PI in Color doppler week wise normal ratio in pregnancy

Reading File
Finding Sources
Finding Sources
Reading File
Finding Sources
Finding Sources
Loading Image
Finding Sources
Searching Images

pulsatility index normal values gestational age weeks pregnancy color doppler chart

Here is a comprehensive reference for Pulsatility Index (PI) — Normal Values by Gestational Week in Color Doppler during pregnancy, covering the three most clinically important vessels:

Pulsatility Index (PI) — Normal Values in Pregnancy

Formula: PI = (PSV − EDV) / TAV (time-averaged velocity)
PI decreases as pregnancy advances, reflecting progressively lower placental resistance and improved diastolic flow.

1. Umbilical Artery (UA) PI — Normal Reference

The umbilical artery PI steadily falls with advancing gestation as trophoblastic invasion reduces placental resistance.
Gestational WeekPI (Mean)PI (5th–95th Percentile)
20~1.601.20 – 2.00
22~1.501.15 – 1.90
24~1.401.10 – 1.75
26~1.301.00 – 1.65
28~1.200.95 – 1.55
30~1.100.88 – 1.45
32~1.050.80 – 1.35
34~1.000.75 – 1.30
36~0.950.70 – 1.25
38~0.900.65 – 1.20
40~0.850.60 – 1.15
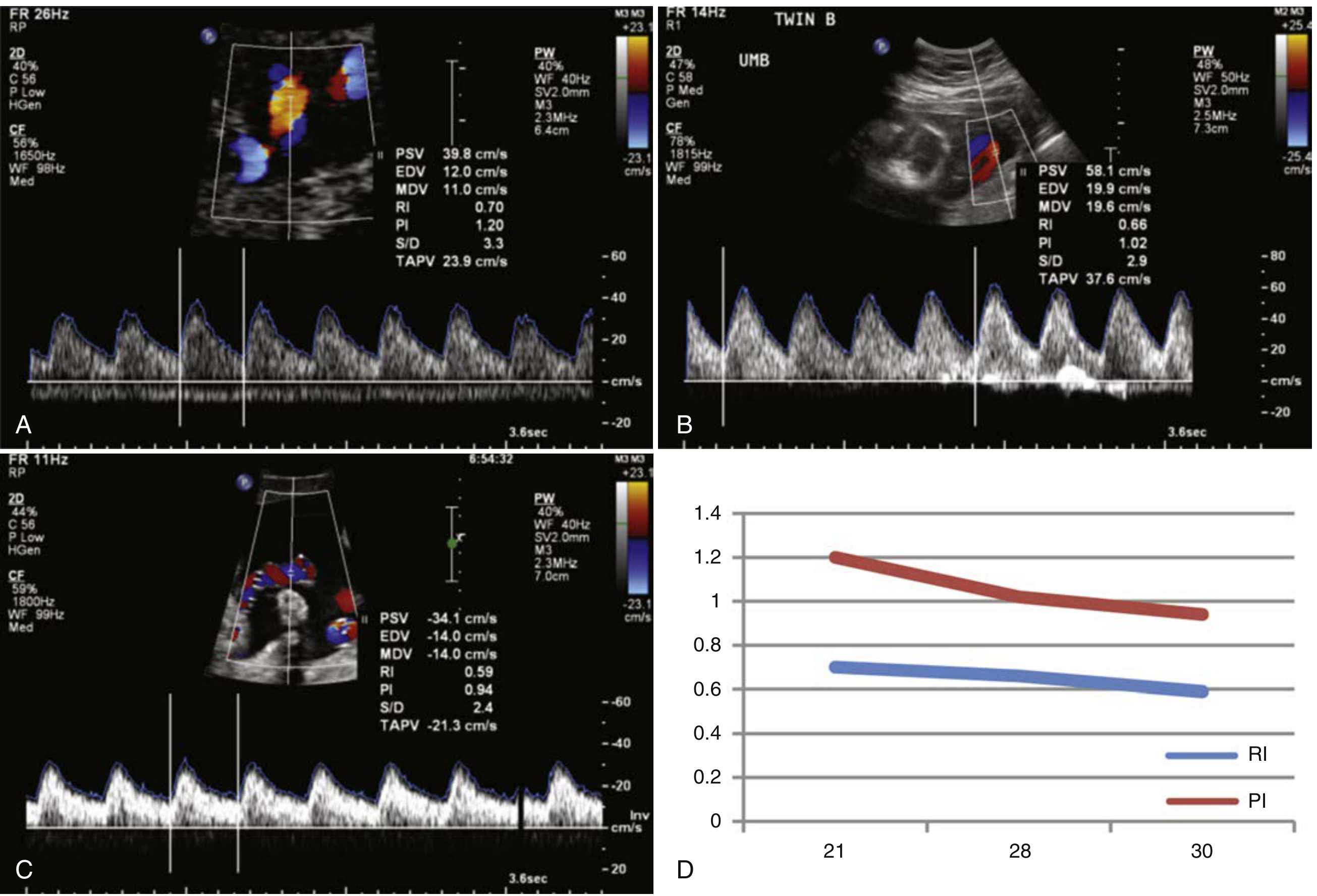
From the textbook image (Creasy & Resnik): at 21 weeks PI ≈ 1.20, declining to ≈ 0.94 by 30 weeks.
Umbilical artery RI and PI values from 21–30 weeks showing progressive decline
Umbilical artery RI and PI values 21–30 weeks (panel D). RI (blue) ~0.70→0.59; PI (red) ~1.20→0.94 — Creasy & Resnik's Maternal-Fetal Medicine

2. Uterine Artery (UtA) PI — Normal Reference

Uterine artery PI falls sharply between 11–24 weeks as trophoblast invades the spiral arteries. A bilateral notch with PI >95th percentile at 20–24 weeks predicts preeclampsia/FGR.
Gestational WeekMean PI95th Percentile (Abnormal Threshold)
11–13+6 (1st trimester)~2.35>2.35 (used in FMF screening)
20–22~1.20>1.45
22–24~1.10>1.45
24–26~1.05>1.40
28–32~0.90>1.20
34–40~0.80>1.10
A PI >95th percentile at 20–24 weeks, especially with bilateral notching, is a major risk marker for preeclampsia and IUGR. — Creasy & Resnik's Maternal-Fetal Medicine
The image below shows an elevated uterine artery PI of 1.75 at 22–24 weeks (above the 95th percentile of 1.45), with an early diastolic notch:
Uterine artery Doppler with elevated PI 1.75 and early diastolic notch at 22-24 weeks
Uterine artery PI 1.75 (>95th percentile), with early diastolic notch — associated with impaired uteroplacental perfusion

3. Middle Cerebral Artery (MCA) PI — Normal Reference

MCA PI is high normally (reflecting high cerebrovascular resistance). It falls with fetal hypoxia — the "brain-sparing" effect. MCA PI < 5th percentile = abnormal.
Gestational WeekMean PI5th Percentile (Abnormal = Below)
20~1.85~1.45
24~1.90~1.50
28~1.90~1.55
30~1.85~1.50
32~1.75~1.40
34~1.65~1.30
36~1.55~1.20
38~1.45~1.10
40~1.35~1.00

4. Ductus Venosus (DV) PI — Normal Reference

DV PI assesses venous return and cardiac function. Elevated DV PI or absent/reversed a-wave = severe fetal compromise.
Gestational WeekMean PIUpper Limit (95th Percentile)
20–24~0.55~0.75
28–32~0.50~0.70
34–38~0.45~0.65

Key Clinical Points

FindingInterpretation
UA PI >95th percentileElevated placental resistance → FGR risk
UA absent/reversed end-diastolic flowSevere FGR, imminent fetal compromise
UtA PI >1.45 at 20–24 wks + notchRisk of preeclampsia, IUGR
MCA PI <5th percentile ("brain sparing")Fetal hypoxia redistributing blood to brain
MCA PI/UA PI ratio (CPR) <1.0Cerebro-placental ratio — poor fetal outcome
DV reversed a-waveCardiac decompensation, delivery indicated

Reference: Creasy & Resnik's Maternal-Fetal Medicine: Principles and Practice; Swanson's Family Medicine Review

Explain early diastolic notch and its cler diagram

Finding Sources
Searching Images

uterine artery early diastolic notch doppler waveform diagram

Loading Image
Loading Image
Finding Sources
Finding Sources
Reading File
Loading Image
Here is a complete explanation of the early diastolic notch in uterine artery Doppler:

Early Diastolic Notch — Uterine Artery Doppler

What Is It?

The early diastolic notch (also called protodiastolic notch) is a brief, transient dip in flow velocity that occurs immediately after the systolic peak and before the diastolic phase in the uterine artery Doppler waveform.
It represents a momentary reversal or sharp deceleration of blood flow velocity at the start of diastole — a reflection of high vascular resistance in the uteroplacental circulation.

Normal vs. Abnormal — The Physiology

In Normal Pregnancy:

During early pregnancy, the uterine arteries are high-resistance vessels. Between 16–22 weeks, trophoblast cells invade the spiral arteries, replacing their muscular walls with wide, low-resistance channels. This process is called physiological conversion of spiral arteries.
  • Result: Uterine artery resistance falls progressively
  • The diastolic notch disappears by 24 weeks in normal pregnancy
  • Forward diastolic flow increases throughout pregnancy

When the Notch Persists:

If trophoblastic invasion is incomplete or absent, spiral arteries retain their muscular walls → remain high-resistance → the uterine artery shows:
  • Elevated PI/RI
  • Persistent diastolic notch beyond 24 weeks → abnormal

Diagrams

Panel A = NORMAL uterine artery — sharp systolic peaks, smooth continuous diastolic flow, NO notch. Panel B = ABNORMAL — prominent early diastolic notch (green arrow), high resistance pattern:
Normal vs abnormal uterine artery Doppler — Panel A shows no notch, Panel B shows prominent early diastolic notch marked by green arrow

Prominent bilateral diastolic notch — blue arrows mark the notch dip after each systolic peak. PI = 2.24, RI = 0.86 (markedly elevated):
Uterine artery Doppler with prominent bilateral notching — blue arrows indicate early diastolic notch after each systolic peak, PI 2.24, RI 0.86

Left uterine artery with notch — PI 2.54, RI 0.89, PSV 108.69 cm/s, EDV 11.42 cm/s. Severely high resistance with prominent notch after each systolic peak:
Left uterine artery color Doppler with early diastolic notch, PI 2.54 and RI 0.89 — high resistance waveform

Waveform Anatomy — Labeled

Velocity
  ↑
  |    /\
  |   /  \
  |  /    \___↓(NOTCH)___/‾‾‾‾\_____
  | /                              diastole
  |/__________________________ time →
       ↑         ↑
     Systolic   Notch = early diastolic dip
      peak      (high resistance marker)
Part of WaveformWhat It Represents
Rapid upstrokeSystolic ejection — cardiac contraction
Peak (PSV)Peak systolic velocity
Sharp downtrokeDeceleration after systole
Notch/dipTransient flow reversal = high resistance
Post-notch riseDiastolic flow — reflects downstream compliance
EDV (trough)End-diastolic velocity — reflects placental resistance

Clinical Significance

FindingInterpretation
Notch disappears by 20–22 wksNormal trophoblast invasion — good
Unilateral notch at 22–24 wksBorderline — repeat in 4 weeks
Bilateral notch persisting >24 wksAbnormal — failed spiral artery remodeling
Notch + PI >95th percentileHigh risk for preeclampsia + IUGR
Notch + elevated AFP/low PAPP-ARisk also for placental abruption

Associated Conditions (Persistent Notch)

  1. Preeclampsia — most strongly associated
  2. Intrauterine Growth Restriction (IUGR/FGR)
  3. Placental abruption
  4. Stillbirth / perinatal death
"Persistent notching of the waveform after 24 weeks was associated with increased risk for abruption as well as IUGR and preeclampsia." — Creasy & Resnik's Maternal-Fetal Medicine

Screening Use (First Trimester)

At 11–13+6 weeks, uterine artery PI >95th percentile (>~2.35) combined with PAPP-A <10th percentile and maternal risk factors forms the FMF combined screening algorithm for early-onset preeclampsia, with sensitivity ~75–90% for early preeclampsia at 10% FPR.
This is a shared conversation. Sign in to Orris to start your own chat.