attachment

Solve with reason

Reading File
Finding Sources

Answer: C) Polycythemia Vera


Clinical Reasoning

Every feature in this case maps precisely to Polycythemia Vera (PV), a myeloproliferative neoplasm driven by a JAK2 mutation causing unregulated overproduction of red blood cells (and often platelets and white cells).
Finding in CaseWhy It Points to PV
Headache, blurred visionHyperviscosity from elevated RBC mass reduces cerebral blood flow
Prior strokeThrombotic complication — hallmark of PV due to hyperviscosity and thrombocytosis
FatigueConstitutional symptom of myeloproliferative disease
Episodic epistaxisParadoxical bleeding from acquired von Willebrand disease & platelet dysfunction
Generalized itching (pruritus)Especially post-bath/shower — classic "aquagenic pruritus" from histamine release by mast cells; highly specific for PV
Splenomegaly (8 cm)Extramedullary hematopoiesis, sequestration of excess blood cells
Hypertension (BP 170/90)Increased blood viscosity and volume

Why Not the Others?

  • A) Essential thrombocythemia — Causes thrombosis and splenomegaly, but aquagenic pruritus is rare, and the primary abnormality is platelets, not red cells. Hypertension and stroke are less characteristic.
  • B) Secondary polycythemia — Reactive erythrocytosis (from hypoxia, EPO-secreting tumors, etc.) — does not cause splenomegaly, pruritus, or leukocytosis/thrombocytosis; JAK2 mutation absent.
  • D) Chronic myeloid leukemia (CML) — BCR-ABL driven; causes leukocytosis and splenomegaly, but not polycythemia or aquagenic pruritus; stroke is not a typical presentation.

Key Diagnostic Markers for PV (WHO Criteria)

Major criteria:
  1. Elevated hemoglobin/hematocrit (Hb >16.5 g/dL men)
  2. Hypercellular bone marrow with trilineage growth (panmyelosis)
  3. JAK2 V617F mutation (or JAK2 exon 12 mutation)
Minor criterion: Subnormal serum erythropoietin level
Diagnosis requires all 3 major, or 2 major + minor criterion.
— Rosen's Emergency Medicine; Goldman-Cecil Medicine; Bradley & Daroff's Neurology in Clinical Practice

Essential Thrombocytopenia

Reading File
Finding Sources
Reading File
Reading File
Reading File
Finding Sources
Reading File
Here is a comprehensive overview of Essential Thrombocythemia (ET) — also called Essential Thrombocytosis or Essential Thrombocytemia.

Note on terminology: "Essential Thrombocytopenia" is not a recognized entity. You likely mean Essential Thrombocythemia (ET) — a condition of excess platelets (thrombocytosis/thrombocythemia), not decreased platelets (thrombocytopenia). These are opposite conditions.

Essential Thrombocythemia (ET)

Definition

ET is a clonal myeloproliferative neoplasm (MPN) arising from a hematopoietic stem cell, characterized by autonomous overproduction of platelets (>450,000/μL) without a definable external cause.

Pathogenesis & Molecular Mutations

ET results from mutations that constitutively activate JAK-STAT signaling, mimicking continuous growth factor stimulation. Over 90% of cases harbor one of three driver mutations:
MutationFrequencyMechanism
JAK2 V617F~50–60%Constitutive JAK2 kinase activation
CALR (calreticulin)~30%Mutant CALR is secreted → binds & activates thrombopoietin receptor (MPL) — an oncogenic autocrine loop
MPL~5–10%Activating mutation of the thrombopoietin receptor itself
Mutation-negative~10%Hereditary forms or uncommon MPL variants
The same JAK2 V617F mutation is found in Polycythemia Vera — why some patients develop ET vs. PV is not fully understood. Iron deficiency can sometimes mask PV, making it appear as ET.

Epidemiology

  • Incidence: 1–3 per 100,000/year
  • Usually occurs past age 60, but can occur in young adults
  • Female predominance (unlike primary myelofibrosis or reactive thrombocytosis)

Clinical Features

Symptoms

  • Up to 50% are asymptomatic at diagnosis (incidental thrombocytosis on CBC)
  • Vasomotor symptoms: headache, lightheadedness, visual disturbances (amaurosis fugax, scintillating scotomata), syncope, chest pain
  • Erythromelalgia: burning, throbbing pain of hands/feet with erythema and warmth — caused by occlusion of small arterioles by platelet aggregates
  • Thrombosis: DVT, pulmonary embolism, stroke/TIA, MI, portal/hepatic/mesenteric vein thrombosis, cerebral venous sinus thrombosis
  • Hemorrhage: paradoxically, when platelet count >1.5 million/μL, acquired von Willebrand disease develops — large vWF multimers are absorbed and destroyed by the platelet mass → bleeding risk

Signs

  • Splenomegaly: mild, in ~10–50% of patients (extramedullary hematopoiesis)
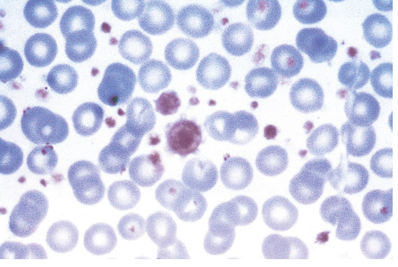
  • Abnormally large platelets on peripheral smear
Peripheral blood smear in ET showing marked thrombocytosis with giant platelets
Peripheral blood smear in ET: marked thrombocytosis including giant platelets approximating the size of surrounding red cells — Robbins & Cotran Pathologic Basis of Disease

Bone Marrow Morphology

  • Mildly increased cellularity
  • Markedly increased megakaryocytes, including abnormally large forms
  • Delicate reticulin fibrils (but no overt fibrosis — distinguishes from primary myelofibrosis)
  • Mild extramedullary hematopoiesis

WHO Diagnostic Criteria (ET requires all 4 major OR first 3 major + minor)

Major Criteria:
  1. Platelet count ≥ 450,000/μL
  2. Bone marrow biopsy showing megakaryocyte proliferation with large mature forms; no significant increase in granulopoiesis or erythropoiesis; no relevant fibrosis
  3. Does not meet criteria for CML, PV, PMF, MDS, or other myeloid neoplasm
  4. Presence of JAK2, CALR, or MPL mutation
Minor Criterion:
  • Presence of a clonal marker OR absence of evidence for reactive thrombocytosis

Distinguishing ET from Other Causes of Thrombocytosis

FeatureETReactive Thrombocytosis
Driver mutationJAK2/CALR/MPL presentAbsent
SplenomegalyPossibleAbsent
Platelet morphologyGiant, dysfunctional plateletsNormal
Thrombotic riskElevatedNot elevated
CausesClonal MPNInfection, inflammation, iron deficiency, hemorrhage, post-splenectomy

Complications

  • Thrombosis (arterial > venous): most likely in patients with high platelet counts and homozygous JAK2 mutations
  • Acquired von Willebrand disease (platelet count >1.5 million/μL) → bleeding
  • Rare progression to: acute myeloid leukemia (AML) or myelofibrosis

Treatment

SituationManagement
Asymptomatic, no CV risk factorsObservation only — no therapy needed
Platelet count >1 million/μL + bleedingAvoid aspirin (worsens bleeding); use tranexamic acid or ε-aminocaproic acid
Symptomatic / high thrombotic riskCytoreduction: Hydroxyurea (first-line), Pegylated IFN-α, or Anagrelide
Prevention of TIAHydroxyurea + aspirin > Anagrelide + aspirin
Venous thrombosis preventionAnagrelide + aspirin may be superior
Key principle: Normalizing the platelet count does not reliably prevent arterial or venous thrombosis. Avoid alkylating agents and ³²P — they increase leukemic transformation risk, especially combined with hydroxyurea.

Prognosis

  • Survival is not significantly different from the general population
  • Median survival: 12–15 years
  • ET is considered more benign than previously thought; progression to AML is more often a consequence of therapy than the disease itself
— Harrison's Principles of Internal Medicine 22E; Goldman-Cecil Medicine; Robbins & Cotran Pathologic Basis of Disease
This is a shared conversation. Sign in to Orris to start your own chat.