Anemia – Complete Diagnostic Approach (Stepwise) Also extract high quality images wherever necessary for showcasing any clinical findings

Reading File
Finding Sources
Finding Sources
Reading File
Reading File
Finding Sources
Reading File
Finding Sources
Finding Sources
Reading File
Reading File
Finding Sources
Reading File
Finding Sources
Searching Images

anemia blood smear peripheral smear microcytic hypochromic iron deficiency

Searching Images

sickle cell anemia target cells schistocytes spherocytes blood smear morphology

Finding Sources
Loading Image
Loading Image
Loading Image
Loading Image
Loading Image
Loading Image
Loading Image
Reading File
Now I have all the material needed. Let me compile the comprehensive stepwise diagnostic guide.

Anemia — Complete Diagnostic Approach (Stepwise)

Sources: Harrison's Principles of Internal Medicine 22E (2025), Robbins & Kumar Pathologic Basis of Disease, Goldman-Cecil Medicine, Tintinalli's Emergency Medicine

Physiologic Basis

The size of the red cell mass reflects the balance between red cell production and destruction. The master regulator is erythropoietin (EPO), produced primarily by peritubular capillary cells of the kidney in response to tissue hypoxia via the HIF-1α pathway. When hemoglobin falls below 100–120 g/L (10–12 g/dL), EPO rises proportionally. A defect in any of three components — renal EPO production, bone marrow function, or substrate supply (especially iron) — can produce anemia. — Harrison's 22E

Definition: Normal Hemoglobin/Hematocrit Values

PopulationHemoglobin (g/dL)Hematocrit (%)
Adult man16 (±2)47 (±6)
Adult woman (menstruating)13 (±2)40 (±6)
Adult woman (postmenopausal)14 (±2)42 (±6)
Pregnancy12 (±2)37 (±6)
Childhood1236
Newborn1752
WHO defines anemia as Hb <13 g/dL in men, <12 g/dL in non-pregnant women, <11 g/dL in pregnant women.

Step 1 — History

The first step is a focused history:
  • Previous episodes of anemia, prior iron pills or transfusions
  • Family history (hemoglobinopathies, hereditary spherocytosis)
  • Menstrual history: duration of periods, number of pads/tampons, large clots
  • Blood donation
  • Dietary history (vegetarian/vegan → B12 risk; poor diet → folate risk)
  • Alcohol use, liver disease, hypothyroidism
  • Symptoms pointing to underlying cause: diarrhea (celiac, IBD), bone pain (myeloma), weight loss (malignancy), neurological symptoms (B12 deficiency)
  • Medications (chemotherapy, methotrexate, antiseizure drugs, ACE inhibitors, NSAIDs → GI blood loss)
  • Geography/ethnicity (sickle cell, thalassemia in relevant populations)

Step 2 — Physical Examination

The exam should focus on:
  • Consequences of anemia: pallor of mucosa/conjunctiva, resting tachycardia, cardiac flow murmur, dyspnea
  • Clues to cause:
    • Splenomegaly → hemolysis, lymphoma, portal hypertension
    • Lymphadenopathy → lymphoma, leukemia
    • Hepatomegaly/jaundice → hemolytic anemia, liver disease
    • Glossitis, angular cheilitis, koilonychia → iron deficiency
    • Neurologic signs (subacute combined degeneration) → B12 deficiency
    • Petechiae/bleeding → aplastic anemia, thrombocytopenia
    • Rectal exam/occult blood → GI blood loss

Step 3 — Initial Laboratory Work-Up

Complete Blood Count (CBC) with Differential

The CBC is the cornerstone. Key indices:
IndexNormal RangeSignificance
Hemoglobin/HematocritSee aboveDefines severity
MCV (Mean Corpuscular Volume)80–100 fLSize classification
MCH27–33 pgHemoglobin content per cell
MCHC32–36 g/dLHemoglobin concentration
RDW (Red Cell Distribution Width)11.5–14.5%Anisocytosis
WBC + differentialPancytopenia, leukocytosis
Platelet countBone marrow function

Reticulocyte Count — The Critical Branching Point

The absolute reticulocyte count (ARC) is the most important first indicator of anemia mechanism:
  • Elevated ARC (>100,000/μL) → Bone marrow is responding → anemia due to increased loss or destruction (bleeding or hemolysis)
  • Low/normal ARC (<50,000/μL) → Bone marrow is failing to respond → anemia due to impaired production (hypoproliferative)
The reticulocyte production index (RPI) = [reticulocyte % × Hct/45] / maturation factor. An RPI <2 indicates hypoproliferation; RPI >3 indicates hyperproliferation.

Step 4 — Peripheral Blood Smear (MANDATORY)

"A review of the blood smear is a crucial part of any evaluation for anemia as changes in red cell morphology can point to specific causes of anemia." — Harrison's 22E

Normal Blood Smear (Reference)

Normal peripheral blood smear showing uniform biconcave red cells, a neutrophil, and platelets
Normal blood smear (Wright stain). Uniform, biconcave red cells with central pallor comprising one-third of cell diameter, a neutrophil, and a few platelets. — Harrison's 22E, Fig. 66-3

Key Red Cell Morphology and Diagnostic Significance

MorphologyPathophysiologyDisease States
Microcytosis / HypochromiaInadequate hemoglobinizationIron deficiency, thalassemia, sideroblastic anemia, anemia of chronic disease
Macro-ovalocytesNuclear-cytoplasmic dyssynchronyB12 / folate deficiency, myelodysplasia, chemotherapy
SpherocytesLoss of red cell membraneHereditary spherocytosis, autoimmune hemolytic anemia
SchistocytesMechanical fragmentationTTP/HUS, DIC, prosthetic heart valve hemolysis, march hemoglobinuria
Sickle cellsHemoglobin polymerizationSickle cell disease (HbSS, HbSC)
Target cellsRelative membrane excessLiver disease, thalassemia, hemoglobinopathies
PolychromasiaPersistence of RNA in reticulocytesHemolytic anemia, blood loss
Basophilic stipplingPathologic polyribosome precipitationThalassemia, lead poisoning
Howell-Jolly bodiesNuclear remnantsAsplenia, functional hyposplenism
Teardrop cells + nucleated RBCsMarrow architecture disruptionMyelofibrosis, myelophthisic anemia
Hypersegmented neutrophilsImpaired DNA synthesisB12/folate deficiency (megaloblastic anemia)

Step 5 — MCV-Based Classification and Targeted Workup

5A — Microcytic Anemia (MCV < 80 fL)

Caused by any process that interferes with hemoglobin production — less hemoglobin → smaller red cells.
Differential: Iron deficiency · Thalassemia · Anemia of chronic disease/inflammation · Sideroblastic anemia · Lead poisoning

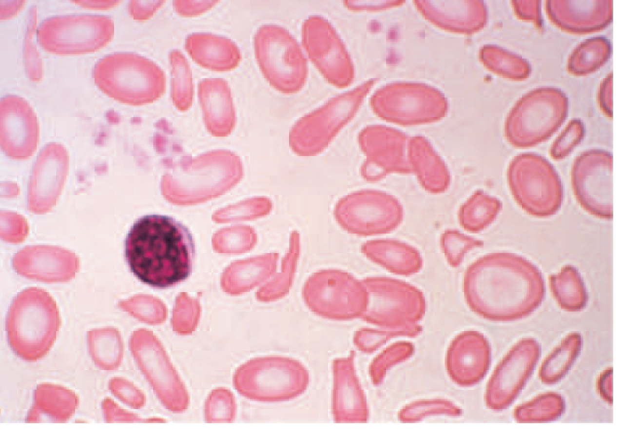
Peripheral Smear: Severe Iron Deficiency Anemia

Severe iron-deficiency anemia: microcytic, hypochromic red cells with marked anisocytosis and poikilocytosis, cells smaller than a lymphocyte nucleus
Severe iron-deficiency anemia. Microcytic, hypochromic red cells, smaller than the nucleus of a lymphocyte, with marked anisocytosis and poikilocytosis. — Harrison's 22E, Fig. 66-4
Key Laboratory Panel for Microcytic Anemia:
TestIron DeficiencyAnemia of InflammationThalassemiaSideroblastic Anemia
SmearMicro/hypoNormal or micro/hypoMicro/hypo + targetingVariable
Serum iron (μg/dL)<30<50Normal–highNormal–high
TIBC (μg/dL)>360<300NormalNormal
Transferrin saturation<10%10–20%30–80%30–80%
Ferritin (μg/L)<1530–20050–30050–300
Hb electrophoresisNormalNormalAbnormal (β-thal); may be normal (α-thal)Normal
RDWHigh (anisocytosis)NormalLow (homogeneous cells)Variable
Key distinguishing clue: RDW is high in iron deficiency (anisocytosis) but low in thalassemia (uniform microcytosis). — Harrison's 22E
Ferritin <30 μg/L = depleted iron stores. Ferritin >200 μg/L = some tissue stores remain. However, ferritin is an acute-phase reactant — it may be falsely elevated in inflammation even with concurrent iron deficiency.

5B — Macrocytic Anemia (MCV > 100 fL)

Two morphologic subtypes guide further workup:

Oval Macrocytes (Megaloblastic pattern)

Caused by defects in DNA synthesis → abnormal nuclear-cytoplasmic maturation (megaloblasts in marrow).
  • Causes: Vitamin B12 deficiency · Folate deficiency · Chemotherapy agents (hydroxyurea, methotrexate) · Myelodysplastic syndrome (MDS)

Round Macrocytes (Non-megaloblastic)

Caused by membrane defects (cholesterol/phospholipid changes).
  • Causes: Alcohol use · Liver disease · Hypothyroidism · Reticulocytosis · Dysproteinemia · Smoking · Hypoxia

Peripheral Smear + Bone Marrow: Severe Megaloblastic Anemia

Severe megaloblastic anemia: Panel A shows peripheral blood with oval macrocytes and a hypersegmented neutrophil; Panel B shows bone marrow with giant megaloblasts, abnormal erythroid and myeloid precursors
(A) Peripheral blood in severe megaloblastic anemia: oval macrocytes and a hypersegmented neutrophil (>5 lobes). (B) Bone marrow: giant megaloblasts with open, immature chromatin; nuclear-cytoplasmic asynchrony in erythroid and myeloid precursors; giant metamyelocytes. — Harrison's 22E, Fig. 99-2
Macrocytic Workup:
  1. Blood smear — oval vs. round macrocytes? Hypersegmented neutrophils?
  2. If megaloblastic pattern: Serum B12 + serum folate / RBC folate
  3. If B12 low: anti-intrinsic factor antibodies (pernicious anemia), Schilling test if needed
  4. If B12/folate normal with macro-ovalocytes: bone marrow biopsy (suspect MDS)
  5. If round macrocytes: check TSH, LFTs, alcohol history

5C — Normocytic Anemia (MCV 80–100 fL)

The broadest and most heterogeneous category. Workup is mechanistically driven.
Differential:
  • Aplastic anemia · Pure red cell aplasia
  • Renal disease (EPO deficiency)
  • Anemia of inflammation/chronic disease
  • Endocrinopathies (hypothyroidism, Addison's)
  • Marrow infiltration (myeloma, metastases, granulomas)
  • Stem cell defects (leukemia, MDS)
  • Acute blood loss/early iron deficiency
Normocytic Workup:
  1. Reticulocyte count (see Step 4 above)
  2. Renal function (Cr/eGFR), EPO level
  3. TSH, cortisol (endocrine causes)
  4. Serum protein electrophoresis (SPEP) for myeloma
  5. LDH, haptoglobin, bilirubin (if hemolysis suspected)
  6. Consider bone marrow exam if no clear cause found

Step 6 — Reticulocyte-Guided Mechanistic Workup

6A — High Reticulocyte Count → Hemolysis / Blood Loss

Rule out bleeding first (clinical history, occult stool blood, imaging). If no bleeding:

Hemolysis Workup:

TestFinding in Hemolysis
LDHElevated (abundant in RBCs)
Serum haptoglobinLow (binds free Hb; consumed)
Indirect bilirubinElevated
Urine hemoglobin/hemosiderinPositive in intravascular hemolysis
Direct Antiglobulin Test (DAT/Coombs)Positive → immune-mediated (AIHA)
Peripheral smearSpherocytes (AIHA, HS), schistocytes (TTP/HUS), sickle cells
Osmotic fragilityIncreased in hereditary spherocytosis
G6PD assayLow in G6PD deficiency
Hb electrophoresisAbnormal in hemoglobinopathies
Flow cytometry (CD55/CD59)Absent in PNH

Autoimmune Hemolytic Anemia — Peripheral Smear

Peripheral blood smear showing spherocytes in autoimmune hemolytic anemia complicating CLL: numerous small lymphocytes and spherocytes with reduced central pallor, polychromasia, and rare nucleated RBCs
Peripheral smear in AIHA complicating CLL. Spherocytes with markedly reduced central pallor, polychromasia, and rare nucleated RBCs indicating brisk reticulocyte response. Smudge cells (CLL lymphocytes) visible. — Webpathology

Sickle Cell Disease — Peripheral Smear

Sickle cell disease blood smear: numerous sickle-shaped, crescent/elongated red cells with some round forms and a neutrophil
Sickle cell disease: elongated, crescent-shaped sickle cells mixed with round cells. HbS polymerization causes rigid, deformed cells that obstruct microvasculature. — Harrison's 22E

6B — Low Reticulocyte Count → Hypoproliferative (Underproduction)

"At least 75% of all cases of anemia are hypoproliferative in nature." — Harrison's 22E

Sub-classification by mechanism:

MechanismKey FeaturesDiagnostic Test
Nutritional (Iron)Microcytic, low ferritin, high TIBCFerritin, serum iron, TIBC
Nutritional (B12/Folate)Macrocytic, hypersegmented PMNsSerum B12, folate, MMA, homocysteine
Renal (EPO deficiency)Normocytic, eGFR <30–60Creatinine, eGFR, EPO level
Anemia of inflammationNormocytic or mild microcytic; high ferritin, low TIBCCRP, ESR, ferritin, underlying disease
Marrow replacementMyelophthisic picture (teardrops, nRBCs, leukoerythroblastosis)BM biopsy
Aplastic anemiaPancytopenia, hypocellular marrowBM biopsy (hypocellular)
Pure red cell aplasiaVery low retics, normal WBC/plt, absent erythroid precursorsBM biopsy, parvovirus B19 serology
MDSMacro-ovalocytes, dysplastic WBCs/plateletsBM biopsy + cytogenetics
LeukemiaPancytopenia, blasts on smearBM biopsy + molecular testing

Anemia of Chronic Inflammation — Mechanism

The predominant mechanism is hepcidin upregulation by inflammatory cytokines (TNF, IL-6). Hepcidin blocks:
  1. Iron absorption from the gut
  2. Iron release from macrophages/stores → Functional iron deficiency despite normal/high stores. EPO levels are also suppressed by cytokines. Laboratory: normocytic or mild microcytic anemia; ferritin high (acute-phase reactant); serum iron low; TIBC low (distinguishes from true iron deficiency where TIBC is high). — Harrison's 22E, Robbins & Kumar

Step 7 — Bone Marrow Examination

Indications (from Histology: A Text and Atlas):
  1. Unexplained severe anemia
  2. Abnormal peripheral blood smear morphology suggesting marrow pathology
  3. Suspected aplastic anemia, MDS, or leukemia
  4. Circulating nucleated red blood cells
  5. Myelophthisic picture (teardrop cells + leukoerythroblastosis)
  6. Staging of lymphoma or certain malignancies
  7. Macro-ovalocytes with normal B12/folate (suspect MDS)
  8. Marrow infiltration suspected (myeloma, metastases, granulomas)
Bone marrow examination includes aspirate (cytology + flow cytometry) and trephine biopsy (cellularity, architecture, molecular testing).

Step 8 — Additional Targeted Tests by Clinical Context

Clinical SuspicionAdditional Tests
Pernicious anemiaAnti-intrinsic factor Ab, anti-parietal cell Ab
ThalassemiaHb electrophoresis, α-gene deletion (PCR), family study
HemoglobinopathyHb electrophoresis, sickling test
PNHFlow cytometry (CD55, CD59 deficiency)
TTP/HUSADAMTS13 activity, schistocytes, platelet count, creatinine
Lead poisoningBlood lead level, basophilic stippling on smear
Liver diseaseLFTs, coagulation panel
HypothyroidismTSH
MyelomaSPEP, UPEP, serum free light chains, BM biopsy
AutoimmuneANA, RF (underlying connective tissue disease)

Summary Algorithm

Hemoglobin low?
       │
       ▼
History + Physical → Severity, Symptoms, Clues to Cause
       │
       ▼
CBC + Reticulocyte Count + Peripheral Blood Smear
       │
       ├── Retic ↑ (>100K) ─── Bleeding? ── YES → GI workup, imaging
       │                         │
       │                         NO → Hemolysis workup:
       │                              LDH ↑, Haptoglobin ↓, Indirect bili ↑
       │                              DAT (Coombs), smear morphology
       │                              G6PD, Hb electrophoresis, PNH screen
       │
       └── Retic ↓ / normal ── MCV?
                                │
                    ┌───────────┼──────────────┐
                    ▼           ▼              ▼
               Microcytic   Normocytic     Macrocytic
               (MCV <80)   (MCV 80–100)   (MCV >100)
                    │           │              │
              Ferritin +    Renal Fn,      Smear →
              Serum Fe +    EPO level,     Oval macros?
              TIBC +        TSH, SPEP,     → B12/Folate
              Hb electro    BM if needed   Round macros?
              RDW                          → Alcohol/Liver/
              (↑ IDA,                        Thyroid
              ↓ Thal)                      Normal B12/folate
                                           + oval macros?
                                           → BM (MDS)

Comparison: Iron Deficiency vs. Anemia of Inflammation (Common Clinical Dilemma)

FeatureIron DeficiencyAnemia of Inflammation
Ferritin↓ (<15 μg/L)Normal to ↑ (30–200)
Serum iron
TIBC↑ (>360)↓ (<300)
Transferrin sat<10%10–20%
Hepcidin
RBC morphologyMicro/hypoNormocytic or mildly micro
CauseBlood loss, malabsorption, poor intakeInfection, cancer, RA, IBD
When both conditions coexist (common), ferritin may be falsely normal. The soluble transferrin receptor (sTfR) or sTfR/log ferritin index can help — it rises in true iron deficiency but not in inflammation alone.

Macrocytic Anemia: B12 vs. Folate vs. MDS

FeatureB12 DeficiencyFolate DeficiencyMDS
SmearOval macrocytes, hyperseg PMNsSameOval macrocytes ± dysplasia
Serum B12Low (<200 pg/mL)NormalNormal
Serum folateNormalLowNormal
HomocysteineNormal
Methylmalonic acid (MMA) (B12-specific)NormalNormal
Neurological signsYES (posterior column)NoNo
Bone marrowMegaloblasticMegaloblasticDysplastic (ringed sideroblasts, etc.)

Severity Classification

SeverityHemoglobin
Mild10–12 g/dL (women) / 10–13 g/dL (men)
Moderate8–10 g/dL
Severe6–8 g/dL
Very severe / life-threatening<6 g/dL

Key Points

  1. Reticulocyte count is the single most important test after the CBC — it divides anemia into hyperproliferative (hemolysis/bleeding) vs. hypoproliferative (underproduction).
  2. Peripheral blood smear is mandatory and often diagnostic without further testing.
  3. MCV classifies by morphology and drives targeted testing in hypoproliferative anemia.
  4. RDW distinguishes iron deficiency (high, anisocytosis) from thalassemia (low, uniform cells).
  5. Ferritin is an acute-phase reactant — it can be normal or high in combined iron deficiency + inflammation.
  6. Hepcidin is the master iron regulator — elevated in anemia of inflammation; suppressed in iron deficiency.
  7. Bone marrow biopsy is reserved for unexplained anemia with myelophthisic features, pancytopenia, suspected malignancy, or when initial workup is unrevealing.
  8. At least 75% of all anemia is hypoproliferative; the most common cause globally is iron deficiency.

— Harrison's Principles of Internal Medicine 22E (2025, McGraw Hill) | Robbins, Cotran & Kumar Pathologic Basis of Disease | Goldman-Cecil Medicine | Tintinalli's Emergency Medicine

Create a single page note taking like image of this content and add infographics and illustrations wherever needed for quick understanding

Checking Date & Time
Running Command
Running Command
Writing File
Running Command
Reading File
Running Command
Loading Image
Running Command
Running Command
Your single-page diagnostic note is ready!

Anemia Diagnostic Note

Image · PNG


Here's what's packed into the note (11 labeled sections):
#SectionVisual Style
1Header + Normal Hb valuesDeep navy banner with colour-coded reference strip
2History + Physical ExamSide-by-side tinted panels
3CBC IndicesQuick-reference bar with normal ranges
4Reticulocyte Count – Master Branch PointCentral red diamond → High (red) / Low (blue) branches with sub-boxes
5MCV Classification3-column colour-coded grid (micro/normo/macro) with cause + test per entry
6Iron Studies Differential Table5-column table (IDA vs AoI vs Thal vs Sideroblastic) with red highlights
7Peripheral Smear Morphology Guide8 morphology tiles with coloured left-accent and → diagnosis
8Hemolysis Workup8 test cards (LDH, haptoglobin, DAT, G6PD, PNH screen, etc.)
9B12 vs Folate vs MDS Table7-row differential with MMA/homocysteine row highlighted
10Bone Marrow – Indications + FindingsSplit box (when to do it / what it shows)
11Diagnostic Algorithm FlowchartFull flowchart: Hb↓ → Smear+Retic → Retic branch → MCV branch → Tests
Key Pearls footerDark navy strip with 8 high-yield memory anchors

Create a single page note taking like image of this content and add infographics and illustrations wherever needed for quick understanding (Use generate poster tool)

Generating Image
Anemia – Complete Diagnostic Approach (Stepwise) — single-page note-taking poster
Here's your single-page diagnostic note poster. It covers all 10 stepwise sections in one visual:
  • Header — title + normal Hb reference values by population
  • Steps 1–2 — History & Physical Exam side-by-side
  • Step 3 — CBC indices quick-reference bar
  • Step 4 — Reticulocyte count master branch diamond (High → Hemolysis/Bleeding | Low → Underproduction)
  • Step 5 — MCV 3-column classification (Microcytic / Normocytic / Macrocytic) with causes and tests
  • Step 6 — Iron studies differential table (IDA vs ACD vs Thal vs Sideroblastic) with key highlights
  • Step 7 — Peripheral smear morphology tiles (8 RBC abnormalities → diagnoses)
  • Step 8 — Hemolysis workup grid (LDH, haptoglobin, DAT, G6PD, PNH screen)
  • Step 9 — B12 vs Folate vs MDS differential table
  • Step 10 — Diagnostic algorithm flowchart + Bone marrow indications
  • Footer — Severity band + 8 high-yield pearls
This is a shared conversation. Sign in to Orris to start your own chat.