B lymphocytes

Reading File
Finding Sources
Finding Sources
Reading File
Reading File
Reading File
Reading File
Reading File
Reading File
Searching Images

B lymphocyte development maturation activation

Loading Image
Loading Image
Finding Sources
Reading File
Reading File
Now I have comprehensive information to write a thorough answer on B lymphocytes. Let me compile it.

B Lymphocytes (B Cells)

Origin and Nomenclature

B lymphocytes are named for the bursa of Fabricius in birds, the organ where they were first discovered to mature. In mammals, no bursal equivalent exists — instead, early B cell maturation occurs in the bone marrow, so "B" now stands for bone marrow-derived. Before birth, B cells develop from committed precursors in the fetal liver; after birth, the bone marrow takes over as the primary site.
Cellular and Molecular Immunology, p. 80; Robbins & Kumar Basic Pathology, p. 160

Role in Immunity

B cells are the principal effector cells of humoral (antibody-mediated) immunity. They:
  • Recognize antigens via membrane-bound antibody (IgM class) expressed as the B-cell receptor (BCR) complex
  • Unlike T cells, can recognize soluble or cell-associated proteins, lipids, polysaccharides, nucleic acids, and small chemicals — without MHC presentation
  • After activation, differentiate into plasma cells that secrete large quantities of antibodies
  • Make up 10–20% of circulating lymphocytes
Robbins & Kumar Basic Pathology, p. 160

Development Stages

Development takes approximately 2–3 days from lymphoid progenitor to mature B cell (in humans). The process involves sequential Ig gene rearrangement and stringent selection:
StageKey Events
Pro-B cellEarliest committed B lineage cell; expresses CD19, CD10; RAG1/RAG2 expressed; D-J recombination of IgH locus begins
Pre-B cellV-to-DJ recombination completes; pre-BCR expressed (μ heavy chain + surrogate light chain); pre-antigen receptor checkpoint passed
Immature B cellFirst IgM-expressing cell; complete BCR (IgM + Igα/Igβ) on surface; tonic BCR signals suppress further Ig gene rearrangement; self-reactive cells eliminated by receptor editing or apoptosis (central tolerance)
Transitional B cellLeave bone marrow into peripheral blood in 3 stages; self-reactive cells further inactivated in spleen
Mature follicular B cellExpress both IgM and IgD; populate secondary lymphoid organs; ready to respond to antigen
B cell development diagram showing progression from lymphoid stem cell → progenitor → pre-B → immature B → mature B cell in bone marrow, then into peripheral lymphatic organs (activated B cell, germinal center B cell, memory B cell, plasma cells)
Cellular and Molecular Immunology, pp. 584–594

B Cell Subsets

Three major subsets exist, each in distinct anatomic locations:
SubsetLocationKey Features
Follicular B cellsLymphoid tissues, bloodMost numerous; express highly diverse BCRs; T cell–dependent activation; produce high-affinity antibodies and memory B cells; undergo class switching (IgM → IgG, IgA, IgE)
Marginal zone B cellsSpleen marginal zone (circulating in humans)T cell–independent; rapid IgM production against blood-borne pathogens; express IgM and CD27
B-1 cellsMucosal tissues, peritoneal/pleural cavitiesFetal liver–derived; limited antibody diversity; produce "natural antibodies"
Cellular and Molecular Immunology, p. 81; Sabiston Textbook of Surgery, p. 545

The B-Cell Receptor (BCR) Complex

  • Surface receptor is a monomer of IgM or IgD (~150,000 copies per B cell)
  • Each BCR has a unique amino acid sequence in its antigen-binding site (variable region)
  • BCR is non-covalently associated with signaling heterodimer Igα (CD79a) and Igβ (CD79b), responsible for intracellular signal transduction upon antigen recognition
  • Antigen binding → endocytosis → peptide presentation on MHC class II → helper T cell activation of the B cell
Janeway's Immunobiology, p. 37; Junqueira's Basic Histology, p. 683

Activation and Germinal Center Reaction

Follicular B cell activation is T cell–dependent:
  1. BCR binds antigen → endocytosis and MHC II presentation
  2. CD4⁺ T follicular helper (Tfh) cell recognizes peptide–MHC II complex and provides co-stimulation + IL-4
  3. B cells enter lymphoid follicles and form germinal centers (GC)
  4. In germinal centers, B cell DNA undergoes:
    • Somatic hypermutation (variable region genes) → affinity maturation
    • Class switch recombination (IgM → IgG, IgA, or IgE)
  5. B cells that acquire high-affinity receptors survive; others undergo apoptosis (cleared by macrophages)
  6. Post-GC B cells differentiate into:
    • Long-lived plasma cells → secrete antibodies (persist in bone marrow)
    • Memory B cells → long-lived; enable rapid secondary responses on re-exposure
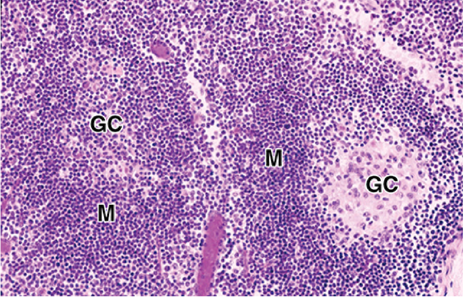
Histology of secondary lymphoid nodules showing germinal centers (GC) with activated B lymphoblasts and peripheral follicular mantle (M) of naïve lymphocytes — H&E stain
Secondary lymphoid nodules with germinal centers (GC) and follicular mantle (M). Rapid B cell proliferation in the GC pushes naïve lymphocytes to the periphery. — Junqueira's Basic Histology, p. 684
Junqueira's Basic Histology, pp. 683–685; Cellular and Molecular Immunology, pp. 584–594

Immunoglobulin Classes (Isotypes)

After class switching, B cells/plasma cells produce five isotypes:
IsotypeKey Role
IgGHighest circulating concentration; long-term protection; crosses placenta
IgMFirst antibody produced in primary response; efficient complement activation
IgAPredominant in mucosal secretions (gut, respiratory, breast milk)
IgEVery low circulating levels; bound to mast cell surfaces; mediates allergic responses
IgDExpressed on B cell surface; virtually undetectable in blood
IgG + IgM + IgA together account for >95% of circulating antibodies.
Robbins & Kumar Basic Pathology, p. 160

Key Surface Markers

  • CD19 — expressed throughout B cell lineage; essential for BCR signaling
  • CD20 — expressed on mature B cells (target of rituximab)
  • CD21 — complement receptor 2; also the EBV receptor
  • CD23 — low-affinity IgE receptor (follicular B cells)
  • CD27 — memory B cell marker
  • MHC class II — required for antigen presentation to T cells
  • Fc receptors — modulate B cell activation

Clinical Relevance

  • Primary antibody deficiencies (e.g., X-linked agammaglobulinemia / Bruton's disease): failure of B cell maturation due to BTK mutation
  • B cell lymphomas/leukemias: malignant transformation at various maturation stages (CLL, follicular lymphoma, diffuse large B cell lymphoma, multiple myeloma from plasma cells)
  • Autoimmune disease: autoreactive B cells escaping tolerance → autoantibody production (SLE, rheumatoid arthritis)
  • Therapeutic targets: rituximab (anti-CD20), belimumab (anti-BAFF), CAR-T therapies targeting B cell antigens
This is a shared conversation. Sign in to Orris to start your own chat.