hi

Hi! How can I help you today?

Bile leak with drain photo. search best ones. search books and images..

Reading File
Finding Sources
Finding Sources
Searching Images

bile leak drain surgical abdominal

Reading File
Reading File
Loading Image
Loading Image
Loading Image
Loading Image
Loading Image
Loading Image
Here is a comprehensive overview of bile leak with drain — combining the best textbook content and clinical images found.

Bile Leak with Drain — Clinical Overview


1. What Is a Bile Leak?

A bile leak occurs when bile escapes from the biliary tree — most commonly after cholecystectomy (from the cystic duct stump or a duct of Luschka), hepatic resection, or biliary reconstruction. When a drain was placed in the operative bed, bilious output from the drain is often the earliest sign.
Clinical features:
  • Fevers, chills, right upper quadrant pain
  • Jaundice or leakage of bile from an incision
  • Bilious fluid in a surgically placed drain
  • Persistent anorexia or bloating
"Leakage of bile from an incision or into a drain … are common signs and symptoms." — Sabiston Textbook of Surgery

2. Imaging — CT & ERCP

CT Scan — Bile Leak After Cholecystectomy

(Schwartz's Principles of Surgery, 11e)
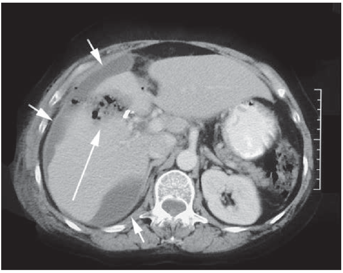
CT scan showing intraperitoneal bile collections (short arrows) and air/bile in the gallbladder bed (long arrow) after cholecystectomy
Figure A — CT abdomen: Short arrows indicate intraperitoneal fluid collections (biloma); the long arrow points to air and bile in the gallbladder bed, along with a surgical clip. This is the classic post-cholecystectomy bile leak appearance.

ERCP — Contrast Extravasation from Cystic Duct Stump

(Schwartz's Principles of Surgery, 11e)
ERCP showing contrast extravasation from cystic duct stump (arrow) — note filling of the pancreatic duct
Figure B — Same patient as CT above. ERCP demonstrates contrast extravasation from the cystic duct stump (white arrow). ERCP with sphincterotomy ± stenting is the primary treatment for high-output leaks.

Fluoroscopic Cholangiogram — Active Bile Leak with Drain

Cholangiogram showing contrast extravasation at the common bile duct (red arrow) and external surgical drain positioned near the leak site
Cholangiogram — Red arrow marks active contrast extravasation at the mid-CBD. An external surgical drain enters from the lower-left, with its tip positioned at the leak site to facilitate biliary decompression. Surgical clips are visible in the right upper quadrant. This is the classic image of a bile leak managed with percutaneous drainage.

3. Intraoperative Photos

Intraoperative Bile Duct Cannulation for Leak Testing (After Hepatic Resection)

Intraoperative photograph showing 12 Fr infant feeding tube cannulated into the cystic duct stump for intraoperative saline injection to identify bile leaks on the raw liver surface
A 12 Fr infant feeding tube (green) cannulated into the cystic duct stump for intraoperative saline injection — a technique used during hepatic resection to identify and ligate biliary leaks on the raw cut surface before closure.

Intraoperative — Bile Staining of Diaphragm (Chemical Peritonitis)

Intraoperative open abdomen showing bile staining (dark brownish-green discoloration, yellow arrowheads) on the left diaphragm surface with surrounding inflammatory hyperemia — evidence of bile peritonitis
Yellow arrowheads point to brownish-green bile staining on the under-surface of the left diaphragm — indicating a prior bile leak causing chemical peritonitis. Surrounding tissues show inflammatory hyperemia with serosanguinous fluid pooling.

4. Clinical Photo — Skin Discoloration After Retroperitoneal Bile Leak

Clinical photo of patient's abdomen showing yellowish-brown skin discoloration (icterus marginatus) from a retroperitoneal bile leak, with pen markings tracing prior extent and adhesive dressings over drain/port sites
Post-ERCP stenting: receding yellow-brown skin pigmentation (icterus marginatus) from a retroperitoneal bile leak. Pen marks trace the previous extent of discoloration, showing improvement. Small adhesive dressings cover laparoscopic port/drain sites. A rare but dramatic clinical sign.

5. Management Summary

OutputManagement
Low output (<300 mL/day)Drain in place → may dry up spontaneously
High output (>300–500 mL/day)ERCP + sphincterotomy ± biliary stent
Peritonitis / non-localizableLaparoscopic washout + subhepatic drain placement
Inaccessible percutaneouslyLaparoscopic approach — do NOT attempt to repair the leak directly
Persistent >6 weeksSuspect unrecognized bile duct injury; surgical reconstruction after inflammation resolves
"No attempt should be made to fix the leak; any such intervention is almost always unsuccessful and risks further biliary tree injury." — Sabiston Textbook of Surgery, 20e

Sources:
  • Sabiston Textbook of Surgery (20e) — Biliary Leak, p. 1847
  • Schwartz's Principles of Surgery (11e) — Extrahepatic Bile Ducts, Fig. 32-29
  • Current Surgical Therapy (14e) — Bile Leak & Postoperative Care

Diabetic / thickened gallbladder images

Your credits are exhausted. Your daily credits reset tomorrow, or you can purchase a top-up for more.
This is a shared conversation. Sign in to Orris to start your own chat.