Pleural effusion

Reading File
Finding Sources
Searching Images

pleural effusion chest X-ray and anatomy

Reading File
Reading File
Reading File
Finding Sources
Reading File
Reading File
Reading File
Reading File
Reading File
Loading Image
Loading Image
Here is a comprehensive overview of pleural effusion drawn from Murray & Nadel's Textbook of Respiratory Medicine, Grainger & Allison's Diagnostic Radiology, Harrison's Principles of Internal Medicine, and Tintinalli's Emergency Medicine.

Pleural Effusion

Definition

Accumulation of excess fluid in the pleural space. The type of fluid determines its classification: transudate, exudate, blood (haemothorax), chyle (chylothorax), or rarely bile, CSF, or iatrogenic fluids. All types are radiographically identical, though clinical and biochemical features narrow the differential.

Pathophysiology & Classification

Transudates

Caused by imbalanced hydrostatic/oncotic forces — fluid leaks across intact membranes:
  • Heart failure (most common cause overall): elevated pulmonary venous pressure overwhelms parietal pleural lymphatic drainage
  • Nephrotic syndrome
  • Cirrhosis / hepatic hydrothorax (5–10% of cirrhotic patients): small diaphragmatic defects allow ascitic fluid into the pleural space; 85% are right-sided
  • Myxoedema: borderline transudate/exudate

Exudates

Caused by inflammation, infection, or malignancy — "leaks in the system":
  • Parapneumonic effusion — most common exudative cause in the US; seen in up to 50% of community-acquired pneumonia
  • Malignancy (2nd most common exudate) — lung, breast, lymphoma account for ~75% of malignant effusions
  • Tuberculosis, pulmonary embolism, pancreatitis, rheumatoid disease, SLE, oesophageal rupture, post-cardiac injury syndrome, aortic dissection

Laterality clues

SideAssociated causes
RightHeart failure, ascites, liver abscess
LeftPancreatitis, pericarditis, oesophageal rupture, aortic dissection
BilateralUsually transudates (heart failure, nephrotic, cirrhosis); bilateral exudates in metastases, lymphoma, SLE, pulmonary embolism
MassiveMalignancy (lung/breast mets), heart failure, cirrhosis, TB, empyema, trauma

Clinical Features

  • May be clinically silent or present with dyspnoea, cough, pleuritic chest pain
  • Percussion dullness and decreased breath sounds at the lung base
  • Absence of mediastinal shift despite a large effusion: suggests ipsilateral lung collapse or extensive pleural malignancy (e.g., mesothelioma)

Imaging

Chest X-ray (PA erect)

PA chest radiograph and CT showing bilateral pleural effusions — note layering fluid on the left with the meniscus sign
CXR (A) and CT (C) demonstrating pleural effusion with the meniscus sign and dependent layering — Grainger & Allison's Diagnostic Radiology
  • Small effusion (<200–500 mL): initially subpulmonary/invisible; first sign is blunting of the posterior then lateral costophrenic angle
  • Moderate effusion: homogeneous opacity with obliteration of the costophrenic angle and hemidiaphragm; meniscus sign (concave upper border, higher laterally)
  • ~1000 mL: reaches the level of the 4th anterior rib
  • Massive effusion: dense opacification with contralateral mediastinal shift
  • Lateral decubitus view: fluid layers and the lung floats — increases sensitivity for small effusions

CT

  • Distinguishes free vs. loculated fluid; identifies underlying lung/pleural pathology
  • Split-pleura sign (parietal + visceral pleural enhancement): highly indicative of exudate (infection or malignancy)
  • Cannot reliably distinguish transudate from exudate by CT number alone

Ultrasound

  • Most sensitive bedside tool for small effusions
  • Simple effusion: anechoic; complex/exudative: echogenic with mobile strands or septations
  • Guides safe thoracentesis
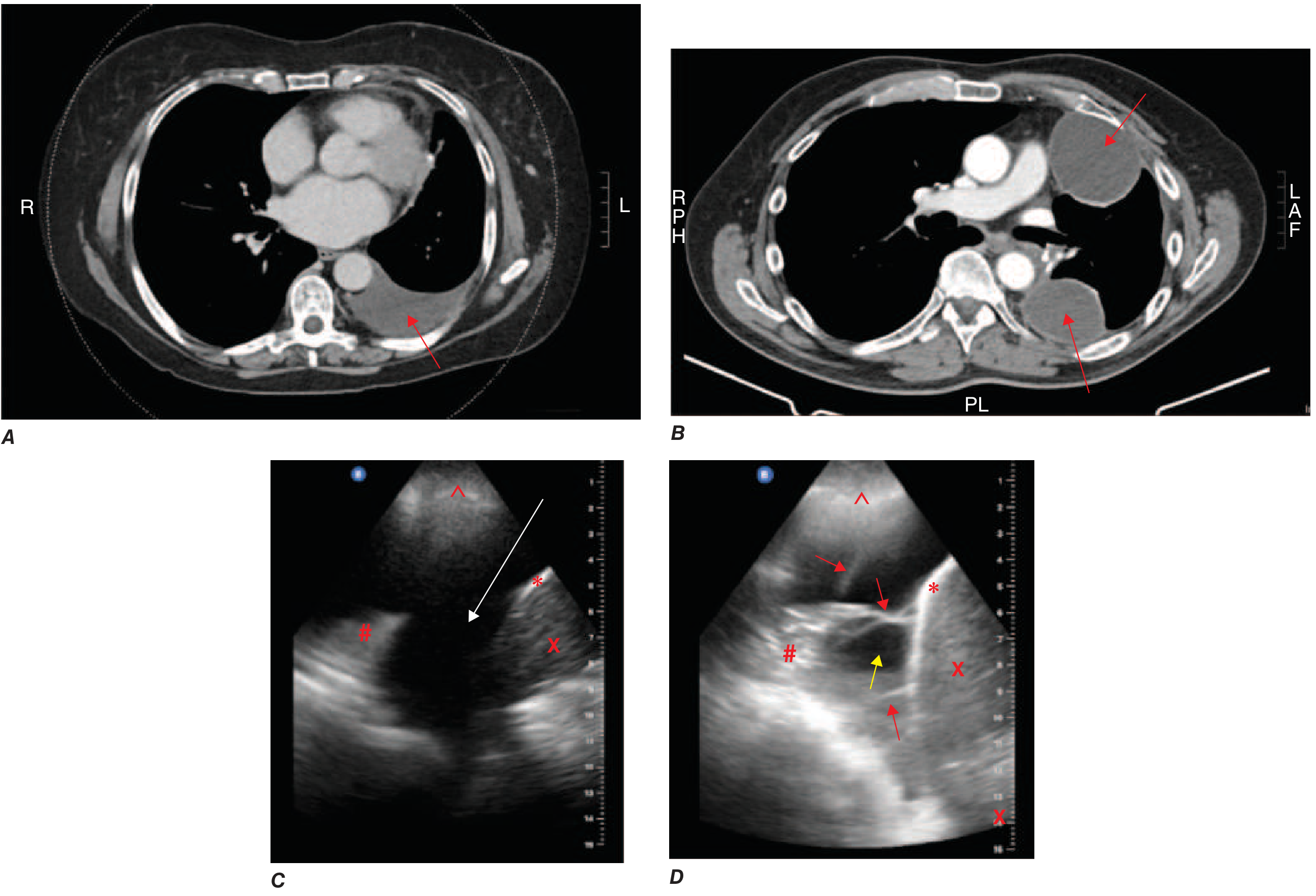
CT and ultrasound of simple vs. loculated pleural effusion
A: CT — simple free-flowing left effusion (red arrow). B: CT — loculated effusion with two pockets. C: Ultrasound — simple effusion. D: Ultrasound — complex effusion with septations — Harrison's Principles of Internal Medicine

Pleural Fluid Analysis (Thoracentesis)

Light's Criteria (sensitivity 98–99%, specificity 65–86%)

Fluid is an exudate if ≥1 of the following is present:
CriterionThreshold
Pleural fluid/serum protein ratio>0.5
Pleural fluid/serum LDH ratio>0.6
Pleural fluid LDH>⅔ upper limit of normal serum LDH
Diuresis caveat: Diuretics concentrate pleural protein, potentially misclassifying a transudate as exudate. Use the serum-to-pleural albumin gradient >1.2 g/dL in this setting (though sensitivity drops >10%).

Additional Tests

TestClinical relevance
Cell count — neutrophilsParapneumonic, PE, pancreatitis
Cell count — lymphocytesMalignancy, TB, post-cardiac surgery
GlucoseLow in parapneumonic, malignant, TB, rheumatoid arthritis
pH<7.20 → need for drainage; <7.10 → empyema likely
AmylaseElevated in pancreatitis, oesophageal rupture
CytologyHighest yield in adenocarcinoma; low in squamous cell, lymphoma, mesothelioma
NT-proBNP >1500 pg/mLSuggests heart-failure-related effusion
Adenosine deaminase / IFN-γ / PCRTuberculosis
AFB smear/culturePositive in only 25–30% of tuberculous effusions

Parapneumonic Effusion — Indications for Evacuation

  1. Loculated pleural fluid
  2. Pleural fluid pH <7.20
  3. Pleural fluid glucose <3.3 mmol/L (<60 mg/dL)
  4. Positive Gram stain or culture
  5. Grossly purulent fluid (empyema)
  6. Elevated LDH >900 IU/L

Management

General

  • Therapeutic thoracentesis: indicated for dyspnoea at rest; drain 1.0–1.5 L; avoid >1.5 L acutely to prevent re-expansion pulmonary oedema
  • Treat the underlying cause

Heart Failure

  • Diuresis and optimisation of cardiac therapy resolves >80% within 2 weeks
  • Diagnostic thoracentesis warranted if: unilateral, patient is febrile, or pleuritic pain present

Empyema

  • Chest tube drainage mandatory
  • Fibrinopurulent phase: consider intrapleural tPA (10 mg) + DNase (5 mg) if incomplete drainage
  • Thoracoscopy with adhesion breakdown, or surgical decortication if above fails

Malignant Effusion

  • Primarily symptomatic (disease is usually disseminated, not curable)
  • Options: repeated thoracentesis, indwelling pleural catheter, pleurodesis

Hepatic Hydrothorax (Cirrhosis)

  • Sodium restriction + diuretics (first-line)
  • TIPS: initial response rate 70–80%, limited by long-term complications
  • Video-assisted thoracoscopic surgery (VATS) for diaphragmatic repair + pleurodesis in refractory cases
  • Indwelling pleural catheter as bridge to liver transplant or for palliation

Trapped Lung

  • Fibrous visceral peel prevents re-expansion
  • Suspected when: thick pleural rind on imaging, pneumothorax ex vacuo after thoracentesis, rapid recurrence
  • Definitive treatment: surgical decortication

Sources: Murray & Nadel's Textbook of Respiratory Medicine | Grainger & Allison's Diagnostic Radiology | Harrison's Principles of Internal Medicine 22e | Tintinalli's Emergency Medicine
This is a shared conversation. Sign in to Orris to start your own chat.