11 Instrumental diagnostic methods of the gastrointestinal tract (X-ray, esophagogastroduodenoscopy, colonoscopy, rectosigmoidoscopy). Gastric juice and stool examination. Coprogram interpretation. Interactive method: "How?"

Reading File
Finding Sources
Finding Sources
Finding Sources
Finding Sources
Reading File
Reading File
I now have enough foundational textbook content to construct a comprehensive, well-structured answer. Let me synthesize this with my medical knowledge for this topic.

Instrumental Diagnostic Methods of the GI Tract — "How?"


1. X-Ray Methods

Plain Abdominal X-Ray (Survey Radiograph)

How it works:
  • Patient stands upright (or lies supine if unable to stand)
  • X-rays pass through the abdomen; dense structures (bone, calcifications, metal) appear white; gas appears black
  • What it shows: Free air under the diaphragm (perforation), bowel obstruction (air-fluid levels, dilated loops), ileus, calcifications (gallstones, renal stones, aortic calcification), foreign bodies

Contrast Radiography

How it works:
  • Barium swallow / upper GI series: Patient drinks barium sulfate suspension; X-rays taken as barium coats mucosa. Shows esophagus, stomach, duodenum — ulcers appear as niches/craters; tumors as filling defects
  • Barium enema: Barium introduced rectally via catheter; air then insufflated (double-contrast) to distend the colon. Outlines polyps, tumors, diverticula, strictures
  • Contraindications: Suspected perforation (use water-soluble contrast instead), complete obstruction

CT of the Abdomen (CT Colonography / "Virtual Colonoscopy")

How it works:
  • Patient undergoes bowel prep; air insufflated into colon via rectal tube
  • Helical CT creates 2D axial images + 3D endoluminal reconstruction
  • Detects polyps ≥6 mm, masses, wall thickening, extraluminal disease
  • Advantage: Non-invasive; Disadvantage: Cannot biopsy; radiation exposure
CT colonography showing sigmoid polyp on axial CT and 3D reconstruction
CT colonography: an 8-mm sigmoid polyp on axial 2D CT (A) and 3D endoluminal reconstruction (B) — Sleisenger & Fordtran's GI and Liver Disease

2. Esophagogastroduodenoscopy (EGD / Upper Endoscopy)

How it works:
  • Patient fasts ≥6–8 hours; throat sprayed with local anesthetic (lidocaine); IV sedation typically given
  • A flexible video endoscope (diameter ~9–12 mm) is passed through the mouth → pharynx → esophagus → stomach → duodenum (D1 and D2)
  • The endoscopist insufflates air/CO₂ to distend the lumen and visualize mucosa under white-light illumination
  • Advanced imaging: Narrow-band imaging (NBI) enhances vascular patterns; chromoendoscopy uses dye (e.g., indigo carmine) to highlight flat lesions
What it detects:
StructureFindings
EsophagusVarices, Barrett's esophagus, strictures, tumors, esophagitis
StomachUlcers, gastritis, polyps, carcinoma, MALT lymphoma
DuodenumDuodenal ulcer, celiac disease (villous atrophy on biopsy), ampullary pathology
Therapeutic uses: Hemostasis (injection, clipping, banding), polypectomy, foreign body removal, dilation of strictures, PEG tube placement
Contraindications: Suspected perforation, severe hemodynamic instability, uncooperative patient
Note on vascular lesions (angioectasias): Appear as cherry-red, fern-like arborizing vessels. Should be examined on insertion, not withdrawal, as suction artifacts may mimic them. Meperidine may mask lesions by reducing mucosal blood flow; naloxone reversal may enhance detection. — Clinical Gastrointestinal Endoscopy, 3e

3. Colonoscopy

How it works:
  • Patient performs full bowel prep (polyethylene glycol or sodium phosphate solution) the day before
  • Under IV sedation, a long flexible colonoscope (~130–160 cm) is inserted per rectum and advanced through the entire colon to the ileocecal valve (and often terminal ileum)
  • Air or CO₂ insufflation distends the lumen; the endoscopist uses torque, tip deflection, and patient positioning
  • Withdrawal phase (minimum 6–8 minutes) is the critical detection phase
What it detects:
  • Colorectal polyps (adenomas, serrated lesions), carcinoma, IBD (ulcerative colitis, Crohn's), diverticula, angioectasias, infectious colitis
Therapeutic uses: Polypectomy (snare/forceps), hemostasis, stricture dilation, stent placement, decompression of pseudo-obstruction
Screening: Colonoscopy every 10 years starting at age 45 reduces CRC incidence by 62–88% and mortality by 79–90% (USPSTF modeling data). Polypectomy reduces CRC mortality by ~53% at 15.8 years follow-up (National Polyp Study). — Sleisenger & Fordtran's GI and Liver Disease
Enhanced imaging: Chromoendoscopy (dye spray), NBI, iScan — improve flat adenoma detection, especially in IBD/Lynch syndrome
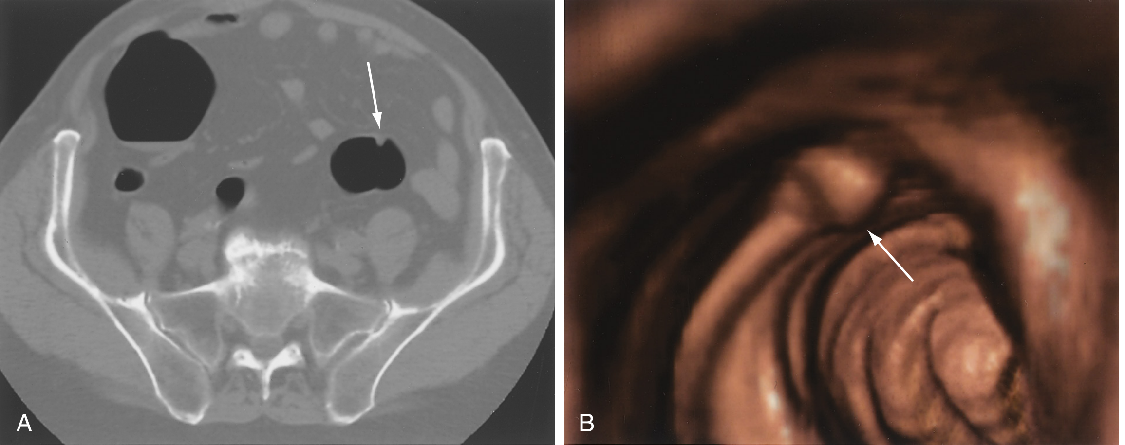
Sessile colonic lesion at colonoscopy and CT colonography
A 2-cm sessile colonic lesion (arrows): seen at colonoscopy (A) and on 3D CT colonography reconstruction (B) — Sleisenger & Fordtran's

4. Rectosigmoidoscopy (Sigmoidoscopy)

How it works:
  • Rigid sigmoidoscope (25–30 cm): Patient in knee-chest or left lateral position; rigid tube inserted; primarily examines rectum and distal sigmoid. Mainly used for rectal pathology (hemorrhoids, polyps, proctitis, biopsy)
  • Flexible sigmoidoscope (~60 cm): More comfortable; examines sigmoid and descending colon to splenic flexure; shorter prep (enemas only, no full bowel prep)
Advantages over colonoscopy: No sedation required, less preparation, faster, lower cost Limitation: Only examines left colon; right-sided lesions missed. Used as a first-line screening tool where colonoscopy is unavailable, or in combination with FIT (stool test)

5. Gastric Juice Examination

How it performed:
  • Patient fasts overnight
  • Nasogastric tube inserted; basal gastric juice aspirated for 1 hour (BAO = basal acid output)
  • Stimulated secretion: pentagastrin or histamine injected subcutaneously; gastric juice collected every 15 min × 4 (MAO = maximal acid output)
Normal values:
ParameterNormal
BAO1–5 mEq/h
MAO10–25 mEq/h
BAO/MAO ratio<0.2
pH1.5–2.5 (fasting)
Clinical interpretation:
ConditionFinding
Duodenal ulcer / Zollinger-Ellison↑↑ BAO, ↑ MAO, BAO/MAO >0.6
Gastric ulcerNormal or ↑ acid
Gastric carcinomaAchlorhydria (no acid even with stimulation)
Pernicious anemia / Atrophic gastritisAchlorhydria
Helicobacter pylori infectionMay show normal or increased acidity
Additional examination of gastric juice:
  • Microscopy: Presence of blood, bile, food remnants (gastric stasis), bacteria (sarcinae in achlorhydria), tumor cells (cytology)
  • Occult blood: Suggests ulcer or carcinoma
  • Lactic acid (Boas-Oppler sign): Present in achlorhydric states (achlorhydria → bacterial fermentation → lactic acid accumulation) — historically a marker for gastric cancer

6. Stool Examination & Coprogram

Collection

  • Fresh stool collected into clean container; examined within 1–2 hours (or refrigerated briefly)
  • Patient avoids iron, bismuth, NSAIDs, beets, red meat 3 days prior (for occult blood testing)

Coprogram — Systematic Interpretation

Macroscopic (Physical Properties)

ParameterNormalAbnormal Significance
ConsistencySoft, formedLiquid (diarrhea), hard pellets (constipation)
ColorBrown (stercobilin)Black/tarry (melena — upper GI bleed); red (hematochezia — lower GI); pale/clay (obstructive jaundice — no bile); green (rapid transit/infection)
ShapeCylindricalRibbon-like (rectal stricture); scybala (constipation)
OdorNormalPutrid = putrefactive dyspepsia; sour = fermentative dyspepsia
MucusAbsentPresent in IBD, IBS, dysentery, tumors
BloodAbsentVisible = hemorrhoid, fissure, colorectal cancer, dysentery
ParasitesAbsentAscaris, tapeworm segments visible macroscopically

Microscopic (Microsopy of Stool)

FindingNormalAbnormal Significance
Muscle fibers (creatorrhea)None/fewUnstriated = normal; striated = pancreatic exocrine insufficiency, rapid transit
Fat (steatorrhea)AbsentNeutral fat ↑ → pancreatic insufficiency (lipase deficiency); fatty acids ↑ → malabsorption (small bowel, e.g., celiac)
Starch (amilorrhea)AbsentPancreatic insufficiency, rapid transit
LeukocytesNone/rare>10/hpf → inflammatory colitis, dysentery, IBD
Red blood cellsAbsentColorectal inflammation, ulceration, carcinoma
Epithelial cellsRare↑ in colitis, tumor desquamation
Bacteria/parasitesNormal floraOva, larvae, cysts (Giardia, Entamoeba, Ascaris)
Yeast/fungiAbsentCandida in immunosuppressed, antibiotic use

Chemical Tests

TestPurposeSignificance
Occult blood (guaiac / immunochemical FIT)Detects hemoglobin peroxidasePositive in GI bleeding, CRC screening
Reaction (pH)pH stripAcid (pH <6) = fermentative dyspepsia; Alkaline (pH >8) = putrefactive/protein malabsorption
StercobilinBile pigment oxidation productAbsent → obstructive jaundice, complete bile duct obstruction
BilirubinDirect pigmentPresent in infants (normal); in adults = rapid transit bypasses bacterial reduction

Summary of Coprogram Patterns

SyndromeKey Coprogram Features
Pancreatic exocrine insufficiencySteatorrhea (neutral fat), creatorrhea (striated fibers), amilorrhea, large bulky stool, pale
Small bowel malabsorption (celiac)Fatty acids, steatorrhea, bulky, pale, alkaline
Obstructive jaundiceClay/acholic stool, no stercobilin, no bilirubin
Ulcerative colitis/dysenteryLiquid, mucus++, RBCs, leukocytes++, bloody
Upper GI bleedBlack tarry (melena), occult blood positive
Lower GI bleedRed blood mixed with stool or on surface
Fermentative dyspepsiaFoamy, yellow, sour smell, acid pH, ↑ starch, ↑ fatty acids
Putrefactive dyspepsiaDark, alkaline, putrid smell, ↑ striated muscle fibers

Quick Summary: "How?" — Method Logic

MethodKey Principle
X-rayContrast differences (air vs. tissue vs. metal); barium coats/fills lumen
EGDDirect mucosal visualization + biopsy via flexible scope, mouth to duodenum
ColonoscopyFull colonic visualization + intervention via flexible scope, anus to cecum
SigmoidoscopyLimited (rectum/sigmoid) direct visualization; no full prep/sedation
Gastric juiceQuantitative acid measurement (BAO/MAO); achlorhydria vs. hyperacidity
Stool exam/CoprogramPhysical, microscopic, chemical analysis of digestive residues

Sources: Clinical Gastrointestinal Endoscopy (Expert Consult, 3e); Sleisenger and Fordtran's Gastrointestinal and Liver Disease; standard internal medicine/gastroenterology reference knowledge.
This is a shared conversation. Sign in to Orris to start your own chat.