Acute pancreatitis

Reading File
Finding Sources
Finding Sources
Reading File
Reading File
Reading File
Reading File
Reading File
Reading File
Reading File
Reading File
Loading Image
I now have comprehensive content from multiple authoritative sources. Let me synthesize a complete clinical overview of acute pancreatitis.

Acute Pancreatitis

Definition & Epidemiology

Acute pancreatitis (AP) is a sudden inflammatory disease of the pancreas that ranges from mild, self-limited illness to a life-threatening emergency. Hospital admissions in the USA appear to be increasing. The clinical diagnosis requires two of three criteria:
  1. Abdominal pain strongly suggestive of AP
  2. Serum amylase and/or lipase ≥ 3× the upper limit of normal
  3. Characteristic imaging findings
Grainger & Allison's Diagnostic Radiology

Etiology (Mnemonic: GET SMASHED)

CategoryExamples
GallstonesMost common cause in adults (~40%)
EthanolSecond most common (~30%)
TraumaBlunt abdominal trauma
SteroidsCorticosteroids, azathioprine
Mumps / infectionsEBV, CMV, Coxsackievirus, Mycoplasma
AutoimmuneIgG4-related disease
Scorpion venom / Spider biteRare
Hyperlipidaemia / HypercalcaemiaMetabolic causes
ERCPPost-procedural pancreatitis
DrugsValproate, L-asparaginase, 6-mercaptopurine, furosemide, tetracyclines
Additional causes: pancreas divisum, genetic mutations (SPINK1, CFTR, PRSS1), malignancy, vasculitis (SLE, Kawasaki disease). ~5% remain idiopathic.

Pathogenesis

The final common pathway is premature intracellular activation of trypsinogen to trypsin within acinar cells, triggering auto-digestion. This releases inflammatory mediators (IL-1, IL-6, TNF-α), leading to a local inflammatory cascade that, in severe cases, progresses to systemic inflammatory response syndrome (SIRS) and multi-organ dysfunction.

Clinical Features

  • Pain: Sudden-onset, severe, constant epigastric pain radiating to the back or left scapular region; patients are more comfortable leaning forward
  • Nausea, vomiting, anorexia, fever
  • Examination: Tachycardia, tachypnoea, epigastric tenderness, hypoactive bowel sounds, abdominal rigidity (variable)
  • Rare signs of haemorrhagic pancreatitis:
    • Grey-Turner sign: flank ecchymosis
    • Cullen sign: periumbilical ecchymosis
  • Extremities may be cool and cyanotic from underperfusion
Sleisenger and Fordtran's GI and Liver Disease

Laboratory Findings

TestFindings
Serum amylaseElevated within hours; non-specific (also elevated in other abdominal conditions)
Serum lipaseMore sensitive and specific; stays elevated longer
WBC12,000–20,000/mm³ typical
CRPMarker of severity (>150 mg/L at 48h suggests severe disease)
LFTsElevated ALT >3× normal suggests gallstone etiology
Serum calciumHypocalcaemia (saponification of fat)
Blood glucoseHyperglycaemia (transient or persistent)
TriglyceridesCheck if hypertriglyceridaemia is suspected cause
ABGHypoxaemia in severe cases

Severity Classification — Revised Atlanta 2012

CategoryDefinition
MildNo organ failure; no local/systemic complications
Moderately severeTransient organ failure (<48 h) or local complications without persistent organ failure
SeverePersistent organ failure (>48 h), single or multi-organ
Morphological types (Revised Atlanta):
  • Interstitial oedematous pancreatitis — pancreatic parenchyma enhances normally on contrast CT; peripancreatic oedema present
  • Necrotising pancreatitis — non-enhancing areas indicating parenchymal necrosis; may involve peripancreatic tissue

Severity Scoring Systems

Ranson Criteria (1974)

At admission (5 criteria): Age >55, WBC >16,000, glucose >200 mg/dL, LDH >350 IU/L, AST >250 IU/L
At 48 hours (6 criteria): Haematocrit fall >10%, BUN rise >5 mg/dL, Ca²⁺ <8 mg/dL, PaO₂ <60 mmHg, base deficit >4 mEq/L, fluid sequestration >6 L
Score ≥3 = severe disease.

BISAP Score

Each criterion = 1 point:
  • BUN > 25 mg/dL
  • Impaired mental status
  • SIRS present
  • Age > 60 years
  • Pleural effusion
Score ≥3 correlates with increased mortality.

CT Severity Index (CTSI / Modified Balthazar)

A radiological scoring system (max 10 points):
ParameterPoints
Normal pancreas0
Intrinsic pancreatic abnormality ± peripancreatic fat changes2
Pancreatic/peripancreatic fluid collection or fat necrosis4
Necrosis ≤30%+2
Necrosis >30%+4
Extrapancreatic complications (pleural effusion, ascites, vascular/GI involvement)+2
Mild: 0–2 | Moderate: 4–6 | Severe: 8–10
Grainger & Allison's Diagnostic Radiology

Imaging

CT (Investigation of Choice for Severity)

Contrast-enhanced CT (CECT) is the gold standard for:
  • Confirming diagnosis when uncertain
  • Assessing extent of pancreatic necrosis
  • Identifying fluid collections and complications
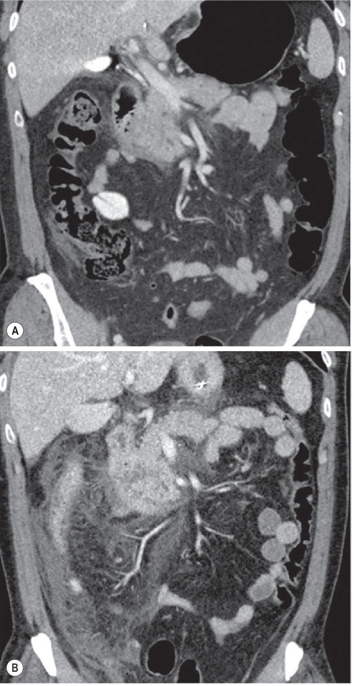
Important timing caveat: CT performed within 12–24 hours may underestimate the degree of necrosis, which takes 2–3 days to fully develop. CECT is best performed after 72 hours if clinical deterioration warrants it.
CT Timing in Acute Pancreatitis — Panel A (12 hours) shows minimal signs; Panel B (day 3) reveals much more severe inflammation and necrosis
Fig. Appropriate timing of CT in acute pancreatitis: (A) CT at 12 hours shows only minimal signs; (B) follow-up CT on day 3 demonstrates much more severe inflammation. — Grainger & Allison's Diagnostic Radiology
A single venous-phase CT (70s delay; ~1.5–2 mL/kg contrast at 4 mL/s) is sufficient to stage AP. Arterial phase is not routinely needed.
If CECT is contraindicated (e.g. renal failure), contrast-enhanced ultrasound (CEUS) is an alternative to assess necrosis.

Ultrasound

  • First-line initial investigation
  • Limited pancreatic visualisation due to overlying bowel gas
  • Excellent for identifying gallstones as the cause
  • Useful for guiding drainage of fluid collections

MRI / MRCP

  • Superior to CT for characterising fluid collections and ductal disruption
  • MRCP useful to detect choledocholithiasis without ERCP risk
  • Preferred in pregnancy and young patients requiring serial imaging

Fluid Collections (Revised Atlanta Terminology)

CollectionTimingContentsWall
Acute peripancreatic fluid collection (APFC)<4 weeks, oedematous APFluidNone
Pseudocyst>4 weeks, oedematous APFluidDefined wall
Acute necrotic collection (ANC)<4 weeks, necrotising APFluid + necrosisNone
Walled-off necrosis (WON)>4 weeks, necrotising APFluid + necrosisDefined wall

Complications

Local:
  • Pancreatic necrosis (sterile or infected)
  • Pseudocyst formation
  • Pancreatic duct disruption
  • Splenic vein thrombosis, pseudoaneurysm
  • Colonic infarction (middle colic or right colic artery thrombosis — presents with rapid haemodynamic collapse)
Systemic:
  • Hypovolaemia and shock
  • Acute kidney injury
  • Acute respiratory distress syndrome (ARDS) / pleural effusion
  • Hepatic failure
  • Hypocalcaemia
  • Hyperglycaemia/diabetes

Management

Initial Resuscitation

  • IV fluid resuscitation is the cornerstone: aggressive early resuscitation with Lactated Ringer's solution is preferred over normal saline (lower incidence of acidosis/SIRS); rate typically 250–500 mL/h adjusted to urine output, BUN, and haematocrit
  • Oxygen supplementation; intubation for ARDS if needed
  • Urinary catheter to monitor hourly urine output (target >0.5 mL/kg/h)
  • Analgesia: IV opioids (morphine, hydromorphone) — older concerns about morphine causing sphincter of Oddi spasm are not clinically significant; meperidine is no longer preferred due to toxic metabolite accumulation

Monitoring

  • Serial vital signs, fluid balance
  • Monitor BUN, creatinine, haematocrit, calcium every 6–12 hours initially
  • APACHE II or SOFA scores to guide ICU transfer

Nutrition

  • Mild AP: early oral feeding (soft, low-fat diet) as soon as tolerated — no need for NPO/bowel rest
  • Severe AP: enteral nutrition (via nasojejunal tube) is preferred over total parenteral nutrition (TPN); reduces infectious complications and mortality
  • TPN is reserved for patients who cannot tolerate enteral feeds

Specific Interventions

Gallstone AP (biliary pancreatitis):
  • Early ERCP with sphincterotomy within 24–72 hours if concurrent cholangitis or persistent biliary obstruction
  • Cholecystectomy should be performed during the same admission or early after recovery to prevent recurrence
Infected pancreatic necrosis:
  • Suspected when clinical deterioration occurs after initial improvement or fever/rising WBC at >1 week
  • CT-guided fine needle aspiration (FNA) with Gram stain and culture can confirm
  • Step-up approach: antibiotics (imipenem, meropenem, or ciprofloxacin + metronidazole) → percutaneous catheter drainage → minimally invasive necrosectomy → open surgery as last resort
  • Prophylactic antibiotics are not recommended routinely in sterile necrotising AP
Hypertriglyceridaemia-induced AP:
  • Insulin infusion, plasmapheresis in severe cases; fibrates for long-term prevention

Medications to Avoid

  • NSAIDs (worsen renal perfusion in hypovolaemia)
  • Prophylactic antibiotics in uncomplicated AP

Prognosis

  • ~80% of AP cases are mild and self-limiting, resolving in 3–5 days
  • ~20% have severe disease with local or systemic complications
  • Mortality: ~3–5% overall; up to 20–30% in severe necrotising pancreatitis with multiorgan failure
  • Colonic infarction from colic artery thrombosis carries an extremely high mortality and requires emergent laparotomy

Sources: Sleisenger and Fordtran's Gastrointestinal and Liver Disease | Grainger & Allison's Diagnostic Radiology | Textbook of Family Medicine, 9e
This is a shared conversation. Sign in to Orris to start your own chat.