Osteoarthritis

Reading File
Finding Sources
Searching Images

osteoarthritis joint pathology X-ray

Reading File
Reading File
Reading File
Reading File
Reading File
Reading File
Reading File
Reading File
Reading File
Reading File
Reading File
Loading Image
Loading Image
Here is a comprehensive overview of osteoarthritis (OA) based on authoritative textbooks:

Osteoarthritis

Definition

Osteoarthritis is characterized by failed repair of synovial joint tissues after intra-articular stress. The resulting breakdown of cartilage and bone leads to pain, stiffness, and functional disability. Despite the "-itis" suffix, it is primarily a degenerative disorder of articular cartilage, with inflammation acting as a secondary contributor.
Goldman-Cecil Medicine, p. 2765; Robbins & Kumar Basic Pathology, p. 789

Epidemiology

  • Affects >500 million people worldwide; the most common joint disease
  • Prevalence increases exponentially after age 50 (~40% of those >70 are affected)
  • Incidence rises sharply between ages 50–75; women are disproportionately affected
  • Knee OA accounts for ~85% of the global burden; lifetime risk ~40% in men and ~47% in women
  • Estimated 25% of U.S. adults will have physician-diagnosed OA by 2040
  • The global number affected rose 48% from 1990 to 2019

Classification

TypeFeatures
Primary (idiopathic)Appears insidiously with aging; oligoarticular; no identifiable cause
Secondary~5% of cases; younger patients; underlying cause: prior injury, deformity, diabetes, obesity

Pathogenesis

Schematic of OA stages
Fig. 19.31 — Schematic of OA progression from chondrocyte injury to late-stage disease. (Robbins & Kumar Basic Pathology)
OA stems from an imbalance between repair and destruction of joint tissues driven by mechanical, inflammatory, and metabolic pathways:
  1. Chondrocyte injury — Biomechanical stress (obesity, malalignment, occupational risk) or loss of mechanical protection (ligament/meniscal damage) initiates injury, compounded by genetic susceptibility (>100 polymorphic variants identified, >20% heritability)
  2. Early OA — Proteoglycan loss causes cartilage swelling and disrupts the type II collagen matrix. Chondrocytes proliferate and secrete matrix metalloproteinases (MMPs) that degrade collagen and proteoglycans. Inflammatory mediators (PGE₂, NO, TNF) are released; TGF-β and BMPs attempt repair but degradation exceeds repair
  3. Late OA — Full-thickness cartilage sloughing; loose bodies (joint mice) form from dislodged cartilage and bone fragments; exposed subchondral bone becomes polished (eburnation); subchondral cysts form via a ball-valve mechanism from synovial fluid forced into fracture gaps; osteophytes develop at joint margins via reactivation of endochondral ossification
Synovitis develops secondarily — the synovium becomes hyperplastic and hypertrophic, driven by breakdown products of cartilage and bone.

Morphology / Pathology

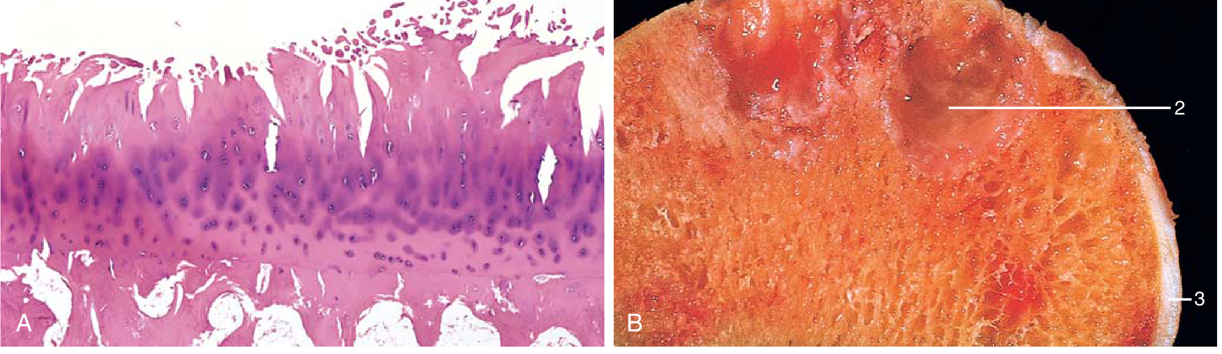
Histology and gross pathology of OA
Fig. 19.32 — (A) Fibrillation of articular cartilage (histology). (B) Eburnated articular surface (gross): (1) exposed subchondral bone, (2) subchondral cyst, (3) residual articular cartilage. (Robbins & Kumar Basic Pathology, p. 790)
Key morphologic features:
  • Cartilage fibrillation and erosion → full-thickness loss in advanced disease
  • Bone eburnation — polished ivory appearance of exposed subchondral bone
  • Subchondral cysts — fibrous-walled, formed by fluid dissection
  • Osteophytes — marginal bony outgrowths capped by fibrocartilage/hyaline cartilage
  • Loose bodies (joint mice) — dislodged cartilage/bone fragments in the joint
  • Synovium — mildly congested and fibrotic; scattered chronic inflammatory cells (contrast with RA's severe inflammation)

OA vs. Rheumatoid Arthritis — Key Differences

FeatureOsteoarthritisRheumatoid Arthritis
Primary mechanismMechanical injury to cartilageAutoimmunity
InflammationSecondaryPrimary (T-cell / antibody mediated)
Joints involvedWeight-bearing (hips, knees)Small joints of fingers first, then multiple
PathologyCartilage degeneration, bone spurs, subchondral cysts; minimal inflammationInflammatory pannus, severe synovitis, ankylosis
Serum antibodiesNoneACPA, rheumatoid factor
Systemic involvementNoYes (lungs, heart, other organs)
Joint fusionDoes not occurCan occur (ankylosis)

Joints Commonly Affected

Hips, knees, lower lumbar and cervical vertebrae, proximal and distal interphalangeal joints (fingers), first carpometacarpal joints, first tarsometatarsal joints.
  • Heberden nodes — osteophytes at distal interphalangeal joints; more common in women
  • Bouchard nodes — osteophytes at proximal interphalangeal joints

Clinical Features

Symptoms:
  • Pain — mechanical in nature, worsens with activity, worse at end of day; at rest in advanced disease
  • Morning stiffness — localized, typically <30 minutes (contrast with RA: >1 hour)
  • Crepitus — palpable and audible on joint movement
  • Limitation of range of motion — progressive
  • Functional limitation — difficulty with stairs/rising from chair (knee), putting on shoes (hip), opening jars (hand)
  • Catching or locking (especially knee) — risk of falls
Signs:
  • Joint line tenderness on palpation
  • Bony swelling (osteophytes) and soft tissue swelling (effusion)
  • Crepitus (prominent under patella)
  • Joint deformity (varus alignment in knee), instability
  • Muscle atrophy and weakness
  • Hip OA: early restriction of internal rotation with end-range pain
Spinal OA: osteophytes impinge on foramina → cervical/lumbar radiculopathy, muscle spasms, neurologic deficits

Diagnosis

Diagnosis is clinical, based on:
  • Symptoms: pain, brief morning stiffness (<30 min), functional limitation
  • Signs: crepitus, restricted/painful movement, tenderness, bony enlargement
Plain radiographs are not required but useful for atypical presentations. Radiographic hallmarks:
  1. Joint space narrowing
  2. Subchondral sclerosis
  3. Osteophyte formation
  4. Subchondral cysts
Laboratory tests are not required to diagnose OA. If coexistent inflammatory disease is suspected (RA, gout, CPPD), check RF, ESR/CRP, synovial fluid analysis.
Synovial fluid in OA: noninflammatory, <2000 leucocytes/μL; basic calcium phosphate crystals often present.
"Red flags" suggesting alternative diagnosis: prolonged morning stiffness, recent trauma, swollen hot joint, rapid symptom worsening.

Management

Core (First-Line) — Nonpharmacologic

Active, nonpharmacologic interventions are the mainstay and should be tried first:
InterventionDetails
Education & self-managementDisease process, realistic expectations, shared decision-making
Weight lossStrongly recommended if BMI ≥25; target 5–10% reduction (more = greater benefit for pain and function)
Exercise / physical activityAerobic (walking, cycling, swimming), strengthening (quadriceps), neuromuscular/balance, tai chi, yoga, water-based
PhysiotherapyManual therapy, exercise prescription, gait assessment

Pharmacologic

  • Topical NSAIDs — preferred first-line over systemic (better safety profile)
  • Oral NSAIDs — first-line if oral analgesia required; lowest dose, shortest duration
  • Intra-articular corticosteroids — short-term relief; physical therapy superior for long-term function
  • Low-dose oral prednisolone (10 mg/day × 6 weeks) — safe and efficacious short-term for hand OA
  • Glucosamine / chondroitin — evidence does not support routine use
  • Viscosupplementation (hyaluronic acid injections) — modest evidence, not routinely recommended
  • Platelet-rich plasma (PRP) — evidence from RCTs does not show benefit over placebo
  • Opioids — similar short-term efficacy to NSAIDs and exercise; use cautiously

Surgical

  • Joint replacement — indicated for severe, refractory disease
  • There are no disease-modifying treatments that halt or reverse OA progression

Sources: Robbins & Kumar Basic Pathology, pp. 789–791 | Goldman-Cecil Medicine, pp. 2765–2771
This is a shared conversation. Sign in to Orris to start your own chat.