myopathies diagnosis

Reading File
Finding Sources
Finding Sources
Reading File
Reading File
Reading File
Reading File
Reading File
Loading Image
I now have all the content needed to deliver a comprehensive, well-structured answer on myopathy diagnosis.

Diagnosis of Myopathies

Myopathies are primary disorders of skeletal muscle. Diagnosis integrates clinical presentation, laboratory investigations, electrodiagnostics, and muscle biopsy — each layer narrowing the differential.

1. Clinical Approach

Key clinical features suggesting a myopathy (vs. neuropathy):
  • Proximal > distal weakness (difficulty rising from chair, climbing stairs, raising arms overhead)
  • No sensory symptoms
  • Preserved reflexes early
  • Characteristic skin lesions (dermatomyositis)
History clues:
  • Onset (acute, subacute, chronic/lifelong)
  • Family history → hereditary myopathy
  • Drug use (statins, glucocorticoids, colchicine, zidovudine, immune checkpoint inhibitors)
  • Systemic illness, connective tissue disease

2. Classification Framework

The four major subtypes of inflammatory myopathy have distinct clinical and pathological features:
DisorderAgeClinical FeaturesBiopsy
DermatomyositisJuvenile + adultProximal weakness + skin rashPerimysial/perivascular inflammation; perifascicular atrophy (pathognomonic)
PolymyositisAdult (rare in childhood)Proximal weaknessEndomysial inflammation, non-specific
Immune-mediated necrotizing myopathyAdultProximal weaknessScattered necrotic/regenerating myofibers; macrophage invasion
Inclusion body myositis (IBM)Adult >40 yearsFinger flexor + quadriceps weakness; treatment-refractoryEndomysial inflammation + invasion of non-necrotic fibers; rimmed vacuoles
— Goldman-Cecil Medicine, p. 2844

3. Laboratory Investigations

Serum Enzymes

  • Creatine kinase (CK): Most sensitive marker; elevated in most myopathies. Can be normal in dermatomyositis (even below normal in highly active disease) and in some toxic/metabolic myopathies.
  • Aldolase: May be elevated when CK is normal (especially dermatomyositis).
  • LDH, AST, ALT may also be elevated.

Autoantibodies (Myositis-Specific)

  • Anti-Jo-1 (anti-histidyl-tRNA synthetase): polymyositis/dermatomyositis; associated with interstitial lung disease and "mechanic's hands"
  • Anti-Mi-2, Anti-MDA5: dermatomyositis
  • Anti-HMGR (HMG-CoA reductase): immune-mediated necrotizing myopathy (statin-associated)
  • Anti-SRP: immune-mediated necrotizing myopathy; may be paraneoplastic
  • Anti-cN1A (NT5C1A): present in 50–70% of IBM patients; >90–95% specific for IBM among muscle diseases

Malignancy Screening

Required in dermatomyositis and anti-SRP myopathy: CBC, urinalysis, chemistries, LFTs, CXR, stool occult blood, mammogram (women), PSA (men) + age/gender-appropriate cancer screening.

4. Electrodiagnostics (EMG/NCS)

Nerve conduction studies (NCS): Normal in most primary myopathies (helps exclude neuropathy).
Needle EMG in myopathy shows:
  • Small, short-duration, polyphasic motor unit action potentials (MUAPs)
  • Early recruitment (more MUAPs for a given force)
  • Abnormal spontaneous activity (fibrillations, positive sharp waves) in inflammatory/necrotizing myopathies
In critical illness myopathy: muscles become unresponsive to direct electrical stimulation — a distinguishing feature from prolonged neuromuscular blockade.
The diagnosis of inflammatory myopathy requires exclusion of electrolyte abnormalities (hypokalemia, hypophosphatemia). An elevated CK alone does not establish a myopathic cause, since some neuropathies also raise CK. — Rosen's Emergency Medicine

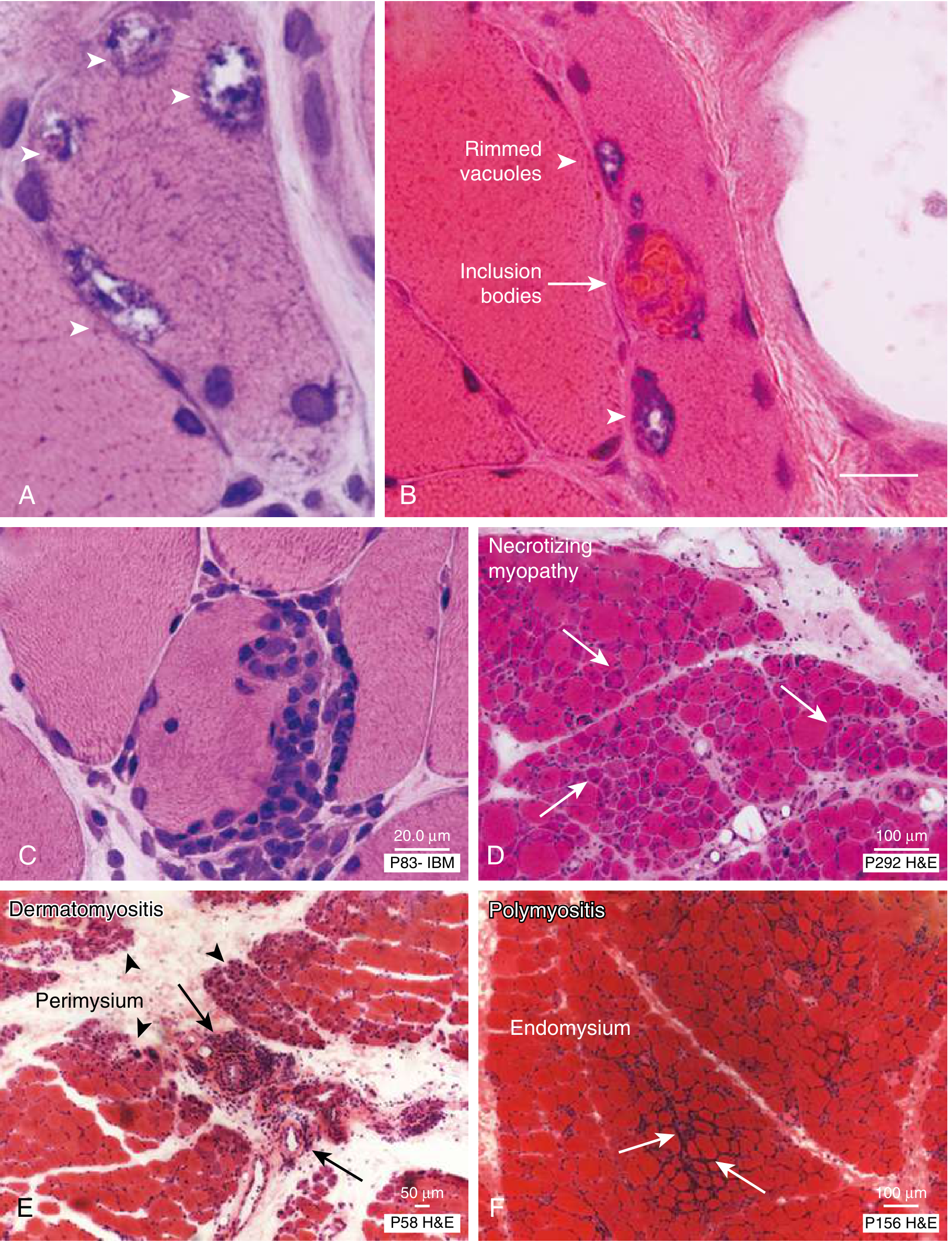
5. Muscle Biopsy — The Diagnostic Gold Standard

Histopathology of inflammatory myopathies showing rimmed vacuoles (IBM), necrotizing myopathy, perifascicular atrophy (dermatomyositis), and endomysial inflammation (polymyositis)
A–B: Rimmed vacuoles and inclusion bodies in IBM. C: Invasion of non-necrotic fiber (IBM). D: Scattered necrotic/regenerating fibers in necrotizing myopathy. E: Perimysial inflammation with perifascicular atrophy in dermatomyositis. F: Endomysial inflammation in polymyositis.
Key biopsy findings by disease:
DiseasePathognomonic/Characteristic Finding
DermatomyositisPerifascicular atrophy (pathognomonic); perimysial & perivascular inflammation
PolymyositisEndomysial inflammation; CD8+ T-cell invasion of non-necrotic fibers
IBMRimmed vacuoles; endomysial inflammation; invasion of non-necrotic fibers
Necrotizing myopathyNecrotic/regenerating fibers; macrophage infiltration; minimal lymphocytic inflammation
Toxic/metabolic myopathyVariable; type II fiber atrophy; myosin filament loss (thick-filament myopathy)
For dermatomyositis, skin biopsy showing cell-poor interface dermatitis supports the diagnosis and may avoid muscle biopsy.

6. Imaging

MRI of muscle: Increasingly used to:
  • Identify active inflammatory changes (STIR sequences — edema/inflammation)
  • Guide biopsy site selection
  • Assess disease distribution (distal vs. proximal, symmetric vs. asymmetric)

7. Diagnostic Approach by Subtype

Dermatomyositis

Diagnosis supported by:
  1. Characteristic skin findings: heliotrope rash (violaceous periorbital erythema) ± edema, Gottron papules (violaceous papules over dorsal MCP/PIP joints)
  2. Proximal weakness
  3. Elevated CK (or normal/low)
  4. Positive myositis-specific antibodies (anti-Mi-2, anti-MDA5, anti-Jo-1)
  5. Biopsy: perifascicular atrophy (pathognomonic)

Polymyositis

Core diagnostic criteria:
  1. Subacute proximal weakness
  2. Elevated serum CK
  3. Biopsy: endomysial inflammation without features of IBM or other specific diagnosis ⚠️ Diagnosis is problematic — limb-girdle muscular dystrophy and IBM are frequently misdiagnosed as polymyositis.

Inclusion Body Myositis (IBM)

Key features:
  • Age >50 years; slowly progressive (years, not months)
  • Asymmetric finger flexor and quadriceps weakness
  • ~50% of patients are initially misdiagnosed (often as polymyositis)
  • Anti-cN1A antibodies (50–70% sensitivity; >90–95% specificity)
  • Biopsy: rimmed vacuoles, endomysial inflammation, invasion of non-necrotic fibers
  • Does not respond to immunosuppression (distinguishing from polymyositis)

Immune-Mediated Necrotizing Myopathy (IMNM)

  • Acute/subacute proximal weakness + very high CK
  • Anti-HMGR antibodies (statin-associated) or anti-SRP antibodies
  • Biopsy: necrotic/regenerating fibers with macrophages but minimal lymphocytic inflammation
  • Screen for malignancy (paraneoplastic, esp. with anti-SRP)

8. Toxic & Metabolic Myopathies

Common causes requiring exclusion:
CategoryAgents
Rhabdomyolysis/chronic myopathyStatins (lovastatin, simvastatin, atorvastatin), fibrates, alcohol, cocaine, zidovudine, cyclosporine
Painful myopathy ± rhabdomyolysisColchicine, emetine, taxanes
Inflammatory myopathy (drug-induced)Hydralazine, penicillamine, procainamide, immune checkpoint inhibitors (esp. anti-PD-1), statins (HMGR-antibody)
Myalgia ± myopathyAmiodarone, aromatase inhibitors, bisphosphonates, calcium channel blockers, fluoroquinolones, beta-blockers
CK, EMG, and biopsy may all be normal in some toxic myopathies; diagnosis depends on drug history and resolution with drug withdrawal. — Bradley & Daroff's Neurology, p. 1667

Summary: Diagnostic Checklist

StepTest
1Serum CK, aldolase, LDH
2Myositis-specific antibodies panel
3Thyroid function (hypothyroid myopathy mimic)
4EMG/NCS
5MRI muscle (distribution, guide biopsy)
6Muscle biopsy (H&E, modified Gomori trichrome, ATPase, immunostaining)
7Skin biopsy (if dermatomyositis suspected)
8Malignancy screening (dermatomyositis, anti-SRP IMNM)
9Genetic testing (if hereditary myopathy suspected: dystrophinopathies, LGMD, metabolic myopathies)
— Goldman-Cecil Medicine, pp. 2843–2845 | Bradley & Daroff's Neurology | Rosen's Emergency Medicine
This is a shared conversation. Sign in to Orris to start your own chat.