SDH
| Group | Reason |
|---|---|
| Elderly | Cerebral atrophy → longer, more mobile bridging veins |
| Chronic alcoholics | Atrophic brain + coagulopathy |
| Anticoagulant users | Continued venous leakage, failure to tamponade |
| Infants <2 years | Thin skull, large head-to-neck ratio |
| Hemodialysis patients | Heparinization + uremic platelet dysfunction |
A useful clinical rule: "It could always be a subdural" — imaging is required even without focal signs in any comatose patient. — Plum and Posner's Diagnosis and Treatment of Stupor and Coma
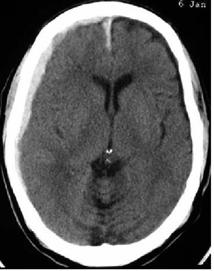
| Stage | CT Appearance |
|---|---|
| Acute | Hyperdense (white), crescent-shaped, crosses suture lines |
| Subacute | Isodense — easily missed |
| Chronic | Hypodense (dark) — iron has been metabolized |


| Type | Management |
|---|---|
| Acute/subacute | Surgical evacuation (craniotomy) — high mortality, higher need for surgery |
| Chronic | May be managed conservatively if small/minimally symptomatic; burr-hole drainage for larger collections |
| Anticoagulated | Reverse anticoagulation promptly |
| Corticosteroids | Reduce vasogenic edema from the hematoma membrane; can rapidly reverse symptoms in chronic SDH |