Guve me all about the , ct coronary angiography, ct calcium scoring

Reading File
Finding Sources
Finding Sources
Reading File
Reading File
Reading File
Reading File
Reading File
Reading File
Reading File
Reading File
Loading Image
Loading Image
Here is a comprehensive overview of both modalities, drawn from Fuster and Hurst's The Heart (15th ed.), Goldman-Cecil Medicine, and The Washington Manual of Medical Therapeutics.

CT Coronary Angiography (CCTA) & CT Calcium Scoring


Part 1: CT Calcium Scoring (CAC)

What It Is

CT Calcium Scoring is a non-contrast CT scan that quantifies calcified atherosclerotic plaque within the coronary arteries. It is a pure risk stratification tool, not a diagnostic test for stenosis.

The Agatston Score

Each coronary lesion's calcium area is multiplied by the maximal CT attenuation value of that lesion, then summed across the entire coronary tree. This gives the Agatston score.
Agatston ScoreInterpretationApprox. 15-yr Mortality (asymptomatic pts)
0No detectable calcificationVery low (~3%)
1–99MildLow–moderate
100–399ModerateIntermediate
≥400SevereHigh (~28%)
Scores are age-, sex-, and race-dependent, but predict coronary heart disease events independently of standard risk factors (Framingham score). — Goldman-Cecil Medicine, p. 452

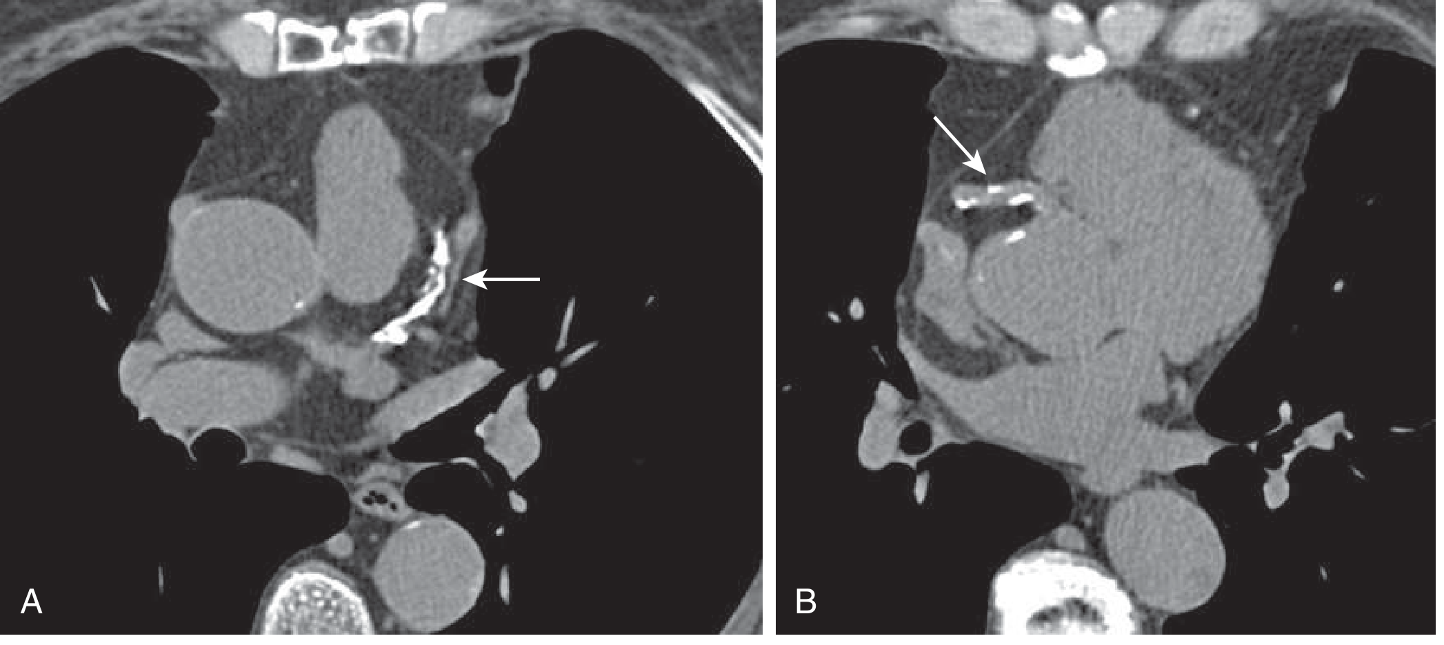
Non-Contrast CT: Example Images

Non-contrast CT axial slices for coronary calcium scoring. A: Proximal LAD with extensive calcification (arrow). B: Proximal RCA with spotty calcification (arrow). This patient's Agatston score was 457.
Non-contrast CT axial slices for calcium scoring. A: Proximal LAD with extensive calcification. B: Proximal RCA with spotty calcification. CAC score = 457 — Goldman-Cecil Medicine, p. 452

Clinical Utility

  • Most useful in patients at intermediate Framingham risk — can reclassify them upward or downward
  • A CAC = 0 confers excellent prognosis; 12-year ASCVD event rate well below the 7.5% threshold for statin recommendation — making it potentially useful to defer statin therapy
  • In women, CAC scoring is especially valuable because global risk scores (e.g., Pooled Cohort Equations) may be imprecise; women with multivessel CAC involvement have nearly a 2-fold higher long-term ASCVD mortality than men with similar scores
  • Not useful in already low-risk or high-risk patients (rarely changes management), though very high scores may prompt stress testing

Limitations

  • No contrast → tells you how much calcium, not how tight a stenosis is
  • Does not correlate the local calcium burden with the physiologic significance of any given stenosis
  • High scores in elderly patients and CKD patients can paradoxically limit the usefulness of subsequent CCTA

Part 2: CT Coronary Angiography (CCTA / CTA)

What It Is

CCTA is a contrast-enhanced CT study using arterial-phase images to evaluate coronary stenosis, plaque morphology, and coronary anatomy. It is a non-invasive alternative to invasive coronary angiography (ICA).

Acquisition & Technical Requirements

Heart Rate Control

  • Coronary arteries exhibit significant translational motion: up to 60 mm/s for the RCA, 20–40 mm/s for the LAD/circumflex
  • Image acquisition of <50 milliseconds is required to avoid cardiac motion artifacts
  • β-blockers (oral and/or IV) are given pre-scan to:
    • Reduce heart rate and prolong diastolic rest period
    • Reduce premature atrial/ventricular beats

Coronary Vasodilation

  • Sublingual nitroglycerin (tablets or spray) is used to maximally dilate coronary vessels immediately before scanning

Contrast & Timing

  • Requires IV iodinated contrast (typically 50–100 mL)
  • A test bolus or bolus-tracking technique determines the optimal timing of image acquisition relative to peak aortic enhancement
  • The scan is performed during a single breath-hold to eliminate respiratory motion

Image Reconstruction Modalities

  1. Axial images — standard cross-sectional view
  2. Multiplanar reformations (MPR) — coronal, sagittal, oblique planes
  3. Maximum-Intensity Projection (MIP) — displays longer vessel segments; limited by overlapping structures
  4. Curved MPR — reconstructs the entire vessel in a single plane
  5. 3D Volume Rendering — assesses anatomic relationships, selects phases with least motion artifact
Temporal resolution ≤50 ms is required; spatial resolution of ICA (gold standard) = 0.2 mm.
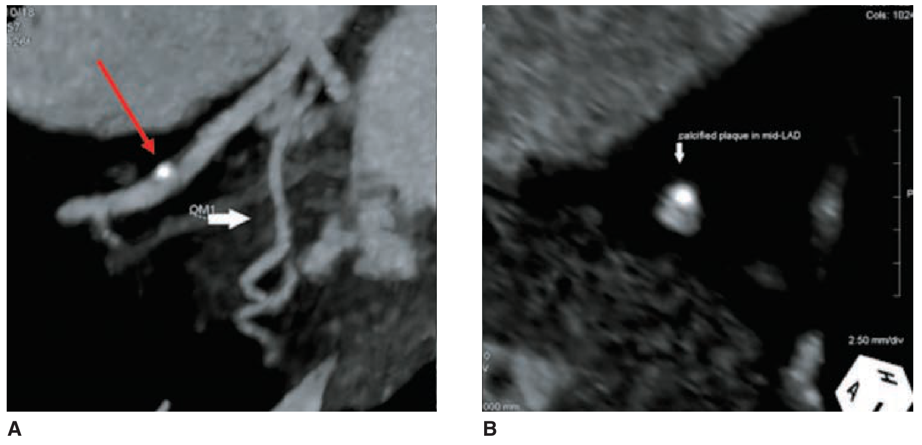
CCTA: A - Longitudinal MIP of mid-LAD showing a calcified plaque (red arrow). B - Axial MPR of the same non-obstructive plaque.
CCTA plaque imaging: Longitudinal MIP (left) showing calcified LAD plaque (red arrow); axial MPR (right) of the same non-obstructive lesion — Fuster & Hurst's The Heart, 15th ed., p. 137

Diagnostic Accuracy

In Acute Coronary Syndromes (ACS)

Meta-analysisNo. Studies / PatientsSensitivitySpecificity
64-slice or fewer9 studies, 566 pts95% (90–98%)90% (87–93%)
Broader meta-analysis16 studies, 1119 pts96% (93–98%)92% (89–94%)
  • Absence of any coronary atherosclerosis (seen in ~50% of ACS-suspected patients) has an excellent Negative Predictive Value (NPV)
  • Three landmark RCTs (ACRIN-PA, CT-STAT, ROMICAT II) showed CCTA enables safe rapid discharge in ~50% of chest pain patients, vs. 15–25% with standard care

In Stable CAD

  • 64-slice MDCT: pooled sensitivity 94–100%, specificity 89–100%, PPV 93–97%, NPV 96–100%
  • Outperforms exercise treadmill, stress MRI, stress nuclear imaging, and stress echo for ACS detection accuracy

Key Limitation

  • Presence of significant stenosis on CCTA has only moderate PPV for ACS — especially problematic given low prevalence of ACS (2–8%) in ED chest pain populations
  • This can be supplemented by assessment of plaque morphology, wall motion abnormalities, CT perfusion (CTP), or CT-FFR

Plaque Characterization — High-Risk Features

CCTA can assess not just stenosis severity but the composition and morphology of coronary plaque:
High-Risk FeatureCT AppearanceSignificance
Low-attenuation plaque (LAP)<30 HULarge necrotic core
Positive remodeling (PR)Vessel enlargement at plaque siteVulnerable plaque
Spotty calcifications (SC)Small, non-confluent fociPlaque instability
"Napkin ring" signCircumferential rim of higher-attenuation noncalcified plaque surrounding lower-attenuation coreAnalogous to thin-cap fibroatheroma
Perivascular inflammationFat stranding around vesselActive inflammation
Prognostic data:
  • Copresence of LAP + PR → 22.5% chance of ACS at 27-month follow-up
  • Absence of these features → 0.5% event rate
  • At 10-year follow-up: ACS in 23% with two high-risk features vs. 0.6% with no plaque at all
  • "Napkin ring" sign + PR + LAP → 40% event rate at 5 years
High-risk plaque features predict ischemia independent of luminal stenosis degree — Fuster & Hurst, p. 140

CT-FFR (Fractional Flow Reserve by CT)

Where available, proprietary software can calculate intracoronary hemodynamics from the CCTA dataset, providing a non-invasive FFR estimate without the need for adenosine or wire-based pressure measurements. — Washington Manual, p. 124

Clinical Indications (per 2021 AHA/ACC/ASE/CHEST/SAEM/SCCT/SCMR Guideline)

IndicationClass
Intermediate-risk acute chest pain without known CAD, to exclude obstructive CADClass I
Low pre-test probability symptomatic patients (high NPV)Preferred
Congenital coronary artery anomaliesExcellent technique
Equivocal stress test resultsAppropriate

Limitations / Contraindications

LimitationReason
Extensive coronary calcification (elderly, advanced CKD)Blooming artifact obscures lumen; diminished study quality
Coronary stentsMetal artifact
Small-caliber vesselsInsufficient spatial resolution
Irregular heart rhythm / inability to breath-holdMotion artifacts degrade image quality
Contrast allergy / renal insufficiencyRequires IV iodinated contrast

Key Comparison: CAC Scoring vs. CCTA

FeatureCAC ScoringCCTA
ContrastNoneRequired (50–100 mL iodinated)
RadiationLow (~1–3 mSv)Moderate (~3–10 mSv)
PurposeRisk stratificationDiagnosis of CAD / stenosis
Best useAsymptomatic intermediate-risk patientsSymptomatic low–intermediate pretest probability
OutputAgatston score% stenosis, plaque type, anatomy
NPV for CADHigh (score of 0)Excellent (95–100%)
Identifies plaque vulnerabilityNoYes (LAP, PR, napkin ring sign)
FFR capabilityNoYes (CT-FFR with software)

Sources:
  • Fuster and Hurst's The Heart, 15th Edition (CCTA Acquisition, Accuracy, Plaque Characterization)
  • Goldman-Cecil Medicine, International Edition (Calcium Scoring, CTA)
  • The Washington Manual of Medical Therapeutics (Coronary CT Angiography, CT-FFR, AHA/ACC Guideline 2021)

Like if I have to write protocol for these two , and detailed answer

Finding Sources
Finding Sources
Finding Sources
Finding Sources
Finding Sources
The textbooks contain the clinical and technical principles — I'll now synthesize a full protocol document incorporating all the textbook data from the previous session plus established radiological standards.

Scanning Protocols: CT Calcium Scoring & CT Coronary Angiography


PROTOCOL 1: CT Coronary Calcium Scoring (CAC / CACS)

Overview

A non-contrast, ECG-gated CT of the heart to quantify calcified coronary plaque using the Agatston scoring method. Purpose: cardiovascular risk stratification in asymptomatic or intermediate-risk patients.

Pre-Procedure

Patient Selection / Indications

  • Asymptomatic patients at intermediate 10-year ASCVD risk (7.5–20% by Pooled Cohort Equations) where statin decision is uncertain
  • Patients requesting additional risk information before deciding on preventive therapy
  • Women where global risk scores may underestimate true risk
  • Not indicated in: known CAD, very low risk (<7.5%), very high risk (>20%), or symptomatic patients (use CCTA instead)

Patient Preparation

StepAction
FastingNot required (no contrast)
MedicationsContinue all usual medications
CaffeineRestrict for 4 hours pre-scan (reduces ectopic beats)
ClothingRemove metallic objects from chest
IV accessNot required
Heart rateIdeally <70 bpm; β-blocker pre-medication optional but not routinely required
ECG leadsApply 3–4 lead ECG for cardiac gating
Breath-hold trainingCoach patient on full inspiration breath-hold (~10–15 seconds)

Scanner Parameters

ParameterValue
ScannerMDCT (≥16-slice; 64-slice preferred)
ECG gatingProspective ECG triggering (axial/sequential mode) — minimizes radiation
Scan rangeCarina to diaphragm (entire cardiac silhouette)
Tube voltage (kVp)120 kVp (standard); 100 kVp in small/thin patients
Tube current (mAs)50–100 mAs (low dose acceptable — no contrast needed)
Rotation time0.25–0.35 seconds
Slice thickness2.5–3 mm (standard for Agatston scoring — do not use thinner slices as it alters the score)
Reconstruction kernelMedium-smooth (B35f or equivalent)
Field of viewHeart only (~25 cm)
ContrastNone
Breath-holdFull inspiration, single breath-hold
Radiation dose~1–3 mSv

Image Acquisition Timing

  • Prospective ECG triggering: images acquired at 70–80% of the R-R interval (mid-to-late diastole) — phase of minimal cardiac motion
  • If heart rate is irregular or >80 bpm, consider acquiring at 40–50% (end-systole) as a fallback

Image Analysis & Scoring

Agatston Score Calculation:
  • Threshold for calcium: ≥130 HU in an area ≥1 mm²
  • Score per lesion = lesion area (mm²) × density factor:
    • 130–199 HU → factor 1
    • 200–299 HU → factor 2
    • 300–399 HU → factor 3
    • ≥400 HU → factor 4
  • Total score = sum of all lesion scores across all four coronary vessels (LM, LAD, LCx, RCA)
Additional metrics often reported:
  • Volume score (mm³) — less threshold-dependent than Agatston
  • Mass score (mg of calcium) — most reproducible
  • Per-vessel scores (LAD score carries highest weight)
  • CAC percentile for age/sex/race (MESA reference ranges)
Score Interpretation:
Agatston ScoreCategoryClinical Action
0No calcificationStatin may be deferred; reassure; repeat in 5 years if intermediate risk persists
1–99MildModerate risk; consider statin therapy
100–299ModerateElevated risk; initiate/intensify statin
≥300SevereHigh risk; initiate high-intensity statin + lifestyle
≥400Very severe15-yr mortality ~28%; consider stress testing

Reporting Checklist

  • Total Agatston score
  • Per-vessel scores (LM, LAD, LCx, RCA)
  • Volume score and mass score
  • MESA percentile for age/sex/race
  • Incidental findings on non-cardiac structures (lung nodules, aortic calcification, etc.)

Limitations

  • Quantifies calcium only — no assessment of non-calcified plaque or luminal stenosis
  • High inter-scanner variability if non-standard slice thickness used
  • Not useful in patients with coronary stents (artifact) or prior CABG
  • A CAC of 0 does not exclude the presence of soft (non-calcified) plaque


PROTOCOL 2: CT Coronary Angiography (CCTA / CTA)

Overview

A contrast-enhanced, ECG-gated CT study of the coronary arteries using arterial-phase imaging to evaluate coronary stenosis, plaque morphology, coronary anatomy, and physiologic significance (CT-FFR). It is the primary non-invasive diagnostic test for coronary artery disease.

Pre-Procedure

Patient Selection / Indications

  • Symptomatic patients with low-to-intermediate pre-test probability of obstructive CAD
  • Acute chest pain in ED: intermediate-risk patients without known CAD (2021 AHA/ACC Guideline: Class I)
  • Equivocal stress test results
  • Congenital coronary artery anomalies (excellent technique)
  • Pre-operative coronary assessment in selected patients
  • Follow-up after coronary bypass surgery (graft patency)

Contraindications

ContraindicationReason
Extensive coronary calcification (CAC >600–800)Blooming artifact renders lumen uninterpretable
Coronary stents (especially <3.5 mm diameter)Metal artifact
Atrial fibrillation / irregular rhythmMotion artifact; non-diagnostic images
Allergy to iodinated contrastAnaphylaxis risk
Severe renal impairment (eGFR <30)Contrast nephropathy
Inability to breath-holdMotion artifact
Severe obesity (limits gantry bore)Image quality degradation

Patient Preparation

24–48 Hours Before

  • Avoid caffeine (coffee, tea, energy drinks) for at least 24 hours — caffeine elevates heart rate and causes ectopic beats
  • Stop phosphodiesterase-5 inhibitors (sildenafil, tadalafil) if nitroglycerin will be used (risk of hypotension)
  • Metformin: withhold for 48 hours post-procedure if contrast used and renal function borderline

Day of Procedure

StepDetail
Fasting4–6 hours before (for contrast and potential sedation)
IV access18–20 gauge cannula in antecubital vein (right arm preferred — avoids streak artifact from left brachiocephalic vein)
ECG leadsApply 3–4 lead ECG for real-time monitoring and gating
Blood pressureMeasure baseline BP
Baseline ECGCheck for arrhythmia
Renal functioneGFR must be checked before contrast

Heart Rate Optimization (Critical Step)

Target heart rate: ≤60 bpm (ideal); ≤65 bpm acceptable
Beta-blocker protocol:
  • Oral metoprolol 50–100 mg given 60–90 minutes before scan (if HR >65 bpm and no contraindication)
  • IV metoprolol 5 mg boluses (up to 15–20 mg) titrated in the scanner room if oral pre-medication insufficient
  • Contraindications to β-blockers: severe asthma, significant bradycardia, high-degree AV block, decompensated heart failure, hypotension
  • Alternative: ivabradine (heart rate lowering without negative inotropy) in β-blocker contraindicated patients

Coronary Vasodilation

  • Sublingual nitroglycerin 0.4–0.8 mg (spray or tablet) administered 3–5 minutes before scanning
  • Maximally dilates coronary arteries → improves lumen visualization and diagnostic accuracy
  • Hold if SBP <90 mmHg or patient took PDE5 inhibitor within 24–48 hours

Scanner Parameters

ParameterValue
Scanner≥64-slice MDCT; ideally dual-source CT or 256/320-row CT
ECG gating modeSee below
Scan directionCranio-caudal (carina → diaphragm)
Scan rangeCarina to diaphragm
Tube voltage100 kVp (BMI <25); 120 kVp (BMI 25–35); 140 kVp (BMI >35)
Tube currentModulated to patient size (typically 200–800 mAs)
Gantry rotation time0.25–0.28 seconds → temporal resolution ~165 ms (single source); ~75 ms (dual source)
Slice thickness0.5–0.75 mm (collimation); reconstructed at 0.5–0.75 mm with 50% overlap
Reconstruction kernelSmooth (B26f/B20f or equivalent) to reduce noise
Field of view180–220 mm (heart-centered)
Matrix512 × 512
Contrast volume50–100 mL iodinated contrast (300–400 mg I/mL)
Injection rate5–6 mL/sec via power injector
Saline chaser30–50 mL saline at same rate (clears contrast from SVC/RA, reduces streak artifact)
Radiation dose~3–10 mSv (prospective); up to 15–20 mSv (retrospective)

ECG Gating Modes — Choosing the Right One

ModeDescriptionHR RequirementRadiationUse When
Prospective ECG triggering (step-and-shoot)X-ray ON only at pre-selected cardiac phase(s)HR ≤65 bpm, regularLowest (~1–3 mSv)First choice in all stable, regular-rhythm patients
Retrospective ECG gatingContinuous helical acquisition; gating applied in post-processingAny HRHighest (~10–20 mSv)Irregular rhythm, need functional data (wall motion), high HR not adequately controlled
High-pitch dual-source CTSingle-beat acquisition at high pitch (3.2–3.4)HR <60 bpm, regularVery low (~0.5–1 mSv)Ideal if dual-source scanner available and HR well controlled
Temporal resolution is the single most important technical determinant of CCTA image quality. The reference standard (ICA) has temporal resolution of 5–20 ms; ≤50 ms is desirable for coronary imaging. — Fuster & Hurst's The Heart, 15th ed., p. 137

Contrast Injection & Timing

Two main methods to determine optimal scan delay:
  1. Test bolus technique: inject 15–20 mL contrast + saline chaser → monitor aortic attenuation over time → calculate time-to-peak → set scan delay accordingly
  2. Bolus tracking (SmartPrep / CARE Bolus): ROI placed in descending/ascending aorta; scan triggers automatically when attenuation reaches 100–150 HU threshold above baseline (preferred method)
Target aortic attenuation on final images: ≥300–350 HU

Image Reconstruction & Post-Processing

After acquisition, images are reconstructed at multiple cardiac phases (every 5–10% of R-R interval in retrospective gating, or at selected phases in prospective):
ReconstructionPurpose
Axial images (0.5–0.75 mm)Baseline review; lumen evaluation
Curved MPR (cMPR)Full vessel length in single image — primary tool for stenosis grading
Straight MPRCross-sectional vessel view — plaque composition
Maximum Intensity Projection (MIP)5–15 mm thick slab — long vessel segments; limited by overlap
3D Volume Rendering (VR)Anatomical overview; presentations; anomalies
CT-FFRProprietary software (HeartFlow FFRCT) calculates intracoronary pressure gradient from CCTA data
Best phase for image quality:
  • Mid-diastole (70–75% of R-R): best for most patients with HR <65
  • End-systole (35–45% of R-R): better for patients with elevated HR >70

Stenosis Grading & Plaque Reporting

Stenosis Classification (CAD-RADS system):
CAD-RADS Score% StenosisRecommendation
00% — no plaqueNo CAD; discharge/reassure
11–24%Minimal; medical therapy
225–49%Mild non-obstructive
350–69%Moderate — consider functional testing (FFR/stress)
4A70–99%Severe — consider ICA/revascularization
4BLeft main ≥50% or 3-vessel ≥70%Severe — urgent ICA
5Total occlusionICA / revascularization planning
NNon-diagnosticRepeat or alternate modality
Plaque type documentation:
  • Calcified (>130 HU)
  • Non-calcified (<30 HU — lipid-rich/necrotic core)
  • Mixed (combination)
  • High-risk features: Low-attenuation plaque (<30 HU), positive remodeling, spotty calcification, "napkin ring" sign

Radiation Dose Reduction Strategies

  1. Prospective ECG triggering (biggest single reduction)
  2. High-pitch dual-source CT when available
  3. Tube voltage reduction (100 kVp vs 120 kVp in non-obese) — reduces dose by ~40%
  4. Automated tube current modulation
  5. Iterative reconstruction algorithms (reduce image noise at lower dose)
  6. Careful scan range limitation (only cardiac silhouette)

Post-Procedure Care

  • Monitor patient for 20–30 minutes post-contrast
  • Encourage oral hydration (500 mL–1L water) post-procedure
  • Nitroglycerin headache counseling (common, resolves in 20–30 min)
  • Contrast reaction management protocol on standby
  • Renal function re-check at 48–72 hours if borderline eGFR

Reporting Template (CCTA)

CLINICAL INDICATION:
TECHNIQUE: Retrospective/Prospective ECG-gated CCTA; 
           [X] mL iodinated contrast at [X] mL/sec; 
           Heart rate: [X] bpm; β-blocker given: Y/N; 
           Nitroglycerin given: Y/N

CORONARY DOMINANCE: Right / Left / Co-dominant

CORONARY ARTERIES:
  Left Main (LM): [stenosis %] [plaque type]
  LAD: proximal / mid / distal [stenosis %]
  Diagonal branches: D1, D2
  Left Circumflex (LCx): [stenosis %]
  Obtuse Marginals: OM1, OM2
  RCA: proximal / mid / distal [stenosis %]
  PDA / PLV:

PLAQUE BURDEN: Absent / Mild / Moderate / Severe
HIGH-RISK PLAQUE FEATURES: Present / Absent
  - Low-attenuation plaque: Y/N
  - Positive remodeling: Y/N
  - Spotty calcification: Y/N
  - Napkin ring sign: Y/N

CORONARY CALCIUM SCORE (if non-contrast phase acquired): [Agatston]

CAD-RADS SCORE: [0–5/N] [modifier: +V for vulnerability, +I for ischemia by CTFFR]

CARDIAC STRUCTURES:
  LV function (if retrospective): [visually estimated EF]
  Pericardium: Normal / Abnormal
  Valves: Normal / Abnormal
  Aortic root: [measurement]

EXTRACARDIAC FINDINGS:

IMPRESSION:
RECOMMENDATION:

Summary Comparison of Both Protocols

CAC ScoringCCTA
GoalRisk quantificationDiagnosis + plaque characterization
ContrastNoneYes (50–100 mL)
IV accessNoYes (18G antecubital)
NitroglycerinNoYes (sublingual pre-scan)
Beta-blockerOptionalEssential (target HR ≤60 bpm)
ECG gatingProspective (70–80% R-R)Prospective or retrospective
Slice thickness2.5–3 mm (fixed for Agatston)0.5–0.75 mm
Radiation~1–3 mSv~3–15 mSv
Post-processingAgatston calculatorMPR, MIP, VR, CT-FFR
Scoring systemAgatston / Volume / MassCAD-RADS 0–5
Key limitationNo soft plaque; no stenosisHigh CAC, stents, irregular rhythm
Patient positionSupine, arms above headSupine, arms above head

Sources:
  • Fuster and Hurst's The Heart, 15th Edition
  • Goldman-Cecil Medicine, International Edition
  • The Washington Manual of Medical Therapeutics
  • 2021 AHA/ACC/ASE/CHEST/SAEM/SCCT/SCMR Chest Pain Guideline (Class I for CCTA in intermediate-risk acute chest pain)

What is myocardial imaging in detail and also its protocol, technique and all

Reading File
Finding Sources
Finding Sources
Finding Sources
Finding Sources
Reading File
Reading File
Reading File
Reading File
Reading File
Reading File
Reading File
Reading File
Loading Image
Reading File

Myocardial imaging in CT and Ct perfusion scanning

Reading File
Finding Sources
Finding Sources
Finding Sources
Finding Sources
Finding Sources
Reading File
Reading File
Reading File
Reading File
Reading File
Reading File
Reading File
Reading File
Reading File
Now I have comprehensive material. Let me compile the full detailed answer.

Myocardial Imaging by CT & CT Myocardial Perfusion (CTP)


1. Overview: CT as a Myocardial Imaging Tool

Cardiac CT is fundamentally a 3D volume technique — any imaging plane can be reconstructed, giving it an advantage over echocardiography and nuclear medicine in anatomical flexibility. When applied to the myocardium specifically, cardiac CT can assess:
  1. Myocardial structure and tissue — wall thickness, masses, thrombus, aneurysm
  2. Ventricular function — ejection fraction, wall motion, volumes (LV + RV)
  3. Myocardial perfusion — stress CT myocardial perfusion (stress CTP)
  4. Coronary-myocardial correlation — combining CCTA anatomy with perfusion physiology
"Stress CT myocardial perfusion may be used for evaluating myocardial perfusion for the detection of functionally significant coronary artery disease." — Grainger & Allison's Diagnostic Radiology

2. CT Imaging of Myocardial Structure & Function

2.1 Myocardial Tissue Visualisation

The myocardial tissue can be visualised in any reconstructed plane. Standard views used in practice:
ViewBest For
Transverse (axial) imagesRV evaluation, scrolling through heart
Two-chamber viewLV long axis, mitral valve
Three-chamber viewLVOT, aortic valve, LV
Four-chamber viewBoth ventricles and atria
Short-axis (SA) viewsLV myocardium 17-segment model — direct correlation with echo, CMR, nuclear
The SA view is the most important for 17-segment myocardial evaluation — it enables direct comparison with SPECT, PET, and CMR findings.

2.2 Ventricular Function by CT

For LV/RV functional analysis, data acquisition must be performed throughout the entire cardiac cycle (not just at one phase):
  • Retrospective ECG gating: images reconstructed at every 5–10% of the R-R interval → allows calculation of:
    • End-diastolic volume (EDV)
    • End-systolic volume (ESV)
    • Ejection fraction (EF)
    • Stroke volume
    • Regional wall motion analysis
  • Radiation dose is higher with retrospective gating (12–21 mSv), but can be reduced with ECG-dose modulation
  • Low-dose CT data throughout the cardiac cycle can be used if only functional data are needed (not coronary anatomy)

3. CT Myocardial Perfusion Imaging (Stress CTP)

3.1 Concept and Rationale

CTP is based on the same physiological principle as SPECT/PET perfusion imaging:
Resting myocardial perfusion is normal until luminal diameter narrowing exceeds 90–95%. With maximal coronary hyperemia (pharmacological stress), a progressive decrease in hyperemic response occurs above a threshold of ~50% diameter stenosis. — Fuster & Hurst's The Heart, 15th ed.
In CTP, iodinated contrast acts as the perfusion tracer. Under pharmacological stress (vasodilator), a flow-limiting stenosis creates a relative underperfusion in the subtended myocardial territory — visible as a region of reduced CT attenuation (HU) compared to normally perfused myocardium.
CTP is particularly appealing as an add-on to CCTA because it combines:
  • Anatomy (plaque severity, stenosis %) from CCTA
  • Physiology (perfusion, flow reserve) from CTP
  • In a single examination with iodinated contrast
"Evolving new applications for the adjudication of the hemodynamic significance of stenosis such as CT myocardial perfusion imaging and FFR-CT are now being used in clinical practice." — Fuster & Hurst's The Heart, 15th ed.

3.2 Types of CT Myocardial Perfusion

TypeDescription
Static (First-Pass) CTPSingle acquisition during peak myocardial contrast enhancement at stress; quick; lower radiation; qualitative/semi-quantitative
Dynamic (4D) CTPSequential/continuous acquisitions over time; generates time-attenuation curves; allows quantification of absolute myocardial blood flow (mL/min/g) and myocardial perfusion reserve (MPR)

4. Protocol: CT Myocardial Perfusion (CTP)

4.1 Patient Preparation

StepDetail
Caffeine restrictionAvoid for 24 hours before scan — caffeine is an adenosine receptor antagonist and directly antagonises vasodilator stress agents
PDE5 inhibitorsWithhold sildenafil/tadalafil for 24–48 hours
Fasting4–6 hours
IV access18G or 20G antecubital (right arm preferred)
ECG leads3–4 lead for gating and monitoring
Baseline HR and BPDocument before proceeding
Renal functioneGFR must be checked — iodinated contrast required
Beta-blockersNOT given for CTP stress — vasodilators work by relative flow heterogeneity and β-blockade may interfere; HR control not as critical for perfusion as for CCTA
Bronchospasm historyIf asthma/COPD: dobutamine preferred over adenosine/regadenoson

4.2 Stress Agents Used in CTP

The same pharmacological stressors as nuclear perfusion imaging are used:

Vasodilators (First-line)

AgentMechanismDoseDuration of ActionReversal
RegadenosonSelective A2A adenosine receptor agonist0.4 mg fixed IV bolus over 10 secPeak ~1 min; lasts ~2 minIV aminophylline 50–100 mg
AdenosineNon-selective adenosine receptor agonist140 μg/kg/min infused over 4–6 min~13 seconds (short acting)Rarely needed
DipyridamoleInhibits adenosine breakdown0.56 mg/kg over 4 min20–30 minIV aminophylline
Regadenoson is the most commonly used vasodilator in current practice (United States) — selective A2A agonism means fewer systemic side effects and less bronchoconstriction. CT scan is initiated 10–20 seconds after regadenoson injection, during the peak hyperemic window.

Dobutamine (Alternative)

  • Used in asthma, COPD with bronchospasm, or recent caffeine ingestion
  • Protocol: stepwise increments from 5 μg/kg/min up to 40 μg/kg/min, ± atropine if target HR not achieved
  • Less ideal because it achieves lower peak coronary blood flow than vasodilators

Contraindications to Vasodilators

  • Second- or third-degree AV block
  • Sick sinus syndrome (without functioning pacemaker)
  • Severe asthma / active bronchospasm
  • Systolic BP <90 mmHg
  • Caffeine within 12–24 hours

4.3 Scanner Parameters — Static (First-Pass) CTP Protocol

ParameterValue
Scanner≥64-slice MDCT; dual-source or wide-volume (256/320-row) preferred
Scan modeProspective ECG triggering (step-and-shoot)
Acquisition timingDuring peak myocardial contrast enhancement at stress (bolus tracking in LV cavity — trigger at ~250–300 HU)
Tube voltage100 kVp (standard); 80 kVp in thin patients (increases iodine conspicuity)
Tube currentWeight-adapted; 200–400 mAs
Slice thickness0.5–0.75 mm collimation; reconstructed at 3 mm for perfusion analysis
Contrast volume60–80 mL iodinated contrast (350–400 mgI/mL)
Injection rate5–6 mL/sec followed by 30–40 mL saline chaser
Cardiac phaseMid-diastole (75% R-R) — phase of least motion
Breath-holdFull inspiration single breath-hold
Radiation dose~3–5 mSv for static CTP; significantly higher for dynamic CTP
Typical complete CTP study sequence:
  1. Non-contrast scan → CAC scoring (Agatston score baseline)
  2. Stress CTP acquisition → during pharmacological hyperemia
  3. Rest CCTA → coronary anatomy 10–15 minutes later (after stress agent wears off and HR stabilises)
  4. (Optional) Rest CTP → for comparison with stress to define reversibility

4.4 Scanner Parameters — Dynamic (4D) CTP Protocol

ParameterValue
Scan modeShuttle mode (table oscillates) or wide-volume axial (320-row CT covers entire heart in single rotation)
Temporal samplingEvery 1–3 cardiac cycles over ~30–60 seconds
CoverageEntire LV myocardium (z-coverage ≥12 cm needed; wide-volume CT ideal)
Contrast volume50–70 mL at 5–6 mL/sec
OutputTime-attenuation curves (TAC) per myocardial segment
QuantificationMyocardial blood flow (MBF in mL/min/g), myocardial blood volume (MBV), myocardial perfusion reserve (MPR = stress MBF / rest MBF)
Radiation doseHigher — 8–15 mSv due to repeated acquisitions
Dynamic CTP provides absolute quantification of myocardial blood flow — analogous to PET perfusion imaging. This overcomes the limitation of "balanced ischemia" seen in multivessel CAD with relative perfusion methods (where all territories appear equally underperfused and the defect is missed).

5. Image Interpretation in CTP

5.1 Normal vs. Abnormal

  • Normal perfusion: uniform myocardial enhancement throughout all segments; attenuation values homogeneous
  • Perfusion defect: region of reduced CT attenuation (appears darker/hypodense) compared to surrounding normally perfused myocardium

5.2 Defect Classification

Defect TypeStressRestInterpretation
Reversible (ischemia)Present (hypodense)Absent / fills inFlow-limiting stenosis; viable ischemic myocardium
Fixed (scar/infarct)PresentPresentPrior myocardial infarction; scar tissue
MixedPresent (large)Present (smaller core)Ischemia surrounding a scar (peri-infarct ischemia)

5.3 Quantitative Thresholds (Dynamic CTP)

ParameterNormalAbnormal (Ischemia)
Myocardial Blood Flow (MBF) — stress>2.0 mL/min/g<1.5–2.0 mL/min/g
Myocardial Perfusion Reserve (MPR)≥2.0–2.5<2.0
Myocardial Blood Volume (MBV)PreservedReduced in dense scar

5.4 17-Segment Model

The standard AHA 17-segment model is used for localization:
Coronary TerritoryLV Segments
LADAnterior wall, anteroseptum, apex (segments 1, 2, 7, 8, 13, 14, 17)
RCAInferior wall, inferoseptum (segments 3, 4, 9, 10, 15)
LCxLateral wall, inferolateral (segments 5, 6, 11, 12, 16)

6. Combined CCTA + CTP (One-Stop Cardiac CT)

The most powerful application is the hybrid CCTA + CTP protocol in a single session:
Step 1: Non-contrast scan → CAC Score
Step 2: Pharmacological stress → Stress CTP (functionally significant stenosis?)
Step 3: Wait 10–15 min → Rest CCTA (anatomy: which vessel, stenosis degree, plaque type?)
Clinical decision pathway:
  • CCTA stenosis <50% → low likelihood of hemodynamic significance → no CTP needed
  • CCTA stenosis 50–70% (intermediate) → CTP determines if functionally significant
  • CTP positive + CCTA significant stenosis → refer for ICA / revascularization
  • CTP negative despite stenosis on CCTA → medical management (hemodynamically insignificant)
"In analogy to CMR, CCT can also be used to study myocardial perfusion under stress conditions; in particular, the combination with morphological depiction of the plaque and plaque stenosis severity at coronary CT angiography, this is potentially a very appealing application." — Grainger & Allison's Diagnostic Radiology

7. Diagnostic Accuracy of Stress CTP

ComparisonSensitivitySpecificityNotes
CTP alone vs. ICA~85–90%~80–85%Single-center data
CTP + CCTA hybrid vs. ICA (FFR gold standard)~90%~87%Superior to CCTA alone for functional stenosis
vs. SPECTSimilar or superior sensitivity; better spatial resolutionCTP detects smaller subendocardial defectsLess soft-tissue attenuation artifact
vs. CMR perfusionComparable accuracyCMR superior in soft tissue contrast; CTP allows simultaneous coronary anatomy
Limitation note: CTP remains an emerging technology compared to SPECT and CMR perfusion — Harrison's Principles of Internal Medicine (22nd ed.) notes it is still evolving in widespread clinical application. The main downsides are higher radiation dose (especially dynamic protocols) and contrast requirements.

8. Imaging Markers of Myocardial Viability on CT

FindingAppearanceSignificance
Myocardial wall thinning<5.5 mm wall thickness on CTScar / non-viable myocardium
Subendocardial hypoenhancementDark inner rim on contrast CTMicrovascular obstruction or infarct
Transmural hypoenhancementFull thickness dark zoneTransmural infarct
LV aneurysmBulging, thin, akinetic wall segmentLate complication of MI
LV thrombusLow-density filling defect in cavityRequires delayed imaging to confirm
Fixed perfusion defect on CTPHypodense at both stress and restPrior infarction / scar

9. Radiation Dose Comparison

CT TechniqueApproximate Dose
CAC scoring1–3 mSv
CCTA (prospective)1–5 mSv
CCTA (retrospective)12–21 mSv
Static stress CTP + rest CCTA5–10 mSv
Dynamic (4D) stress CTP8–15 mSv
Full combined study (CAC + stress CTP + rest CCTA)8–15 mSv
Dose reduction strategies applicable to CTP:
  • Prospective ECG triggering for rest CCTA component
  • 100 kVp or 80 kVp tube voltage
  • Weight-based tube current modulation
  • Iterative reconstruction algorithms
  • Stress-only CTP protocol if rest images not needed

10. Clinical Indications Summary

IndicationRecommended CT Technique
Symptomatic patient, intermediate pretest probabilityCCTA ± CTP
CCTA shows 50–70% stenosis (intermediate)Add stress CTP or CT-FFR
Post-ACS, need viability assessmentLate-phase contrast CT or CMR preferred
Pre-TAVI / structural interventionFunctional CT (retrospective gating for EF + anatomy)
Known CAD, need functional assessmentStress CTP or SPECT/PET
Asymptomatic, risk stratification onlyCAC scoring (no CTP needed)
Suspected balanced ischemia (multivessel)Dynamic CTP (absolute MBF quantification) or PET

11. Limitations of CT Myocardial Perfusion

LimitationDetail
Radiation doseHigher than SPECT for dynamic protocols; limits repeated scanning
Contrast requirementNot usable in CKD (eGFR <30), contrast allergy
Blooming artifact from calcificationHigh CAC scores degrade both CCTA and CTP quality
Beam-hardening artifactsCan mimic or mask perfusion defects, especially inferior wall
No absolute quantification with static CTPStatic protocol is qualitative/semi-quantitative only
Emerging technologyLess validated outcomes data than SPECT/PET; not yet universally adopted
Temporal resolutionLower than CMR for first-pass dynamics

Sources:
  • Fuster and Hurst's The Heart, 15th Edition
  • Grainger & Allison's Diagnostic Radiology
  • Goldman-Cecil Medicine, International Edition
  • Harrison's Principles of Internal Medicine, 22nd Edition
This is a shared conversation. Sign in to Orris to start your own chat.