Rete testis in detail

Reading File
Finding Sources
Finding Sources
Searching Images

rete testis anatomy histology

Reading File
Reading File
Reading File
Reading File
Reading File
Loading Image
Loading Image
Finding Sources
Reading File
Reading File
I now have comprehensive information from multiple authoritative textbooks. Let me compile the detailed answer.

Rete Testis — Detailed Overview

Definition and Overview

The rete testis is a labyrinthine network of anastomosing epithelium-lined channels (canals) located within the mediastinum testis — the thickened posterior portion of the tunica albuginea. It forms the critical link between the seminiferous tubules (via straight tubules) and the efferent ductules that drain into the epididymis. The name derives from Latin rete (net), reflecting its net-like interconnected architecture.
Junqueira's Basic Histology, 17e, p. 1059

Embryological Development

The rete testis is one of the earliest testicular structures to form:
  1. Testis-determining factor (SRY) induces the seminiferous cords in the developing gonad to condense and extend into the medulla of the indifferent gonad, where they branch and anastomose to form the rete testis — a network of canals.
  2. As the tunica albuginea develops and thickens, the seminiferous cords lose their connection to the surface epithelium. The cords differentiate into seminiferous tubules, tubuli recti, and the rete testis.
  3. The rete testis subsequently becomes continuous with 15–20 mesonephric (Wolffian) tubules, which differentiate into the efferent ductules, connecting the rete testis to the developing epididymis.
  4. The mesonephric duct adjacent to the developing testis becomes convoluted and differentiates into the duct of the epididymis.
The Developing Human: Clinically Oriented Embryology, p. 725–726

Gross Anatomy and Location

FeatureDetail
LocationMediastinum testis (posterior thickened zone of tunica albuginea)
StructureComplex anastomosing network of channels
Connectivity (proximal)Receives sperm from all seminiferous tubules via straight tubules (tubuli recti)
Connectivity (distal)Drained by 10–20 efferent ductules → head of epididymis
The mediastinum testis is an inward extension of the tunica albuginea from which thin septa subdivide the testis into ~250 lobules. The rete testis resides in this dense connective tissue core. On ultrasound, it appears as a hyperechoic region in the posterior testis.
Campbell-Walsh-Wein Urology, Fig. 63.11; Junqueira's Basic Histology, p. 1060

Histology

Epithelium

The channels of the rete testis are lined by simple cuboidal epithelium (occasionally squamous to low columnar). Key features:
  • Cells possess a single primary (apical) cilium and relatively few short apical microvilli — the primary cilium is difficult to visualize on routine H&E sections
  • The epithelium is non-stratified and non-glandular
  • No germ cells are present in the rete testis; these are shed before entering the straight tubules

Stroma

The channels are embedded in dense irregular connective tissue of the mediastinum, which is highly vascular (numerous veins and lymphatics). No smooth muscle layer is present in the walls of the rete testis channels themselves.

Transition Zone (Straight Tubule → Rete Testis)

There is an abrupt epithelial transition at this junction:
  • The straight tubule (tubulus rectus) is lined only by Sertoli-like cells in its proximal portion, transitioning to simple cuboidal epithelium distally
  • At the point of entry into a rete testis channel, the simple cuboidal lining begins, often staggered (visible on one side of the tubule before the other in cross-section)
Histology: A Text and Atlas, p. 2127–2128; Junqueira's Basic Histology, p. 1074

Histological Images

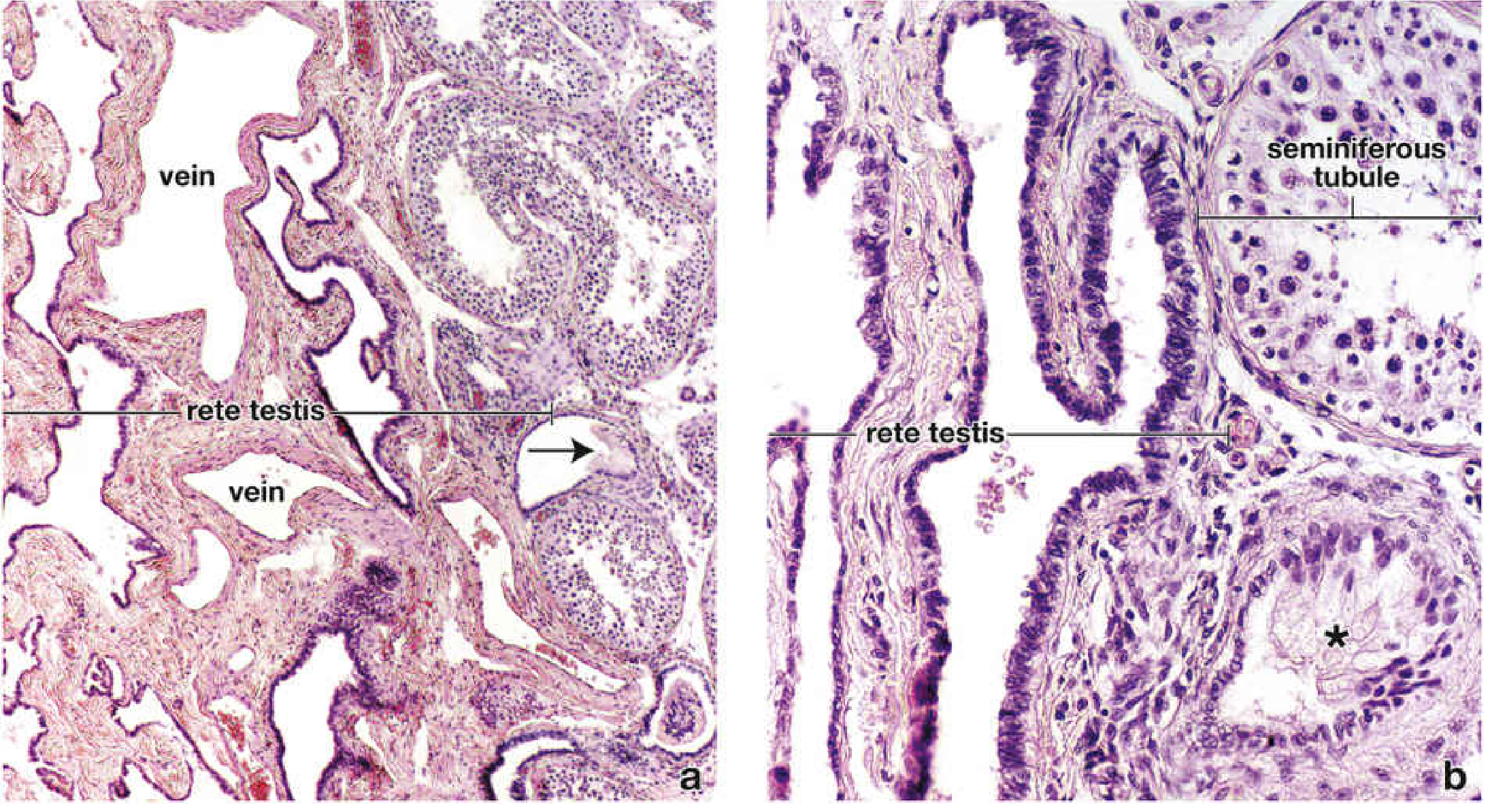
H&E photomicrograph — rete testis channels with adjacent seminiferous tubule and terminating straight tubule:
Rete testis H&E photomicrograph showing anastomosing channels lined by simple cuboidal epithelium alongside seminiferous tubules
Panel (a): Low-power view showing rete testis channels (simple cuboidal lining), veins, and adjacent seminiferous tubule. The arrow indicates the termination of a straight tubule. Panel (b): Higher magnification showing the abrupt transition from Sertoli-cell-lined straight tubule (asterisk) to cuboidal-lined rete testis channels. ×70 (a), ×275 (b) — Histology: A Text and Atlas
High-power Mallory trichrome — rete testis lumen:
Rete testis channels with simple cuboidal epithelium embedded in dense connective tissue
Rete testis (R) channels showing simple cuboidal epithelium embedded in dense fibrous connective tissue. ×350, Mallory trichrome — Junqueira's Basic Histology

Summary Table: Intratesticular Duct System

DuctLocationEpitheliumSupportFunction
Seminiferous tubulesTesticular lobulesSpermatogenic (Sertoli + germ cells)Myoid cells + loose CTProduce sperm
Straight tubules (tubuli recti)Periphery of mediastinumSertoli cells proximally; simple cuboidal distallyConnective tissueConvey sperm to rete testis
Rete testisMediastinum testisSimple cuboidal; single cilium + microvilliDense irregular CTChannel sperm from all tubules
Efferent ductulesRete testis → head of epididymisAlternating ciliated columnar + non-ciliated cuboidalThin circular smooth muscleAbsorb most tubular fluid; convey sperm to epididymis
Junqueira's Basic Histology, Table 21-1, p. 1074

Physiological Functions

1. Sperm Transport

The rete testis acts as a reservoir and conduit for spermatozoa produced in all seminiferous tubules. Sperm are transported passively by fluid flow rather than by active motility at this stage.

2. Fluid Reabsorption

The intratubular fluid (isosmotic with plasma, mainly of seminiferous tubule origin) flows from the seminiferous tubules → rete testis → efferent ductules. Reabsorption within the rete testis and efferent ductules is regulated by estrogens. The rete testis epithelial cells absorb some of the fluid secreted by Sertoli cells.

3. Fluid Flow Generation

The single apical cilium of rete testis epithelial cells, along with ciliary activity in efferent ductules, creates directional fluid currents that carry sperm passively out of the testis toward the epididymis.
Campbell-Walsh-Wein Urology, p. 1836; Junqueira's Basic Histology, p. 1076

Clinical Correlations

Obstruction

Obstruction at or distal to the rete testis causes dilation of the rete testis channels (rete testis ectasia) and is a cause of male infertility. It can be identified on ultrasound as cystic dilatation in the mediastinum region.

Tumors of the Rete Testis

Rare but important:
  • Adenocarcinoma of the rete testis — the most significant malignant tumor; rare, aggressive
  • Papillary cystadenoma — benign, with papillary/tubular architecture lined by bland cuboidal-columnar epithelium; no invasion
  • Adenoma / adenofibroma — benign variants

Pagetoid Spread

Germ cell neoplasia in situ (GCNIS/intratubular germ cell neoplasia) can spread in a pagetoid pattern into the rete testis epithelium — a feature relevant to staging and management of seminoma and non-seminomatous germ cell tumors.

Rete Testis in Infertility Workup

Ultrasound identification of rete testis channels (normally seen as a hyperechoic mediastinal band) helps differentiate normal anatomy from pathological dilation secondary to ductal obstruction or varicocele-related changes.

Sources: Junqueira's Basic Histology 17e; Histology: A Text and Atlas with Correlated Cell and Molecular Biology; The Developing Human (Clinically Oriented Embryology); Campbell-Walsh-Wein Urology
This is a shared conversation. Sign in to Orris to start your own chat.