Crao

Checking Date & Time
Reading File
Finding Sources
Searching PubMed

"central retinal artery occlusion" AND management

Reading File
Reading File
Searching Images

central retinal artery occlusion fundus

Reading File
Reading File
Reading File
Reading File
Loading Image
Loading Image
Here is a comprehensive overview of Central Retinal Artery Occlusion (CRAO):

Central Retinal Artery Occlusion (CRAO)

Pathophysiology

The ophthalmic artery (first branch of the internal carotid artery) gives rise to the central retinal artery, which supplies the inner retina. Occlusion causes infarction of the inner retina → ischemic opacification and edema. The foveola is the thinnest retinal area, allowing the intact underlying choroidal circulation to remain visible — creating the pathognomonic "cherry-red spot".

Fundus Appearance

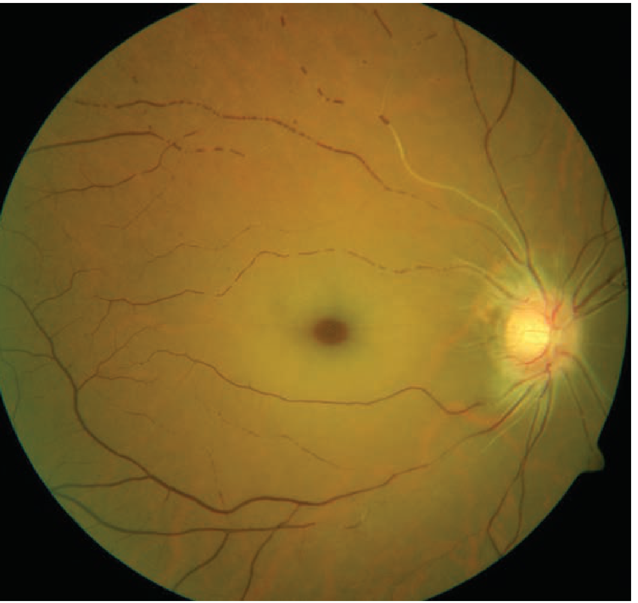
Classic CRAO (Tintinalli's Emergency Medicine):
CRAO fundus showing cherry-red spot and retinal pallor with Hollenhorst plaques
Diffuse retinal pallor with macular cherry-red spot. Note the attenuated arterioles.
CRAO vs BRAO comparison:
CRAO (left) showing generalized retinal pallor and cherry-red spot at fovea; BRAO (right) with visible embolus (blue arrow) causing localized whitening
(a) CRAO: generalized retinal pallor with cherry-red spot. (b) BRAO: localized whitening with visible embolus (blue arrow).

Symptoms

  • Sudden, profound, painless, monocular vision loss (over seconds)
  • VA is severely reduced — counting fingers to light perception in ~94% of eyes
  • Often preceded by episodes of amaurosis fugax
  • Pain suggests giant cell arteritis (GCA)
  • Absence of light perception → suspect GCA or ophthalmic artery occlusion (not just CRAO)
Kanski's Clinical Ophthalmology, p. 552; Wills Eye Manual, p. 782

Signs

FindingDetail
Cherry-red spotPathognomonic; may be subtle early
Retinal pallor/opacificationPosterior pole; may take hours to develop
Profound RAPDSometimes amaurotic pupil
Arteriolar attenuationNarrowed retinal vessels
Boxcarring / segmentationBlood column segmentation in arterioles
EmboliVisible in ~20% of cases
Peripapillary swellingOptic disc may be swollen
Cilioretinal artery sparing: Present in ~1/3 of eyes; if the fovea is supplied by a cilioretinal artery, central vision may be preserved despite CRAO.
Late changes: Retinal cloudiness and cherry-red spot disappear over days-weeks → optic atrophy, vessel sheathing, inner retinal atrophy.
Complications: ~2% develop retinal/disc neovascularization; rubeosis iridis in up to ~20% (typically at 4–5 weeks).
Kanski's Clinical Ophthalmology, pp. 551–552; Wills Eye Manual, p. 782

Etiology

CategoryExamples
EmbolismCholesterol (Hollenhorst plaques — from carotid atheromas), calcium (from cardiac valves), platelet-fibrin
ThrombosisIn situ thrombosis
GCAArteritic CRAO — always rule out
Collagen vascular diseaseSLE, polyarteritis nodosa
Hypercoagulable statesAntiphospholipid syndrome, factor V Leiden, protein C/S deficiency, polycythemia
OtherElevated IOP (glaucoma), migraine/vasospasm, trauma, sickle cell, syphilis, Behçet disease
Wills Eye Manual, pp. 783–784

Workup

Treat as an acute stroke. AAO 2018 guidelines: send immediately to an emergency department with a stroke center.
  1. ESR, CRP, platelets — rule out GCA in patients ≥55 years (if no visible embolus)
  2. Blood pressure check
  3. Labs: Fasting glucose, HbA1c, CBC with differential, PT/PTT. In patients <50 years or with atypical features: lipid panel, ANA, RF, syphilis serology (RPR/VDRL + FTA-ABS), SPEP, hypercoagulable workup
  4. Carotid duplex Doppler US
  5. Cardiac workup: ECG, echocardiography, Holter or bubble study
  6. OCT (confirms diagnosis; highly reflective embolic plaque in superficial nerve head on OCT); consider IVFA or ERG if diagnosis uncertain

Treatment

Window: Irreversible retinal damage is thought to occur after ~4–6 hours of ischemia. Treatment should ideally be within 90–120 minutes of onset.
No treatment has been proven effective in RCTs. All ocular measures are anecdotal.

Systemic / Stroke pathway

  • Immediate transfer to stroke centre
  • IV tPA within 4.5 hours of onset has some supporting evidence (multiple observational studies)
  • If GCA suspected: high-dose systemic corticosteroids immediately
  • Cardiology and neurology consultation

Ocular measures (attempted within 90–120 min, limited evidence)

MeasureRationale
Ocular massage (digital or three-mirror contact lens)Mechanical dislodgement of embolus/thrombus; alternating pressure 10–15 s × 3–5 min
Anterior chamber paracentesis (27G needle, 0.1–0.2 mL aqueous removed)Acute IOP reduction → arterial reperfusion
IOP-lowering agentsTopical timolol 0.5%, apraclonidine 1%; IV acetazolamide 500 mg
Carbogen inhalation (95% O₂ + 5% CO₂) or paper bag rebreathingVasodilation + retard ischemia; evidence very limited
Nd:YAG laser embolysisIf embolus visible; limited experience
Kanski's Clinical Ophthalmology, p. 553–554; Wills Eye Manual, p. 785; Tintinalli's Emergency Medicine, p. 1597

Differential Diagnosis of Cherry-Red Spot

ConditionKey differentiator
Ophthalmic artery occlusionNo cherry-red spot; entire retina white; worse prognosis
Commotio retinae (Berlin edema)History of blunt trauma; resolves spontaneously
Tay-Sachs / Niemann-Pick ABilateral; presents in infancy with systemic features

Follow-Up

  • Repeat eye exam 1–4 weeks post-event
  • Monitor for neovascularization of iris (NVI), disc (NVD), angle (NVA), or retina (NVE) — occurs in up to 20% at ~4 weeks
  • If neovascularization develops: panretinal photocoagulation (PRP) and/or intravitreal anti-VEGF
  • Long-term systemic cardiovascular risk factor management

Prognosis

Poor overall. In two-thirds of cases final VA is worse than 6/120 (20/400); only ~1 in 5 patients achieves VA ≥ 6/12 (20/40).
Recent evidence (PMID 41006752): A 2025 systematic review and meta-analysis confirmed that retinal artery occlusion patients carry a significantly elevated risk of concurrent and subsequent ischemic cerebrovascular disease — reinforcing the importance of the acute stroke workup.
Kanski's Clinical Ophthalmology, p. 554; Wills Eye Manual, p. 785; Tintinalli's Emergency Medicine, p. 1597

Retinitis pigmentosa for 20 marks

Checking Date & Time
Finding Sources
Reading File
Reading File
Reading File
Reading File
Searching Images

retinitis pigmentosa bone spicule fundus

Searching PubMed

"retinitis pigmentosa" AND treatment

Loading Image
Loading Image
Reading File
Reading File

Retinitis Pigmentosa (RP)


Definition

Retinitis pigmentosa (RP), or pigmented retinal degeneration, is a clinically and genetically diverse group of inherited diffuse retinal degenerative diseases that initially predominantly affect rod photoreceptors, with subsequent degeneration of cones and the retinal pigment epithelium (RPE). Despite the name, RP is not an inflammatory process.
Kanski's Clinical Ophthalmology, p. 646

Epidemiology

  • Most common hereditary retinal degeneration
  • Prevalence: 1 in 3,000 to 1 in 5,000
  • No sex predilection; affects all races
  • Onset, rate of progression, and severity are related to the mode of inheritance

Genetics & Inheritance

Inheritance PatternFrequencyKey Features
Autosomal recessive (AR)Most commonSevere, early onset (childhood/young adult); intermediate severity
Autosomal dominant (AD)Second most commonLeast severe; gradual adult onset; variable penetrance; late cataract
X-linked recessive (XLR)RarestMost severe; reduction to 6/60 or less by 5th decade; female carriers show "tapetal reflex" or salt-and-pepper fundus
Sporadic~40–50%May represent any of the above without family history (incomplete penetrance, small families, etc.)
Genetic basis: Mutations in >100 gene loci cause non-syndromic RP. Key mechanisms:
  • Phototransduction cascade — most AD cases: rhodopsin gene mutations
  • Retinoid cycleRPE65 mutations (target of gene therapy)
  • Photoreceptor structureperipherin (PRPH2) mutations
  • Connecting ciliumRPGR gene mutations (90% of X-linked cases)
Kanski's Clinical Ophthalmology, p. 646; Harrison's Principles of Internal Medicine 22e, p. 275

Pathophysiology

  1. Primary degeneration of rod photoreceptors → night blindness and peripheral field loss
  2. Secondary degeneration of cones → central vision loss (late)
  3. Degeneration of RPE → accumulation of lipofuscin, migration of RPE cells into the retina forming bone-spicule deposits around perivascular spaces
  4. Inner retina remains relatively intact initially, preserving the ERG b-wave only transiently

Clinical Features

Symptoms (in order of progression)

  1. Nyctalopia (night blindness) — often the presenting symptom; earliest manifestation of rod dysfunction
  2. Peripheral visual field loss — gradual constriction; "tunnel vision"
  3. Ring scotoma — characteristic progressive visual field defect (mid-peripheral ring that expands inward and outward)
  4. Photopsia — flickering/flashing lights
  5. Loss of central vision — late feature (unless early cataract develops)
  6. Colour vision loss — variable; later in disease

Signs — Classic Triad

Advanced RP showing classic triad: bone-spicule pigmentation (black arrow), attenuated vessels (white arrow), waxy disc pallor (red arrow)
Advanced RP: extensive bone-spicule pigmentation, severely attenuated retinal vasculature, and waxy disc pallor.
SignDescription
Bone-spicule pigmentationDark, irregular, branching intraretinal perivascular pigment deposits; initially in mid-periphery; spreads anteriorly and posteriorly
Arteriolar attenuationMarked narrowing of retinal blood vessels; "thread-like" vessels
Waxy disc pallorYellowish-waxy optic disc pallor due to secondary optic atrophy
Additional signs:
  • Vitreous cells — most consistent sign (Wills Eye)
  • Posterior subcapsular cataract (PSC) — common in all forms
  • Cystoid macular oedema (CME) — in ~15% on OCT
  • Epiretinal membrane (ERM)
  • Optic disc drusen — more frequent than in general population
  • Tessellated fundus (unmasking of choroidal vessels due to RPE atrophy)
Note: RP sine pigmento — every patient passes through this phase early; bone spicules develop after photoreceptor degeneration, so absence of pigment does not exclude diagnosis.
Kanski's Clinical Ophthalmology, pp. 646–647; Wills Eye Manual, p. 878

Natural History & Progression

Bilateral fundus comparison at age 21 (early, mild attenuation and early bone spicules) vs age 31 (advanced: waxy pallor, severe attenuation, extensive RPE atrophy)
Bilateral RP progression over 10 years — (a) age 21: mild changes; (b) age 31: waxy disc pallor, severe vessel attenuation, and widespread RPE atrophy.
  • Perimetry initially shows small mid-peripheral scotomas → coalesce into ring scotoma → tunnel vision → extinction
  • XLR: central VA reduced to ≤6/60 by the 5th decade
  • AD: best prognosis; AR: intermediate severity

Investigations

InvestigationFindings
Electroretinogram (ERG) (gold standard)Early: reduced scotopic (rod) responses. Later: reduced photopic (cone) responses. Terminal: extinguished ERG. Distinguishes RP from optic nerve disease.
Fundus Autofluorescence (FAF)Abnormal perimacular hyperautofluorescent ring (RPE lipofuscin); patchy peripheral hypo-AF. Distinguishes RP from normal in 95% of cases. FAF also shows centrifugal hyperAF lines in X-linked carrier females.
OCTMacular oedema (~15%), macular atrophy (~40%); prognostic value; detects ERM
Perimetry (visual field testing)Mid-peripheral ring scotoma → concentric constriction
Dark adaptation testingProlonged; useful in equivocal early cases
Fluorescein angiography (FA)Variable RPE window defects, CME may be seen
Genetic analysisIdentifies specific mutations; guides genetic counselling and trial eligibility
SerologyRule out infectious mimics (e.g., syphilis) where relevant
Kanski's Clinical Ophthalmology, p. 647

Differential Diagnosis — Conditions Mimicking RP

ConditionDistinguishing Feature
Syphilitic chorioretinitisSerology positive; treatable
Chloroquine / hydroxychloroquine toxicityDrug history; bull's-eye maculopathy
Thioridazine (phenothiazine) toxicityDrug history
Old rubella retinopathySalt-and-pepper fundus; history
Resolved exudative retinal detachmentHistory; demarcation line
ChoroideremiaX-linked; scalloped chorioretinal atrophy; affects males severely
Gyrate atrophyElevated plasma ornithine; AD
Kearns-Sayre syndromeSalt-and-pepper fundus; CPEO; ptosis; cardiac conduction defects

Complications

  1. Posterior subcapsular cataract (most common)
  2. Cystoid macular oedema (CME) — reversible with carbonic anhydrase inhibitors
  3. Epiretinal membrane
  4. Open-angle glaucoma (~3%)
  5. Posterior vitreous detachment
  6. Neovascularization (rare)

Associated Systemic Syndromes (Syndromic RP)

20–30% of RP cases are associated with systemic disease (usually AR or mitochondrial):
SyndromeKey Features
Usher syndrome (AR)RP + sensorineural deafness ± vestibular dysfunction. Most common cause of combined blindness+deafness. Type I (MYO7A): profound congenital deafness + severe RP; Type III: progressive hearing loss. Cochlear implant for deafness.
Bassen-Kornzweig (Abetalipoproteinemia) (AR)Failure to absorb fat-soluble vitamins (A, D, E, K) → spinocerebellar ataxia, acanthocytosis (thorny RBCs), RP-like retinopathy. Treat with vitamin supplementation + low-fat diet.
Refsum disease (AR)Phytanic acid accumulation → ichthyosis, peripheral neuropathy, cerebellar ataxia, deafness, RP. Treat with low-phytanic acid diet.
Bardet-Biedl syndrome (AR)RP/bull's-eye maculopathy + polydactyly + obesity + renal dysfunction + mental handicap. 80% have severe visual changes by age 20.
Kearns-Sayre syndrome (mitochondrial)Salt-and-pepper retinopathy + CPEO + bilateral ptosis + cardiac conduction defects. Single mitochondrial DNA deletion.
Leber congenital amaurosis (AR)Severe early-onset rod-cone dystrophy (birth–infancy); nystagmus, poor fixation, reduced/absent ERG. RPE65 mutations targetable by gene therapy (Luxturna).
Neuropathy, Ataxia, RP (NARP)Mitochondrial; peripheral neuropathy + cerebellar ataxia + RP

Management

Currently Available

InterventionIndication / Evidence
Annual ophthalmology follow-upDetect treatable complications; monitor progression
Cataract surgeryOften substantially improves vision
Carbonic anhydrase inhibitors (oral/topical acetazolamide)CME — anecdotal/limited RCT evidence
Anti-VEGF agentsAdjunct for CME
Low-vision aids & rehabilitationWhen central vision is reduced
Vitamin A palmitate (15,000 IU/day) + lutein (12 mg/day)Some evidence of slowing mid-peripheral field loss in non-smokers (avoid in pregnancy; monitor LFTs and vitamin A levels)
Smoking cessationAdvised in all patients
Genetic counsellingBased on identified mutation and inheritance pattern

Emerging / Approved Therapies

TherapyDetail
Luxturna (voretigene neparvovec)FDA-approved gene therapy for RPE65 mutation-associated RP/Leber congenital amaurosis; subretinal injection
Retinal implants (epiretinal / subretinal microchips)Used in advanced end-stage RP; some improvement in light perception
Gene therapy trialsOngoing for RPGR (X-linked), CNGB1, and other mutations
OptogeneticsResearch phase; converts surviving retinal cells into light-sensitive cells
Kanski's Clinical Ophthalmology, p. 647; Wills Eye Manual, p. 879

Prognosis

  • No cure currently; course is progressive and irreversible
  • Rate of progression highly variable depending on genetic mutation and inheritance pattern
  • AD: best prognosis (slow progression, later onset)
  • XLR: worst prognosis (most severe, rapid progression)
  • Patients often retain some useful central vision into middle age
  • Regular follow-up critical to manage complications and access emerging therapies

Summary Box — Exam Points

FeatureKey Fact
DefinitionInherited rod-cone dystrophy; rods affected first
Prevalence1:3,000–5,000; most common hereditary retinal degeneration
Classic triadBone spicules + arteriolar attenuation + waxy disc pallor
First symptomNyctalopia (night blindness)
Visual field defectRing scotoma → tunnel vision
Most sensitive testFull-field ERG
Most consistent signVitreous cells
Gene therapyLuxturna for RPE65 mutations
Most common complicationPosterior subcapsular cataract
Most common syndromeUsher syndrome (RP + deafness)
Severity orderAD (mildest) < AR < XLR (most severe)
Kanski's Clinical Ophthalmology 10e; Wills Eye Manual; Harrison's Principles 22e

Give this for 10 marks

Based on the comprehensive content already in context, here is a concise 10-mark answer on Retinitis Pigmentosa:

Retinitis Pigmentosa

Definition

RP is the most common inherited retinal degeneration (prevalence 1:3,000–5,000), characterized by progressive degeneration of rod photoreceptors first, followed by cones and RPE. It is a non-inflammatory condition despite its name.

Inheritance

PatternSeverity
Autosomal DominantMildest; late onset
Autosomal RecessiveIntermediate
X-linked RecessiveMost severe; near blindness by 5th decade
SporadicAny of the above without family history
Key genes: rhodopsin (AD), RPGR (90% of X-linked), RPE65 (target of gene therapy).

Clinical Features

Symptoms (in order of onset):
  1. Nyctalopia (night blindness) — earliest symptom; rod dysfunction
  2. Peripheral visual field loss → ring scotoma → tunnel vision
  3. Photopsia
  4. Central vision loss — late
Classic Triad on Fundoscopy:
  1. Bone-spicule pigmentation — dark, branching perivascular deposits in mid-periphery
  2. Arteriolar attenuation — thread-like narrowed vessels
  3. Waxy disc pallor — secondary optic atrophy
Other signs: Vitreous cells (most consistent), posterior subcapsular cataract (most common complication), CME, ERM.

Investigations

  • ERG (gold standard) — reduced scotopic → photopic → extinguished
  • FAF — perimacular hyperautofluorescent ring; distinguishes RP in 95%
  • OCT — detects CME (~15%), macular atrophy (~40%)
  • Perimetry — ring scotoma → concentric constriction
  • Genetic analysis — counselling and trial eligibility

Associated Syndromes

SyndromeAssociation
Usher syndromeRP + sensorineural deafness (most common)
Refsum diseaseRP + ichthyosis + ataxia + neuropathy
Bardet-BiedlRP + polydactyly + obesity + renal dysfunction
Bassen-KornzweigRP + acanthocytosis + spinocerebellar ataxia
Kearns-SayreSalt-and-pepper retinopathy + CPEO + cardiac defects

Management

  • Luxturna — FDA-approved gene therapy for RPE65 mutations
  • Vitamin A palmitate 15,000 IU/day + lutein 12 mg/day (may slow field loss)
  • Cataract surgery when indicated
  • Carbonic anhydrase inhibitors for CME
  • Low vision aids and rehabilitation
  • Annual follow-up; genetic counselling; smoking cessation

Prognosis

No cure; progressive and irreversible. AD has the best prognosis; X-linked the worst. Central vision often preserved into middle age.
This is a shared conversation. Sign in to Orris to start your own chat.