acuts appendicitis complications, Treatment,cause, symptom,Pecularities in children. under 3 years

Reading File
Finding Sources
Finding Sources
Reading File
Reading File
Reading File
Reading File
Loading Image
I have very comprehensive content. The Schwartz content was fully within the 250-line block and the Rosen's EM content covered the full pediatric section including under-5 and under-3 peculiarities. I now have enough to give a comprehensive, well-cited answer. Let me compile the full response.

Acute Appendicitis — Comprehensive Overview


Etiology (Causes)

The fundamental mechanism is luminal obstruction of the appendix, leading to a cascade of edema → vascular congestion → ischemia → bacterial invasion → necrosis → perforation.
Common causes of obstruction:
  • Fecaliths (hardened stool — most common in adults) — also the most important predictor of perforation
  • Lymphoid hyperplasia — the predominant cause in children, triggered by enteric infections (viral/bacterial gastroenteritis, respiratory infections)
  • Vegetable/fruit seeds, barium, parasites (e.g., Enterobius vermicularis, Ascaris)
  • Tumours (carcinoid, mucocele) — rare, more relevant in adults
The appendix wall becomes distended; luminal pressure rises above venous pressure, causing mucosal ischemia. Gut bacteria (E. coli, Bacteroides, Pseudomonas, Streptococcus) then invade the wall.
— Schwartz's Principles of Surgery, 11th ed.

Symptoms

Classic Presentation (Adults & Older Children)

SymptomDetails
Abdominal painBegins as vague, crampy, periumbilical pain (visceral phase) → migrates to right lower quadrant (RLQ), constant & sharp (somatic phase) — "Migratory pain"
AnorexiaAlmost universal; precedes pain onset
Nausea & VomitingFollow pain onset
Low-grade feverUsually 38–38.5°C; high fever suggests perforation
Constipation or diarrhoeaVariable

Classic Physical Signs

  • McBurney's point tenderness — 2/3 of way from umbilicus to ASIS
  • Rovsing's sign — LLQ pressure causes RLQ pain (peritoneal irritation)
  • Psoas sign — RLQ pain on right hip extension (retrocaecal appendix)
  • Obturator sign — RLQ pain on internal rotation of right flexed hip (pelvic appendix)
  • Rebound tenderness (Blumberg sign) — suggests peritoneal irritation
  • Guarding and rigidity — muscular defense
— Rosen's Emergency Medicine, Schwartz's Surgery

Complications

ComplicationDetails
PerforationMost feared; rate increases with duration; >24–36 h markedly elevated risk
PeritonitisLocalised → generalised; chemical then bacterial
Appendiceal abscess/phlegmonWalled-off perforation; palpable RLQ mass; fever persisting >5 days
Pelvic abscessAfter perforation in pelvic appendix
PylephlebitisSeptic thrombophlebitis of the portal venous system — rare but life-threatening
Sepsis & septic shockFrom gram-negative bacteraemia post-perforation
Adhesions/intestinal obstructionPost-inflammatory or post-operative
Wound infectionCommon post-operatively in complicated appendicitis
Stump appendicitisInflammation of residual appendiceal stump after appendectomy
Enterocutaneous fistulaRare, post-drain or post-op complication
Morbidity and mortality increase significantly if the appendix ruptures prior to operative management.
— Rosen's Emergency Medicine, Schwartz's Surgery 11th ed.

Treatment

1. Non-Operative Management (Antibiotics Alone)

  • Viable option for uncomplicated appendicitis (no fecalith, no perforation, no abscess)
  • Broad-spectrum IV antibiotics (e.g., piperacillin-tazobactam, or ceftriaxone + metronidazole)
  • Resolution in 80–90% of cases within 24–48 hours
  • Drawback: recurrence rate up to 40% at medium-term follow-up → many surgeons use it as a bridge to elective interval appendectomy
  • Patients with fecaliths are excluded from non-operative management

2. Operative Management (Standard of Care)

  • Laparoscopic appendectomy — gold standard; preferred in adults and children alike
  • Performed within 12–24 hours of diagnosis
  • Open appendectomy reserved for laparoscopic conversion situations
  • Preoperative: IV fluids, analgesia, IV antibiotics
  • Same-day discharge possible in early uncomplicated disease

3. Complicated Appendicitis (Perforated/Abscess)

  • Peritonitis + haemodynamic instability → emergency surgery
  • Localised abscess/phlegmon present >5 days → non-operative approach first:
    • IV antibiotics
    • Interventional radiology (IR) drain if accessible abscess present
    • Followed by interval appendectomy at 6–8 weeks
  • Antibiotic duration guided by: fever, leukocytosis, source control status, ileus
— Schwartz's Principles of Surgery, Current Surgical Therapy 14th ed., Rosen's Emergency Medicine

Peculiarities in Children — General

Children differ from adults in several critical ways:
FeatureChildren vs. Adults
OmentumUnderdeveloped → cannot wall off infection → diffuse peritonitis more common
Appendiceal wallThinner → ruptures earlier in the disease course
Peak age9–12 years; uncommon <5 years
Perforation rateHigher overall in children; inversely related to age
Classic symptomsOften absent or atypical in young children — cannot reliably localise pain
Rovsing, Psoas, Obturator signsPoor sensitivity/specificity in young children; unreliable
DifferentialMesenteric adenitis (often post-viral URTI) frequently mimics appendicitis in children
ImagingUltrasound and MRI preferred over CT in children (avoids ionising radiation)
ScoringPediatric Appendicitis Score (PAS) and Alvarado score used; labs alone insufficient

⚠️ Peculiarities in Children UNDER 3 Years — Special Emphasis

This age group carries the highest risk and worst outcomes of any paediatric subgroup:

1. Rarity but High Lethality

  • Appendicitis is uncommon under age 5 and rare under age 3, but when it occurs it is a diagnostic emergency
  • The smaller, thinner-walled appendix and immature immune/omental response mean the progression from inflammation to perforation is extremely rapid

2. Perforation Rates >50%

"Perforation is highest among children younger than 5 years, among whom more than 50% are ruptured at the time of surgery." — Rosen's Emergency Medicine
In children under 3, this rate is even higher. The anatomical absence of a mature omentum means perforation leads directly to diffuse peritonitis rather than a localised abscess.

3. Atypical and Non-Specific Presentation

  • Cannot describe or localise pain — they present with irritability, crying, restlessness
  • Parents report refusal to eat, unusual posturing (lying still, flexing legs), lethargy
  • Vomiting and diarrhoea are prominent → frequently misdiagnosed as gastroenteritis
  • Fever may be the dominant or only finding early on
  • The classic periumbilical → RLQ migration of pain is rarely elicitable or described

4. Diagnostic Difficulty

  • Clinical signs (McBurney's, Rovsing's, Psoas, Obturator) are not assessable or reliable
  • Examination is difficult due to lack of cooperation → tenderness often only detected as crying/guarding on palpation of RLQ
  • WBC and CRP are helpful but non-specific
  • Paediatric scoring systems (PAS, Alvarado) are not validated in this age group
  • Ultrasound is first-line imaging — but visualisation is operator-dependent and may be limited

5. High Misdiagnosis Rate

  • Most common misdiagnoses: gastroenteritis, viral illness, intussusception, Meckel's diverticulitis
  • Significant delays in seeking care by parents (child "too young to have appendicitis") compound the problem
  • By the time diagnosis is made, the disease is often already perforated with generalised peritonitis

6. Clinical Course After Perforation

  • Diffuse bacterial peritonitis rather than localised abscess (due to absent omental walling)
  • Systemic sepsis develops rapidly
  • Toxic appearance: high fever, abdominal distension, lethargy, dehydration
  • Ileus and abdominal rigidity ("board-like abdomen") in severe cases

7. Management

  • Urgent surgical intervention once diagnosis suspected — do not delay for diagnostic certainty
  • Pre-operative IV fluid resuscitation, broad-spectrum antibiotics (covering gram-negatives and anaerobes)
  • Laparoscopic appendectomy — standard even in small children; conversion to open is rarely necessary
  • Post-operative antibiotics continued based on degree of contamination and clinical response
  • Non-operative management with antibiotics generally not favoured in this age group given perforation rate

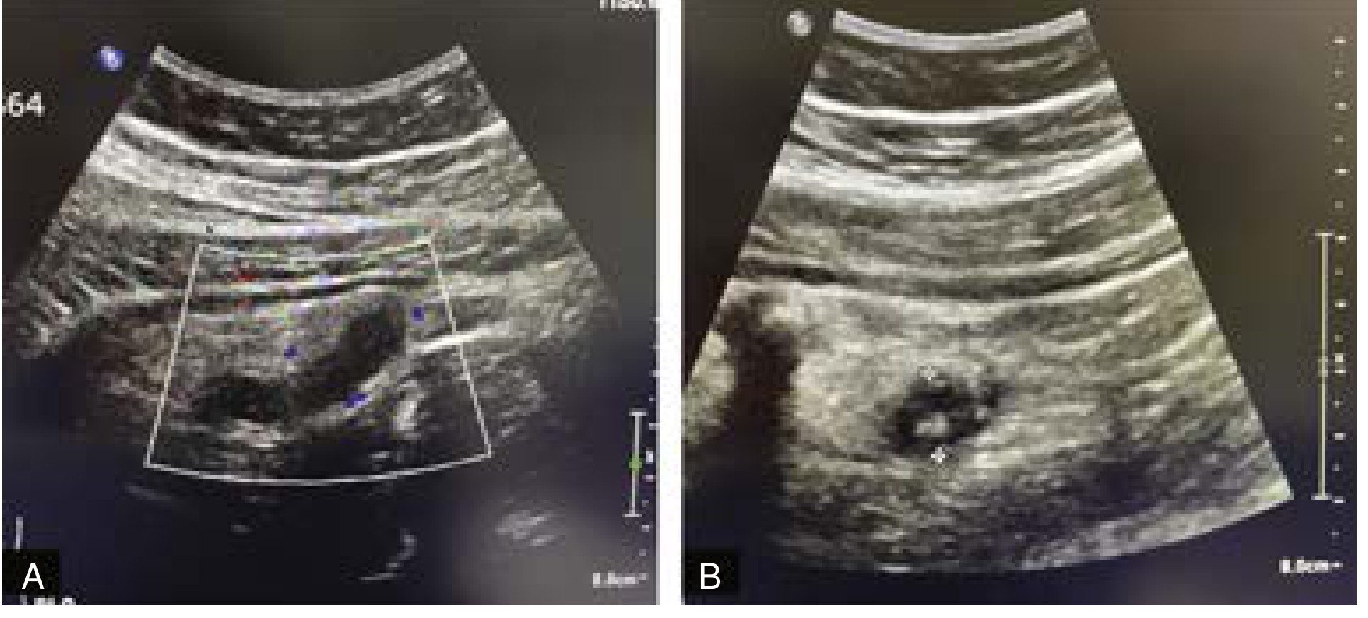
Ultrasound Image — Acute Appendicitis in a Child

Ultrasound showing dilated fluid-filled appendix with appendicolith consistent with acute appendicitis in a 10-year-old child
RLQ ultrasound in a 10-year-old with abdominal pain: (A) dilated fluid-filled tubular structure with increased vascularity; (B) echogenic focus = appendicolith. Both findings consistent with acute appendicitis. — Current Surgical Therapy, 14th ed.

Summary Table — Under 3 Years vs. Older Children

FeatureOlder children (5–12 yr)Under 3 years
IncidenceCommon (peak 9–12 yr)Rare
Pain localisationUsually RLQCannot describe; diffuse/none
Perforation rate at presentation~20–30%>50–80%
Omental containmentPresentAbsent
Peritonitis patternLocalised abscess possibleDiffuse peritonitis
Clinical signsRovsing's, Psoas assessableUnreliable / unassessable
Misdiagnosis rateModerateVery high
UrgencyHighExtreme

Key references:
  • Schwartz's Principles of Surgery, 11th ed. — Chapter: The Appendix
  • Rosen's Emergency Medicine: Concepts and Clinical Practice — Appendicitis (Paediatric)
  • Current Surgical Therapy, 14th ed. — Paediatric Appendicitis
This is a shared conversation. Sign in to Orris to start your own chat.