41 year male, systemic history not significant, diminution of vision in left eye since two weeks,painless. BCVA RE 6/6, LE 6/9. Anterior segment examination within normal range both eyes. Left eye shows elevation of macula . How to proceed with treatment?

Reading File
Finding Sources
Finding Sources
Finding Sources
Reading File
Reading File
Reading File
Reading File
Loading Image
Loading Image
Loading Image
This is a classic presentation of Central Serous Chorioretinopathy (CSCR) — a 41-year-old male with painless, unilateral diminution of vision (LE 6/9), normal anterior segment, and macular elevation (serous detachment of the neurosensory retina).

Diagnosis: Central Serous Chorioretinopathy (CSCR)

Key features matching this case:
  • Young/middle-aged male (M:F ratio 3:1)
  • Unilateral painless vision loss
  • VA reduced to 6/9 (typical range 6/9–6/18; may improve with low-strength convex lens due to acquired hypermetropia from retinal elevation)
  • Macular elevation = serous neurosensory detachment
  • Clear anterior segment

Investigations to Confirm Diagnosis

Step-by-step workup:
  1. Amsler grid testing — documents relative scotoma and metamorphopsia
  2. Slit-lamp biomicroscopy (with 60D/90D/Hruby lens) — rule out concomitant choroidal neovascularization (CNV) and optic pit
  3. Dilated fundus examination with indirect ophthalmoscopy — rule out choroidal tumour or rhegmatogenous retinal detachment (RRD)
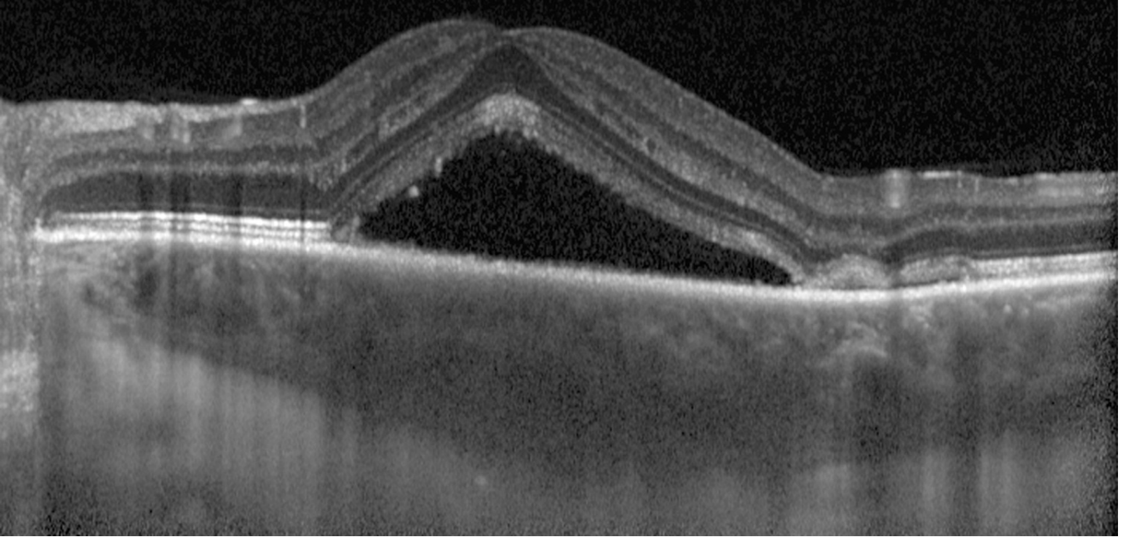
  4. OCT (Optical Coherence Tomography) — key investigation; demonstrates subretinal fluid, pigment epithelial detachments (PEDs), and choroidal thickening. Enhanced-depth imaging (EDI-OCT) shows choroidal thickening — a hallmark of pachychoroid disease
    EDI-OCT showing subretinal fluid and choroidal thickening in CSCR
    EDI-OCT: subretinal fluid pooled under the elevated neurosensory retina with underlying choroidal thickening
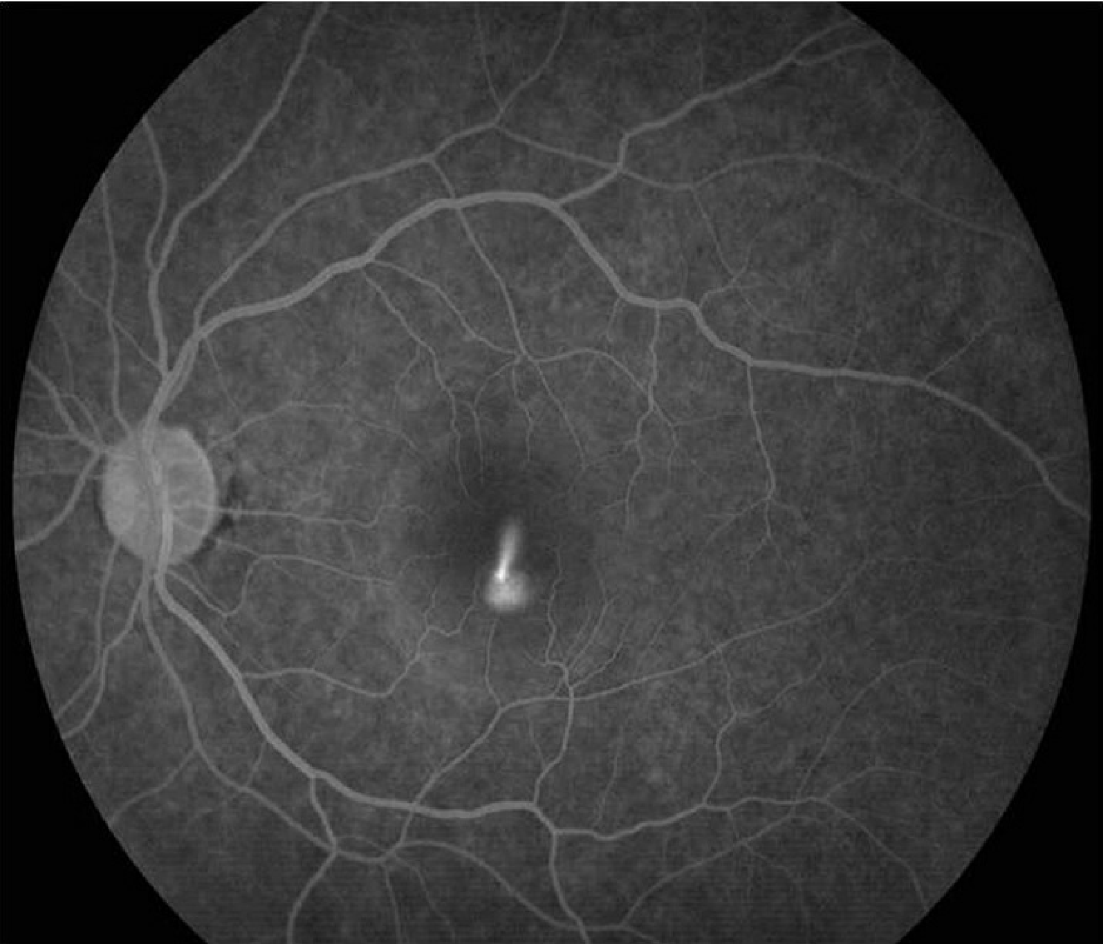
  5. IVFA (IV Fluorescein Angiography) — if diagnosis uncertain, CNV is suspected, or laser is being planned. Shows the nearly pathognomonic "smoke-stack" pattern of dye leakage (seen in 10–20% of cases)
    IVFA showing "smoke-stack" leakage pattern in CSCR
    IVFA: classic smoke-stack pattern of dye leakage at the site of RPE breakdown
  6. ICGA (Indocyanine Green Angiography) — shows choroidal hyperpermeability (multifocal hyperfluorescent patches in early phase); useful to identify subclinical foci
  7. Fundus Autofluorescence (FAF) — shows decreased autofluorescence at leakage and old lesion sites

Differential Diagnoses to Exclude

ConditionDifferentiating Feature
AMDAge ≥50, drusen, often bilateral
Optic pitPit visible at optic disc margin, contiguous detachment
Rhegmatogenous RDRetinal break identifiable
Choroidal tumour (haemangioma/melanoma)Choroidal mass on B-scan/clinical exam
Hypertensive retinopathyBP elevated, A/V changes
PEDMore distinct, sharply elevated RPE margin

Treatment Plan

Since this is a 2-week acute presentation with reasonably preserved vision (6/9) and no systemic history, the approach is primarily observation with targeted intervention if needed.

1. Observation (First-line for Acute CSCR)

  • Acute CSCR is self-limiting in ~80% of cases within 3–6 months with return to near-normal vision
  • Observe and reassess every 6–8 weeks
  • Worse prognosis if: recurrent disease, multiple detachment areas, prolonged course

2. Lifestyle & Causative Factor Modification

  • Discontinue all corticosteroids (systemic, topical skin, nasal sprays) — this is the single most important modifiable factor
  • Address psychological stress (type-A personality association)
  • Screen for H. pylori, hypertension, sleep apnoea — treat if found
  • In chronic cases: check serum cortisol and renal function

3. Pharmacological Options

AgentIndicationRegimen
Oral spironolactoneAcute CSCR to accelerate fluid resorption40 mg twice daily
EplerenoneChronic CSCRMineralocorticoid receptor antagonist; improves anatomic and visual outcomes
Anti-VEGF (intravitreal)Only if CNV coexistsBevacizumab alone not helpful without CNV

4. Laser Treatment (If Indicated)

Indications for laser:
  • Persistence of serous detachment for several months
  • Recurrence in an eye with prior permanent visual deficit
  • Fellow eye already affected with permanent deficit
  • Occupational necessity requiring prompt vision restoration
Preferred modality: Subthreshold (micropulse) diode laser to the RPE leakage site — fewer adverse effects, significantly less retinal damage on OCT vs. conventional photocoagulation
⚠ Conventional laser photocoagulation may accelerate resolution but carries a risk of CNV formation — use low intensity only

5. Photodynamic Therapy (PDT)

  • Half-dose verteporfin PDT (30–50% standard dose + 50% light intensity) — preferred for chronic CSCR or when rapid resolution is needed
  • Leads to complete resolution including severe chronic cases
  • Lower incidence of choroidal ischaemia vs. full-dose regimens
  • Can be combined with intravitreal anti-VEGF when CNV coexists

Summary Algorithm for This Patient

Acute CSCR (2 weeks) → Confirm with OCT + IVFA
         ↓
Observe for 3 months + stop all steroids
         ↓
Resolution? → Follow-up 6–8 weekly
         ↓ (if no resolution by 3–4 months)
Spironolactone 40 mg BD  ±  Micropulse laser / Half-dose PDT
         ↓ (if CNV develops)
Intravitreal Anti-VEGF

Key clinical tip: All forms of corticosteroid treatment must be discontinued if possible in patients with chronic or recurrent CSCR. — Kanski's Clinical Ophthalmology, 10th ed., p. 620
Sources: Kanski's Clinical Ophthalmology 10th Ed., p. 617–620; Wills Eye Manual, p. 827–831

What is the role of eplinorone in CSCR new patient?

Finding Sources
Finding Sources
Finding Sources
The textbooks don't have a dedicated entry on eplerenone in CSCR beyond the brief mention already retrieved. Here is a consolidated answer drawing from the retrieved textbook content and pharmacological knowledge:

Eplerenone in CSCR — Role in a New Patient

Mechanism of Action

CSCR is strongly linked to elevated mineralocorticoid receptor (MR) activity — either from exogenous corticosteroids or endogenous hypercortisolism. Mineralocorticoid receptors are expressed in the choroidal vasculature and RPE. Their excess activation leads to:
  • Choroidal vascular hyperpermeability
  • RPE pump dysfunction
  • Subretinal fluid accumulation
Eplerenone is a selective mineralocorticoid receptor antagonist (MRA) — it blocks aldosterone and cortisol binding at MR, thereby reducing choroidal hyperpermeability and facilitating subretinal fluid resorption.

Evidence in Acute (New) CSCR

This is where it gets nuanced:
SettingEvidence for Eplerenone
Chronic CSCR (>4 months)Good evidence — improves anatomic and visual outcomes (Wills Eye Manual, p. 831; Kanski 10th ed.)
Acute CSCR (<3–4 months, new patient)Limited / not first-line — the textbook evidence supports spironolactone (not eplerenone) for acute cases
From Kanski's Clinical Ophthalmology 10th ed., p. 620:
"Oral spironolactone (40 mg twice daily) may result in faster resorption of subretinal fluid than no treatment in acute CSR."
From Wills Eye Manual, p. 831:
"Eplerenone and spironolactone have been associated with improved anatomic and visual outcomes in chronic CSCR."

Practical Role in a New (Acute) Patient

For a new presentation like your patient (2 weeks, acute):
  • Eplerenone is not a first-line agent in the acute phase
  • Observation for 3 months remains the standard initial approach, as ~80% resolve spontaneously
  • If you wish to use an MRA in the acute phase, spironolactone 40 mg BD has more supporting evidence for accelerating fluid resolution
  • Eplerenone 25–50 mg once daily may be preferred over spironolactone in male patients due to spironolactone's anti-androgenic side effects (gynaecomastia, decreased libido), making it a reasonable alternative when MRA therapy is initiated
  • Eplerenone becomes more relevant if the case transitions to chronic CSCR (>3–4 months without resolution)

Eplerenone vs. Spironolactone in CSCR

FeatureEplerenoneSpironolactone
SelectivityHighly selective MRANon-selective (also blocks androgen/progesterone receptors)
Anti-androgenic side effectsMinimalGynaecomastia, sexual dysfunction in males
Evidence in acute CSCRLimitedStronger (faster SRF resorption)
Evidence in chronic CSCRGoodGood
Preferred inMale patients (tolerability), chronic CSCRAcute CSCR when pharmacotherapy chosen

Bottom Line for Your Patient

In this 41-year-old male with 2 weeks of acute CSCR:
  1. Observe first — most cases resolve spontaneously within 3–6 months
  2. Discontinue steroids if any exposure is identified
  3. If treatment is needed (occupational urgency, patient preference, or no improvement by 6–8 weeks), spironolactone 40 mg BD is the better-evidenced acute-phase MRA
  4. Eplerenone is a suitable alternative (especially given tolerability in males) and becomes the preferred MRA if the case becomes chronic
Sources: Kanski's Clinical Ophthalmology 10th Ed., p. 620; Wills Eye Manual, p. 831
This is a shared conversation. Sign in to Orris to start your own chat.