How to differentiate between sah and edh

Reading File
Finding Sources
Finding Sources
Finding Sources
Reading File
Reading File
Reading File
Reading File
Loading Image
Loading Image
I now have comprehensive material from multiple authoritative sources. Let me compile a thorough answer.

Differentiating SAH vs EDH

These two are fundamentally different hemorrhages — SAH (subarachnoid hemorrhage) occurs in the subarachnoid space (between arachnoid and pia), while EDH (epidural hematoma) occurs between the skull and the dura. Their etiology, clinical course, and imaging appearance are distinct.

1. Anatomical Location

FeatureEDHSAH
SpaceBetween skull and dura (potential space)Between arachnoid and pia (subarachnoid cisterns, sulci)
Layers involvedOutside duraOutside brain parenchyma, inside dura
Blood spreadsFocally (bounded by dural attachments at sutures)Diffusely through CSF pathways, cisterns, and sulci

2. Etiology & Source of Bleeding

FeatureEDHSAH
Primary causeTrauma (almost always)Trauma OR spontaneous (aneurysm rupture, AVM)
Vessel sourceMiddle meningeal artery (most common — temporal/temporoparietal trauma)Cortical surface vessels, ruptured aneurysm (Circle of Willis), AVM
Associated fractureTemporal skull fracture crosses middle meningeal artery in adultsUsually absent in spontaneous SAH
Blood typeArterial (high-pressure → rapid expansion)Mixed arterial/venous; aneurysmal → often arterial
Blunt trauma to the temporal or temporoparietal area with an associated skull fracture and middle meningeal arterial disruption is the primary mechanism of EDH. — Tintinalli's Emergency Medicine
Subarachnoid hemorrhage almost always accompanies parenchymal trauma but can also develop spontaneously secondary to vascular anomalies. — Robbins, Cotran & Kumar Pathologic Basis of Disease

3. Clinical Presentation

FeatureEDHSAH
Classic historyTrauma → LOC → lucid interval → rapid neurologic deteriorationSpontaneous: sudden "thunderclap" headache ("worst headache of life")
Lucid intervalPresent in ~50% (NOT pathognomonic — can also occur with other mass lesions)Not typically present; onset is abrupt
HeadachePresent, but trauma-relatedSevere, sudden onset; often with photophobia, meningismus
LOCMay be brief initially, worsens rapidlyRapid deterioration; may be sudden
Meningeal signsAbsentPresent — neck stiffness, Kernig/Brudzinski signs (due to blood in CSF irritating meninges)
Speed of deteriorationHours (arterial pressure → herniation rapidly)Variable — rapid if large aneurysm rupture
Underlying brain injuryOften absent (brain parenchyma usually intact)Often concurrent parenchymal injury in traumatic SAH
The classic history of an EDH involves a significant blunt head trauma with loss of consciousness, followed by a lucid period and subsequent rapid neurologic demise. This clinical presentation occurs in a minority of cases. — Tintinalli's Emergency Medicine

4. CT Imaging (Key Differentiator)

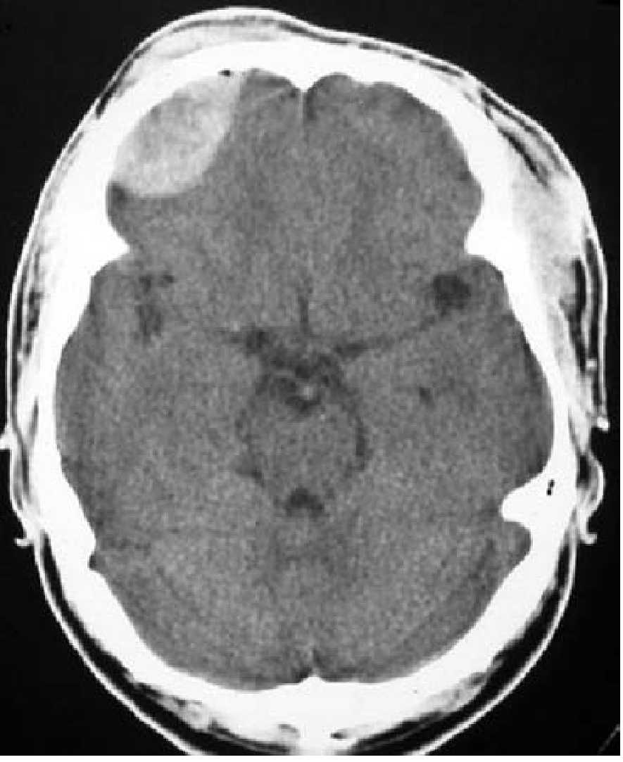
EDH — Biconvex (lenticular/football) hyperdense lesion

EDH CT — biconvex hyperdense collection in right hemisphere
CT scan demonstrating epidural hematoma — note the convex shape and focal location. (Tintinalli's Emergency Medicine)
  • Shape: Biconvex (lenticular, football-shaped) — bounded by dural attachments at sutures, cannot cross suture lines
  • Location: Most commonly temporal region
  • Density: Hyperdense (white) acutely — uniform
  • Mass effect: Midline shift, brain compression
  • Does NOT cross suture lines

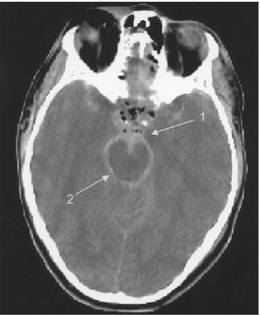
SAH — Blood filling cisterns and sulci

SAH CT — blood in prepontine cistern (arrow 1) and ambient cistern (arrow 2)
CT scan demonstrating subarachnoid hemorrhage — arrow 1 = prepontine cisternal blood, arrow 2 = blood in the ambient cistern. (Tintinalli's Emergency Medicine)
  • Shape: Diffuse — fills sulci, cisterns (sylvian fissure, interhemispheric fissure, basal cisterns)
  • Location: Spreads throughout subarachnoid space; aneurysmal SAH often at base of brain
  • Density: Hyperdense in sulci and cisterns ("star sign" or basal cistern hyperdensity)
  • Can cross suture lines (because blood is in CSF, not a mass)
  • CT may be negative in ~15% of SAH within 12–24h → LP required if CT negative and clinical suspicion high (xanthochromia after 2–4 hrs)

5. LP / CSF Findings

FeatureEDHSAH
LP roleNot typically indicated (CT diagnostic)Critical when CT is negative — shows xanthochromia or persistent RBCs in CSF
CSFNormal (blood is extradural)Xanthochromia, uniformly bloody (non-clearing), elevated opening pressure

6. Management & Urgency

FeatureEDHSAH
UrgencyNeurosurgical emergency — fatal herniation within hours without drainageUrgent — neurosurgical/neurointerventional evaluation
TreatmentSurgical evacuation (craniotomy)Aneurysm clipping/coiling; nimodipine for vasospasm prevention; ICP management
PrognosisExcellent if evacuated before herniation — underlying brain often intactMore guarded; secondary injury from vasospasm (occurs 4–14 days post-ictus) is a major complication
The high-pressure arterial bleeding of an EDH can lead to herniation within hours after injury. Underlying injury of the brain parenchyma is often absent; full recovery may be expected if the hematoma is evacuated prior to herniation. — Tintinalli's Emergency Medicine
Secondary injury may emerge in SAH and is associated with vasospasm. — Robbins, Cotran & Kumar Pathologic Basis of Disease

Summary Table

FeatureEDHSAH
CauseTrauma (MMA injury)Trauma or spontaneous (aneurysm/AVM)
Blood sourceArterial (middle meningeal a.)Aneurysm, cortical vessels
SpaceEpidural (skull ↔ dura)Subarachnoid (arachnoid ↔ pia)
Classic historyLucid interval after traumaSudden "thunderclap" headache
MeningismusAbsentPresent
CT shapeBiconvex, focalDiffuse cisterns/sulci hyperdensity
Crosses sutures?NoYes
LPNot neededXanthochromia if CT negative
UrgencyHours (arterial)Urgent (vasospasm risk)
PrognosisGood if early surgeryVariable; vasospasm is key risk
Sources: Tintinalli's Emergency Medicine, Robbins, Cotran & Kumar Pathologic Basis of Disease, Rosen's Emergency Medicine
This is a shared conversation. Sign in to Orris to start your own chat.