12 Surgical Diseases of the Lungs and Pleura: (Lung abscess and gangrene. Bronchiectasis. (Classification, clinical presentation, diagnosis, and treatment). Spontaneous pneumothorax. Acute purulent pleuritis. Pyoneumothorax. Chronic empyema of the pleura. (Clinical presentation, diagnosis, treatment). 4 Survey. Patient demonstration. Case st

Reading File
Finding Sources
Finding Sources
Reading File
Reading File
Finding Sources
Reading File
Reading File
Reading File
Reading File
Reading File
Reading File
Reading File
Reading File
Reading File
Here is a comprehensive structured review of all topics in this surgical lecture:

Surgical Diseases of the Lungs and Pleura


1. Lung Abscess

Definition

A lung abscess is a localized area of pulmonary parenchymal necrosis caused by an infectious organism, resulting in a solitary or dominant cavity ≥2 cm in diameter. Necrosis with multiple smaller cavities (<2 cm) is termed necrotizing pneumonia. An abscess present >6 weeks is considered chronic. — Schwartz's Principles of Surgery, 11e

Lung Gangrene

Lung gangrene (pulmonary gangrene) represents the most severe form — massive necrosis of an entire lobe or lung, usually caused by highly virulent organisms (e.g., Klebsiella, S. aureus, mixed anaerobes) and associated with vascular thrombosis. It is distinguished from simple abscess by its extent, the presence of sloughing necrotic tissue within a large cavity, and profound systemic toxicity.

Classification

TypeFeatures
PrimaryNo underlying structural disease; arises from aspiration (most common), necrotizing pneumonia, or immunodeficiency
SecondaryOccurs in context of bronchial obstruction (neoplasm, foreign body), septic pulmonary emboli, or pulmonary infarct
Acute<6 weeks duration
Chronic>6 weeks; associated with thick wall, poor response to medical therapy
Primary causes:
  • Aspiration (anesthesia, stroke, alcohol/drugs, esophageal disease — achalasia, GERD, Zenker's diverticulum)
  • Necrotizing pneumonia (S. aureus, Klebsiella, Pseudomonas, Bacteroides, Fusobacterium, Actinomyces)
  • Immunodeficiency (cancer, diabetes, transplant, steroids)
Secondary causes: bronchial obstruction by neoplasm or foreign body; septic emboli; trauma.

Microbiology

Most are polymicrobial and anaerobic. Dominant organisms (aspiration-related): Peptostreptococcus, Prevotella, Bacteroides (not B. fragilis), Fusobacterium. Aerobic pathogens: Streptococcus anginosus, S. aureus, Klebsiella pneumoniae, H. influenzae type b. In immunocompromised patients: Pseudomonas aeruginosa, Nocardia, Aspergillus, Cryptococcus. — Sabiston Textbook of Surgery

Clinical Presentation

  • Insidious onset mimicking pneumonia (weeks to months)
  • Fever, cough, purulent foul-smelling sputum (often large volume — "mouthful of pus" when abscess drains into a bronchus)
  • Systemic features: night sweats, weight loss, anemia, malaise
  • Hemoptysis (may be severe)
  • Pleuritic chest pain
  • Clubbing (in chronic cases)
  • On examination: dullness, bronchial breathing, amphoric breath sounds over the cavity

Diagnosis

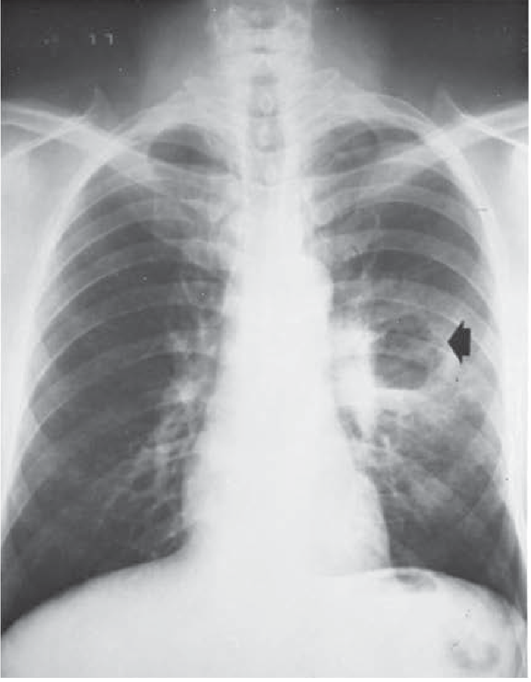
  • CXR: density/mass with a thin-walled cavity ± air-fluid level (indicates communication with the tracheobronchial tree); typically in dependent segments (superior segment of lower lobe, posterior segment of upper lobe)
  • CT chest: confirms cavity, distinguishes parenchymal from pleural collections, identifies associated mass, endobronchial obstruction, or adjacent pathology — preferred imaging
  • Bronchoscopy: essential to rule out endobronchial obstruction (tumor, foreign body); bronchoalveolar lavage for culture
  • Sputum culture (limited by oropharyngeal contamination)
  • Percutaneous transthoracic FNA (ultrasound or CT-guided): for culture when bronchoscopy not feasible
Differential diagnosis: Cavitating carcinoma (most important), loculated empyema, infected lung cyst/bulla, tuberculosis, bronchiectasis, fungal infection, Wegener's granulomatosis.
Lung abscess: chest X-ray showing cavity in left upper lobe with air-fluid level
CXR: lung abscess cavity with air-fluid level (arrow) in the left upper lobe — Schwartz's, p. 735

Treatment

Medical (85–95% success):
  • IV ampicillin-sulbactam (first-line); alternatives: β-lactam/β-lactamase inhibitor combinations, carbapenems
  • Duration: 3–8 weeks (treat until cavity resolves on imaging)
  • Postural drainage
  • Bronchoscopy for drainage assistance (transbronchial catheterization)
Surgical indications:
  1. Failure of medical therapy (no improvement after 8 weeks)
  2. Persistent cavity (≥2 cm, thick-walled)
  3. Abscess under tension or increasing in size during treatment
  4. Cavity >4–6 cm in diameter
  5. Necrotizing infection with multiple abscesses, hemoptysis, abscess rupture, or pyopneumothorax
  6. Contralateral lung contamination
  7. Inability to exclude cavitating carcinoma
Surgical procedure: Lobectomy (preferred). Percutaneous drainage (tube thoracostomy or CT-guided catheter) reserved for poor surgical candidates. If abscess ruptures into the pleural space → empyema/pyopneumothorax management. Surgical treatment success rate: 90%; mortality: 1–13%. — Schwartz's Principles of Surgery, 11e

2. Bronchiectasis

Definition

Permanent, pathologic dilation of bronchi with bronchial wall thickening, resulting from recurrent infection and inflammation destroying the bronchial wall. May be localized or diffuse, typically affecting medium-sized airways. — Schwartz's, 11e

Classification

By morphology (Reid classification):
TypeDescription
Cylindrical (tubular)Uniform dilation; mildest form
VaricoseIrregular dilation with focal constrictions
Saccular (cystic)Balloon-like outpouchings; most severe
By etiology:
  • Congenital: Cystic fibrosis, primary ciliary dyskinesia (Kartagener syndrome), immunoglobulin deficiencies (IgA, IgG), α1-antitrypsin deficiency
  • Acquired — Infectious: Post-necrotizing pneumonia (S. aureus, Klebsiella), pertussis, measles, TB, nontuberculous mycobacteria, allergic bronchopulmonary aspergillosis (ABPA)
  • Acquired — Obstructive: Bronchial cancer, foreign body, external compression
  • Acquired — Inflammatory/Systemic: Rheumatoid arthritis, inflammatory bowel disease, Sjögren's, GERD with aspiration
  • Toxic inhalation: Ammonia, other gases
  • Idiopathic: Most common

Clinical Presentation

  • Chronic cough with copious purulent sputum (daily; "3-layer sputum" on standing)
  • Hemoptysis (can be massive — due to hypertrophied bronchial arteries)
  • Dyspnea, pleuritic chest pain
  • Fatigue, weight loss
  • Recurrent pulmonary infections
  • Physical: coarse crackles/wheezes over affected areas; clubbing
  • Pulmonary function: obstructive or mixed pattern

Diagnosis

  • CT chest (gold standard): shows dilated airways, "signet ring sign" (bronchus diameter > adjacent pulmonary artery), airway wall thickening, mucus plugging, lack of bronchial tapering
  • CXR: "tramlines" (parallel bronchial wall markings), cyst clusters, atelectasis
  • Sputum cultures: common organisms — H. influenzae, P. aeruginosa, S. aureus, NTM
  • PFTs: obstructive or mixed pattern
  • Blood tests: autoimmune markers (rheumatoid factor, ANA), immunoglobulin levels, sweat chloride test (if CF suspected)

Treatment

Medical (mainstay):
  • Antibiotics: targeted to culture results; inhaled tobramycin or gentamicin; macrolides (azithromycin) — reduce exacerbations
  • Airway clearance: chest physiotherapy, postural drainage, oscillating devices, mucolytics
  • Treat underlying disease (ABPA → steroids + antifungals; immunodeficiency → IVIG)
  • Bronchodilators for airflow obstruction
  • Vaccination (influenza, pneumococcal)
Surgical (for localized disease refractory to medical therapy):
  • Lobectomy or segmentectomy: for localized, symptomatic disease with maximal medical therapy failure; must exclude multifocal disease and uncorrectable predisposing factors
  • Indications: significant hemoptysis (bronchial artery embolization preferred first), localized disease causing recurrent infections
  • Bilateral lung transplant: end-stage diffuse disease

3. Spontaneous Pneumothorax

Definition

Air in the pleural space without preceding trauma or iatrogenic cause.

Classification

TypeDescription
Primary (PSP)No clinically apparent underlying lung disease; due to rupture of apical subpleural bleb
Secondary (SSP)Occurs in setting of underlying lung disease
Primary PSP: Most common in tall, thin, young postadolescent males; smokers. Caused by rupture of apical subpleural blebs (etiology unknown). Recurrence rate: 25–50% after first episode.
Secondary SSP causes: Emphysema (rupture of bleb/bulla — most common), cystic fibrosis, AIDS, asthma, lung abscess, metastatic cancer (especially sarcoma), lung cancer, Langerhans cell histiocytosis. Catamenial pneumothorax (rare) — occurs within 72 hours of menses onset in women aged 20–30 years; related to pleural endometriosis. — Schwartz's, 11e

Clinical Presentation

  • Sudden onset ipsilateral pleuritic chest pain and dyspnea
  • Physical: decreased breath sounds, hyperresonance on affected side
  • Tracheal deviation away from side (tension pneumothorax)
  • Hypoxia

Diagnosis

  • CXR (upright, expiratory): absent lung markings; visible pleural line
  • CT: identifies blebs/bullae, determines extent; guides management

Treatment

Primary PSP, small (<2–3 cm rim), minimal symptoms:
  • Observation ± supplemental O₂ (accelerates reabsorption)
  • Needle aspiration
Primary PSP with symptoms or complete collapse:
  • Chest tube insertion with water-seal drainage
Recurrence or persistent air leak (>3 days):
  • VATS (video-assisted thoracoscopic surgery): bleb resection + pleurodesis (talc or pleural abrasion/mechanical scarification) — gold standard
  • Indications for surgery on first episode: occupational hazard (pilots, divers), remote location, CT showing multiple blebs, complete lung collapse
Secondary SSP: Management similar (drainage + re-expansion required), plus management of underlying disease; may require thoracoscopic pleurectomy, talc pleurodesis, or lung resection. — Schwartz's, 11e

4. Acute Purulent Pleuritis and Pyopneumothorax

Acute Purulent Pleuritis (Acute Empyema)

Definition & Pathogenesis

Empyema = collection of purulent fluid within the pleural space. Results from invasion by pyogenic bacteria, fungi, or mycobacteria.
Routes of infection:
  • Contiguous spread (50–60%): pneumonia (most common — parapneumonic empyema), lung abscess, mediastinal or subphrenic infection
  • Direct inoculation (30–40%): penetrating trauma, thoracentesis, postoperative complications, esophageal perforation
  • Hematogenous (<1%)

Stages (Light's Classification)

StageCharacteristicsTreatment
Exudative (Stage I)Thin, free-flowing fluid; low LDH, normal pH; no loculationAntibiotics + thoracentesis or small-bore drain
Fibrinopurulent (Stage II)Turbid/purulent fluid; fibrin strands; loculations forming; pH <7.2, glucose <60, LDH >1000Chest tube drainage + antibiotics ± fibrinolytics (TPA/DNase)
Organizing/Chronic (Stage III)Thick peel; lung entrapment (trapped lung); fibrosis; bronchial tree encasementVATS decortication (early) or thoracotomy + decortication

Microbiology

  • Gram-positive: Streptococcus pneumoniae, S. aureus (most common)
  • Gram-negative: E. coli, Klebsiella, Pseudomonas, Enterobacteriaceae
  • Anaerobes (associated with aspiration, dental disease): Streptococcus spp., Bacteroides
  • Polymicrobial in up to 50% of cases

Clinical Presentation

  • Fever, malaise, loss of appetite, weight loss
  • Pleuritic chest pain, dyspnea
  • Decreased breath sounds, dullness to percussion
  • Tracheal deviation (large collections)
  • Signs of sepsis in severe cases

Diagnosis

  • CXR: pleural opacity ± loculation; fluid level if associated with bronchopleural fistula
  • CT chest: delineates anatomy, identifies loculations, helps plan drainage
  • Thoracentesis: pleural fluid analysis — turbid/purulent fluid; pH <7.2, glucose <60 mg/dL, LDH >1000 IU/L → empyema; Gram stain + culture

Treatment

  • Antibiotics: broad-spectrum (cover gram-positive, gram-negative, anaerobes); guided by culture
  • Drainage: mandatory
    • Early stage: chest tube (tube thoracostomy) or pigtail catheter
    • Remove chest tube when drainage <100–200 mL/day, imaging shows resolution, clinical improvement
    • Intrapleural fibrinolytics (tissue plasminogen activator [tPA] + DNase): aid drainage in Stage II; not routine for complex empyemas (expensive, less effective than thought)
  • VATS: early for complex/loculated effusions — reduces hospital stay, achieves good lung expansion
  • Thoracotomy + decortication: organized empyema with thick peel; lung entrapment preventing re-expansion — Sabiston Textbook of Surgery

Pyopneumothorax

Definition: Simultaneous presence of pus and air in the pleural space.
Causes:
  • Rupture of a lung abscess into the pleural space (most common)
  • Bronchopleural fistula complicating empyema
  • Penetrating trauma with pleural contamination
  • Postoperative (post-pneumonectomy)
Clinical features: Acute presentation with sudden chest pain, dyspnea, high fever, and signs of tension physiology if the bronchial communication is large. Air-fluid level on CXR is diagnostic.
Treatment:
  • Emergency chest tube drainage (pleural decompression + pus drainage)
  • Broad-spectrum antibiotics
  • Bronchoscopy: assess for bronchopleural fistula
  • Surgery: lobectomy if pyopneumothorax arises from lung abscess; decortication and fistula closure for established bronchopleural fistula — Schwartz's, 11e

5. Chronic Empyema of the Pleura

Definition

Empyema is considered chronic when it fails to resolve after >3–6 weeks of treatment and enters the organizing phase, characterized by lung entrapment by a thick fibrous cortex (pleural peel).

Pathophysiology

Fibroblast and capillary ingrowth into the fibrinous exudate → formation of an inelastic pleural peel that encases the lung → trapped lung → inability to re-expand → restrictive respiratory impairment. — Sabiston, 11e

Clinical Presentation

  • Persistent or low-grade fever
  • Continued dyspnea and reduced exercise tolerance
  • Persistent pleural opacity on imaging
  • Weight loss, malnutrition
  • Clubbing, chest wall deformity (scoliosis toward affected side) in long-standing cases
  • Chronic sinus tracts (empyema necessitans — tracking to chest wall)
  • Amyloidosis (very chronic, rare)

Diagnosis

  • CXR: fixed pleural opacity; may show thickened pleural peel; mediastinal shift toward affected side
  • CT chest (essential): thickness of pleural peel, underlying lung parenchyma status, residual pleural cavity size, associated bronchial abnormalities
  • Pulmonary function tests: restrictive pattern
  • Pleural fluid analysis (if accessible): pH, glucose, LDH, culture

Treatment

Goals: Eliminate infection, obliterate the pleural space, allow lung re-expansion, restore function.
ApproachIndication
AntibioticsAll patients; duration guided by clinical response
Open drainage (Eloesser flap / open window thoracostomy)Poor surgical candidates; acts as long-term drainage
VATS decorticationEarly organizing phase (peel not yet fully calcified); yields good re-expansion if lung parenchyma viable
Thoracotomy + decorticationThick calcified peel; lung entrapment; most effective for full lung re-expansion
Muscle flap / omentoplastyObliterate residual space after decortication; repair bronchopleural fistula
ThoracoplastyLast resort; collapses chest wall to obliterate space when lung cannot re-expand
VATS vs. open decortication: VATS is preferred for early organizing empyema — reduced hospital length of stay and morbidity. Thoracotomy is required for mature, calcified peels. — Sabiston Textbook of Surgery

Summary Table

DiseaseKey DiagnosisKey Treatment
Lung abscessCT: thin-walled cavity + air-fluid levelAntibiotics (ampicillin-sulbactam); lobectomy if fails
Lung gangreneCT: massive lobar necrosisAggressive antibiotics + surgical resection
BronchiectasisCT: signet-ring sign, non-tapering airwaysMedical (ABx, physio); lobectomy for localized disease
Spontaneous pneumothoraxCXR: visible pleural lineTube thoracostomy; VATS for recurrence
Acute purulent pleuritisThoracentesis: pH <7.2, pusChest tube + antibiotics; VATS/decortication
PyopneumothoraxCXR/CT: air-fluid level in pleural spaceChest tube drainage; lobectomy if abscess rupture
Chronic empyemaCT: thick pleural peel, trapped lungDecortication (VATS or thoracotomy)

Sources: Schwartz's Principles of Surgery 11e; Sabiston Textbook of Surgery; Mulholland and Greenfield's Surgery 7e
This is a shared conversation. Sign in to Orris to start your own chat.