Pontine haemorrhage

Reading File
Finding Sources
Finding Sources
Reading File
Reading File
Reading File
Reading File
Reading File
Reading File
Searching Images

pontine hemorrhage CT MRI brainstem

Loading Image
Loading Image
Excellent. I now have everything needed for a comprehensive answer.

Pontine Haemorrhage

Epidemiology & Aetiology

Pontine haemorrhage accounts for approximately 5–10% of all spontaneous intracerebral haemorrhages (ICH). The principal causes are:
  • Arterial hypertension (most common) — causes lipohyalinosis and fragility of small penetrating arteries
  • Vascular malformations — cavernous malformations (more common in younger patients; tend to be subependymal, more discrete, and do not rupture into the ventricle, but carry a risk of rebleeding)
  • Clotting disorders, trauma
Hypertensive pontine haemorrhages tend to be deep, rather diffuse, frequently rupture into the fourth ventricle, occur in older individuals, and carry a poor prognosis. Cavernous angioma bleeds are typically more superficial and have a better prognosis but tend to recur.
Plum and Posner's Diagnosis and Treatment of Stupor and Coma; Localization in Clinical Neurology, 8e

Pathophysiology & Anatomy

Haemorrhage typically arises from ruptured paramedian pontine arterioles at the midpontine level, near the junction of the basis pontis and tegmentum. Blood dissects in all directions in a relatively symmetric fashion. Rupture into the fourth ventricle is frequent, causing acute obstructive hydrocephalus; extension into the medulla is rare.
The damage is caused as much by direct tissue destruction as by mass effect (unlike hemispheric haemorrhages where mass effect predominates). This is why recovery, even if the patient survives, is often limited.
Plum and Posner's Diagnosis and Treatment of Stupor and Coma, p. 296–327

Clinical Classification

Primary pontine haemorrhages have been divided into three clinical types:
TypeFrequencyFeatures
Classic (massive)~60%Bilateral basal-tegmental involvement; quadriparesis, coma, hyperthermia, tachycardia → death
Hemipontine~20%Unilateral basis pontis + tegmentum; hemiparesis, preserved consciousness, skew deviation, unilateral absent corneal reflex, dysarthria, facial nerve palsy; good functional recovery
Dorsolateral tegmental~20%Gaze paresis or CN VI palsy, skew deviation, facial nerve palsy, contralateral extremity and ipsilateral facial sensory loss, ataxia, motor sparing, preserved consciousness; good recovery
Localization in Clinical Neurology, 8e, p. 1393

Clinical Features — Classic (Massive) Pontine Haemorrhage

Onset is abrupt, typically when the patient is awake and active, often without prodrome. A few patients complain of sudden occipital headache, vomiting, or slurred speech before losing consciousness.

Consciousness

  • Coma begins abruptly in the majority; ~50% of patients present in coma

The "Classic Tetrad"

  1. Pinpoint (miotic) pupils (2–3 mm), but reactive to light (requires magnifying glass to detect the reaction) — due to bilateral interruption of descending sympathetic fibres with preserved parasympathetic outflow via CN III
  2. Absent oculovestibular/oculocephalic responses (horizontal eye movements lost)
  3. Quadriplegia (often flaccid acutely, or decerebrate posturing)
  4. Irregular/ataxic breathing — Cheyne-Stokes, apneustic, or gasping patterns

Other findings

  • Ocular bobbing (or its variants) — rapid downward jerk with slow return
  • Hyperthermia (38.5–40°C) within hours, seen in nearly all survivors beyond a few hours — due to involvement of thermoregulatory pathways
  • Bradycardia
  • If the haemorrhage extends into the midbrain: pupils may become asymmetric or dilate to midposition

Clinical Data (80 patients with pontine haemorrhage)

Finding%
Coma at presentation50%
Respiratory disturbance46%
Bradycardia43%
Hyperthermia40%
Pinpoint pupils29%
Hemiplegia43%
Tetraplegia28%
Decerebrate posturing20%
Plum and Posner's Diagnosis and Treatment of Stupor and Coma, Table 4.18

Less Severe Forms

With CT/MRI, milder presentations are now recognised — tegmental haemorrhages lateral to the midline producing predominantly unilateral dorsal pontine syndromes: one-and-a-half syndrome, internuclear ophthalmoplegia (INO), CN V and VII palsies, with variable long-tract signs. These result from rupture of distal tegmental branches of long circumferential arteries from the basilar trunk.
A locked-in syndrome is rarely the presentation because the haematoma typically dissects symmetrically, destroying dorsal structures. However, a bleed restricted to the basis pontis can produce this acutely.

Diagnosis

The diagnosis is usually clinically straightforward. Almost no other lesion produces the combination of:
  • Sudden coma
  • Periodic or ataxic breathing
  • Pinpoint pupils
  • Absent oculovestibular responses
  • Quadriplegia
The main differential is opiate overdose (also causes pinpoint pupils), but opiates do not cause absent eye signs or flaccid quadriplegia. Naloxone can be given diagnostically if any doubt exists.
Imaging: Non-contrast CT is the first-line investigation — the haematoma appears as a hyperdense lesion in the pons. MRI (T2*/SWI) is more sensitive for small tegmental bleeds and cavernous malformations.

Imaging

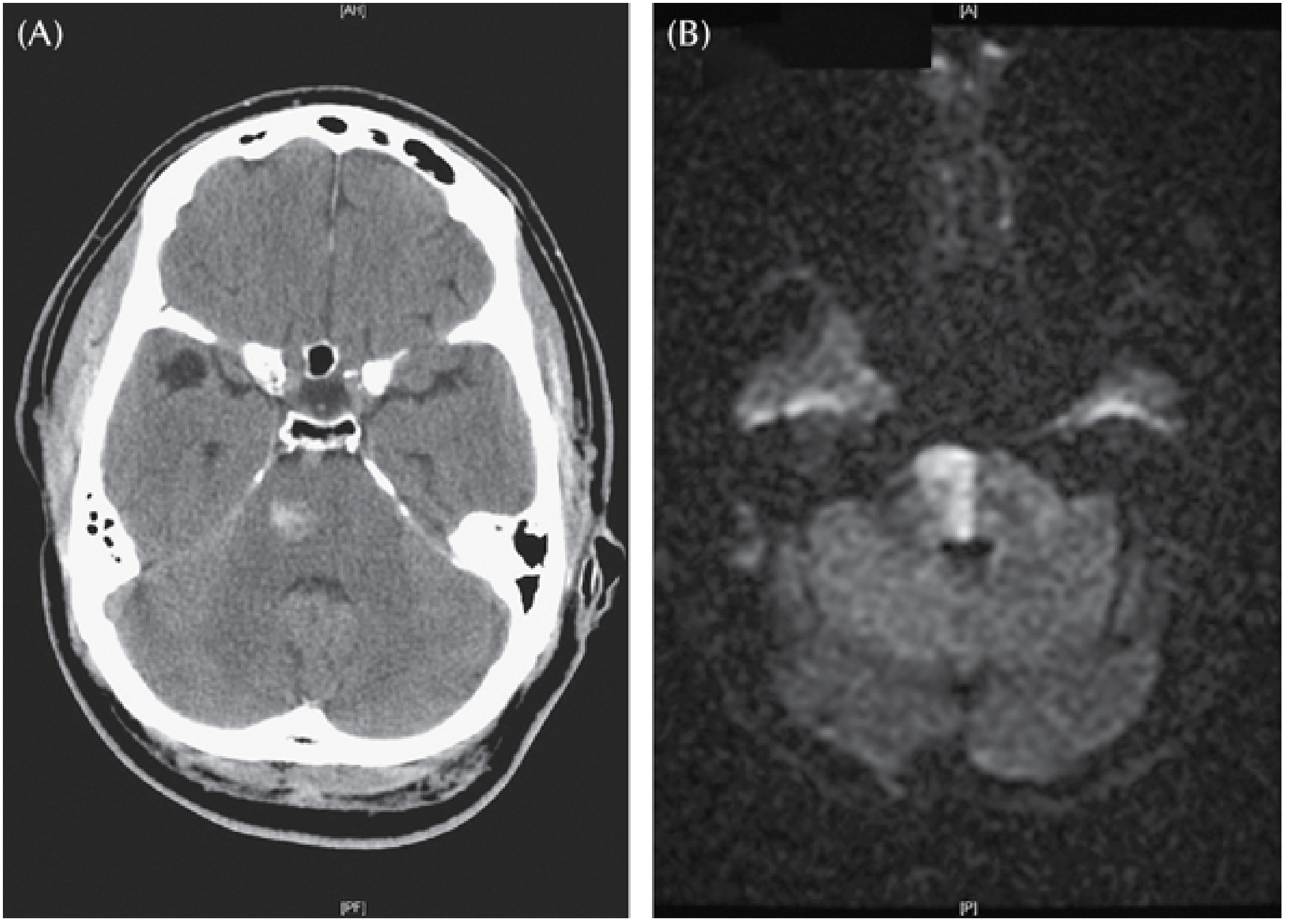
CT and DWI MRI of pontine stroke: (A) CT showing right pontine base and tegmentum haemorrhage; (B) DWI showing medial pontine infarct
(A) Non-contrast CT showing a small haemorrhage into the right pontine base and tegmentum in a hypertensive patient presenting with left hemiparesis and dysarthria. (B) DWI MRI of a medial pontine infarct for comparison. — Plum and Posner's, Fig. 4.8
Axial non-contrast CT showing a centrally located hyperdense hematoma within the pons, AI-contoured in blue; volume ~3.97 mL
Axial CT at the level of the posterior fossa showing a primary pontine haemorrhage — the hyperdense lesion is centrally located within the pons. AI-assisted volumetric contour (blue) estimates 3.97 mL.

Poor Prognostic Features

The following predict a very poor outcome:
  • Coma on presentation
  • Absence of oculocephalic reflexes
  • Absent corneal reflexes
  • No motor responses
  • Hypertension + tachycardia
  • Hyperthermia (core ≥39°C)
  • Acute obstructive hydrocephalus
  • Intraventricular blood extension
Localization in Clinical Neurology, 8e

Management

  • Medical (supportive): Airway protection, blood pressure control, treatment of hyperthermia, management of hydrocephalus (external ventricular drain if obstructive hydrocephalus develops)
  • Surgery: Generally has no role in hypertensive brainstem haemorrhages. However, for superficially located cavernous angiomas, surgical evacuation is sometimes appropriate — these have a better prognosis and a tendency to rebleed
Plum and Posner's Diagnosis and Treatment of Stupor and Coma, p. 326

Key Differential Diagnoses

ConditionDistinguishing features
Opiate overdosePinpoint pupils, but no absent eye movements, no quadriplegia; reverses with naloxone
Cerebellar haemorrhage with brainstem extensionMay mimic, but usually occipital headache, ataxia prominent early
Basilar artery occlusionIschaemic (DWI positive), progressive onset, no blood on CT
Metabolic encephalopathyPreserved pupillary reflexes even when deeply comatose

Tramadol poisioning

Finding Sources
Finding Sources
Reading File
Reading File
Reading File
Reading File
Finding Sources
Reading File
Reading File
Reading File
Reading File
I now have comprehensive information from multiple authoritative sources. Let me compile the full answer.

Tramadol Poisoning

Pharmacology (Relevant to Toxicity)

Tramadol is a synthetic centrally-acting analgesic with a dual mechanism:
  1. Weak μ-opioid receptor agonism — via its active metabolite O-desmethyltramadol (M1), produced by CYP2D6. M1 has greater μ-receptor affinity than the parent drug and an elimination half-life of ~9 hours.
  2. Serotonin and norepinephrine reuptake inhibition (SNRI-like) — contributes to both analgesia and toxicity
Because of the reliance on CYP2D6 for active metabolite generation, toxicity varies significantly with genetic polymorphisms (ultrarapid metabolisers are at greater risk), liver/renal disease, and co-prescribed CYP inhibitors/inducers.
Tramadol itself has a half-life of 5–7 hours (oral); M1 ~9 hours.
Tintinalli's Emergency Medicine; Katzung's Basic and Clinical Pharmacology, 16e; Rosen's Emergency Medicine

Dose-Related Toxicity

DoseClinical Effects
Therapeutic (50–100 mg QID)Analgesia; nausea, dizziness, orthostatic hypotension
Moderate overdoseLethargy, nausea, tachycardia, seizures
>500 mgComa, hypertension, respiratory depression, apnea
Tintinalli's Emergency Medicine, p. 1277

Clinical Features of Tramadol Poisoning

1. Opioid Toxidrome (Partial)

Tramadol produces a partial opioid toxidrome (via M1):
  • CNS depression — lethargy → stupor → coma
  • Respiratory depression — slow, shallow breathing; hypercarbia, hypoxia, cyanosis
  • Miosis — though less consistently than pure opioids
  • Nausea, vomiting, ileus, urinary retention
Important caveat: Naloxone only partially reverses tramadol toxicity (the SNRI component is not reversed), and naloxone may paradoxically increase seizure risk.

2. Seizures (hallmark feature)

  • Common and distinctive — tramadol lowers the seizure threshold
  • Usually generalised tonic-clonic, typically single and self-limiting
  • Naloxone does not prevent tramadol-induced seizures
  • Anticonvulsants (benzodiazepines) are the treatment of choice
  • Risk is amplified by co-administration of other seizure-threshold-lowering drugs (antidepressants, antipsychotics, bupropion)

3. Serotonin Syndrome

A serious and potentially life-threatening complication — can occur:
  • In isolated tramadol overdose
  • Much more commonly when combined with SSRIs, SNRIs, MAOIs, TCAs, linezolid, dextromethorphan
Features of serotonin syndrome:
  • Altered mentation (anxiety → agitation → delirium)
  • Hyperthermia
  • Autonomic instability (tachycardia, hypertension, diaphoresis)
  • Hyperreflexia and clonus (especially lower limbs)
  • Muscle rigidity
  • Deaths have been reported
Naloxone is not effective for serotonin syndrome.

4. CNS Excitation

At toxic doses, tramadol paradoxically produces CNS excitation:
  • Agitation, tremor, hallucinations
  • This is the SNRI and serotonergic component, distinct from the opioid component

5. Other Complications

  • Hypoglycaemia — tramadol is associated with higher rates of hypoglycaemia than codeine, especially within the first 30 days of use (mechanism unclear)
  • Rhabdomyolysis, compartment syndrome, myoglobinuric renal failure (especially post-seizure)
  • Acute lung injury (non-cardiogenic pulmonary oedema) — uncommon; presents with tachypnoea, hypoxia, bilateral infiltrates
  • Dependence and withdrawal — reported with chronic use; tramadol should be tapered before discontinuation
Tintinalli's Emergency Medicine; Lippincott Illustrated Reviews Pharmacology; Rosen's Emergency Medicine

High-Risk Drug Interactions

CombinationRisk
Tramadol + SSRIs/SNRIsSerotonin syndrome
Tramadol + MAOIsSerotonin syndrome (potentially fatal)
Tramadol + TCAsSerotonin syndrome + lowered seizure threshold
Tramadol + bupropionMarkedly lowered seizure threshold
Tramadol + linezolidSerotonin syndrome
Tramadol + CYP2D6 inhibitors (e.g. fluoxetine, paroxetine)Reduced M1 formation → unpredictable opioid effect

Special Populations

  • Paediatric patients: Tramadol is contraindicated in children <12 years and for post-tonsillectomy/adenoidectomy pain in patients <18 years (same FDA black box warning as codeine). Contraindicated in breastfeeding mothers due to risk of infant death.
  • CYP2D6 ultrarapid metabolisers: Produce excessive M1 → greater opioid toxicity
  • Epilepsy: Tramadol is relatively contraindicated
  • Renal/hepatic impairment: Impaired clearance of tramadol and M1
Rosen's Emergency Medicine

Diagnosis

  • Diagnosis is primarily clinical
  • Standard urine opioid immunoassays typically do NOT detect tramadol (these screens detect morphine-class opioids; tramadol requires specific GC/MS or HPLC confirmation)
  • Check: blood glucose, renal function, CK (if seizures occurred), ECG, paracetamol level (if co-ingestion suspected)
  • Consider serotonin syndrome criteria (Hunter or Sternbach)

Management

Immediate Priorities

  1. Airway, Breathing, Circulation — respiratory depression is the primary cause of death
  2. Oxygen and bag-valve-mask ventilation as needed
  3. Endotracheal intubation if respiratory depression is unresponsive to naloxone or if acute lung injury is suspected

Decontamination

  • Activated charcoal (1 g/kg PO) — may be given within 1–2 hours of ingestion in a cooperative patient with intact airway reflexes; with caution given CNS depression risk

Naloxone

  • Partially reverses tramadol's opioid effects (respiratory depression, sedation)
  • Does NOT prevent or treat seizures
  • May precipitate/worsen seizures — use cautiously, titriting to respiratory effect rather than full reversal
  • Dosing (Tintinalli's, Table 186-3):
RouteDose
IV (spontaneously breathing, opioid-naive)0.4 mg
IV (opioid-dependent)0.04 mg (titrate)
IV (apnoeic/cyanotic)2 mg, repeat every 3 min up to 10 mg
IM/SC2 mg
Intranasal2 mg (1 mg each nostril)
  • Duration of naloxone (20–90 min) is often shorter than tramadol/M1 half-life → naloxone infusion may be required

Seizures

  • Benzodiazepines (e.g. diazepam, lorazepam) are first-line
  • Tramadol seizures are usually single and self-limiting — routine prophylactic anticonvulsants are not necessary
  • Avoid physostigmine; naloxone does not help

Serotonin Syndrome

  • Discontinue tramadol and all serotonergic drugs
  • Benzodiazepines for agitation and muscle rigidity
  • Active cooling for hyperthermia
  • Cyproheptadine (serotonin antagonist) as adjunct
  • Severe cases: consider chlorpromazine or methysergide; intubation, paralysis, and ICU care if temperature >41°C or haemodynamic instability

Disposition

  • All significant tramadol overdoses warrant monitoring for a minimum of 6–8 hours (longer for extended-release formulations)
  • Admit for seizures, respiratory compromise, persistent altered consciousness, or serotonin syndrome features

Summary: What Makes Tramadol Poisoning Unique

FeatureUnlike typical opioids
SeizuresCommon; naloxone ineffective; benzodiazepines needed
Serotonin syndromeCan occur even in isolation; key risk with serotonergic drugs
Naloxone responseOnly partial reversal; may worsen seizures
Urine screenUsually negative on standard opiate immunoassay
CNS excitationCan occur alongside or instead of depression
HypoglycaemiaUnexpected complication
Tintinalli's Emergency Medicine, Rosen's Emergency Medicine, Lippincott Pharmacology, Katzung's Basic and Clinical Pharmacology, 16e

Tell me about vacutainers and which sample to send in them and which vacutainor we have to keep moving in order to prevent clotting

Finding Sources
Finding Sources
Reading File
Reading File
Reading File
Finding Sources
Reading File
Searching Images

vacutainer blood collection tube colors chart EDTA heparin citrate

I now have comprehensive data from the textbooks. Let me compile the full answer.

Vacutainers — Complete Guide

A vacutainer (evacuated blood collection tube) is a sterile glass or plastic tube with a pre-measured vacuum that draws a fixed volume of blood. The coloured stopper identifies the additive inside and therefore what the tube is used for.

Tube Colours, Additives & Uses

Stopper ColourAdditiveMechanismSamples Sent
Yellow (SPS)Sodium polyanetholsulfonate (SPS)Inhibits complement, phagocytes, and some antibioticsBlood cultures (microbiology)
Yellow (ACD)Acid citrate dextrose (ACD)Citrate chelates calcium; dextrose preserves cellsBlood bank (group & screen, crossmatch), HLA typing, DNA studies, paternity testing
Light BlueSodium citrate (3.2%)Chelates calcium → reversibly inhibits coagulationCoagulation studies: PT, APTT, INR, fibrinogen, D-dimer, mixing studies
Red (plain glass)NoneBlood clots naturally → serum obtained after centrifugationSerum chemistry, serology, drug levels, therapeutic drug monitoring
Gold / Red-Black (SST)Clot activator + gelGel separates serum from clot after centrifugationSerum chemistry (most routine biochemistry)
GreenLithium heparin or sodium heparinInactivates thrombin and Factor Xa → prevents clotting; yields plasmaPlasma chemistry (urgent biochemistry, electrolytes, LFTs, renal function)
Lavender / PurpleEDTA (K₂ or K₃)Chelates calcium → irreversibly prevents clottingHaematology: FBC/CBC, blood film, HbA1c, ESR, reticulocytes, flow cytometry
PinkEDTASame as lavenderBlood bank / transfusion (cross-match in some institutions)
GreySodium fluoride + potassium oxalateFluoride inhibits glycolysis (enolase enzyme); oxalate chelates calciumGlucose, lactate (prevents glycolysis-related glucose drop)
Royal BlueNone, or sodium heparin, or EDTA (trace-metal free)Prevents trace metal contaminationToxicology, heavy metal testing (zinc, lead, mercury, copper)
BlackSodium citrate (3.8%)Same as light blue but higher citrate concentrationESR (Westergren method)

Which Tube Must Be Kept Moving (Gently Inverted)?

All tubes containing anticoagulant additives must be gently inverted immediately after collection to mix the additive with blood and prevent clotting.

The tube that must be kept moving most critically is the EDTA tube (Lavender/Purple)

  • EDTA binds calcium and prevents clotting, but only if thoroughly mixed with blood
  • If not mixed immediately, micro-clots form → falsely low platelet count, falsely elevated WBC, and invalid CBC results
  • Must be inverted 8 times gently (not shaken — shaking causes haemolysis)

Required inversions for each tube type (Tietz, Table 4-2):

TubeInversions Required
Blood culture (yellow/SPS)8
Royal blue (no additive)0
Clear discard tube0
Light blue (sodium citrate)3–4
Gold/red SST (serum separator)5
Red (serum, clot activator)5
Green (heparin)8
Lavender/Purple (EDTA)8
Gray (fluoride/oxalate)8
The EDTA (lavender) tube is the classic answer — it must be gently rocked/inverted continuously (or at least 8 times immediately after filling) to prevent clotting, as its mechanism depends entirely on complete contact between EDTA and blood.
"It is critical that complete mixing of any additive with the blood collected be accomplished as quickly as possible. Completing a blood collection within 2 minutes of starting, and getting the tubes mixed correctly as soon as possible, helps to prevent clotting in anticoagulated tubes." — Tietz Textbook of Laboratory Medicine, 7th Edition

Order of Draw (When Multiple Tubes Are Collected)

The correct order prevents carryover contamination of additives between tubes:
OrderTubeReason
1stBlood cultures (yellow/SPS)Must be sterile; collected first
2ndLight blue (citrate)Coagulation tests — must be filled to exactly 90% (1:9 ratio of anticoagulant:blood); EDTA contamination would prolong PT/APTT
3rdRed / Gold SSTSerum tubes
4thGreen (heparin)Plasma chemistry
5thLavender (EDTA)Haematology
LastGrey (fluoride)Glycolytic inhibitor
General rule: No additive → mild anticoagulant → strong anticoagulant
Important note on the blue (citrate) tube: Must be filled to >90% of the marked line. If underfilled, the anticoagulant:blood ratio increases → artificially prolonged PT and APTT. In patients with haematocrit >55–60%, the amount of citrate must be reduced (less plasma available), otherwise coagulation times will be falsely prolonged.

Serum vs Plasma — Practical Points

Serum (Red/Gold tube)Plasma (Green/Lavender tube)
How obtainedBlood clots → centrifuge → remove clotAnticoagulant prevents clotting → centrifuge → remove cells
Contains fibrinogen?No (consumed in clotting)Yes
Total proteinLower (fibrinogen removed)Higher
PotassiumHigher (released from platelets during clotting)Lower
Time needed30–60 min clotting time before centrifugeImmediate after centrifuge
Required forSPE, serology, TDMCoagulation, CBC, urgent chemistry
Quick Compendium of Clinical Pathology, 5th ed.; Tietz Textbook of Laboratory Medicine, 7th ed.; Roberts and Hedges' Clinical Procedures in Emergency Medicine

Tell me about vacutainers and which sample to send in them and which vacutainor we have to keep moving in order to prevent clotting

I already covered this in my previous response — here's a concise recap:

Vacutainer Tubes — Quick Reference

Stopper ColourAdditiveSamples Sent
Yellow (SPS)Sodium polyanetholsulfonateBlood cultures
Yellow (ACD)Acid citrate dextroseBlood bank, HLA typing, DNA studies
Light BlueSodium citrateCoagulation: PT, APTT, INR, fibrinogen, D-dimer
Red (plain)NoneSerum chemistry, serology, drug levels
Gold / Red-Black (SST)Clot activator + gelRoutine serum biochemistry
GreenLithium/sodium heparinUrgent plasma chemistry (electrolytes, LFTs, renal function)
Lavender / PurpleEDTAFBC/CBC, blood film, HbA1c, reticulocytes, flow cytometry
PinkEDTABlood bank / cross-match
GreySodium fluoride + oxalateGlucose, lactate
Royal BlueTrace-metal free (no additive / heparin / EDTA)Heavy metals, toxicology
BlackSodium citrate (3.8%)ESR (Westergren)

Which Tube Must Be Kept Moving?

The EDTA tube (Lavender/Purple) is the classic answer — and all anticoagulant-containing tubes must be gently inverted immediately after filling.

Why?

EDTA works by chelating calcium to prevent clotting — but only if it makes complete contact with the blood. If not mixed right away, micro-clots form, giving:
  • Falsely low platelet count
  • Invalid CBC/FBC results

Required inversions (gentle, not shaking):

TubeInversions
Blood culture (yellow)8
Light blue (citrate)3–4
Gold/SST5
Red (clot activator)5
Green (heparin)8
Lavender/Purple (EDTA)8
Grey (fluoride)8
The EDTA and heparin tubes require the most mixing (8 inversions). The citrate (blue) tube needs only 3–4 — over-mixing can activate platelets and affect coagulation results.

Order of Draw

Blood cultures → Blue → Red/Gold → Green → Lavender → Grey
(General rule: no additive → mild anticoagulant → strong anticoagulant)
The blue (citrate) tube must be filled to exactly 90% of its marked volume — underfilling falsely prolongs PT and APTT because the anticoagulant:blood ratio becomes too high.
Tietz Textbook of Laboratory Medicine, 7th ed.; Quick Compendium of Clinical Pathology, 5th ed.

If we invert red vial does it affect the sample

Great practical question. The answer depends on which type of red tube you're using:

Plain Red Tube (No Additive — Glass)

Inversions: 0
Inverting this tube has no beneficial effect and could theoretically cause minor turbulence, but it does not significantly harm the sample. The blood will still clot normally on its own.
  • No additive to mix in → no reason to invert
  • The clot forms naturally within 30–60 minutes
  • Gentle inversion won't prevent or accelerate clotting in any meaningful way
Verdict: Inverting a plain red tube is essentially harmless but pointless.

Red/Gold SST Tube (Serum Separator Tube — with Clot Activator + Gel)

Inversions: 5 (required)
This tube does contain a clot activator (silica particles or thrombin coating on the wall). Here, inversion is required — the 5 gentle inversions ensure the clot activator contacts all the blood, allowing a complete and rapid clot to form before centrifugation.
  • If you don't invert → incomplete clotting → fibrin strands remain → interfere with gel separation → invalid results
  • If you over-invert or shake → haemolysis → falsely elevated potassium, LDH, AST

Key Practical Points

ActionPlain Red (no additive)Red/Gold SST
Invert 5× gentlyHarmless, no benefitRequired
Don't invert at allFine — clots naturallyRisk of incomplete clotting
Shake vigorouslyCauses haemolysisCauses haemolysis

Bottom Line

  • Plain red glass tube: inverting it won't damage the sample, but it serves no purpose
  • SST (gold or red-black): must be inverted exactly 5 times — not more, not less
  • Vigorous shaking of any tube is the real danger — it causes haemolysis regardless of tube type
Tietz Textbook of Laboratory Medicine, 7th ed.; Quick Compendium of Clinical Pathology, 5th ed.
This is a shared conversation. Sign in to Orris to start your own chat.