The patient with mental retardness with these type of overgrowths on face. What’s this condition?

| Feature | Description |
|---|---|
| Facial angiofibromas | 1–3 mm yellowish-red waxy papules over cheeks, nose, forehead; present in ~90% of patients >4 yrs |
| Ash-leaf macules | Hypopigmented oval/leaf-shaped patches; earliest cutaneous sign (85% of patients) |
| Shagreen plaque | Roughened, skin-colored collagenoma typically on lower back |
| Periungual/subungual fibromas | Flesh-colored growths emerging from nail folds |
| Fibrous cephalic plaque | Firm fibrous plaque on forehead/scalp |
Tuberous Sclerosis Complex
| Feature | Detail |
|---|---|
| Inheritance | Autosomal dominant, variable penetrance |
| Gene 1 | TSC1 — chromosome 9q → encodes Hamartin |
| Gene 2 | TSC2 — chromosome 16p → encodes Tuberin |
| Mechanism | TSC2 is adjacent to PKD1; some deletions affect both genes simultaneously |
| Protein function | Hamartin + tuberin interact physically to suppress mTOR signaling and inhibit cell growth |
| Loss of heterozygosity | Both alleles must be affected for full disease expression ("two-hit" mechanism) |
| Spontaneous mutations | Up to 50% of cases; ~15% of sporadic cases show no identifiable mutation (likely mosaicism) |
| Prevalence | 1 in 5,800–15,000 births |
The complete triad is present in only a minority of patients. Many have forme fruste (incomplete) presentations.

| Lesion | Description | Frequency |
|---|---|---|
| Facial angiofibromas (adenoma sebaceum) | 1–3 mm yellowish-red, waxy, dome-shaped papules; symmetric over cheeks, nose, nasolabial folds, chin, forehead. Earliest sign may be mild erythema over cheeks. NOT true adenomas — actually angiofibromas. | 90% of patients >4 yrs |
| Ash-leaf macules (hypomelanotic macules) | Oval, leaf-shaped white patches; first cutaneous lesion to appear; congenital or develops by 6–8 yrs; enhanced by Wood's lamp (UV 360 nm) | 85–90% |
| Shagreen patch | Roughened, skin-colored plaque of subepidermal fibrosis; typically on lower back/trunk | Common |
| Periungual/subungual fibromas (Koenen tumors) | Small, digitate, protruding fibromas at nail folds; appear at puberty | ~50% |
| Fibrous cephalic plaque | Firm fibrous plaque on forehead/scalp; marker for severe intracranial involvement | Present |
| Café-au-lait spots, confetti macules, poliosis | Additional cutaneous markers | Variable |



| Organ | Manifestation | Notes |
|---|---|---|
| Kidney | Angiomyolipomas (bilateral, multiple) — most common renal finding; renal cysts (20–30%); rarely renal cell carcinoma | AMLs >4 cm → prophylactic surgery; regular imaging screening for RCC |
| Heart | Rhabdomyomas (43%) | Highly specific for TSC when found on fetal echo; usually regress after birth; may cause conduction defects |
| Lung | Lymphangioleiomyomatosis (LAM) | Predominantly women in 30s–40s; progressive respiratory failure, pneumothorax; smooth muscle proliferation + cystic degeneration |
| Eye | Retinal hamartomas (phakomas) — gray/yellow plaques near optic disc; achromic patches; nystagmus, angioid streaks | ~50%; van der Hoeve coined "phakomatosis" from these lesions |
| Liver, thyroid, testes, GI | Angiomyolipomas | Less common |
| Bone | Bone cysts (digits), sclerotic lesions, "marbling" | ~50% |
| Teeth | ≥5 dental enamel pits in permanent teeth | Diagnostic marker |
| Oral | Gingival fibromas, buccal/labial/lingual papillomatosis | Present |
| Investigation | Purpose |
|---|---|
| Wood's lamp exam | Detect subtle ash-leaf macules |
| MRI brain | Detect cortical tubers, subependymal nodules, SEGA (detectable as early as 6 weeks) |
| CT brain | Calcified intracranial nodules in older patients |
| Renal ultrasound / MRI | Angiomyolipomas, cysts, RCC screening |
| Echocardiogram | Cardiac rhabdomyomas (especially in infants/fetus) |
| Funduscopy | Retinal phakomas |
| EEG | Characterize seizure type; hypsarrhythmia in infancy |
| Genetic testing | TSC1/TSC2 mutation analysis |
| Pulmonary function / HRCT chest | LAM screening in women |
| Skin biopsy | Histopathology of angiofibromas if needed |
| Agent | Use |
|---|---|
| Everolimus (mTOR inhibitor) | First-line for SEGAs, renal AMLs, epilepsy; FDA/EMA approved |
| Sirolimus (rapamycin) | Renal AMLs, LAM, facial angiofibromas |
| Topical rapamycin (0.1–1%) | Non-invasive treatment of facial angiofibromas; lesions recur without maintenance |
| Antiepileptics | Seizure control; vigabatrin is particularly effective for infantile spasms in TSC |
| Treatment | Indication |
|---|---|
| Laser therapy / dermabrasion / shaving | Cosmetic treatment of angiofibromas |
| Surgical resection | AMLs >4 cm (hemorrhage risk); nephron-sparing where possible |
| Avoid cranial irradiation of astrocytomas | Risk of subsequent glioblastoma development |
What radiological investigations are to be done in this case?
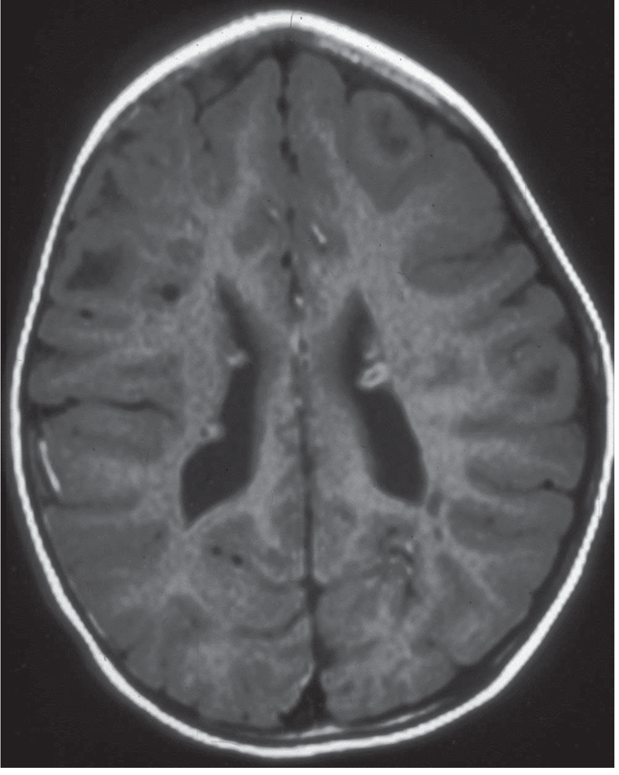
| Finding | MRI Appearance |
|---|---|
| Cortical tubers | Hypointense on T1, hyperintense on T2/FLAIR; expand gyri; may calcify |
| Subependymal nodules (SEN) | "Candle drippings" along ventricular walls; calcify over time → hypointense on T2 |
| Subependymal giant cell astrocytoma (SEGA) | Enhancing mass at foramen of Monro; >1 cm, growing → urgent treatment |
| White matter radial migration lines | T2-hyperintense lines radiating from ventricle to cortex |
| Hydrocephalus | May occur if SEGA obstructs CSF flow |

Note: CT or cranial ultrasound (in infants with open fontanelles) is suboptimal but acceptable if MRI is not available. CT detects calcified nodules well but misses early/uncalcified tubers. MRI detects lesions as early as 6 weeks of age.
| Finding | Notes |
|---|---|
| Renal angiomyolipomas (AML) | Bilateral, multiple; fat-containing lesions; characteristic fat signal on MRI/CT |
| Renal cysts | Present in 20–30%; may mimic ADPKD if TSC2/PKD1 contiguous deletion |
| Renal cell carcinoma | Increased risk; screening mandatory |
| Hepatic AMLs | Less common |
Angiomyolipomas >3–4 cm → at risk for spontaneous hemorrhage (Wunderlich syndrome) → mTOR inhibitors or embolization
| Finding | Description |
|---|---|
| Lymphangioleiomyomatosis (LAM) | Diffuse bilateral thin-walled cysts throughout lung parenchyma |
| Multifocal micronodular pneumocyte hyperplasia | Bilateral nodules; can coexist with LAM |
| Finding | Notes |
|---|---|
| Cardiac rhabdomyomas | Echogenic intramural masses; highly specific for TSC when multiple; usually in ventricles |
| Obstruction / conduction defects | If atrial location |
Cardiac rhabdomyomas typically regress spontaneously after birth — do NOT require surgery unless causing obstruction or arrhythmia.
| Investigation | Organ | Priority | Frequency |
|---|---|---|---|
| MRI Brain ± gadolinium | Brain | ⭐ Highest | Every 1–3 yrs till age 25 |
| MRI Abdomen | Kidney, Liver | ⭐ High | Every 1–3 yrs (annual if lesions) |
| HRCT Chest | Lung (LAM) | Women ≥18 yrs | Every 5–10 yrs |
| Echocardiography | Heart | Children <3 yrs | Every 1–3 yrs |
| ECG | Heart | All | Every 3–5 yrs |
| X-ray hands/feet | Bone | Symptomatic | As needed |
| Dental panoramic X-ray | Teeth/jaw | Age 7 if abnormal | Every 6–12 months |