Hodgkin's lymphoma, its classification and its difference and main clinical features and important points for viva and exam point of view

Reading File
Finding Sources
Finding Sources
Reading File
Finding Sources
Reading File
Reading File
Reading File
Reading File
Reading File
Loading Image
Here is a comprehensive, exam-oriented guide to Hodgkin Lymphoma (HL):

Hodgkin Lymphoma — Complete Guide


1. Definition & Cell of Origin

Hodgkin Lymphoma (HL) is a B-cell lymphoid neoplasm characterized by the presence of neoplastic Reed-Sternberg (RS) cells in a background of reactive inflammatory cells (lymphocytes, eosinophils, plasma cells, macrophages). Neoplastic RS cells typically make up only <10% of the tumor mass — the majority is reactive infiltrate.
Cell of origin: Germinal center or post-germinal center B cells (proven by microdissection showing clonal IgG gene rearrangements with somatic hypermutation in every RS cell).

2. WHO Classification (5 Subtypes)

SubtypeFrequencyKey Features
Nodular Sclerosis (NS)~60%Most common; collagen bands; lacunar RS cells; young females; mediastinum
Mixed Cellularity (MC)~9%Classic RS cells; EBV-associated in up to 70%; older males; advanced stage
Lymphocyte Rich~3%Best prognosis; background of lymphocytes; few RS cells
Lymphocyte Depleted~1%Worst prognosis; many RS cells, few lymphocytes; elderly/HIV
Nodular Lymphocyte Predominant (NLPHL)~8%Distinct entity; L&H/"popcorn cells"; CD20+, CD15−, CD30−
The first four are grouped as Classic Hodgkin Lymphoma (cHL).
— Goldman-Cecil Medicine, Table 172-1; Robbins & Kumar Basic Pathology

3. Reed-Sternberg Cell — The Hallmark

  • Classic RS cell: Large binucleated (or multi-nucleated) cell with prominent "owl-eye" nucleoli (large, eosinophilic, inclusion-like)
  • Lacunar cell: RS variant in nodular sclerosis; artifact of formalin fixation causes cytoplasmic retraction into a "lacuna"
  • L&H (lymphocytic and histiocytic) cell / "Popcorn cell": Seen in NLPHL — multilobated nucleus resembling popcorn

Immunophenotype of RS cells:

MarkerClassic HLNLPHL
CD30✅ Positive (90–100%)❌ Negative
CD15✅ Positive (75–85%)❌ Negative
PAX5/BSAP✅ Positive (>90%)✅ Positive
CD20± (~40%, weak/focal)✅ Strongly positive
CD45 (LCA)❌ Negative✅ Positive
CD79a❌ Negative✅ Positive
— Goldman-Cecil Medicine

4. Clinical Features

Presentation

  • Painless lymphadenopathy — most commonly cervical (60–70%), then mediastinal, axillary
  • Mediastinal mass — especially in nodular sclerosis (young women); can cause SVC syndrome
  • B symptoms (present in ~40%):
    • Fever >38°C (Pel-Ebstein fever — cyclical, pathognomonic)
    • Drenching night sweats
    • Weight loss >10% in 6 months
  • Pruritus — generalized, may precede diagnosis
  • Alcohol-induced pain at lymph node sites — classic but uncommon (pathognomonic when present)

Epidemiology

  • Bimodal age distribution: Peak 1 at 25–30 years (young adults); Peak 2 at >50 years
  • Slightly more common in males; more common in Whites than Blacks
  • Higher incidence in higher socioeconomic classes (Western world)
  • In the Indian subcontinent, peak is strongly shifted into childhood

5. HL vs Non-Hodgkin Lymphoma (NHL) — Key Differences

FeatureHodgkin LymphomaNon-Hodgkin Lymphoma
Node involvementSingle axial group (cervical, mediastinal, para-aortic)Multiple peripheral nodes
SpreadOrderly, contiguousNon-contiguous, unpredictable
Mesenteric nodes/Waldeyer's ringRarely involvedCommonly involved
Extranodal presentationRareCommon
Neoplastic cellReed-Sternberg cellVaried
Cell of originGerminal center B cellB cell, T cell, NK cell
PrognosisGenerally better, often curableVariable
— Robbins, Cotran & Kumar Pathologic Basis of Disease, Table 13.7

6. Pathogenesis & EBV Association

  • EBV is the leading suspect: present in RS cells in ~70% of mixed cellularity and ~50% of all classic HL cases
  • History of infectious mononucleosis increases HL risk 3-fold
  • EBV genome is monoclonal in RS cells of a given patient (infection precedes transformation)
  • Immune escape mechanisms:
    • Loss of β2-microglobulin → failure to express class I MHC
    • High expression of PD-L1 → inhibits T-cell responses (therapeutic target)
  • RS cells secrete cytokines: IL-5 (eosinophil attraction), TGF-β (fibrosis), IL-13 (autocrine growth)

7. Staging — Ann Arbor / Lugano Classification

StageDefinition
ISingle lymph node region or single extralymphatic site
II≥2 node regions on same side of diaphragm
IIINode regions on both sides of diaphragm
IVDisseminated extranodal involvement (bone marrow, liver, lung)
Modifiers:
  • A = No B symptoms; B = B symptoms present
  • E = Extranodal contiguous extension; S = Spleen involved
  • X = Bulky disease (mediastinal mass >1/3 thoracic diameter or >10 cm)

8. Histopathology of Each Subtype (Exam Focus)

Nodular Sclerosis (most common — 60%)

  • Collagen bands divide lymph node into nodules
  • Lacunar cells (RS variants) in nodules
  • Background: lymphocytes, eosinophils, plasma cells
  • Young women, mediastinal involvement

Mixed Cellularity (~9%)

  • Classic RS cells scattered among mixed inflammatory background
  • Most strongly associated with EBV (up to 70%)
  • Older males, advanced stage at presentation

Lymphocyte Rich (~3%)

  • Abundant reactive lymphocytes, rare RS cells
  • Best prognosis among classic HL
  • Resembles NLPHL but RS cells are CD30+, CD15+

Lymphocyte Depleted (~1%)

  • Numerous RS cells, depleted lymphocytes
  • Worst prognosis; elderly, HIV+ patients
  • High association with EBV and advanced stage

Nodular Lymphocyte Predominant (NLPHL, ~8%)

  • Popcorn/L&H cells — large neoplastic cells with multilobated nuclei
  • Background: predominantly small B lymphocytes and histiocytes
  • CD20+, CD79a+, CD45+; CD30−, CD15− ← key distinction
  • Indolent course; risk of transformation to diffuse large B-cell lymphoma

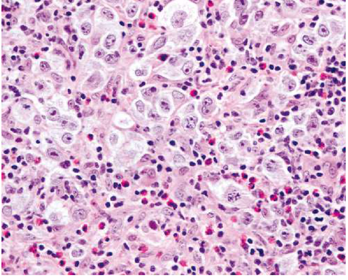
Nodular sclerosing Hodgkin lymphoma H&E — showing lacunar RS cells among background lymphocytes and eosinophils
Nodular sclerosing Hodgkin lymphoma: lacunar cells, diagnostic RS cells, and reactive background. — Goldman-Cecil Medicine, Fig. 172-1

9. Treatment

CategoryRegimen
Early-stage (I–II), favorable2–4 cycles ABVD + involved-field radiation
Early-stage, unfavorable/bulky4–6 cycles ABVD ± radiation
Advanced stage (III–IV)6–8 cycles ABVD; or BEACOPP (escalated, more toxic)
Relapsed/refractoryHigh-dose chemo + autologous stem cell transplant (ASCT)
CD30-targetedBrentuximab vedotin (anti-CD30 antibody-drug conjugate)
PD-1 checkpointNivolumab, Pembrolizumab (exploit PD-L1 overexpression on RS cells)
ABVD = Adriamycin (doxorubicin), Bleomycin, Vinblastine, Dacarbazine
MOPP = historically used; now largely abandoned due to infertility and leukemia risk

10. Viva & Exam High-Yield Points

PointDetail
Most common subtypeNodular sclerosis (60%)
Best prognosisLymphocyte rich
Worst prognosisLymphocyte depleted
Most common site of HLCervical lymph nodes
Classic RS cellBinucleated, "owl-eye" nucleoli
RS cell markersCD30+, CD15+, PAX5+, CD45−
NLPHL markersCD20+, CD45+, CD30−, CD15−
Popcorn/L&H cellNLPHL
Lacunar cellNodular sclerosis
Bimodal age25–30 yrs & >50 yrs
Pel-Ebstein feverCyclical fever in HL (pathognomonic)
Alcohol painPain at nodal sites after alcohol — pathognomonic
EBV association70% mixed cellularity; ~50% all classic HL
HIV associationLymphocyte depleted subtype; mixed cellularity
Cell of originGerminal center B cell
SpreadsContiguously (unlike NHL)
Mesenteric nodesSpared in HL; involved in NHL
Mediastinal involvementNodular sclerosis (young women especially)
Transformation riskNLPHL → DLBCL
Treatment backboneABVD chemotherapy
Second malignancy riskAlkylating agents → AML/MDS; radiation → solid tumors (breast, lung)
InfertilityMOPP/BEACOPP (alkylating agents); ABVD is safer
Cardiovascular riskMediastinal radiation → coronary artery disease (latency ~19 years)

Sources: Robbins & Kumar Basic Pathology; Robbins, Cotran & Kumar Pathologic Basis of Disease; Goldman-Cecil Medicine

Mutations

This is a brief follow-up to the Hodgkin Lymphoma topic, so I can answer this from what was already retrieved — the textbooks covered the molecular/mutation aspects in detail.

Mutations in Hodgkin Lymphoma


1. Why RS Cells are Genetically Abnormal B Cells

Normal germinal center B cells that fail somatic hypermutation of their immunoglobulin genes undergo apoptosis. RS cells carry crippling mutations in their rearranged immunoglobulin genes (non-functional V-gene rearrangements) — they should have died but survived due to oncogenic hits that rescue them from apoptosis.

2. Key Signaling Pathways & Mutations

NF-κB Pathway (Most Important)

  • Constitutive NF-κB activation is the central oncogenic mechanism in RS cells
  • NF-κB promotes RS cell survival, proliferation, and cytokine secretion
  • Mechanisms of activation:
    • EBV LMP-1 (latent membrane protein-1) directly activates NF-κB in EBV+ cases
    • Mutations in TNFAIP3 (A20) — A20 is a negative regulator of NF-κB; loss-of-function mutations in A20 found in ~30–40% of cHL cases
    • REL gene amplification — REL encodes a NF-κB subunit; amplified on chromosome 2p

JAK-STAT Pathway

  • RS cells show constitutive JAK2 amplification (chromosome 9p24.1)
  • JAK2 amplification also co-amplifies PD-L1 and PD-L2 genes on the same locus → immune evasion
  • STAT6 activating mutations — found in a subset; STAT6 drives IL-13 autocrine signaling
  • SOCS1 mutations — SOCS1 normally inhibits JAK-STAT; loss-of-function mutations lead to sustained STAT activation

PI3K Pathway

  • Activated downstream of JAK2 and receptor signaling; contributes to RS cell survival

3. Chromosome 9p24.1 Amplification — High-Yield

This is one of the most exam-important molecular findings in HL:
Gene at 9p24.1Consequence
JAK2Constitutive kinase activation → proliferation/survival
PD-L1 (CD274)Overexpressed → T-cell exhaustion, immune escape
PD-L2 (CD273)Overexpressed → immune checkpoint activation
This is why anti-PD-1 agents (nivolumab, pembrolizumab) work so well in relapsed/refractory HL — the tumor is genomically wired to overexpress PD-L1.

4. β2-Microglobulin (B2M) Mutations

  • Loss-of-function mutations in B2M → failure to assemble MHC class I molecules
  • RS cells become invisible to CD8+ cytotoxic T cells
  • A major immune escape mechanism

5. EBV-Driven Oncogenesis (in EBV+ cases)

  • LMP-1 mimics a constitutively active CD40 receptor → activates NF-κB and PI3K
  • LMP-2A mimics a tonically active B-cell receptor → survival signals without BCR
  • Together, LMP-1 and LMP-2A rescue the crippled B cell from apoptosis and drive clonal expansion

6. NLPHL-Specific Mutations

  • Unlike classic HL, NLPHL popcorn cells retain functional BCR signaling
  • Frequent mutations in TNFRSF14 and RHOA
  • Activation of BCR/PI3K pathway — basis for sensitivity to rituximab (anti-CD20)

Summary Table — Viva-Ready

Mutation / AlterationEffectSubtype
TNFAIP3 (A20) lossConstitutive NF-κBClassic HL
REL amplification (2p)NF-κB overactivationClassic HL
JAK2 amplification (9p24.1)JAK-STAT activation + PD-L1 overexpressionClassic HL
STAT6 activating mutationIL-13 autocrine loopClassic HL
SOCS1 lossSustained JAK-STATClassic HL
B2M lossMHC-I loss → CTL escapeClassic HL
PD-L1/PD-L2 amplificationT-cell checkpoint → immune escapeClassic HL (especially NS)
EBV LMP-1Constitutive NF-κB + CD40 mimicryEBV+ HL (MC > NS)
EBV LMP-2ABCR mimicry → survivalEBV+ HL
RHOA, TNFRSF14BCR pathway activationNLPHL

Key viva point: Classic HL survives through two parallel rescue mechanisms — NF-κB activation (prevents apoptosis) and immune evasion via PD-L1 upregulation + MHC-I loss (prevents immune clearance). Both are directly targetable therapeutically.

Numerical and structural mutations in genetics

Reading File
Finding Sources
Finding Sources
Finding Sources
Finding Sources
Reading File
Reading File
Reading File
Reading File
Reading File
Reading File
I now have comprehensive textbook content on both numerical and structural chromosomal mutations. Here is a complete, well-structured guide:

Numerical & Structural Chromosomal Mutations (Genetics)


PART 1 — NUMERICAL CHROMOSOMAL MUTATIONS

Numerical abnormalities are changes in the total number of chromosomes — either gaining or losing whole chromosomes.

A. Aneuploidy

Definition: Any chromosome number that is NOT an exact multiple of the haploid number (23). The most common and clinically significant numerical chromosomal abnormality — occurs in 3–4% of clinically recognized pregnancies.
TermChromosome NumberMechanism
Monosomy45 (loss of 1 chromosome)Nondisjunction
Trisomy47 (gain of 1 chromosome)Nondisjunction
Nullisomy44 (loss of a pair)Nondisjunction
Tetrasomy48 (gain of a pair)Nondisjunction
Cause: Nondisjunction — failure of a chromosome pair or two chromatids to separate during meiosis I or meiosis II (or mitosis in early embryo).
— The Developing Human: Clinically Oriented Embryology

B. Polyploidy

Definition: Chromosome number is a multiple of 23, but more than 46.
TypeNumberCauseOutcome
Triploidy69 (3n)Fertilization by 2 sperm (dispermy) or failure of one meiotic divisionUsually lethal; spontaneous abortion
Tetraploidy92 (4n)Failure of first cleavage division of zygoteLethal; blighted embryo (empty chorionic sac)

C. Mechanism — Nondisjunction

Normal Meiosis:     Pair → one to each daughter cell
Nondisjunction:     Both go to ONE cell → other gets NONE
Result:             One gamete = n+1 (disomic)
                    Other gamete = n-1 (nullisomic)
Fertilization with normal gamete (n):
   n+1 + n = 47 (trisomy)
   n-1 + n = 45 (monosomy)
  • Can occur in Meiosis I (more common) or Meiosis II
  • Can also occur during early mitotic divisions of the zygote → Mosaicism (two or more cell lines with different karyotypes)

D. Clinical Examples of Aneuploidy

Autosomal Trisomies

SyndromeKaryotypeKey Features
Down syndrome47, +21 (Trisomy 21)Most common; upslanting palpebral fissures, epicanthal folds, flat nasal bridge, intellectual disability, Brushfield spots, congenital heart defect (AVSD), single palmar crease
Edwards syndrome47, +18 (Trisomy 18)Micrognathia, rocker-bottom feet, clenched fists (overlapping fingers), VSD; 90% die within 1 year
Patau syndrome47, +13 (Trisomy 13)Holoprosencephaly, cleft lip/palate, polydactyly, microphthalmia; lethal

Sex Chromosome Aneuploidies

SyndromeKaryotypeFeatures
Turner syndrome45, X (monosomy X)Short stature, webbed neck, shield chest, primary amenorrhea, coarctation of aorta, horseshoe kidney, streak gonads
Klinefelter syndrome47, XXYTall, gynecomastia, small testes, infertility, ↓testosterone, learning difficulties
Triple X ("Superfemale")47, XXXUsually phenotypically normal female; mild cognitive issues; tall
XYY syndrome47, XYYTall male; usually normal phenotype; behavioral issues reported

E. Mosaicism

  • Nondisjunction during early mitotic divisions post-fertilization
  • Results in two cell populations with different karyotypes (e.g., 46,XX / 45,X)
  • Phenotype is milder than full monosomy/trisomy
  • True hermaphroditism likely due to XX/XY mosaicism

PART 2 — STRUCTURAL CHROMOSOMAL MUTATIONS

Structural abnormalities result from chromosome breakage followed by abnormal reconstitution. Occur in approximately 1 in 375 neonates.
Causes of breaks: Ionizing radiation, viral infections, drugs, chemicals.

Diagrams of structural chromosomal abnormalities including translocation, deletion, ring chromosome, duplication, inversion, isochromosome, and Robertsonian translocation
Types of structural chromosomal abnormalities — The Developing Human: Clinically Oriented Embryology, Fig. 20.13

1. Translocation

Transfer of a chromosome segment to a non-homologous chromosome.
TypeDescriptionExample
Reciprocal translocationTwo non-homologous chromosomes exchange piecest(9;22) → Philadelphia chromosome in CML
Robertsonian translocationShort arms of two acrocentric chromosomes lost; long arms fuset(14;21) → Down syndrome carrier
  • Balanced translocation carrier: Phenotypically normal, but produces abnormal gametes → risk of offspring with unbalanced karyotype
  • 3–4% of Down syndrome cases are due to translocation trisomy 21 (not age-related — can recur in family)
  • Most common structural abnormality: 1:1000

2. Deletion

Loss of a chromosome segment after breakage.
TypeDescriptionExample
Terminal deletionLoss from one end of chromosomeCri du chat syndrome: del(5p)
Interstitial deletionLoss of a middle segmentDi George syndrome: del(22q11)
Ring chromosomeBoth ends deleted, broken ends join into a ringSeen in Turner, Edwards syndrome
Cri du chat syndrome (5p−):
  • Cat-like cry (from which the syndrome is named)
  • Microcephaly, severe intellectual disability
  • Congenital heart disease, hypertelorism

3. Inversion

A chromosome segment is reversed in orientation (requires 2 breaks).
TypeDescriptionClinical Risk
Paracentric inversionConfined to ONE arm; does NOT include centromereLower risk; acentric/dicentric fragments at meiosis
Pericentric inversionInvolves BOTH arms; includes centromereHigher risk; unequal crossing over → abnormal offspring

4. Duplication

A chromosome segment is represented twice.
  • More common than deletions
  • Less harmful than deletions (no genetic material lost)
  • Can still cause cognitive impairment or birth defects
  • May involve part of a gene, a whole gene, or multiple contiguous genes

5. Isochromosome

A chromosome with two identical arms (both long arms or both short arms) — forms when the centromere divides transversely instead of longitudinally.
  • Most common: i(Xq) — isochromosome of long arm of X → one of the causes of Turner syndrome
  • Results in monosomy for one arm + trisomy for the other

6. Microdeletion & Microduplication (Contiguous Gene Syndromes)

Very small deletions/duplications detectable only by high-resolution banding or FISH/CMA (chromosomal microarray).
SyndromeChromosomeDeletion/DuplicationKey Features
Prader-Willi15q11-q13Deletion (paternal)Obesity, hyperphagia, short stature, hypogonadism, hypotonia
Angelman15q11-q13Deletion (maternal)Severe intellectual disability, seizures, ataxia, "happy puppet"
DiGeorge / velocardiofacial22q11.2DeletionCardiac defects, cleft palate, hypocalcemia, T-cell deficiency
Williams7q11.23DeletionElfin facies, supravalvular aortic stenosis, friendly personality
Cri du chat5pDeletionCat cry, microcephaly, intellectual disability
Wolf-Hirschhorn4pDeletion"Greek warrior helmet" facies, intellectual disability, seizures
Key concept — Imprinting in 15q11 deletions:
  • Same deletion, different parent of origin → different syndrome
  • Maternal chromosome 15 deleted → Angelman syndrome
  • Paternal chromosome 15 deleted → Prader-Willi syndrome
  • This is genomic imprinting — differential expression based on parental origin

SUMMARY TABLE — Viva Quick Reference

CategoryTypeKey ExampleViva Point
NumericalTrisomy 21Down syndromeMost common cause: nondisjunction in maternal Meiosis I
NumericalMonosomy XTurner syndromeOnly viable monosomy in humans
NumericalTrisomy 18Edwards syndromeClenched overlapping fingers
NumericalTrisomy 13Patau syndromeHoloprosencephaly, polydactyly
NumericalXXYKlinefelterInfertility, gynecomastia
NumericalTriploidy (69)Dispermy; spontaneous abortion
StructuralReciprocal translocationt(9;22) CMLPhiladelphia chromosome; BCR-ABL
StructuralRobertsonian translocationt(14;21)Familial Down syndrome; age-independent
StructuralTerminal deletion5p−Cri du chat; cat cry
StructuralMicrodeletion 22q11DiGeorgeCATCH-22
StructuralMicrodeletion 15q11 (pat)Prader-WilliPaternal deletion
StructuralMicrodeletion 15q11 (mat)AngelmanMaternal deletion
StructuralPericentric inversionRisk of abnormal offspring
StructuralIsochromosome XqTurner variantTransverse centromere division
StructuralRing chromosomeRing XBoth ends deleted, ends fuse

Sources: The Developing Human: Clinically Oriented Embryology; Ganong's Review of Medical Physiology; Goldman-Cecil Medicine
This is a shared conversation. Sign in to Orris to start your own chat.