Phylloed tumor in details

Reading File
Finding Sources
Finding Sources
Reading File
Reading File
Reading File
Loading Image
Loading Image
I now have comprehensive, well-sourced information from multiple authoritative surgical and pathology textbooks. Here is a detailed overview of phyllodes tumor:

Phyllodes Tumor

Definition & Overview

Phyllodes tumor is a fibroepithelial neoplasm of the breast arising from the intralobular stroma. The name comes from the Greek phyllodes ("leaf-like"), describing the characteristic gross and histologic appearance of leaf-like projections. It was historically called cystosarcoma phyllodes, a misnomer now largely abandoned because the majority of cases follow a benign course.
It accounts for <1–2.5% of all fibroepithelial breast lesions and is therefore uncommon.

Pathogenesis & Molecular Biology

Like fibroadenomas, the majority of phyllodes tumors carry mutations in:
  • MED12 (part of the transcriptional regulator mediator complex)
  • RARA (retinoic acid receptor alpha)
This shared mutational profile suggests a shared pathogenesis with fibroadenoma. However, phyllodes tumors are more likely to harbor additional driver mutations that distinguish them:
  • TERT (telomerase gene) — associated with malignant transformation
  • TP53 — tumor suppressor loss
  • RB — cell cycle regulator loss
A key molecular distinction: stromal cells of fibroadenomas may be polyclonal or monoclonal, whereas those of phyllodes tumors are always monoclonal, confirming their neoplastic nature.
— Robbins, Cotran & Kumar Pathologic Basis of Disease

Gross Pathology

  • Tumors vary from a few centimeters to massive lesions that may occupy the entire breast
  • The cut surface shows bulbous, leaf-like protrusions — nodules of proliferating stroma covered by epithelium extending into cystic spaces
  • Connective tissue composes the bulk of the tumor, with mixed gelatinous, solid, and cystic areas
  • Cystic areas represent sites of infarction and necrosis
  • The tumor is usually sharply demarcated from surrounding compressed breast tissue
Clinical photo — Malignant phyllodes tumor (cystosarcoma phyllodes):
Malignant phyllodes tumor — gross clinical appearance showing massive breast enlargement

Histopathology

The defining histologic feature is a biphasic proliferation of stroma and mammary epithelium, with elongated epithelium-lined clefts creating the leaf-like architecture.
Histologic grading is based entirely on stromal features:
GradeFeatures
BenignCellular stroma, mildly increased mitotic activity; resembles fibroadenoma but more cellular
BorderlineMore prominent stromal atypia, increased cellularity, and mitotic activity
MalignantWidely infiltrative, marked stromal overgrowth with few residual epithelial elements; may be indistinguishable from pure sarcoma
Malignant phyllodes tumors often contain liposarcomatous or rhabdomyosarcomatous elements rather than fibrosarcomatous elements. The number of mitoses and presence of invasive foci at the tumor margin help identify malignancy.
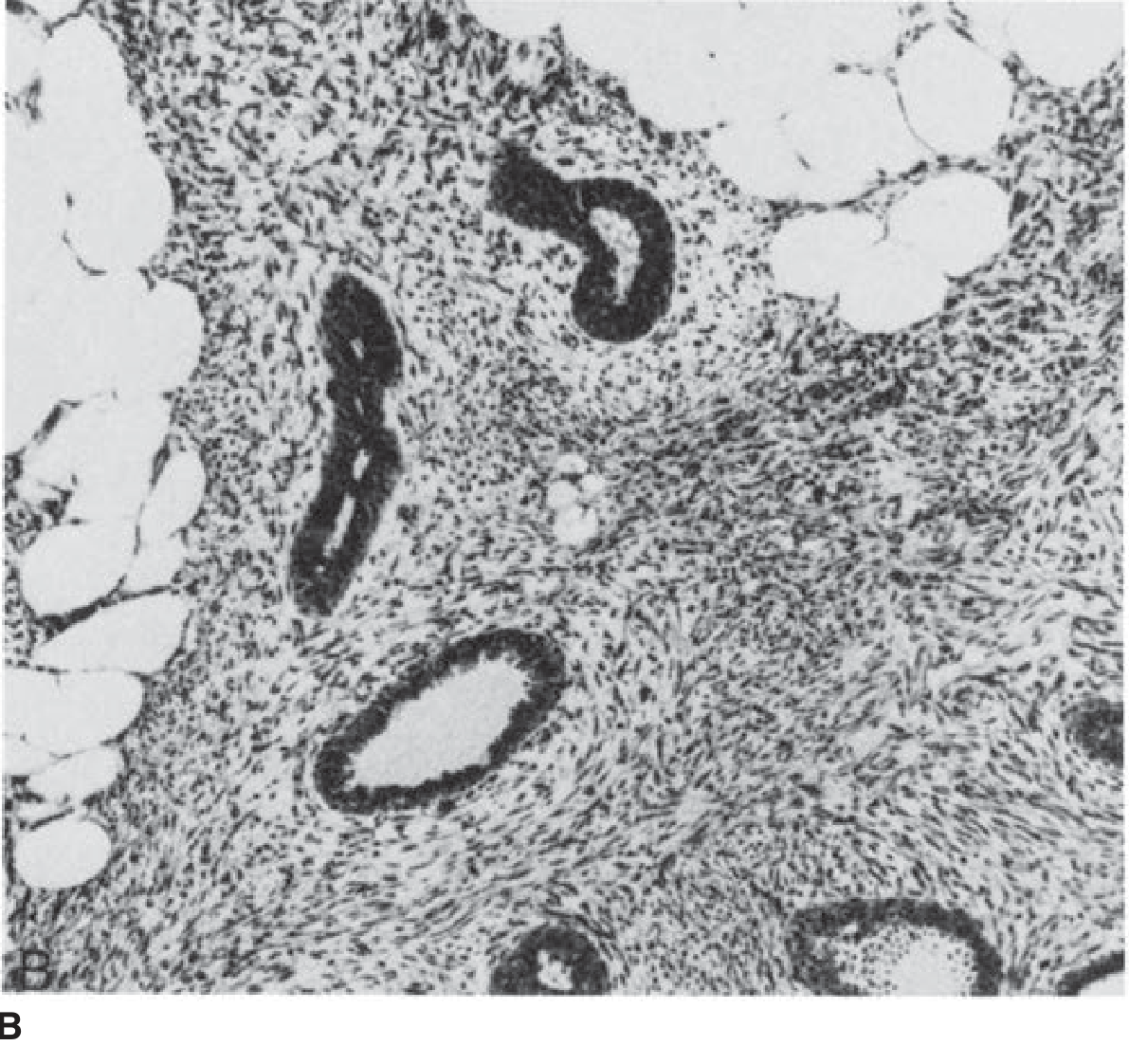
Histology — Malignant phyllodes tumor (H&E ×100):
Histologic features of malignant phyllodes tumor showing leaf-like epithelial-lined clefts within hypercellular stroma (H&E ×100)
— Schwartz's Principles of Surgery, 11th Ed.

Clinical Features

FeatureDetails
AgePeak in the 5th–6th decade (10–20 years later than fibroadenoma)
SexAlmost exclusively females
PresentationFirm, lobulated, palpable mass; average size ~5 cm
GrowthCan be slow or rapidly growing
Suspicious features vs. fibroadenomaSize >3 cm, rapid growth, older patient
Up to 75% are benign cytologically.

Diagnosis

  • Mammography: May show calcifications; cannot reliably distinguish benign from malignant, or from fibroadenoma
  • Core needle biopsy (CNB): Preferred over fine-needle cytology; however, classifying grade on limited sampling is difficult — a CNB reported as "cellular fibroepithelial lesion" could represent either fibroadenoma or phyllodes tumor
  • Excisional biopsy: Gold standard for definitive diagnosis and grading when CNB is equivocal
— Sabiston Textbook of Surgery; Berek & Novak's Gynecology

Behavior & Prognosis

GradeLocal RecurrenceMetastasisNotes
BenignOccasionalNoneMargin status is the key predictor of recurrence
BorderlineIncreased riskRareGreater potential than benign
MalignantHigh~1/3 of cases (hematogenous)Metastases contain only stromal component
  • Lymph node spread is rare regardless of grade
  • Metastases occur via hematogenous spread, most commonly to the lungs
  • Most recurrences occur within the first 2 years after excision
— Robbins, Cotran & Kumar; Sabiston Textbook of Surgery

Management

Surgery (Cornerstone)

GradeSurgery
BenignLocal/excisional biopsy with clear margins — curative (similar to fibroadenoma)
Borderline / MalignantWide local excision with ≥1–2 cm margins to reduce local recurrence
Large tumorsTotal mastectomy may be required when tumor size is disproportionate to breast size
  • Axillary lymph node dissection is contraindicated — lymphatic spread is exceedingly rare and axillary staging is not indicated

Adjuvant Therapy

  • Radiation: May be considered for borderline or malignant phyllodes undergoing breast-conserving surgery
  • Chemotherapy: For metastatic malignant phyllodes — treated as sarcoma (limited benefit); common regimens follow sarcoma protocols

Follow-Up

  • Close surveillance with physical examination and imaging, especially in the first 2 years post-excision
— Sabiston Textbook of Surgery; Schwartz's Principles of Surgery; Mulholland & Greenfield's Surgery

Phyllodes vs. Fibroadenoma — Key Distinctions

FeatureFibroadenomaPhyllodes Tumor
Age20s–30s40s–60s
SizeUsually <3 cmOften >3 cm
GrowthSlowCan be rapid
StromaLess cellular, polyclonal or monoclonalAlways monoclonal, more cellular
TERT/TP53/RB mutationsAbsentPresent in malignant forms
BehaviorBenign, no excision requiredExcision always required
Axillary spreadNoneRare but possible (malignant)

Sources:
  • Robbins, Cotran & Kumar — Pathologic Basis of Disease
  • Schwartz's Principles of Surgery, 11th Ed.
  • Sabiston Textbook of Surgery
  • Mulholland & Greenfield's Surgery, 7th Ed.
  • Berek & Novak's Gynecology
This is a shared conversation. Sign in to Orris to start your own chat.