Make easy assignment on leukemia (pathology) for pharmacy student

Reading File
Finding Sources
Finding Sources
Finding Sources
Finding Sources
Reading File
Reading File
I now have comprehensive content from Robbins & Kumar Basic Pathology on leukemia. Let me compile the assignment.

📚 Leukemia — Pathology Assignment for Pharmacy Students

Course: Pathology | Level: Undergraduate Pharmacy Source: Robbins & Kumar Basic Pathology

Learning Objectives

By the end of this assignment, students should be able to:
  1. Define leukemia and distinguish it from lymphoma
  2. Classify leukemia into its four major types
  3. Describe the pathogenesis, morphology, and clinical features of each type
  4. Identify key diagnostic markers and chromosomal abnormalities
  5. Relate pathophysiology to pharmacological treatment strategies

Part 1: Introduction & Classification

Leukemia is a malignant neoplasm of hematopoietic progenitor cells that accumulate primarily in the bone marrow and peripheral blood, as opposed to lymphomas, which predominantly involve lymph nodes.

Classification Overview

TypeCell of OriginCourse
AML (Acute Myeloid Leukemia)Myeloid progenitorAggressive / Acute
ALL (Acute Lymphoblastic Leukemia)Lymphoid progenitorAggressive / Acute
CML (Chronic Myeloid Leukemia)Hematopoietic stem cellIndolent / Chronic
CLL (Chronic Lymphocytic Leukemia)Mature B cellIndolent / Chronic
Key concept: Acute leukemias = accumulation of immature blasts (arrested differentiation). Chronic leukemias = accumulation of mature but abnormal cells with uncontrolled proliferation.

Part 2: Acute Myeloid Leukemia (AML)

Pathogenesis

AML arises from mutations in genes regulating myeloid progenitor differentiation. Key mutations include:
  • FLT3 (tyrosine kinase) — most common; activating mutations drive proliferation
  • NPM1, CEBPA — associated with better prognosis
  • t(15;17) translocation → PML-RARα fusion gene → causes Acute Promyelocytic Leukemia (APL, AML-M3)
    • The fusion protein blocks granulocyte differentiation by aberrantly repressing retinoic acid target genes

Morphology

  • Bone marrow replaced by myeloblasts (>20% blasts required for diagnosis)
  • Blasts often contain Auer rods — needle-like cytoplasmic inclusions (pathognomonic for AML)
  • Peripheral blood shows anemia, thrombocytopenia, variable WBC

Clinical Features

  • Symptoms of bone marrow failure: fatigue (anemia), infections (neutropenia), bleeding (thrombocytopenia)
  • Hepatosplenomegaly
  • Without treatment: rapidly fatal (weeks to months)

Pharmacy Relevance

DrugMechanismUse
Cytarabine (ara-C)Antimetabolite (pyrimidine analog)Standard AML induction
DaunorubicinAnthracycline / DNA intercalatorAML induction ("7+3" regimen)
All-trans retinoic acid (ATRA)Differentiating agent; overcomes PML-RARα blockAPL (AML-M3) — landmark therapy
MidostaurinFLT3 inhibitorFLT3-mutated AML
VenetoclaxBCL-2 inhibitorElderly/unfit AML patients

Part 3: Acute Lymphoblastic Leukemia (ALL)

Pathogenesis

ALL arises from mutations in B-cell or T-cell progenitors. It is the most common cancer in children.
  • B-ALL (~85%): often associated with translocations
    • t(12;21) → TEL-AML1 — good prognosis (most common childhood ALL)
    • t(9;22) → BCR-ABL (Philadelphia chromosome) — poor prognosis; ~25% of adult ALL
  • T-ALL (~15%): associated with NOTCH1 mutations; mediastinal mass common in adolescent males

Morphology

  • Bone marrow and blood packed with lymphoblasts
  • Lymphoblasts: small to medium cells, scant cytoplasm, condensed chromatin
  • No Auer rods (distinguishes from AML)

Clinical Features

  • Abrupt onset: fever, pallor, bleeding, bone pain (due to marrow expansion)
  • CNS involvement common → headache, cranial nerve palsies (requires CNS prophylaxis)
  • Lymphadenopathy, splenomegaly

Pharmacy Relevance

DrugUse/Notes
Vincristine, L-asparaginase, prednisone, doxorubicinMulti-drug induction
Methotrexate (intrathecal)CNS prophylaxis
Imatinib / DasatinibBCR-ABL+ ALL (Ph+ ALL)
BlinatumomabBiTE antibody (CD3×CD19); for relapsed B-ALL

Part 4: Chronic Myeloid Leukemia (CML)

Pathogenesis

CML is defined by the Philadelphia chromosome — a balanced translocation t(9;22) creating the BCR-ABL fusion gene.
  • BCR-ABL encodes a constitutively active tyrosine kinase
  • It activates RAS and other proliferative pathways
  • Normal myeloid progenitors require growth factors; CML progenitors are growth factor–independent
  • Differentiation is preserved early → excessive but relatively normal-looking granulocytes
The discovery of BCR-ABL in CML is one of the most important milestones in oncology, as it led directly to the development of imatinib (Gleevec) — the prototype targeted cancer therapy.

Morphology

  • WBC often >100,000 cells/µL
  • Peripheral blood: neutrophils, immature granulocytes, basophilia and eosinophilia, elevated platelets
  • Bone marrow: hypercellular with granulocytic and megakaryocytic hyperplasia
  • Massive splenomegaly (extramedullary hematopoiesis → splenic infarcts)
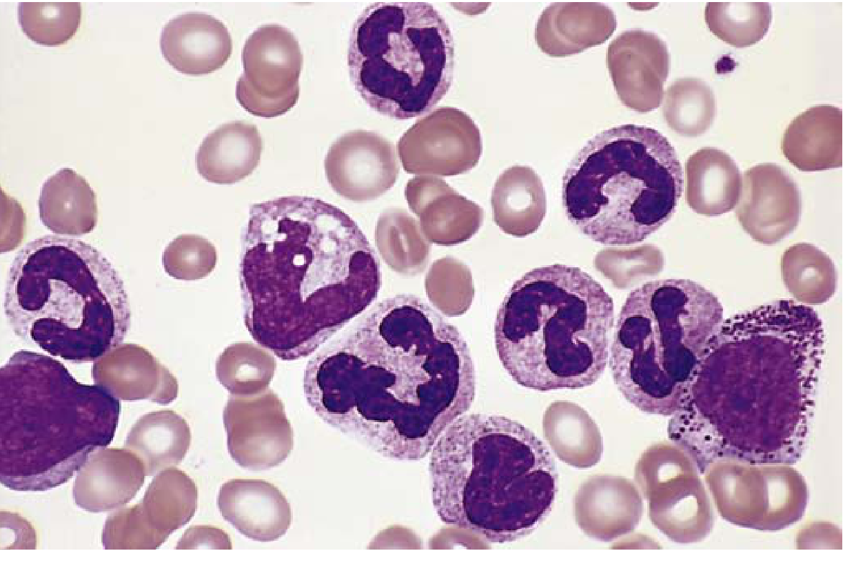
CML peripheral blood smear showing granulocytic forms at various stages of differentiation
CML — peripheral blood smear showing granulocytic forms at various stages of differentiation (Robbins & Kumar Basic Pathology)

Disease Phases

PhaseBlasts in Blood/MarrowFeatures
Chronic<10%Mild symptoms, responds to therapy
Accelerated10–19%Worsening disease
Blast crisis≥20%Mimics acute leukemia; poor prognosis

Clinical Features

  • Insidious onset: fatigue, weight loss, night sweats
  • Dragging sensation in left upper abdomen (splenomegaly)
  • Labs: markedly elevated WBC with left shift, low leukocyte alkaline phosphatase (LAP) score

Pharmacy Relevance

DrugMechanismNotes
Imatinib (Gleevec)BCR-ABL tyrosine kinase inhibitor (1st gen)Revolutionized CML treatment; oral, once daily
Dasatinib, Nilotinib2nd gen TKIsMore potent; used in resistant/intolerant cases
Ponatinib3rd gen TKIFor T315I mutation ("gatekeeper" resistance)
Busulfan, HydroxyureaCytoreductive agentsOlder therapies; still used in some settings

Part 5: Chronic Lymphocytic Leukemia (CLL)

Pathogenesis

  • Neoplastic proliferation of mature but immunologically incompetent B cells
  • Cells accumulate in blood, marrow, lymph nodes, and spleen
  • Associated with deletions of 13q14, 11q, 17p (TP53), and trisomy 12
  • 17p deletion (TP53 loss) → poor prognosis, resistance to chemotherapy

Morphology

  • Blood and marrow: flood of small mature lymphocytes
  • Characteristic "smudge cells" on peripheral smear (fragile lymphocytes ruptured during slide preparation)
  • Lymph nodes: diffuse effacement by small round lymphocytes

Clinical Features

  • Often asymptomatic, discovered incidentally on CBC
  • Hypogammaglobulinemia → recurrent bacterial infections
  • Autoimmune hemolytic anemia (AIHA) and thrombocytopenia in some
  • Richter transformation: ~5% transform to aggressive diffuse large B-cell lymphoma

Staging (Rai System — simplified)

StageFeaturesRisk
0Lymphocytosis onlyLow
I–II+ lymphadenopathy / organomegalyIntermediate
III–IV+ Anemia / thrombocytopeniaHigh

Pharmacy Relevance

DrugMechanismNotes
IbrutinibBTK inhibitor1st-line; oral targeted therapy
VenetoclaxBCL-2 inhibitorOvercomes anti-apoptotic survival signal
Obinutuzumab / RituximabAnti-CD20 monoclonal antibodyUsed in combination regimens
Fludarabine + CyclophosphamideChemotherapyOlder FCR regimen for fit patients

Part 6: Summary Comparison Table

FeatureAMLALLCMLCLL
Peak ageAny (>50 common)Children (2–10 yr)25–60 yr>60 yr
Cell typeMyeloblastLymphoblastMyeloid (mature)B lymphocyte (mature)
Key markerAuer rodsTdT+, CD10+BCR-ABL, Ph chromosomeCD5+, CD23+, smudge cells
ChromosomeVariablet(12;21), t(9;22)t(9;22)13q del, 17p del
Key drugCytarabine + anthracyclineMulti-agent + TKI (if Ph+)ImatinibIbrutinib / Venetoclax
Prognosis (untreated)WeeksWeeksYearsYears

Part 7: Practice Questions

Q1. A 4-year-old child presents with pallor, bone pain, and lymphadenopathy. Bone marrow biopsy shows >90% lymphoblasts, TdT+, CD10+. What is the most likely diagnosis and first-line treatment approach?
Q2. A 55-year-old presents with fatigue and a WBC of 120,000/µL. Peripheral smear shows granulocytes at all stages of maturation with basophilia. Cytogenetics reveals t(9;22). Name the fusion gene involved and the drug of choice.
Q3. A patient with APL (AML-M3) is started on ATRA. Explain the mechanism of action at the molecular level.
Q4. Compare the peripheral blood findings in CML vs. CLL. What pathognomonic finding is seen in each?
Q5. A 70-year-old CLL patient develops worsening anemia and a rapidly enlarging lymph node mass. Biopsy shows large B cells. What has occurred, and what is this phenomenon called?

Key Terms Glossary

TermDefinition
BlastImmature, undifferentiated hematopoietic precursor cell
Auer rodRed needle-like cytoplasmic inclusion; pathognomonic of AML
Philadelphia chromosomet(9;22); creates BCR-ABL; found in CML and Ph+ ALL
TdTTerminal deoxynucleotidyl transferase; marker of immature lymphoblasts
Smudge cellFragile CLL lymphocyte ruptured on peripheral smear
Blast crisisTerminal phase of CML with ≥20% blasts; behaves like acute leukemia
Tyrosine kinase inhibitor (TKI)Drug that blocks aberrant kinase activity (e.g., imatinib blocks BCR-ABL)
BTK inhibitorBlocks B-cell receptor signaling; used in CLL (e.g., ibrutinib)

Source: Robbins & Kumar Basic Pathology — Chapter 10: Hematopoietic and Lymphoid Systems

Make assignment on leukemia pathology for pharmacy student

Asking for Preferences
Reading File
Finding Sources
Reading File
Reading File
Reading File
Finding Sources
Reading File
I now have all the core content needed from Robbins & Kumar. I have rich information on CML, and from the truncated outputs I also received detailed content on ALL, AML, and CLL. Let me now compile the full intermediate-level assignment with notes + questions + answers.

🩸 Leukemia — Pathology Assignment

For Pharmacy Students | Intermediate Level

Course: Pathology for Pharmacy | Format: Study Notes + Questions + Model Answers Reference: Robbins & Kumar Basic Pathology; Goldman-Cecil Medicine

SECTION A: STUDY NOTES


1. Introduction

Leukemia is a malignant clonal proliferation of hematopoietic precursor cells that primarily involves the bone marrow and peripheral blood. Unlike lymphomas, which predominantly form solid tumor masses in lymph nodes, leukemic cells flood the bloodstream and infiltrate the marrow, displacing normal hematopoiesis.
The hallmark consequence of marrow failure is the clinical triad:
  • Anemia → fatigue, pallor
  • Thrombocytopenia → bleeding, petechiae
  • Neutropenia/leukopenia → recurrent infections

2. Classification

Leukemias are classified by:
  1. Lineage — Myeloid vs. Lymphoid
  2. Clinical course — Acute (immature blasts, rapid) vs. Chronic (mature cells, indolent)
TypeAbbreviationCell OriginCourse
Acute Myeloid LeukemiaAMLMyeloid blastAcute — weeks
Acute Lymphoblastic LeukemiaALLLymphoid blastAcute — weeks
Chronic Myeloid LeukemiaCMLHematopoietic stem cellChronic — years
Chronic Lymphocytic LeukemiaCLLMature B lymphocyteChronic — years
Acute leukemias = differentiation is arrested → immature blasts accumulate Chronic leukemias = differentiation is preserved → mature but abnormal cells accumulate

3. Acute Myeloid Leukemia (AML)

Epidemiology

  • Most common acute leukemia in adults (median age ~65)
  • ~10,000 new cases/year in the US

Pathogenesis

AML results from acquired mutations that:
  1. Block myeloid differentiation (class II mutations, e.g., PML-RARα, CEBPA mutations)
  2. Drive uncontrolled proliferation (class I mutations, e.g., FLT3, RAS activating mutations)
Key molecular subtypes:
Mutation/TranslocationSubtypeClinical Significance
t(15;17) → PML-RARαAPL (AML-M3)Responds to ATRA + arsenic; DIC risk
FLT3-ITDPoor prognosis; targetable with midostaurin
NPM1 mutationGood prognosis
t(8;21), inv(16)Core-binding factor AMLGood prognosis
APL note for pharmacy students: The PML-RARα fusion protein blocks retinoic acid receptor signaling and prevents granulocyte differentiation. All-trans retinoic acid (ATRA) overcomes this block and drives terminal differentiation of blasts — a landmark example of differentiation therapy.

Morphology

  • Bone marrow: >20% blasts (WHO diagnostic threshold)
  • Peripheral smear: myeloblasts with large nuclei, prominent nucleoli
  • Pathognomonic: Auer rods — red needle-like cytoplasmic granules in blasts; seen only in AML (not ALL)
  • Extramedullary: hepatosplenomegaly; gingival hyperplasia (especially monocytic AML)

Clinical Features

  • Sudden onset: fever, fatigue, bleeding, bone pain
  • DIC is a serious complication, especially in APL — due to procoagulant release from granules
  • CNS involvement less common than ALL

Treatment (Pharmacy Focus)

DrugClassMechanismUse
Cytarabine (Ara-C)AntimetaboliteInhibits DNA polymerase (pyrimidine analog)Backbone of AML induction
Daunorubicin / IdarubicinAnthracyclineDNA intercalation + topoisomerase II inhibition"7+3" induction regimen
ATRA (tretinoin)RetinoidDifferentiating agent; overcomes PML-RARα blockAPL (AML-M3)
Arsenic trioxide (ATO)Promotes APL blast apoptosis/differentiationAPL (with ATRA)
MidostaurinFLT3 inhibitorBlocks constitutive FLT3 kinase activityFLT3-mutated AML
VenetoclaxBCL-2 inhibitorRestores apoptosis in leukemic cellsElderly/unfit AML

4. Acute Lymphoblastic Leukemia (ALL)

Epidemiology

  • Most common cancer in children (peak age 2–10 years)
  • B-ALL: ~85% of cases; T-ALL: ~15%
  • In adults: Ph-chromosome positive ALL is more common and has worse prognosis

Pathogenesis

ALL arises from mutations in B- or T-lymphoid progenitors, leading to arrested maturation and uncontrolled proliferation.
Key chromosomal abnormalities:
TranslocationFusion GenePrognosisNotes
t(12;21)TEL-AML1 (ETV6-RUNX1)ExcellentMost common childhood ALL
t(9;22)BCR-ABL (Ph chromosome)Poor~25% adult ALL; requires TKI therapy
t(1;19)E2A-PBX1Intermediate
t(4;11)MLL-AF4Very poorInfant ALL

Morphology

  • Bone marrow: >20% lymphoblasts
  • Lymphoblasts: small-to-medium, scant cytoplasm, condensed chromatin
  • No Auer rods (distinguishes from AML)
  • Immunophenotyping: TdT+ (terminal deoxynucleotidyl transferase — marker of lymphoblasts), CD10+ (B-ALL)

Clinical Features

  • Rapid onset: fever, pallor, bone pain, lymphadenopathy, hepatosplenomegaly
  • CNS involvement in ~5% at presentation → headache, vomiting, cranial nerve palsies
  • Mediastinal mass: T-ALL in adolescent males (thymic involvement)
  • Testicular infiltration in boys

Treatment (Pharmacy Focus)

DrugRole
VincristineVinca alkaloid; disrupts microtubule formation; part of induction
L-AsparaginaseDepletes asparagine (ALL cells cannot synthesize it); unique to ALL
Prednisone/DexamethasoneLymphocytolytic corticosteroid; part of induction
Methotrexate (intrathecal)CNS prophylaxis and treatment
Imatinib / DasatinibBCR-ABL TKIs; added to all Ph+ ALL regimens
BlinatumomabBiTE antibody (anti-CD3 × anti-CD19); redirects T-cells to kill B-blasts

5. Chronic Myeloid Leukemia (CML)

Epidemiology

  • Peak incidence: 25–60 years; ~4,500 new cases/year in the US

Pathogenesis — The Philadelphia Chromosome

CML is defined by the t(9;22) translocation — the Philadelphia (Ph) chromosome:
Chromosome 9: ABL gene  ──┐
                           ├──► BCR-ABL fusion gene on Chr 22
Chromosome 22: BCR gene ──┘
  • BCR-ABL encodes a constitutively active tyrosine kinase
  • Activates downstream RAS, PI3K/AKT, and STAT5 pathways
  • Reduces growth factor dependence → uncontrolled granulocyte proliferation
  • Differentiation is preserved early → relatively mature-looking cells (unlike AML)
This was the first cancer linked to a specific chromosomal abnormality (Nowell & Hungerford, 1960) and the first to be cured with targeted molecular therapy (imatinib).

Morphology

  • WBC often >100,000 cells/µL (markedly elevated)
  • Peripheral smear: granulocytes at all stages of maturation — neutrophils, bands, metamyelocytes, myelocytes + basophilia + eosinophilia
  • Elevated platelets (thrombocytosis) early
  • Bone marrow: hypercellular, granulocytic and megakaryocytic hyperplasia
  • Massive splenomegaly (extramedullary hematopoiesis → risk of splenic infarcts)
CML — peripheral blood smear showing granulocytic forms at various stages of differentiation
Fig. 10.16 — CML peripheral blood smear. Note granulocytes at various maturation stages. (Robbins & Kumar Basic Pathology)

Disease Phases

PhaseBlasts in Blood/MarrowFeatures
Chronic< 10%Asymptomatic or mild symptoms; responds to TKIs
Accelerated10–19%Worsening disease, resistance emerging
Blast crisis≥ 20%Mimics acute leukemia; myeloid (70%) or lymphoid (30%); poor prognosis

Clinical Features

  • Onset insidious: fatigue, weight loss, night sweats, left upper quadrant fullness (splenomegaly)
  • Low leukocyte alkaline phosphatase (LAP) score — key lab finding distinguishing CML from leukemoid reaction (where LAP is high)
  • Philadelphia chromosome on cytogenetics (FISH or PCR for BCR-ABL) is diagnostic

Treatment (Pharmacy Focus)

DrugGenerationNotes
Imatinib (Gleevec)1st-gen TKIBinds BCR-ABL ATP-binding site; oral; transformed CML management
Dasatinib, Nilotinib2nd-gen TKIMore potent; used in resistance or intolerance to imatinib
Bosutinib2nd-gen TKIAlternative 2nd-line
Ponatinib3rd-gen TKIOvercomes T315I "gatekeeper" resistance mutation
HydroxyureaCytoreductiveUsed for rapid WBC reduction; not curative

6. Chronic Lymphocytic Leukemia (CLL)

Epidemiology

  • Most common leukemia in the Western world
  • Predominantly affects the elderly (median age ~65); rare before 50
  • Male predominance (2:1)

Pathogenesis

CLL is a neoplasm of mature but functionally incompetent B cells (CD5+/CD23+).
Key genetic abnormalities:
AbnormalityFrequencyPrognosis
del(13q14)~55%Good (if sole abnormality)
Trisomy 12~15%Intermediate
del(11q)~15%Poor (ATM gene loss)
del(17p) / TP53 loss~7–10%Very poor; resistant to chemotherapy
  • CLL cells are anti-apoptotic (overexpress BCL-2), which explains their accumulation
  • Immunologically defective → hypogammaglobulinemia → recurrent bacterial infections

Morphology

  • Peripheral blood: massive accumulation of small, mature-looking lymphocytes
  • Pathognomonic: "Smudge cells" (Gumprecht shadows) — fragile CLL lymphocytes that rupture during slide preparation
  • Lymph nodes: diffuse effacement by small round lymphocytes
  • Bone marrow infiltration: interstitial or nodular pattern

Staging (Rai System)

StageFeaturesRisk
0Lymphocytosis onlyLow
I+ LymphadenopathyIntermediate
II+ Hepato/splenomegalyIntermediate
III+ AnemiaHigh
IV+ ThrombocytopeniaHigh

Clinical Features

  • Often asymptomatic at diagnosis (incidental CBC finding)
  • Recurrent infections (especially encapsulated bacteria — Streptococcus pneumoniae)
  • Autoimmune hemolytic anemia (AIHA) and immune thrombocytopenia (ITP) in some patients
  • Richter transformation (~5%): transformation to aggressive diffuse large B-cell lymphoma — sudden worsening, rapidly enlarging nodes, systemic symptoms

Treatment (Pharmacy Focus)

DrugClassMechanismNotes
IbrutinibBTK inhibitorBlocks B-cell receptor signaling → promotes apoptosisOral; 1st-line standard of care
VenetoclaxBCL-2 inhibitorRestores apoptosis in BCL-2–overexpressing CLL cellsOften combined with obinutuzumab
Obinutuzumab / RituximabAnti-CD20 mAbADCC + complement-mediated lysis of B cellsUsed in combination
Fludarabine + Cyclophosphamide + Rituximab (FCR)ChemoimmunotherapyAlkylation + purine analog + anti-CD20Older regimen; avoided in del(17p)/TP53

7. Master Comparison Table

FeatureAMLALLCMLCLL
Peak ageAdults (>50)Children (2–10 yr)25–60 yr>60 yr
Cell of originMyeloid blastLymphoid blastMyeloid stem cellMature B cell
Key genetic markerVariable (FLT3, NPM1; t(15;17) in APL)t(12;21) children; t(9;22) adultst(9;22) BCR-ABLdel(13q), del(17p), TP53
Hallmark morphologyAuer rodsTdT+; no Auer rodsWBC >100K, all-stage granulocytes, basophiliaSmudge cells
SplenomegalyMildMildMassiveModerate
CNS involvementLess commonCommonRareRare
Key drug(s)Cytarabine + anthracycline; ATRA (APL)Vincristine, L-asparaginase, TKIs (Ph+)ImatinibIbrutinib, Venetoclax
Prognosis (untreated)WeeksWeeksYearsYears

SECTION B: QUESTIONS

Part I — Multiple Choice Questions (MCQs)

Q1. A 7-year-old presents with fever, bone pain, and lymphadenopathy. Bone marrow biopsy reveals >90% lymphoblasts that are TdT-positive and CD10-positive. Which translocation is most likely associated with this presentation and carries the best prognosis?
  • A) t(9;22) — BCR-ABL
  • B) t(15;17) — PML-RARα
  • C) t(12;21) — TEL-AML1
  • D) t(4;11) — MLL-AF4

Q2. A 45-year-old man has a WBC of 130,000/µL on routine labs. Peripheral smear shows granulocytes at all stages of maturation, prominent basophilia, and elevated platelets. The leukocyte alkaline phosphatase score is low. Which gene fusion is diagnostic of this condition?
  • A) PML-RARα
  • B) BCR-ABL
  • C) TEL-AML1
  • D) MLL-AF4

Q3. A patient with APL (AML-M3) is started on All-Trans Retinoic Acid (ATRA). What is the cellular mechanism of ATRA's therapeutic effect?
  • A) Inhibits tyrosine kinase activity of BCR-ABL
  • B) Induces DNA alkylation in leukemic blasts
  • C) Overcomes differentiation block by displacing co-repressors from PML-RARα
  • D) Depletes asparagine availability to leukemic blasts

Q4. Which morphological finding on peripheral blood smear is pathognomonic for AML and would NOT be seen in ALL?
  • A) Smudge cells
  • B) Auer rods
  • C) Hypersegmented neutrophils
  • D) Target cells

Q5. An elderly woman with CLL develops sudden onset of rapidly enlarging cervical lymphadenopathy, fever, and weight loss. LDH is markedly elevated. What complication has most likely occurred?
  • A) Transformation to AML
  • B) Autoimmune hemolytic anemia
  • C) Richter transformation to diffuse large B-cell lymphoma
  • D) Splenic infarction

Q6. A CML patient on imatinib develops resistance. Molecular testing reveals a T315I mutation in BCR-ABL. Which drug would be appropriate?
  • A) Dasatinib
  • B) Nilotinib
  • C) Ponatinib
  • D) Bosutinib

Q7. Which of the following best explains why CLL cells accumulate in large numbers despite being mature, non-dividing cells?
  • A) Rapid cell division driven by BCR-ABL kinase
  • B) Overexpression of BCL-2 → resistance to apoptosis
  • C) FLT3 mutation causing growth factor independence
  • D) Loss of TP53 causing uncontrolled proliferation

Q8. L-Asparaginase is a unique drug used specifically in ALL treatment. Its mechanism is:
  • A) Inhibiting topoisomerase II in lymphoblasts
  • B) Depleting serum asparagine, which ALL cells cannot synthesize independently
  • C) Binding to CD20 on B-lymphoblasts
  • D) Blocking folate metabolism in dividing lymphoblasts

Part II — Short Answer Questions (SAQs)

Q9. Explain the significance of the Philadelphia chromosome in two different leukemias. How does its presence affect treatment?
Q10. Compare and contrast the peripheral blood findings of CML and CLL, including any pathognomonic findings for each.
Q11. A pharmacy student reads that venetoclax is used in both AML and CLL. Explain the common molecular rationale for using a BCL-2 inhibitor in both diseases.
Q12. What is the "7+3" induction regimen for AML? Name the drugs and their mechanisms of action.

SECTION C: MODEL ANSWERS

MCQ Answers

QAnswerRationale
1Ct(12;21)/TEL-AML1 is the most common childhood ALL translocation and carries excellent prognosis (~90% cure rate)
2BBCR-ABL from t(9;22) defines CML. Low LAP score is a hallmark distinguishing CML from reactive leukocytosis
3CPML-RARα acts as a dominant repressor. ATRA binds RARα, displaces co-repressor complexes, and restores normal transcription needed for granulocyte differentiation
4BAuer rods are crystallized azurophilic granules seen only in AML myeloblasts — never in ALL
5CRichter transformation = CLL → aggressive DLBCL; marked by sudden lymph node enlargement, B symptoms, high LDH
6CT315I is the "gatekeeper" resistance mutation; it blocks binding of all 1st and 2nd generation TKIs except ponatinib (3rd gen)
7BCLL cells overexpress BCL-2 (an anti-apoptotic protein), preventing programmed cell death → accumulation of long-lived cells
8BNormal cells synthesize asparagine; ALL cells lack asparagine synthetase and depend on serum supply. L-Asparaginase depletes serum asparagine, starving leukemic blasts

SAQ Model Answers

Q9 — Philadelphia Chromosome in CML vs. ALL
The Philadelphia chromosome is a balanced translocation t(9;22) resulting in the BCR-ABL fusion gene, which encodes a constitutively active tyrosine kinase. It is the defining genetic lesion of CML (present in ~95% of cases) and is also found in ~25% of adult ALL (Ph+ ALL).
In CML: BCR-ABL (p210 isoform) drives myeloid stem cell proliferation with preserved differentiation. Treatment with imatinib (a BCR-ABL TKI) has transformed CML from a fatal disease to a manageable chronic condition; most patients achieve molecular remission and near-normal life expectancy.
In Ph+ ALL: BCR-ABL (p190 isoform, more common) drives lymphoblast proliferation with arrested differentiation. Presence of Ph chromosome in ALL historically indicated very poor prognosis, but adding TKIs (dasatinib or imatinib) to chemotherapy significantly improves outcomes.

Q10 — Peripheral Blood: CML vs. CLL
FeatureCMLCLL
WBCVery high (often >100,000/µL)Elevated (mature lymphocytes)
Cell typeGranulocytes at all maturation stagesSmall mature lymphocytes
BasophiliaProminent — characteristic findingAbsent
ThrombocytosisCommon earlyThrombocytopenia late
Pathognomonic findingAll-stage granulocytes + basophilia; low LAP scoreSmudge cells (ruptured fragile lymphocytes)
In CML, differentiation is preserved so the blood looks like a "bone marrow in the blood." In CLL, the cells are morphologically mature but functionally incompetent.

Q11 — Venetoclax in AML and CLL: Common Molecular Rationale
BCL-2 is an anti-apoptotic protein located on the mitochondrial outer membrane. It sequesters pro-apoptotic proteins (BAX, BAK), preventing release of cytochrome c and caspase activation.
  • In CLL: CLL cells constitutively overexpress BCL-2 as a survival mechanism — this is why they accumulate (they don't die). Venetoclax displaces pro-apoptotic proteins from BCL-2, restoring apoptosis.
  • In AML: AML blasts (especially in elderly patients with lower-intensity mutations) also rely heavily on BCL-2 for survival, particularly in the setting of low oxidative phosphorylation dependency.
Thus, venetoclax exploits the BCL-2 dependency shared by both CLL and certain AML subtypes, and is a prime example of rational, mechanism-based pharmacology — targeting a shared survival pathway rather than the leukemia-specific driver mutation.

Q12 — "7+3" Induction Regimen for AML
The standard induction for AML:
  • Cytarabine (Ara-C) × 7 days by continuous IV infusion
    • Mechanism: Pyrimidine analog; incorporated into DNA → inhibits DNA polymerase → chain termination; S-phase specific
  • Daunorubicin (or Idarubicin) × 3 days IV bolus
    • Mechanism: Anthracycline; intercalates DNA → inhibits topoisomerase II → double-strand breaks; also generates free radicals
This "7+3" combination achieves complete remission in ~60–80% of younger patients. The goal is to eliminate the bulk leukemic burden and allow normal marrow recovery, followed by consolidation therapy.

Glossary of Key Terms

TermDefinition
BlastImmature, undifferentiated hematopoietic cell; >20% in marrow = acute leukemia
Auer rodPathognomonic needle-like cytoplasmic inclusion in AML myeloblasts
Philadelphia chromosomet(9;22); creates BCR-ABL fusion gene; in CML and Ph+ ALL
TdTTerminal deoxynucleotidyl transferase; nuclear enzyme marking immature lymphoblasts
Smudge cellFragile CLL lymphocyte ruptured during peripheral smear preparation
Blast crisisCML terminal phase (≥20% blasts); behaves like acute leukemia
TKITyrosine kinase inhibitor (e.g., imatinib); blocks aberrant kinase signals
BCL-2Anti-apoptotic protein; overexpressed in CLL; targeted by venetoclax
BTKBruton's tyrosine kinase; mediates B-cell receptor survival signals; inhibited by ibrutinib
Richter transformationCLL → aggressive DLBCL; poor prognosis
LAP scoreLeukocyte alkaline phosphatase; low in CML, high in leukemoid reaction
ATRAAll-trans retinoic acid; differentiation therapy for APL (AML-M3)

References: Robbins & Kumar Basic Pathology (10th ed.), Chapter 10; Goldman-Cecil Medicine (27th ed.), Chapter 168.
This is a shared conversation. Sign in to Orris to start your own chat.