Liver tumours

Reading File
Finding Sources
Finding Sources
Reading File
Reading File
Reading File
Reading File
Reading File
I have enough rich content to compile a comprehensive answer. Let me now synthesize everything.

Liver Tumours

Classification

CategoryTumour
BenignCavernous haemangioma, Hepatocellular adenoma, Focal nodular hyperplasia (FNH)
Primary malignantHepatocellular carcinoma (HCC), Cholangiocarcinoma, Hepatoblastoma, Angiosarcoma
Secondary (metastatic)Most common overall — colorectal, breast, lung, pancreas

Benign Tumours

1. Cavernous Haemangioma

The most common benign liver tumour, with a prevalence of 2–20% in the general population. There is a 5:1 female predominance. They are vascular malformations — congenital, enlarging by ectasia rather than angiogenesis — and are surrounded by a pseudocapsule. Growth compresses rather than invades surrounding structures.
  • Symptoms: The vast majority are asymptomatic. Symptoms (pain, fullness, nausea) are linked to stretch of Glisson's capsule. Giant haemangiomas (>10 cm) can rarely cause biliary obstruction or Budd-Chiari syndrome.
  • Diagnosis: Imaging (US, CT, MRI) is usually diagnostic without biopsy.
  • Kasabach-Merritt syndrome: Rare — thrombocytopenia from platelet sequestration within the lesion.
  • Management: Observation for asymptomatic lesions. If surgery is needed, enucleation or parenchymal resection are both options.
  • Key distinction: Must be differentiated from metastatic tumours radiographically or intraoperatively.
Current Surgical Therapy 14e | Robbins & Kumar Basic Pathology

2. Hepatocellular Adenoma (HA)

A benign tumour arising in a noncirrhotic liver, most commonly in reproductive-age women.
  • Risk factors: Historically associated with oral contraceptive use (high-oestrogen pills); now more strongly linked to obesity and metabolic syndrome. Oestrogen stimulates growth.
  • Driver mutations: β-catenin gain-of-function mutations, among others.
  • Morphology: Ranges from sheets of normal-appearing hepatocytes to tumours with significant cytologic atypia. No portal tracts; arterial supply only.
  • Complications:
    • Rupture → life-threatening intraabdominal haemorrhage
    • Malignant transformation (especially in β-catenin-mutated adenomas)
    • Rupture risk is increased during pregnancy (high maternal and fetal mortality)
  • Management: Lesions >5 cm or those with β-catenin mutations are typically resected. OCP cessation is advised. Surveillance imaging for smaller lesions.
Hepatic adenoma resected specimen and microscopy
Hepatic adenoma: (A) Resected specimen. (B) Cords of hepatocytes with arterial vascular supply (arrow) and no portal tracts.
Robbins & Kumar Basic Pathology, p. 626

3. Focal Nodular Hyperplasia (FNH)

  • A well-demarcated, poorly encapsulated nodule in an otherwise normal liver, most frequent in young to middle-aged adults.
  • Hallmark: Central gray-white stellate scar with fibrous septa radiating to periphery; large abnormal vessels and ductular reactions within the central scar.
  • Clinically benign; rarely requires resection. Surgery may be considered when it cannot be distinguished from hepatic adenoma or fibrolamellar HCC on imaging.
FNH resected specimen and histology
Focal nodular hyperplasia: central stellate scar (A) with broad fibrous scar and ductular elements (B).
Robbins & Kumar Basic Pathology

Primary Malignant Tumours

1. Hepatocellular Carcinoma (HCC)

The most common primary malignant liver tumour worldwide, accounting for ~5% of all cancers globally.

Epidemiology

  • Highest incidence in Southeast Asia, Korea, Taiwan, and sub-Saharan Africa (endemic HBV), with peak onset at 20–40 years. In these regions, ~50% of cases arise without cirrhosis.
  • In Western countries, HCC incidence tripled recently, driven largely by HCV. Almost 90% of Western cases emerge after established cirrhosis; peak onset is after 60 years.
  • Male predominance: 3:1 (low-incidence areas) to 8:1 (high-incidence areas).

Risk Factors

FactorNotes
Chronic HBVVertical transmission; carcinogenesis can occur without cirrhosis
Chronic HCVAlmost always in setting of cirrhosis
AflatoxinMycotoxin from Aspergillus spp.; contaminates food crops; synergises with HBV
AlcoholSynergises with HBV, HCV, and smoking
NAFLD/Metabolic syndromeExpected to surpass HCV as leading risk factor in the US
Hereditary haemochromatosis, α1AT deficiencyInherited disorders
Wilson diseaseLesser risk

Pathogenesis

Chronic liver injury → persistent inflammation, cytokines, growth factors → hepatocyte proliferation → acquisition of mutations in oncogenes and tumour suppressor genes. Cirrhosis and carcinogenesis are parallel processes driven by the same chronic injury.

Morphology

  • Gross: Unifocal, multifocal, or diffusely infiltrating masses. Tumours are often soft, haemorrhagic, and have areas of necrosis. A nodule-in-nodule pattern suggests evolving cancer.
  • Histology: Well-differentiated tumours resemble hepatocytes; may show trabecular or pseudo-glandular (acinar) patterns. Bile production is a useful diagnostic feature.
  • Fibrolamellar HCC: A distinct variant — occurs in younger patients, those without cirrhosis, and without chronic liver disease. Better prognosis.
  • Vascular invasion: Very common; portal vein invasion → intrahepatic spread.
  • Metastases: Lung, peritoneum, bone, spleen, adrenal gland, brain.
HCC nodule-in-nodule pattern and histology
HCC: (A) Nodule-in-nodule growth pattern. (B) Well-differentiated HCC adjacent to a sub-nodule of more poorly differentiated cells.

Diagnosis & Staging

  • In chronic liver disease, CT and MRI are typically diagnostic without biopsy: look for arterial hyperenhancement + portal venous washout.
  • LI-RADS 5 = diagnostic of HCC.
  • Tumour markers: AFP (alpha-fetoprotein) is the primary marker; CA 19-9 and CEA if diagnosis is unclear.
  • Staging: AJCC, Barcelona Clinic Liver Cancer (BCLC), and Okuda staging systems. BCLC also incorporates degree of chronic liver disease.

Management

ApproachIndication
Liver transplantationAdvanced cirrhosis + limited HCC (Milan criteria); removes field defect; treatment of choice when applicable
Surgical resectionLimited underlying liver disease (Child-Pugh A, no portal hypertension); negative margins; anatomic resections preferred (portal territory-based) as HCC spreads along portal venous tributaries
AblationMedically unfit for surgery; small tumours (<2–3 cm): outcomes comparable to resection
TACE (transarterial chemoembolisation)Locoregional control; also used as bridge to transplantation
Systemic therapyAdvanced disease (sorafenib, lenvatinib, atezolizumab + bevacizumab)
  • Perioperative mortality for major hepatectomy is <5% in Child-Pugh A without portal hypertension, but increases significantly in Child-Pugh B/C.
  • No proven adjuvant systemic therapy exists for resected HCC currently.
Current Surgical Therapy 14e, pp. 418–420 | Robbins & Kumar Basic Pathology

2. Cholangiocarcinoma (CCA)

Arises from biliary epithelium. Less common than HCC.
  • Intrahepatic CCA: Arises from intrahepatic bile ducts; presents as a hepatic mass.
  • Perihilar (Klatskin tumour) and distal CCA: At the biliary confluence and distal CBD respectively.
  • Risk factors: Primary sclerosing cholangitis (PSC), liver flukes (Opisthorchis, Clonorchis), choledochal cysts, chronic HBV/HCV.
  • Often presents late; poor prognosis. Surgical resection is the only curative option.

3. Hepatoblastoma

  • The most common primary liver malignancy in children (usually <5 years of age).
  • Two main subtypes: epithelial (most common) and mixed epithelial-mesenchymal.
  • Treated with chemotherapy + surgical resection. Complete resection before drug resistance develops is essential for survival.
Robbins, Cotran & Kumar Pathologic Basis of Disease

Metastatic Tumours

The most common hepatic malignancy overall — metastases far outnumber primary tumours. Common primaries:
  • Colorectal cancer (most surgically resectable)
  • Breast, lung, pancreas, stomach, carcinoid/NETs
Metastases typically appear as multiple nodules. Curative resection is possible for colorectal liver metastases in selected patients (5-year survival ~40%).

Diagnostic Imaging Summary

LesionKey Imaging Feature
HaemangiomaPeripheral nodular enhancement → centripetal fill-in (CT/MRI)
FNHCentral scar with spoke-wheel vascularity on arterial phase
Hepatic adenomaArterial enhancement; may contain fat or haemorrhage
HCCArterial hyperenhancement + portal venous washout (LI-RADS 5)
CholangiocarcinomaPeripheral rim enhancement; biliary dilatation
MetastasesMultiple lesions; "target" or "ring" enhancement

Sources: Robbins & Kumar Basic Pathology (9780323790185) | Current Surgical Therapy 14e (9780323796835) | Robbins, Cotran & Kumar Pathologic Basis of Disease (9780443264528)

Now made it concise for my usmle step 1 exam

Liver Tumours — USMLE Step 1


Benign Tumours

TumourKey Facts
Cavernous HaemangiomaMost common benign liver tumour. Blood-filled, vascular. Asymptomatic. Must distinguish from mets on imaging (peripheral nodular enhancement → centripetal fill-in). Do NOT biopsy.
Hepatocellular AdenomaYoung women + OCP use (or obesity/metabolic syndrome). Risk of rupture (haemoperitoneum) and malignant transformation (β-catenin mutation). Stop OCPs; resect if >5 cm.
Focal Nodular Hyperplasia (FNH)Central stellate scar + spoke-wheel vascularity. Normal liver. Benign, no malignant potential. Ductular reactions in scar.

Primary Malignant Tumours

Hepatocellular Carcinoma (HCC)

  • Most common primary liver malignancy worldwide
  • Risk factors: HBV (can cause HCC without cirrhosis), HCV (needs cirrhosis), aflatoxin (Aspergillus), alcohol, NAFLD, haemochromatosis, α1AT deficiency
  • AFP is the tumour marker
  • Imaging: Arterial hyperenhancement + portal venous washout → LI-RADS 5 = diagnostic
  • Microscopy: Trabecular pattern, bile production, no portal tracts
  • Spread: Portal vein invasion (intrahepatic); mets to lung, bone, adrenal
  • Fibrolamellar HCC: Young patients, NO cirrhosis, better prognosis

Cholangiocarcinoma

  • Bile duct origin
  • Risk factors: PSC, liver flukes (Clonorchis, Opisthorchis), choledochal cysts
  • Perihilar = Klatskin tumour

Hepatoblastoma

  • Most common liver malignancy in children <5 years
  • Elevated AFP
  • Treat with chemo + resection

Metastatic Tumours

  • Most common hepatic malignancy overall (more common than primaries)
  • Sources: colorectal > breast > lung > pancreas
  • Colorectal mets = most resectable

High-Yield Associations

BuzzwordThink
Young woman + OCP → liver massHepatic adenoma
Cirrhosis + AFP ↑HCC
Young person, no cirrhosis, HCCFibrolamellar HCC
PSC → liver cancerCholangiocarcinoma
Child <5 + AFP ↑ + liver massHepatoblastoma
Most common benign liver tumourCavernous haemangioma
Most common liver malignancy overallMetastatic disease
Central stellate scarFNH
AflatoxinHCC (synergises with HBV)

Alpha one atitrypsin deficiency

Finding Sources
Finding Sources
Reading File
Reading File
Reading File
Reading File
I have all the content needed for a concise USMLE Step 1 summary.

α1-Antitrypsin Deficiency — USMLE Step 1

Core Concept

Autosomal recessive disorder of protein misfolding → two distinct organ systems affected by two different mechanisms.

Genetics

FeatureDetail
InheritanceAutosomal recessive; codominant expression
Normal genotypePiMM (90% of population)
Most common pathogenic mutationPiZ allele (Glu342Lys substitution — glutamine → lysine at position 342)
Most severe phenotypePiZZ → circulating α1AT levels only 10% of normal
IntermediatePiMZ heterozygotes → intermediate levels
Prevalence of PiZZ~1 in 1800 (northern European descent)

Two Mechanisms, Two Organs

OrganMechanismResult
LungLoss of function — α1AT cannot inhibit neutrophil elastase → unchecked elastase destroys alveolar wallsPanacinar emphysema (lower lobe predominance)
LiverToxic gain of function — misfolded PiZ protein accumulates in hepatocyte ER → ER stress → unfolded protein response → apoptosisHepatitis → cirrhosis → HCC
Key distinction: Lung disease = lack of protein. Liver disease = too much misfolded protein.

Liver Disease

  • Most common inherited hepatic disorder in infants and children
  • Neonates: hepatomegaly, cholestatic jaundice (10–20%)
  • Adolescents/adults: chronic hepatitis, cirrhosis, HCC (2–3% of PiZZ adults)
  • Only 10–15% of PiZZ individuals develop overt liver disease (other genetic/environmental factors involved)
  • Treatment: Liver transplantation (curative for liver disease; does NOT help lungs)

Lung Disease

  • Emphysema develops in adults
  • Panacinar emphysema, lower lobe predominant (vs. upper lobe in smoking-related centriacinar emphysema)
  • May also develop bronchiectasis
  • Smoking dramatically accelerates lung disease (neutrophil accumulation → more elastase release)

Histology (High-Yield)

  • Liver biopsy: Round-to-oval cytoplasmic globular inclusions in hepatocytes
  • Stain: PAS-positive, diastase-resistant (magenta globules)
  • Periportal hepatocytes affected first
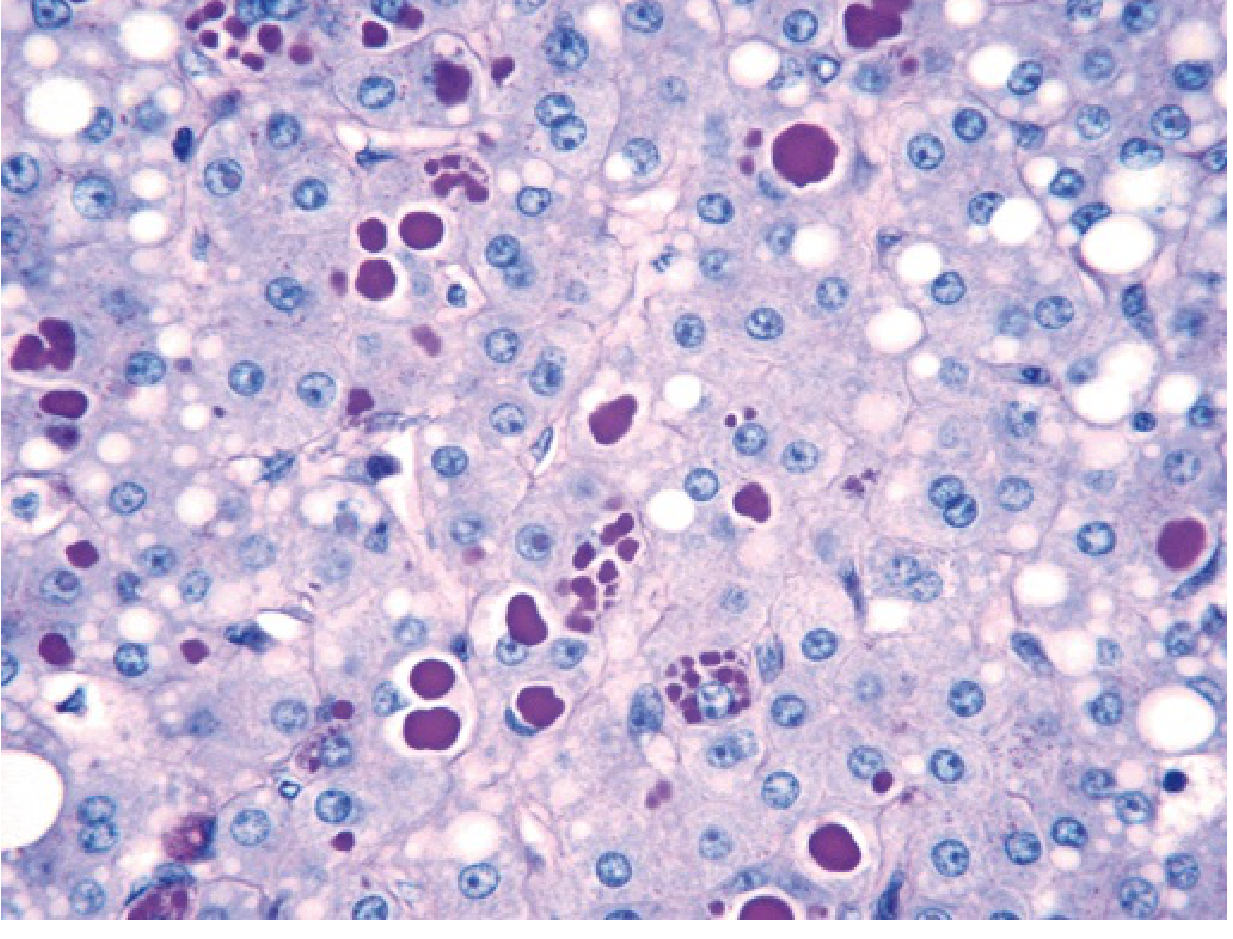
PAS stain showing magenta cytoplasmic globules in hepatocytes
α1AT deficiency: PAS stain after diastase digestion showing characteristic magenta cytoplasmic globules in hepatocytes.

High-Yield Associations

BuzzwordThink
Panacinar emphysema, lower lobeα1AT deficiency
PAS+, diastase-resistant globules in hepatocytesα1AT deficiency
Infant with cholestatic jaundice + liver diseaseα1AT deficiency
Neonatal hepatitis → cirrhosisα1AT deficiency
Protein misfolding → liver + lung diseaseα1AT deficiency
Smoking + inherited emphysemaα1AT deficiency (smoking worsens by ↑ neutrophil elastase)
Most common inherited liver disease in kidsα1AT deficiency

Sources: Robbins & Kumar Basic Pathology | Robbins, Cotran & Kumar Pathologic Basis of Disease | Murray & Nadel's Textbook of Respiratory Medicine
This is a shared conversation. Sign in to Orris to start your own chat.