Hey Ares, which kind of textbooks do you have? And also tell me like if there's a patient with lung cirrhosis, then what can be the differential diagnosis for it? And what are the 11 books that you will be referring to? And give me a very good answer from very good reference books. And also try to give me some images from that book so that it is easier for me to prepare for my exams.
liver cirrhosis histology pathology
cirrhosis causes etiology diagram alcoholic hepatitis viral
| Speciality | Notable Books |
|---|---|
| Anatomy | Gray's Anatomy for Students, Netter's Atlas, Color Atlas of Human Anatomy (Vol 1β3), THIEME Atlas |
| Anesthesiology | Miller's Anesthesia 10e, Barash's Clinical Anesthesia 9e, Morgan & Mikhail 7e |
| Biochemistry | Harper's Illustrated Biochemistry 32e, Lippincott Biochemistry 8e, Basic Medical Biochemistry 6e |
| Cardiology | Braunwald's Heart Disease, Fuster & Hurst's The Heart 15e, Clinical Echocardiography |
| Dermatology | Andrews' Diseases of the Skin, Dermatology 2-Vol Set 5e, Fitzpatrick's Dermatology |
| Emergency Medicine | Rosen's Emergency Medicine, Tintinalli's Emergency Medicine, Roberts & Hedges' Clinical Procedures |
| ENT | Cummings Otolaryngology, K.J. Lee's Essential Otolaryngology |
| Family Medicine | Textbook of Family Medicine 9e, Swanson's Family Medicine Review |
| Gastroenterology | Sleisenger & Fordtran's GI & Liver Disease, Yamada's Textbook of Gastroenterology 7e, Clinical GI Endoscopy |
| General Surgery | Schwartz's Principles of Surgery 11e, Sabiston Textbook of Surgery, Mulholland & Greenfield's Surgery |
| Genetics | Thompson & Thompson Genetics 9e, Emery's Medical Genetics |
| Histology | Junqueira's Basic Histology 17e, Ross Histology: Text and Atlas |
| Immunology | Cellular & Molecular Immunology, Janeway's Immunobiology 10e, Roitt's Essential Immunology |
| Internal Medicine | Harrison's Principles of Internal Medicine 22e, Goldman-Cecil Medicine, Washington Manual |
| Laboratory Medicine | Henry's Clinical Diagnosis, Tietz Textbook of Laboratory Medicine 7e |
| Microbiology | Jawetz Medical Microbiology 28e, Medical Microbiology 9e, Sherris & Ryan's |
| Nephrology | Brenner & Rector's The Kidney, Comprehensive Clinical Nephrology 7e |
| Neurology | Adams & Victor's Principles of Neurology 12e, Bradley & Daroff's Neurology |
| Oncology | DeVita, Hellman & Rosenberg's Cancer |
| Pathology | Robbins & Cotran Pathologic Basis of Disease, Rosai & Ackerman's Surgical Pathology |
| Pharmacology | Katzung's Basic & Clinical Pharmacology 16e, Goodman & Gilman's |
| Pulmonology | Murray & Nadel's Textbook of Respiratory Medicine |
| Radiology | Grainger & Allison's Diagnostic Radiology |
| Urology | Smith & Tanagho's General Urology |
| + many more | Obstetrics, Ophthalmology, Orthopedics, Pediatrics, Psychiatry, Rheumatology, etc. |
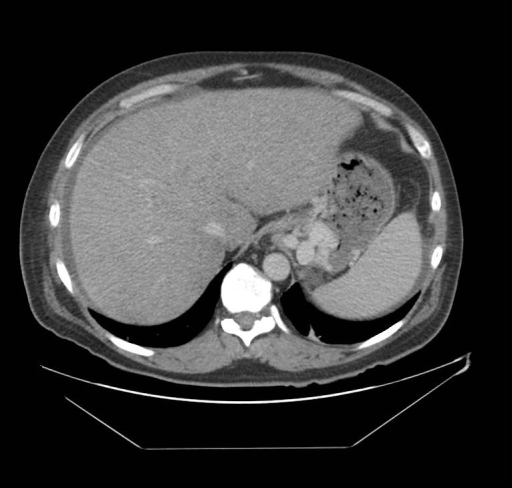
Note: Technically, "lung cirrhosis" is not a standard medical term β you likely mean hepatic (liver) cirrhosis, which is the classic form. There is a pulmonary condition called "pulmonary fibrosis" that is sometimes colloquially compared to cirrhosis. I'll cover the differential for liver cirrhosis comprehensively, which is what exam questions focus on.



| Condition | SAAG | Ascitic Protein |
|---|---|---|
| Cirrhosis | High (β₯1.1 g/dL) | Low |
| Cardiac ascites | High (β₯1.1 g/dL) | High (β₯2.5 g/dL) |
| Malignant ascites | Low (<1.1 g/dL) | High |
| Tuberculous peritonitis | Low (<1.1 g/dL) | High |
| Nephrotic syndrome | Low (<1.1 g/dL) | Low |
| Pancreatic ascites | Low | High + elevated amylase |

| Mnemonic | Cause |
|---|---|
| Alcohol | Alcoholic liver disease |
| Budd-Chiari | Venous outflow obstruction |
| Cardiac | Congestive hepatopathy |
| Drugs/DILI | Methotrexate, amiodarone, INH |
| Hepatitis B & C | Viral hepatitis |
| Hemochromatosis | Iron overload |
| NASH | Metabolic/fatty liver |
| Autoimmune | AIH, PBC, PSC |
| Wilson's | Copper overload |
| AAT deficiency | Alpha-1 antitrypsin |
make a ppt for this
Liver Cirrhosis Differential Diagnosis
Presentation Β· PPTX
| Slide | Content |
|---|---|
| 1 | Title slide with key stats (10+ causes, 97% SAAG accuracy, 80% ascites from cirrhosis) |
| 2 | What is cirrhosis? β Definition, key features, gross pathology image |
| 3 | Histology + disease spectrum β H&E image + alcoholic disease progression diagram |
| 4 | Causes Part 1 β Alcohol, NAFLD, HBV, HCV |
| 5 | Causes Part 2 β Wilson's, Hemochromatosis, AIH, PBC |
| 6 | Causes Part 3 β PSC, AAT deficiency, Budd-Chiari, Cardiac cirrhosis |
| 7 | SAAG table β the KEY diagnostic tool with all conditions compared |
| 8 | Imaging + Clinical Features β CT image + full clinical signs list |
| 9 | Lab investigations + Child-Pugh scoring |
| 10 | Memory aid β A-B-C-D-H-H-N-A-W-A mnemonic for all 10 causes |
| 11 | All 11 reference books used |
I don't want PPT, I want a poster. So can you generate me a poster for all this information?
generate as an image
