What is fatty liver what are it types it's home health treatment

Reading File
Finding Sources
Finding Sources
Reading File
Reading File
Reading File
Finding Sources
Reading File
Loading Image
Reading File
Now I have comprehensive information from multiple textbooks. Here is a thorough, well-sourced answer:

Fatty Liver Disease

What Is It?

Fatty liver disease (hepatic steatosis) is a condition where fat — primarily triglycerides — accumulates in liver cells (hepatocytes), affecting 5% or more of them. It ranges from a benign, reversible finding to a progressive disease leading to cirrhosis and liver cancer.
The global prevalence of NAFLD is approximately 25% of the general population, making it the most common chronic liver disease worldwide.
— Yamada's Textbook of Gastroenterology, 7th ed.

Types of Fatty Liver Disease

1. Alcoholic Fatty Liver Disease (AFLD)

Caused by heavy or chronic alcohol consumption. The liver metabolizes alcohol into toxic byproducts (like acetaldehyde) that disrupt fat metabolism, causing fat to build up. This is often the first stage of alcohol-related liver disease, and can progress to alcoholic hepatitis and cirrhosis.

2. Non-Alcoholic Fatty Liver Disease (NAFLD)

Occurs in people who drink little or no alcohol. It is strongly linked to:
  • Obesity (especially central/abdominal obesity)
  • Type 2 diabetes or insulin resistance
  • High blood triglycerides (dyslipidemia)
  • Hypertension / Metabolic syndrome
NAFLD itself has a spectrum of subtypes:
SubtypeWhat It Means
NAFL (Non-Alcoholic Fatty Liver)Simple fat accumulation, no significant inflammation. Generally benign.
NASH (Non-Alcoholic Steatohepatitis)Fat + inflammation + hepatocyte injury (ballooning) ± fibrosis. Can progress.
NASH with FibrosisScarring develops; fibrosis stage F1–F4
Cirrhosis (F4)End-stage scarring; risk of liver failure and hepatocellular carcinoma
The diagram below shows how NAFLD progresses:
NAFLD Spectrum and Progression
Spectrum and fibrosis progression of NAFLD. 79–90% of NAFLD patients have NAFL; 10–30% have NASH. About 20% of NASH patients are rapid progressors to advanced fibrosis (F3–F4/cirrhosis). — Yamada's Textbook of Gastroenterology

3. Acute Fatty Liver of Pregnancy (AFLP)

A rare but serious condition occurring in the third trimester, where fat accumulates in liver cells and can cause acute liver failure. It is a medical emergency.

4. Drug- or Toxin-Induced Fatty Liver

Certain medications and agents can cause steatosis, including corticosteroids, amiodarone, methotrexate, tamoxifen, and some chemotherapy agents.
— Robbins & Kumar Basic Pathology; Washington Manual of Medical Therapeutics

How Does It Develop? (Pathogenesis)

In NAFLD/NASH, the key driver is insulin resistance:
  1. Insulin resistance causes excessive lipolysis (fat breakdown) in adipose tissue
  2. Free fatty acids flood into the liver
  3. The liver stores them as triglycerides (steatosis)
  4. Excess lipids cause direct toxicity — oxidative stress, ER stress, mitochondrial dysfunction
  5. This triggers inflammation (inflammasome activation, IL-1 release), hepatocyte injury, and eventually fibrosis
Altered gut microbiome and increased gut-derived endotoxins also contribute to liver inflammation.
— Robbins & Kumar Basic Pathology; Yamada's Textbook of Gastroenterology

Symptoms

Most people are asymptomatic. When symptoms occur:
  • Fatigue and general malaise
  • Mild right upper quadrant discomfort or heaviness
  • Incidentally found elevated liver enzymes (ALT/AST) on blood tests
  • In advanced disease: jaundice, swelling, easy bruising (signs of cirrhosis)

Home & Lifestyle Treatment

Lifestyle modification is the most effective and evidence-based treatment for fatty liver disease — and often the only treatment needed for simple NAFLD.

🥗 1. Weight Loss (Most Important)

  • Losing 3% of body weight can improve steatosis
  • Losing 7–10% can resolve NASH
  • Losing ≥10% can reverse fibrosis
  • Fewer than 20% of patients maintain weight loss long-term, so consistent effort is key

🏃 2. Diet

  • Mediterranean diet is strongly recommended — rich in vegetables, fruits, whole grains, legumes, fish, and olive oil; low in red meat and processed foods
  • Reduce refined carbohydrates and added sugars (especially fructose/sugar-sweetened beverages)
  • Limit saturated fats and trans fats
  • Avoid alcohol entirely, even in NAFLD, as it worsens liver injury
  • Reduce overall caloric intake to create a caloric deficit

🏋️ 3. Exercise

  • Both aerobic exercise and resistance training are beneficial
  • Aim for at least 150 minutes of moderate-intensity exercise per week
  • Exercise reduces liver fat even without significant weight loss
  • Reduces insulin resistance, a root cause of NAFLD

🩺 4. Control Underlying Conditions

  • Tight blood sugar control if diabetic (metformin may have a mild benefit)
  • Treat high cholesterol/triglycerides with appropriate diet and, if needed, medications
  • Manage high blood pressure
  • Stop potentially offending medications if drug-induced

☕ 5. Other Helpful Habits

  • Coffee: Regular coffee consumption (2–3 cups/day, unsweetened) has been associated in studies with lower rates of NASH progression and fibrosis
  • Avoid unnecessary supplements or herbal remedies — some can worsen liver injury
  • Sleep: Treat obstructive sleep apnea if present (hypoxia worsens fatty liver)

Medical & Surgical Treatments (When Needed)

  • Vitamin E: An antioxidant that can improve NASH in non-diabetic adults (biopsy-proven NASH only)
  • Pioglitazone: An insulin sensitizer that may improve NASH, especially in diabetic patients
  • GLP-1 agonists (e.g., liraglutide, semaglutide): Promising in reducing liver fat alongside weight loss
  • Bariatric surgery: For obese patients with NASH — studies show significant improvement or resolution of NASH post-surgery
  • Liver transplant: For end-stage cirrhosis
— Washington Manual of Medical Therapeutics; Robbins & Kumar Basic Pathology; Current Surgical Therapy 14e

Key takeaway: Simple fatty liver (NAFL) is largely reversible with lifestyle changes. The danger lies in progression to NASH and fibrosis, which is why early intervention with weight loss, a healthy diet, and regular exercise is so important. Anyone with suspected fatty liver should work with a doctor to rule out more advanced disease.

What is fatty liver what are it types it's home health treatment

I already covered this topic in detail in my previous response above. Here's a quick summary:

Fatty Liver — Quick Summary

What it is: A condition where fat accumulates in ≥5% of liver cells. Ranges from harmless to life-threatening depending on stage.

Types

TypeCause
Alcoholic (AFLD)Heavy alcohol use
Non-Alcoholic - Simple (NAFL)Obesity, insulin resistance — fat only, no inflammation
Non-Alcoholic Steatohepatitis (NASH)Fat + inflammation + cell injury; can scar the liver
Acute Fatty Liver of PregnancyThird trimester emergency
Drug-inducedSteroids, methotrexate, amiodarone, etc.

Home & Lifestyle Treatment

ActionTarget
Lose 7–10% body weightResolves NASH; 10%+ can reverse scarring
Mediterranean dietReduce sugar, refined carbs, red meat, saturated fat
Exercise 150 min/weekReduces liver fat even without weight loss
Avoid alcohol completelyEven small amounts worsen liver injury
Control blood sugar & cholesterolAddress the root cause (insulin resistance)
Drink unsweetened coffee2–3 cups/day linked to slower disease progression
Treat sleep apneaNighttime oxygen drops accelerate liver damage

For the full detailed answer with diagrams and textbook citations, scroll up to my previous response. If you have a more specific question — such as about a particular stage, symptoms, or medications — feel free to ask.

What is fatty liver what are it types it's home health treatment

I've already answered this question twice in this conversation — please scroll up to see the full detailed response, including:
  • What fatty liver is (definition, prevalence, how it develops)
  • All types — AFLD, NAFL, NASH, Acute Fatty Liver of Pregnancy, Drug-induced
  • A diagram showing NAFLD disease progression
  • Home & lifestyle treatments — weight loss targets, diet, exercise, alcohol avoidance, coffee, sleep apnea, and more
  • Medical treatments when lifestyle changes aren't enough
If you have a new or more specific question about fatty liver — such as:
  • Diet plans or meal ideas
  • How to know if you have it
  • Specific medications
  • Fatty liver in children
  • Fatty liver and diabetes
...just ask and I'll go deeper on that topic.

Yes

Asking for Preferences
No problem! Here is the complete, consolidated guide on fatty liver — covering everything in one place:

🫀 Fatty Liver Disease — Complete Guide


What Is Fatty Liver?

Fatty liver (hepatic steatosis) is a condition where excess fat builds up inside liver cells, accounting for more than 5% of liver weight. The liver becomes enlarged and, over time, the fat can trigger inflammation and scarring.
It affects 1 in 4 people worldwide and is now the most common chronic liver disease globally.

Types of Fatty Liver

1. 🍺 Alcoholic Fatty Liver Disease (AFLD)

  • Caused by heavy or regular alcohol use
  • Alcohol is broken down into toxic byproducts that disrupt fat metabolism
  • First and most reversible stage of alcohol-related liver disease
  • Stops progressing if alcohol is cut out

2. 🍔 Non-Alcoholic Fatty Liver (NAFL) — Simple Steatosis

  • Fat accumulates in the liver without significant inflammation
  • Caused by obesity, insulin resistance, high cholesterol, type 2 diabetes
  • Generally benign and reversible with lifestyle changes
  • No alcohol involvement

3. 🔥 Non-Alcoholic Steatohepatitis (NASH)

  • Fat plus inflammation plus liver cell injury
  • Can lead to scarring (fibrosis) → cirrhosis → liver failure → liver cancer
  • Often has no symptoms until advanced
  • About 10–30% of NAFL patients progress to NASH

4. 🤰 Acute Fatty Liver of Pregnancy (AFLP)

  • Rare, occurs in the third trimester
  • A medical emergency — can cause acute liver failure
  • Requires immediate hospital care and often early delivery

5. 💊 Drug/Toxin-Induced Fatty Liver

  • Caused by medications: steroids, methotrexate, amiodarone, tamoxifen, some chemotherapy drugs
  • Reversible once the offending drug is stopped

Disease Progression

NAFLD Progression Diagram
NAFLD progresses from simple fat (NAFL) → inflammation (NASH) → fibrosis → cirrhosis. About 20% of NASH patients are rapid progressors.

Symptoms

Most people have no symptoms until the disease is advanced. When present:
  • Fatigue and weakness
  • Mild discomfort or heaviness in the upper right abdomen
  • Elevated liver enzymes found on routine blood tests
  • In advanced disease: jaundice (yellowing), swelling of legs/abdomen, easy bruising

Home & Lifestyle Treatment

These are the most effective treatments — often better than any medication:

🥗 Diet

✅ Eat More❌ Eat Less
Vegetables & leafy greensSugary drinks & fruit juices
Fruits (in moderation)White bread, white rice, pasta
Whole grains (oats, quinoa)Fried & fast foods
Legumes (lentils, beans)Red & processed meat
Fish (especially fatty fish)Sweets, cakes, pastries
Olive oilSaturated & trans fats
Nuts & seedsAlcohol (avoid completely)
Mediterranean diet is the most recommended dietary pattern for fatty liver.

⚖️ Weight Loss Targets

Weight LostBenefit
3%Reduces liver fat (steatosis)
7–10%Can resolve NASH completely
≥10%Can reverse liver scarring (fibrosis)

🏃 Exercise

  • 150 minutes/week of moderate aerobic exercise (brisk walking, cycling, swimming)
  • Add resistance/strength training 2–3 times per week
  • Exercise reduces liver fat even without significant weight loss

🚫 Avoid Alcohol

  • Alcohol worsens fatty liver even in non-alcoholic types — avoid it entirely

☕ Coffee

  • 2–3 cups of plain, unsweetened coffee daily is linked to slower disease progression and lower fibrosis risk

😴 Sleep & Stress

  • Treat obstructive sleep apnea — nighttime oxygen drops accelerate liver damage
  • Chronic stress raises cortisol, which worsens insulin resistance

🩸 Control Underlying Conditions

  • Keep blood sugar well controlled (diabetes is a major driver)
  • Manage high triglycerides and cholesterol
  • Control blood pressure
  • Review medications with your doctor — some drugs cause fatty liver

Medical Treatments (When Lifestyle Isn't Enough)

TreatmentWho It's For
Vitamin ENon-diabetic adults with biopsy-proven NASH
PioglitazoneDiabetic patients with NASH
GLP-1 agonists (semaglutide, liraglutide)Obesity + NASH; reduces liver fat significantly
Bariatric surgeryObese patients with NASH unresponsive to lifestyle
Liver transplantEnd-stage cirrhosis only

Key Takeaway

Fatty liver caught early is fully reversible. The single most powerful intervention is gradual, sustained weight loss through diet and exercise. No medication has been proven as effective as consistent lifestyle change.
If you suspect fatty liver, see a doctor for blood tests (liver enzymes, lipid panel, blood sugar) and an abdominal ultrasound.

Nafld what is how to manage it best fruits vegetables with there mechanism

Reading File
Finding Sources
Finding Sources
Finding Sources
Finding Sources
Reading File
Reading File
Reading File
Reading File
Loading Image
Now I have comprehensive textbook data. Here is a thorough, well-sourced answer on NAFLD with all the specifics requested:

NAFLD — What It Is, How to Manage It & Best Fruits/Vegetables with Their Mechanisms


What Is NAFLD?

Non-Alcoholic Fatty Liver Disease (NAFLD) is a clinicopathologic syndrome defined as fat accumulation in ≥5% of liver cells (hepatocytes) in the absence of significant alcohol consumption, viral hepatitis, or steatogenic medications.
It is the most common chronic liver disease globally, affecting ~25% of the world's population.

The NAFLD Spectrum

StageWhat HappensRisk of Progression
Simple Steatosis (NAFL)Fat only — no inflammationLow; often benign
NASHFat + inflammation + hepatocyte ballooning ± fibrosis10–40% progress to fibrosis
Fibrosis (F1–F3)Liver scarring developsCan regress with treatment
Cirrhosis (F4)End-stage scarringRisk of liver failure & cancer
NAFLD Progression Diagram
Spectrum and fibrosis progression of NAFLD — Yamada's Textbook of Gastroenterology, 7th ed.

How Does NAFLD Develop? (Mechanism)

Two core, interrelated defects drive NAFLD:

1. Insulin Resistance & Hyperinsulinemia

  • Insulin resistance causes excessive lipolysis in adipose tissue
  • Free fatty acids (FFAs) flood into the liver
  • The liver esterifies them into triglycerides → macrovesicular steatosis (primarily centrilobular)
  • Simultaneously, the liver increases de novo lipogenesis (making new fat from carbohydrates)

2. Lipotoxicity → Inflammation → Fibrosis

  • FFAs that remain unesterified inside hepatocytes are directly toxic (lipotoxicity)
  • This triggers:
    • Oxidative stress (from mitochondria and microsomes)
    • Endoplasmic reticulum (ER) stress
    • Inflammasome activation → IL-1 release → hepatocyte injury
    • Apoptosis (liver cell death)
    • Hepatic stellate cell activation → collagen deposition → fibrosis
  • Altered gut microbiome and increased gut-derived endotoxins amplify liver inflammation
  • Key adipocytokines: ↓ adiponectin (protective) and ↑ TNF-α (damaging)
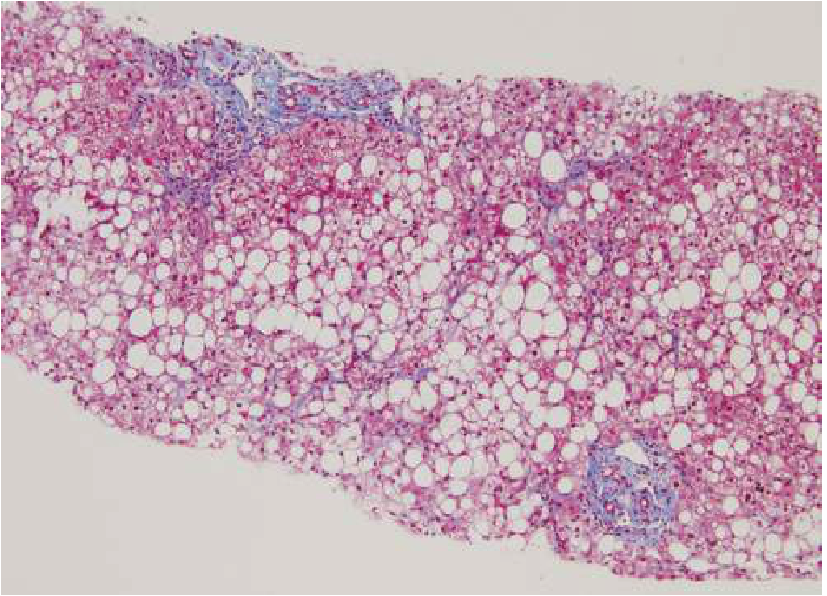
Liver Biopsy NASH
Liver biopsy showing NASH: the large white circles are fat droplets inside hepatocytes, with early fibrosis (blue areas). — Goldman-Cecil Medicine

Risk Factors

  • Obesity (especially central/abdominal)
  • Type 2 diabetes / insulin resistance
  • Dyslipidemia (high triglycerides, low HDL)
  • Hypertension / metabolic syndrome
  • Polycystic ovary syndrome (PCOS)
  • Hypothyroidism
  • Obstructive sleep apnea
  • Genetic factors: PNPLA3, TM6SF2, GCKR gene variants increase risk

Symptoms

Most patients are asymptomatic. When present:
  • Fatigue, malaise
  • Right upper quadrant heaviness/discomfort
  • Incidentally elevated ALT/AST on blood tests (ALT > AST, rarely >250 IU/L)
  • In advanced cirrhosis: jaundice, ascites, encephalopathy, easy bruising

Management of NAFLD

🥇 First-Line: Lifestyle Modification

This is the most effective treatment and the foundation of all NAFLD management.
Weight Loss TargetBenefit
3% body weightReduces steatosis
7% body weightImproves NASH histology
10% body weightCan cause fibrosis regression
  • Low refined-sugar diet — reduces de novo lipogenesis
  • Regular aerobic + resistance exercise — improves insulin sensitivity and reduces liver fat independently of weight loss
  • Avoid saturated fat, high fructose, alcohol
  • A multidisciplinary approach (dietician + exercise specialist + behavioral therapy) gives the best results

💊 Medical Treatments (when lifestyle is insufficient)

DrugMechanismWho It's For
Vitamin E (800 IU/day)Antioxidant — reduces oxidative stress and hepatocyte injuryNon-diabetic adults with biopsy-proven NASH
PioglitazonePPAR-γ agonist → improves insulin sensitivityDiabetic patients with NASH
GLP-1 agonists (semaglutide, liraglutide)Reduce appetite, weight, liver fat & inflammationObese NASH patients
StatinsReduce cardiovascular risk (primary cause of death in NAFLD)Patients with dyslipidemia

🔪 Surgical Treatment

  • Bariatric surgery — for obese patients; prospective studies show significant NASH resolution
  • Liver transplant — end-stage cirrhosis only
— Goldman-Cecil Medicine; Washington Manual of Medical Therapeutics; Robbins & Kumar Basic Pathology

Best Fruits for NAFLD — With Mechanisms

FruitKey CompoundsMechanism of Benefit
Blueberries / BerriesAnthocyanins, resveratrol, Vitamin CPotent antioxidants → neutralize reactive oxygen species (ROS) from lipotoxicity; reduce NF-κB-mediated liver inflammation
AvocadoMonounsaturated fats (oleic acid), glutathioneReplaces saturated fat; oleic acid reduces de novo lipogenesis; glutathione is a master antioxidant protecting hepatocytes
Citrus fruits (lemon, orange, grapefruit)Naringenin, hesperidin, Vitamin CFlavonoids activate PPAR-α → promote fatty acid oxidation; reduce hepatic triglyceride synthesis; improve insulin sensitivity
ApplesQuercetin, pectin (soluble fiber)Pectin feeds beneficial gut bacteria → reduces gut-derived endotoxin reaching the liver; quercetin reduces hepatic inflammation
Grapes / Red grapesResveratrol, polyphenolsActivates SIRT1 (sirtuin pathway) → improves mitochondrial function and fatty acid oxidation; reduces liver fat accumulation
PomegranatePunicalagins, ellagic acidReduces oxidative stress markers; inhibits inflammatory cytokines (TNF-α, IL-6); shown to lower liver enzymes in NAFLD
PapayaPapain, lycopene, Vitamin CAnti-inflammatory; lycopene reduces lipid peroxidation; enzyme papain aids digestion
⚠️ Important: Eat whole fruits, not fruit juice. Fruit juice concentrates fructose, which is metabolized entirely by the liver → directly drives de novo lipogenesis and worsens NAFLD.

Best Vegetables for NAFLD — With Mechanisms

VegetableKey CompoundsMechanism of Benefit
Broccoli / Cruciferous vegetablesSulforaphane, indole-3-carbinol, fiberSulforaphane activates Nrf2 pathway → upregulates antioxidant enzymes (glutathione peroxidase, SOD); reduces liver fat accumulation and fibrosis
Spinach / Dark leafy greensNitrates, Vitamin E, folate, chlorophyllNitrates improve mitochondrial efficiency → less oxidative stress; Vitamin E reduces lipid peroxidation; folate reduces homocysteine (ER stress trigger)
GarlicAllicin, S-allylcysteineReduces TNF-α and IL-6; improves insulin sensitivity; reduces hepatic fat; allicin has direct hepatoprotective effects
OnionsQuercetin, organosulfur compoundsQuercetin inhibits NF-κB → reduces liver inflammation; improves adiponectin levels
Beets / BeetrootBetaine (trimethylglycine), betalainsBetaine is a methyl donor → reduces hepatic fat via improved phosphatidylcholine synthesis (better fat export from liver); reduces oxidative stress
ArtichokeCynarin, silymarin precursors, inulinCynarin stimulates bile production → better fat digestion; inulin (prebiotic fiber) improves gut microbiome → reduces endotoxin load on liver
Sweet potatoBeta-carotene, resistant starchBeta-carotene converts to Vitamin A → reduces hepatic stellate cell activation and fibrosis; resistant starch feeds gut bacteria and improves insulin sensitivity
Turmeric (as a spice/root)CurcuminInhibits NF-κB, TNF-α, and TGF-β → reduces liver inflammation AND fibrosis; improves insulin signaling; one of the best-studied natural hepatoprotectants
TomatoesLycopene, Vitamin CLycopene reduces lipid peroxidation and hepatic fat accumulation; strong antioxidant effect on mitochondria
Green tea (as a beverage)EGCG (epigallocatechin gallate), catechinsEGCG inhibits fatty acid synthase (FASN) → reduces de novo lipogenesis; improves insulin sensitivity; reduces liver enzyme levels

Dietary Pattern Summary

MOST PROTECTIVE: Mediterranean Diet
→ High in: vegetables, fruits, olive oil, legumes, whole grains, fish
→ Low in: red meat, sugar, refined carbs, processed foods
→ Avoid entirely: alcohol, sugary drinks, fructose syrup
The Mediterranean diet specifically reduces liver fat, improves insulin sensitivity, and lowers inflammatory markers — and is the single most recommended dietary pattern for NAFLD by gastroenterology guidelines.

Prognosis

  • Simple steatosis: generally benign — 1/3 may remit with modest weight loss
  • NASH: progressive — up to 1/3 develop worsening fibrosis over ~5 years
  • The most common cause of death in NAFLD is cardiovascular disease, not liver failure — highlighting why controlling the whole metabolic syndrome matters
  • NAFLD is now the 2nd leading cause of liver transplant listing in the US
— Goldman-Cecil Medicine; Yamada's Textbook of Gastroenterology; Robbins & Kumar Basic Pathology; Washington Manual of Medical Therapeutics

Dailays desequiibrum syndrome in detail and pathology why it cause in dialysis patients what is mechanism

Reading File
Finding Sources
Finding Sources
Reading File
Reading File
Finding Sources
Reading File
Finding Sources
Reading File
Reading File
Reading File
Reading File
Excellent — I now have rich, multi-source textbook data. Here is a comprehensive, detailed answer:

Dialysis Disequilibrium Syndrome (DDS) — Complete Detail


What Is DDS?

Dialysis Disequilibrium Syndrome (DDS) is a neurological complication that occurs during or shortly after hemodialysis (HD), caused by rapid osmotic shifts that drive water into the brain, resulting in cerebral edema. It is most common when dialysis is first initiated in severely uremic patients.
"This term refers to a group of symptoms that may occur during and following hemodialysis or peritoneal dialysis as a by-product of some degree of cerebral edema." — Adams & Victor's Principles of Neurology, 12th ed.

Why Does It Happen? — The Core Problem

In chronic kidney disease (CKD) / end-stage renal disease (ESRD), urea and other toxins accumulate in the blood and brain over weeks to months. The brain adapts to this hyperosmolar state by generating its own protective osmoles.
When dialysis is started — especially rapid, high-efficiency dialysis — blood urea is cleared very quickly. But the brain cannot equalize its solute concentration as fast as the blood. This mismatch creates an osmotic gradient that pulls water into brain cells → cerebral edema.

Pathophysiology — The Mechanisms (In Detail)

There are two main competing but complementary theories, both supported by animal and clinical studies:

🔵 Theory 1: The Reverse Urea Effect (Classic Theory)

┌─────────────────────────────────────────────────────┐
│  BEFORE DIALYSIS                                    │
│  Blood Urea ≈ Brain Urea (equilibrated, high)       │
│  → No osmotic gradient                              │
└─────────────────────────────────────────────────────┘
            ↓  Rapid hemodialysis begins
┌─────────────────────────────────────────────────────┐
│  DURING DIALYSIS                                    │
│  Blood Urea falls rapidly ↓↓                        │
│  Brain Urea remains HIGH (slow clearance)           │
│  → GRADIENT: Brain > Blood                         │
│  → Water moves FROM blood INTO brain cells          │
│  → CEREBRAL EDEMA                                  │
└─────────────────────────────────────────────────────┘
Why does brain urea lag behind?
  • Urea crosses the blood-brain barrier (BBB) slowly compared to plasma clearance during dialysis
  • In uremic patients, urea transporter expression in the brain is reduced — making urea exit the brain even slower
  • Simultaneously, aquaporin channels (water channels) in the brain are upregulated in uremia — meaning water moves INTO brain cells more readily
  • Result: the brain acts as a "urea reservoir" during rapid dialysis, creating a sustained osmotic pull for water
"Uremia may potentiate this gradient by reducing urea transporter expression and increasing aquaporin expression in the brain. Cerebral edema during dialysis may occur due to the resulting delay in urea egress and enhancement of water uptake into brain cells." — Brenner and Rector's The Kidney

🟠 Theory 2: Idiogenic Osmoles + Paradoxical CSF Acidosis

Step 1 — Idiogenic Osmoles
During chronic uremia, brain cells generate idiogenic osmoles (also called osmolytes) — small organic molecules including:
  • Inositol
  • Glutamine
  • Glutamate
  • Taurine and other amino acids
These are produced by the brain itself as a defense mechanism to maintain cell volume against the high extracellular osmolality of uremia.
When dialysis rapidly lowers plasma osmolality:
  • Blood osmolality drops fast
  • The idiogenic osmoles remain trapped inside brain cells
  • Brain cells now have HIGHER intracellular osmolality than the surrounding blood
  • Water follows the osmotic gradient → floods into brain cells → cytotoxic cerebral edema
Step 2 — Paradoxical CSF Acidosis
When bicarbonate dialysate is used:
  • Bicarbonate is infused into the blood to correct metabolic acidosis
  • Carbon dioxide (CO₂) — the byproduct — diffuses freely across the blood-brain barrier (unlike bicarbonate, which crosses slowly)
  • CO₂ accumulates in the CSF and brain tissue
  • CO₂ + H₂O → H₂CO₃ → H⁺ + HCO₃⁻
  • This causes a paradoxical DROP in CSF pH (intracellular acidosis) even as blood pH normalizes
  • Intracellular acidosis triggers further osmole generation and impairs the brain's ability to regulate water transport
"Provision of bicarbonate in the dialysate may lead to paradoxical acidosis in the CSF through diffusion of carbon dioxide across the blood-brain barrier, further compromising the ability of the brain to regulate solute and water transport." — Brenner and Rector's The Kidney

Combined Mechanism Summary

RAPID DIALYSIS
      │
      ├──► Blood urea falls fast
      │         │
      │         ▼
      │    Brain urea lags (↓urea transporters, ↑aquaporins)
      │         │
      │         ▼
      │    Blood-brain osmotic gradient
      │         │
      ├──► Idiogenic osmoles trapped in brain cells
      │         │
      │         ▼
      │    Intracellular osmolality > Extracellular
      │         │
      ├──► Bicarbonate dialysate → CO₂ crosses BBB
      │         │
      │         ▼
      │    Paradoxical CSF/intracellular acidosis
      │
      └──► ALL PATHWAYS → Water influx into brain cells
                               ↓
                        CEREBRAL EDEMA
                               ↓
                    Raised intracranial pressure
                               ↓
                   DDS Symptoms (mild → severe)

Pathology (What Happens in the Brain)

FindingDetail
Cerebral edemaCytotoxic > vasogenic; brain cells swell with water
Raised intracranial pressure (ICP)Causes headache, papilledema, herniation in severe cases
CT scanShows diffuse cerebral edema (consistent finding)
EEGNon-specific — may show slow waves, but not diagnostic
In severe casesBrain herniation, coma, death
MimicryCan mimic osmotic demyelination syndrome (like rapid correction of hyponatremia) — some cases show pontine edema that resolves over 5–7 days
"Although cerebral edema is a consistent finding on computed tomographic scanning, DDS remains a clinical diagnosis because laboratory tests, including electroencephalography, are nonspecific." — Comprehensive Clinical Nephrology, 7th ed.

Who Is at Risk? (Risk Factors)

Risk FactorWhy It Matters
First dialysis sessionBrain has not adapted to rapid solute removal
Severely elevated BUN/urea (severe azotemia)Larger osmotic gradient when urea is removed
Rapid/high-efficiency dialysisLarge surface area dialyzers, high blood flow rates
Young age (children)More susceptible than adults
Elderly patientsImpaired brain compensatory mechanisms
Preexisting neurological disordersBrain already compromised
Low dialysate sodiumWorsens osmotic imbalance
Severe metabolic acidosisPotentiates idiogenic osmole production

Clinical Features

Mild to Moderate (most common)

  • Headache (bilateral, throbbing — affects ~70% of patients)
  • Nausea and vomiting
  • Restlessness, agitation
  • Blurred vision
  • Muscle cramps and twitching
  • Disorientation, confusion

Severe (5–10% of cases)

  • Obtundation / lethargy
  • Seizures (generalized, can be focal)
  • Coma
  • Papilledema
  • Death (rare but reported)

Timing

  • Symptoms usually begin in the 3rd–4th hour of dialysis
  • Can be delayed 8–48 hours after dialysis ends
  • Usually self-limited, resolving over hours to days
  • Full recovery may take several days

Differential Diagnosis (Must Exclude)

ConditionKey Distinguishing Feature
Subdural hematomaHistory of falls, anticoagulation; CT shows blood
Hypertensive encephalopathy / PRESVery high BP, posterior white matter edema on MRI
Uremic encephalopathyPreexisting, not worsened by dialysis
HypoglycemiaLow blood glucose
HyponatremiaSerum sodium low
Stroke / cerebrovascular eventFocal deficits, CT/MRI findings
Dialysis dementiaProgressive, aluminum-related, not acute

Prevention (Key Strategies)

StrategyMechanism
Short initial sessions (1.5–2 hours)Limits rate of urea removal
Low blood flow rate (200–250 mL/min)Slows clearance
Small surface area dialyzerReduces efficiency of first sessions
Concurrent (not countercurrent) flowReduces dialysis efficiency
Target <30% BUN reduction per session initiallyGradual adaptation
High dialysate sodium concentrationCounters osmotic shift
Sodium modeling/profilingGradual sodium reduction over session
IV MannitolOsmotic agent; draws water OUT of brain; used in high-risk patients
Frequent, shorter sessionsGradual urea reduction over multiple sessions
Early recognition of severe uremiaInitiate dialysis before BUN is extremely high

Treatment if DDS Occurs

ActionPurpose
Stop or shorten dialysis immediatelyRemove the trigger
IV Mannitol (20%, 1 g/kg)Hyperosmolar agent → draws water out of swollen brain cells
Hypertonic saline (3% NaCl)Alternative osmotic agent for cerebral edema
Anti-epileptics (benzodiazepines, levetiracetam)For active seizures
Supportive care / ICUFor severe cases with coma

DDS vs. Dialysis Dementia — Important Distinction

FeatureDialysis Disequilibrium SyndromeDialysis Dementia (Encephalopathy)
OnsetAcute — during/after dialysisSubacute — progressive over months
CauseRapid osmotic shifts, cerebral edemaAluminum intoxication of brain
RecoveryUsually full recoveryIrreversible, progressive
EEGNon-specificParoxysmal spike-wave activity
TreatmentMannitol, stop dialysisChelation therapy, remove aluminum
Modern prevalenceDeclining but still seenRare now (aluminum removed from dialysate)

Summary

DDS occurs because the brain adapts slowly to the rapid solute clearance of dialysis. The resulting osmotic gradient drives water into brain cells (cerebral edema), raising intracranial pressure and producing symptoms ranging from headache to coma. The key mechanisms are: (1) the reverse urea effect, (2) trapped idiogenic osmoles in brain cells, and (3) paradoxical CSF acidosis from bicarbonate dialysate. Prevention through slow, gradual initiation of dialysis is far more effective than treatment.
Brenner and Rector's The Kidney; Comprehensive Clinical Nephrology, 7th ed.; Adams & Victor's Principles of Neurology; Bradley and Daroff's Neurology in Clinical Practice
This is a shared conversation. Sign in to Orris to start your own chat.