
  1. Spatial heterogeneity — normal lung alternating with architecturally effaced lung at low power
  2. Temporal heterogeneity — early fibroblastic foci (loose myxoid stroma) alongside dense mature fibrosis
  3. Honeycomb fibrosis — destruction of alveolar architecture forming cystic spaces lined by metaplastic/hyperplastic type II pneumocytes or bronchiolar epithelium
  4. Mild lymphocytic inflammation; smooth muscle hyperplasia; pulmonary arterial hypertensive changes
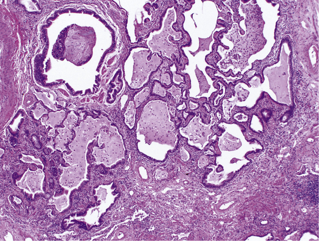
Histology of honeycomb lung in IPF — cystic spaces lined by metaplastic epithelium surrounded by dense fibrous bands
Fig. 89.5 — Honeycomb lung in IPF. Dense fibrous bands destroy alveolar architecture, forming cystic spaces lined by metaplastic epithelium. (×10, Murray & Nadel's Textbook of Respiratory Medicine)

Radiology — HRCT Features

HRCT is the cornerstone of diagnosis and has largely replaced open lung biopsy in typical cases.

HRCT findings in UIP/IPF

HRCT axial views showing honeycomb change (a), traction bronchiectasis (b), and architectural distortion (c) in ILD
HRCT patterns in ILD: (a) honeycombing — subpleural clustered cysts with thick shared walls; (b) traction bronchiectasis — dilated, distorted bronchi within fibrotic lung; (c) architectural distortion.
HRCT showing bilateral peripheral honeycomb fibrosis with red arrows highlighting subpleural cystic changes — RA-ILD/IPF pattern
Bilateral, peripheral, basal-predominant honeycombing with traction bronchiectasis — hallmark UIP pattern on HRCT.
FeatureHoneycombingMimics to Exclude
LocationSubpleural, basal-predominant
Cyst size3–10 mm (up to 2.5 cm)
WallsThick, well-defined, shared (stacked layers)Paraseptal emphysema (thinner walls, no sharing)
Associated findingsTraction bronchiectasis, reticulation, architectural distortionCystic lung disease (LAM, LCH — no fibrosis context)

Gross lung sections showing honeycomb pattern:

Gross lung cross-sections demonstrating honeycomb pattern — bilateral lower lobe predominant clustered airspaces
Cross-sections of the lung bases showing bilateral honeycombing in UIP/IPF — note clustered, thick-walled cystic spaces forming the "honeycomb" appearance.
Key distinction: In NSIP (Non-Specific Interstitial Pneumonia), ground-glass opacities do not progress to honeycombing (ground-glass → fibrosis stays as fine reticulation). Progression of ground-glass to honeycombing points to UIP and indicates irreversible fibrosis.

Clinical Course & Prognosis

  • Median survival: ~3.8 years after IPF diagnosis
  • Course is unpredictable — usually slow progressive respiratory failure; some patients have acute exacerbations (DAD superimposed on chronic UIP) with rapid deterioration
  • Late complications: Pulmonary hypertension and cor pulmonale (right heart failure)
  • Clubbing and cyanosis occur late

Treatment

InterventionNotes
Nintedanib (tyrosine kinase inhibitor)Slows disease progression in IPF
Pirfenidone (TGF-β antagonist)Slows disease progression in IPF
Lung transplantationOnly definitive therapy
Treat underlying causeFor secondary ILDs (stop smoking, treat CTD, remove antigen in HP)
ImmunosuppressantsEffective in NSIP; not in IPF
Prognosis is markedly better if patients completely cease smoking (e.g., in smoking-related ILD); end-stage honeycomb lung rarely develops after complete smoking cessation.

Key Summary

AspectKey Point
Honeycomb lungEnd-stage, irreversible fibrosis — final common pathway of many ILDs
PrototypeIPF (UIP pattern)
HistologyCystic spaces lined by metaplastic epithelium + spatial/temporal heterogeneity
HRCTSubpleural, basal-predominant clustered cysts 3–10 mm, thick shared walls
PathogenesisAberrant epithelial repair → TGF-β → fibroblast activation → collagen deposition
TreatmentNintedanib, pirfenidone (slow progression); transplant (definitive)

Sources: Robbins, Cotran & Kumar Pathologic Basis of Disease; Murray & Nadel's Textbook of Respiratory Medicine; Goldman-Cecil Medicine; Fishman's Pulmonary Diseases and Disorders

Can u explain in understandBLE TERMS

Interstitial Lung Disease & Honeycomb Lung — In Simple Terms


🫁 First, How Normal Lungs Work

Think of your lungs like a sponge — millions of tiny air sacs (alveoli) surrounded by thin walls. When you breathe in, these sacs fill with air, oxygen passes through the thin walls into your blood, and CO₂ comes back out.
The "interstitium" is just the name for those thin walls and the tissue between the air sacs.

What Goes Wrong in ILD?

In Interstitial Lung Disease, those thin walls get inflamed and then scarred (fibrosed).
Scar tissue is stiff. So instead of a soft, stretchy sponge, the lungs become like a stiff, rigid sponge that can't expand properly.
This is why patients feel:
  • 😮‍💨 Breathlessness — the lungs can't stretch to take in a full breath
  • 🤧 Dry cough — irritation from the scarring
  • 😴 Fatigue — body isn't getting enough oxygen

What is "Honeycomb Lung"?

When the scarring gets very advanced, the normal air sac architecture is completely destroyed. What's left is a bunch of small, air-filled cysts (bubble-like holes) separated by thick fibrous walls.
On a CT scan or when you look at the actual lung, it looks exactly like a honeycomb — rows of small round holes with thick walls between them.
🍯 Honeycomb lung = end-stage scarring. It means the damage is permanent and cannot be reversed.

The Most Common Cause — IPF

IPF (Idiopathic Pulmonary Fibrosis) is the #1 cause of honeycomb lung.
  • Idiopathic = we don't know the exact cause
  • Pulmonary fibrosis = scarring of the lungs

Why does it happen?

Think of it like a wound that never heals properly:
  1. Something injures the lung lining (smoking, dust, pollution, aging)
  2. The body tries to repair it — sends in "repair cells" (fibroblasts)
  3. In IPF, those repair cells go into overdrive and lay down too much scar tissue
  4. This keeps happening again and again → progressive scarring → honeycomb lung

Who gets it?

  • Usually people aged 55–75 years
  • More common in smokers (risk increased up to 9x)
  • Workers exposed to metal dust, wood dust, farming

What Does It Look Like Under the Microscope?

What you seeWhat it means
Patches of normal lung next to destroyed lungDamage is uneven — some areas worse than others
Young scar tissue alongside old scar tissueInjury keeps happening repeatedly over time
Cystic holes lined by the wrong type of cellsThe original air sac cells are replaced by scar and abnormal cells

How is it Diagnosed?

HRCT Scan (High-Resolution CT)

This is the main tool. Doctors look for:
FindingWhat it looks likeWhat it means
HoneycombingClustered small holes (3–10 mm) at the edges of the lungsAdvanced irreversible fibrosis
Traction bronchiectasisAirways stretched and distortedSurrounding scar is pulling them apart
ReticulationNet-like patternThickened scarred walls between air sacs
Ground-glass opacityHazy, misty areasEarly inflammation (can be reversible)
📍 In IPF, these changes are worst at the lower lobes and the outer edges (subpleural) of the lung — this distribution is a key clue.

How Does It Progress?

Normal Lung
    ↓  (repeated injury)
Inflammation
    ↓  (failed repair)
Scarring (fibrosis)
    ↓  (progressive)
Honeycomb Lung (end-stage)
    ↓
Respiratory failure + Pulmonary hypertension
  • Most patients slowly get worse over years
  • Some suddenly deteriorate (acute exacerbation)
  • Average survival after IPF diagnosis: ~3.8 years
  • Late features: blue lips/fingers (cyanosis), finger clubbing, right heart failure

Treatment — Can it Be Fixed?

Unfortunately, honeycomb lung cannot be reversed. But:
TreatmentWhat it does
Nintedanib (drug)Blocks signals that tell fibroblasts to keep scarring → slows progression
Pirfenidone (drug)Blocks TGF-β, a key "scar more" signal → slows progression
Stop smokingThe single most important thing — dramatically slows progression
Lung transplantThe only cure, but not available to everyone
These drugs slow the disease down — they don't cure it or reverse the damage already done.

Quick Summary

QuestionSimple Answer
What is ILD?Scarring of the walls between lung air sacs
What is honeycomb lung?End-stage scarring — looks like a honeycomb on CT
What causes it?Most often IPF — repeated injury + failed repair
Who is at risk?Smokers, older adults, dust-exposed workers
Is it reversible?No — once honeycombed, that damage is permanent
What can we do?Slow it down with drugs; transplant is the only cure
This is a shared conversation. Sign in to Orris to start your own chat.