53.Modern classification of anemia. 54.Etiological factors contributing to the development of anemic syndrome. 55.Classification of hemolytic anemias: congenital and acquired forms. 56.Diagnostic criteria for iron deficiency anemia. 57.Diagnostic criteria for B-12 and folate deficiency anemia. 58.Diagnostic criteria for hypo- and aplastic anemia. 59.Diagnostic criteria for hemolytic anemia. 60.Differential diagnosties of hypo-aplastic anemia and leukemia 61.Laboratory indicators for hypo- and aplastic anemia. 62.Methods of bone marrow examination 63.Diagnosis and principles of treatment of iron deficiency anemia. 64.Iron-containing drugs, indications and contraindications 65.Diagnosis and principles of treatment of B12 and folate deficiency anemia. 66.Diagnosis and principles of treatment of hemolytic anemia.

Reading File
Finding Sources
Reading File
Finding Sources
Finding Sources
Reading File
Reading File
Finding Sources
Reading File
Reading File
Reading File
Reading File
Reading File
Finding Sources
Reading File
Reading File
Reading File
Reading File
I now have comprehensive material from multiple authoritative sources. Let me compose the full structured answer for all 14 questions.

Anemia — Complete Study Guide (Questions 53–66)


53. Modern Classification of Anemia

There are two complementary classification systems:

A. By Red Cell Size (MCV-Based) — Wintrobe Classification

TypeMCVCauses
Microcytic< 80 fLIron deficiency, thalassemia, anemia of inflammation, sideroblastic anemia
Normocytic80–100 fLAplastic anemia, renal disease, endocrinopathies, myeloma, early iron/B12 deficiency
Macrocytic> 100 fLB12/folate deficiency (oval macrocytes); alcohol, liver disease, hypothyroidism (round macrocytes)

B. By Mechanism (Reticulocyte-Based)

Hyperproductive (high reticulocyte count):
  • Bleeding (hemorrhage)
  • Hemolysis — acquired (autoimmune, mechanical) or congenital (enzyme defects, hemoglobinopathies, membrane defects)
Hypoproductive (low/normal reticulocyte count):
  • Nutritional deficiency: iron, B12, folate, copper, vitamin C
  • Absence of red cell precursors: aplastic anemia, pure red cell aplasia
  • Lack of erythropoietin: renal disease, anemia of inflammation, aging
  • Marrow replacement: neoplasm, infection, granulomatous disease
  • Stem cell defects: myelodysplasia, leukemia
Anemia is defined as blood counts below normal for a given population. — Harrison's Principles of Internal Medicine 22E, p. 492

54. Etiological Factors Contributing to Anemic Syndrome

Anemia arises from three fundamental mechanisms, each with multiple causes:

1. Decreased Red Cell Production

  • Nutritional deficiency: Iron (most common worldwide), vitamin B12, folate
  • Bone marrow suppression: Toxins, radiation, drugs (chemotherapy, chloramphenicol)
  • Marrow replacement: Leukemia, lymphoma, metastatic carcinoma, myelofibrosis
  • Reduced erythropoietin: Chronic kidney disease, endocrine disorders (hypothyroidism, Addison's disease)
  • Chronic inflammation: Cytokine-mediated inhibition of iron reutilization and erythropoietin response

2. Increased Red Cell Destruction (Hemolysis)

  • Intrinsic (congenital) RBC defects: membrane, enzyme, or hemoglobin abnormalities
  • Extrinsic (acquired): autoimmune antibodies, infections, toxins, mechanical trauma, hypersplenism

3. Blood Loss

  • Acute: Trauma, surgery, GI hemorrhage
  • Chronic: GI bleeding (peptic ulcer, cancer, hookworm), menorrhagia, frequent phlebotomy
At least 75% of all cases of anemia are hypoproliferative in nature; the most common cause is mild to moderate iron deficiency or inflammation. — Harrison's 22E, p. 492

55. Classification of Hemolytic Anemias: Congenital and Acquired Forms

Classification by Site

  • Intravascular hemolysis: Free hemoglobin released into bloodstream → hemoglobinemia, hemoglobinuria, acute renal failure risk (e.g., ABO incompatibility, G6PD in oxidative crisis)
  • Extravascular hemolysis: RBCs removed by macrophages in spleen/liver → jaundice, splenomegaly (e.g., hereditary spherocytosis, warm AIHA)

Classification by Origin

INTRINSIC (Congenital) — Defects Inside the RBC
CategoryExamples
Membrane defectsHereditary spherocytosis, hereditary elliptocytosis, PNH (acquired)
Enzyme defectsG6PD deficiency (X-linked; triggered by oxidant drugs/fava beans), Pyruvate kinase deficiency
Hemoglobin defectsSickle cell anemia, thalassemias (α and β), HbC disease
EXTRINSIC (Acquired) — Defects Outside the RBC
CategoryExamples
Immune-mediatedWarm AIHA (IgG, 37°C — idiopathic, SLE, lymphoma, drugs), Cold agglutinin disease (IgM — infections, lymphoma), Drug-induced
MicroangiopathicTTP, HUS, DIC, malignant hypertension, prosthetic heart valves
InfectionsMalaria, Clostridium, Bartonella
HypersplenismSequestration and destruction in enlarged spleen
There are multiple classification systems for hemolytic anemias based on Coombs test reactivity, intrinsic vs. extrinsic defects, intravascular vs. extravascular hemolysis, and congenital or acquired forms. — Rosen's Emergency Medicine, p. 2446

56. Diagnostic Criteria for Iron Deficiency Anemia (IDA)

Clinical Features

  • Fatigue, pallor, dyspnea on exertion (from anemia)
  • Koilonychia (spoon nails), alopecia, atrophic glossitis, pica (craving for clay, ice)
  • Esophageal webs (Plummer-Vinson syndrome in severe, chronic cases)

Laboratory Findings

TestResult in IDA
Hb/HctDecreased
MCVDecreased (microcytic)
MCH/MCHCDecreased (hypochromic)
Serum ironLow
TIBC (Transferrin)High (elevated)
Transferrin saturation< 15%
Serum ferritinLow (< 30 µg/L = iron store depletion)
ReticulocytesLow/normal (hypoproliferative)
HepcidinLow

Peripheral Blood Smear

  • Microcytes, hypochromic cells with enlarged central pallor
  • "Pencil cells" (elongated poikilocytes)

Bone Marrow

  • Absent stainable iron (Prussian blue stain — most definitive finding)
  • Mild to moderate erythroid hyperplasia

Response to Treatment

  • Reticulocytosis within 5–7 days of oral iron
  • Steady rise in Hb over 4–8 weeks
The diagnosis of iron deficiency anemia ultimately rests on laboratory studies: low serum iron, low ferritin, elevated TIBC, transferrin saturation below 15%. — Robbins & Kumar Pathology, p. 615
Iron deficiency anemia peripheral blood smear
Iron deficiency anemia: hypochromic microcytic red cells with narrow rim of peripheral hemoglobin. — Robbins & Kumar Pathology

57. Diagnostic Criteria for B12 and Folate Deficiency Anemia

Both cause megaloblastic anemia — impaired DNA synthesis → delayed nuclear maturation with normal cytoplasmic maturation.

Clinical Features

FeatureB12 DeficiencyFolate Deficiency
Anemia symptomsYesYes
NeurologicalSubacute combined degeneration (dorsal + lateral columns): paresthesias, ataxia, loss of proprioception, spasticityNeuropsychiatric (depression, forgetfulness) — no spinal cord involvement
GlossitisYesYes

Laboratory Findings

TestResult
MCVElevated (macrocytic > 100 fL)
Peripheral smearMacro-ovalocytes, hypersegmented neutrophils (≥5 lobes), anisocytosis, poikilocytosis
Reticulocyte countLow
Serum B12Low (< 200 pg/mL) in B12 deficiency
Serum/RBC folateLow in folate deficiency
HomocysteineElevated in both
Methylmalonic acidElevated in B12 deficiency; normal in folate deficiency ← key differentiator
Bone marrowHypercellular; megaloblasts at all erythroid stages; giant metamyelocytes
LDHElevated (ineffective erythropoiesis)
BilirubinMildly elevated (intramedullary hemolysis)

Differentiating B12 from Folate Deficiency

  • Elevated methylmalonic acid → B12 deficiency (not folate)
  • Normal methylmalonic acid + low folate → folate deficiency
  • Neurologic findings → B12 deficiency only
  • Body stores: B12 stores last 3–5 years; folate stores last only 2–4 months
The hematologic findings are identical in B12 and folate deficiency. Methylmalonic acid is elevated in B12 but not folate deficiency. Neurologic changes do not occur with folate deficiency alone. — Robbins & Kumar, p. 612
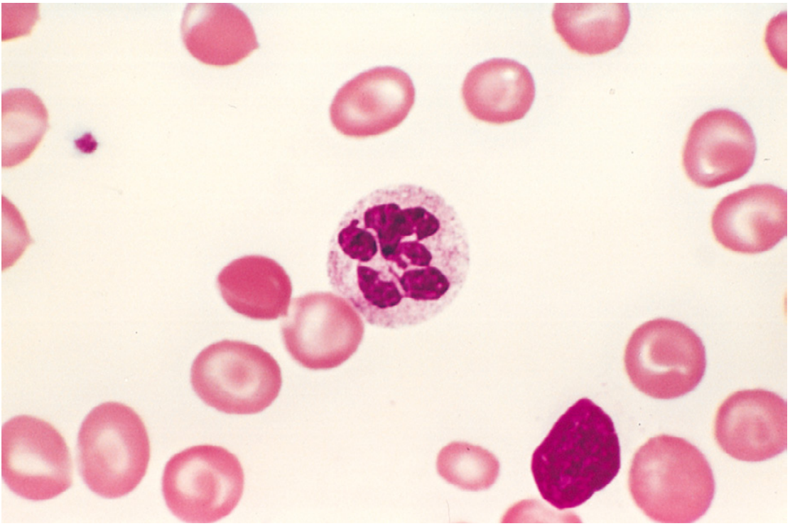
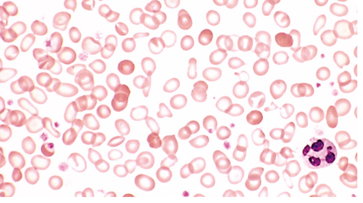
Megaloblastic anemia — hypersegmented neutrophil
Megaloblastic anemia: peripheral blood smear with hypersegmented neutrophil (6-lobed nucleus). — Robbins & Kumar Pathology

58. Diagnostic Criteria for Hypo- and Aplastic Anemia

Aplastic anemia is characterized by pancytopenia due to destruction or suppression of hematopoietic stem cells, resulting in a hypocellular marrow replaced by fat.

Clinical Features

  • Symptoms of anemia: fatigue, pallor, dyspnea
  • Thrombocytopenia: petechiae, purpura, mucosal bleeding
  • Neutropenia: recurrent infections

Diagnostic Criteria (Severe Aplastic Anemia — International AA Study Group)

Peripheral blood — at least 2 of 3:
  • Neutrophils < 0.5 × 10⁹/L
  • Platelets < 20 × 10⁹/L
  • Reticulocytes < 20 × 10⁹/L (< 1%)
PLUS bone marrow biopsy:
  • Cellularity < 25% (or < 50% with < 30% residual hematopoietic cells)
  • Replacement of marrow space by fat cells

Laboratory Features

  • Pancytopenia (all cell lines reduced)
  • Normocytic or mildly macrocytic anemia
  • Low/absent reticulocytes
  • Normal RBC morphology (no dysplasia)
  • Normal or elevated MCV
  • Elevated erythropoietin

Bone Marrow (critical)

  • Hypocellular or acellular marrow biopsy
  • Fat cell replacement
  • No dysplasia, no blasts, no fibrosis
  • Prussian blue: absent iron in aplasia vs present in MDS

59. Diagnostic Criteria for Hemolytic Anemia

General Diagnostic Criteria

Evidence of accelerated RBC destruction:
TestFinding
Serum LDHElevated (released from lysed RBCs)
Serum haptoglobinLow (binds free Hb, depleted)
Indirect bilirubinElevated (Hb catabolism)
UrobilinogenElevated in urine/stool
Free plasma hemoglobinElevated (intravascular)
HemoglobinuriaPresent in intravascular hemolysis
HemosiderinuriaChronic intravascular hemolysis
Evidence of compensatory increased production:
  • Reticulocytosis (elevated reticulocyte count)
  • Bone marrow erythroid hyperplasia (↑ M:E ratio inversion)
Peripheral Blood Smear Findings (type-specific):
  • Spherocytes → hereditary spherocytosis, warm AIHA
  • Schistocytes (helmet cells) → MAHA (TTP, DIC, prosthetic valves)
  • Sickle cells → sickle cell disease
  • Target cells → HbC, thalassemia, liver disease
Specific Tests:
  • Direct Coombs (DAT): Positive in immune-mediated HA → confirms autoantibody/complement on RBC surface
  • Indirect Coombs: Characterizes antibody type/target
  • Osmotic fragility test: Hereditary spherocytosis
  • Hb electrophoresis: Hemoglobinopathies
  • G6PD enzyme assay: G6PD deficiency
  • Flow cytometry (CD55/CD59 deficiency): PNH

60. Differential Diagnosis: Hypo-Aplastic Anemia vs. Leukemia

Both may present with pancytopenia, but they differ fundamentally:
FeatureAplastic AnemiaAcute Leukemia
OnsetGradual or subacuteOften acute/subacute
OrganomegalyAbsentHepatosplenomegaly, lymphadenopathy common
Lymph nodesNormalOften enlarged
WBCLow (leukopenia)Normal, low, or markedly elevated
Peripheral smearPancytopenia, normal cell morphology, no blastsBlasts present (> 20% = AML)
Bone marrow cellularityHypocellular (< 25%), replaced by fatHypercellular, packed with blast cells
Blasts in marrow< 5% (absent/rare)≥ 20% (AML) or lymphoblasts (ALL)
Chromosome analysisNormal karyotype (usually)Chromosomal abnormalities common
LDHNormal to mildly elevatedOften markedly elevated
Uric acidNormalOften elevated (high cell turnover)
Response to ISTResponds to immunosuppression/ATGDoes not respond; requires chemotherapy
Trephine biopsyFat spaces, no malignant infiltrateEffacement of marrow architecture by blasts
Key distinguishing feature: bone marrow biopsy. Aplastic anemia shows a hypocellular marrow with fat replacement and no blasts; leukemia shows a hypercellular marrow packed with malignant blast cells. — Rosen's Emergency Medicine

61. Laboratory Indicators for Hypo- and Aplastic Anemia

CBC and Peripheral Blood

  • Anemia: Normocytic (MCV normal or slightly elevated), normochromic
  • Leukopenia: Particularly neutropenia (< 1.5 × 10⁹/L in mild; < 0.5 × 10⁹/L in severe)
  • Thrombocytopenia: Platelet count < 50–20 × 10⁹/L
  • Reticulocyte count: Very low (< 20 × 10⁹/L) — critical finding
  • No blasts, no dysplastic changes on smear

Other Tests

  • Erythropoietin: Elevated (compensatory)
  • Iron studies: Normal or elevated serum iron; normal to elevated ferritin (no utilization)
  • Serum B12/folate: Normal
  • Liver function tests: Hepatitis serology (post-hepatitis aplastic anemia)
  • Flow cytometry (PNH clone): CD55/CD59 negative population
  • Chromosomal analysis (peripheral blood): For Fanconi anemia (chromosomal breakage)

Bone Marrow Aspirate and Biopsy

  • Aspirate: "Dry tap" or very hypocellular sample; fatty stroma
  • Biopsy (trephine): Definitive — hypocellular marrow (< 25–30% cellularity), fat replacement, residual lymphocytes and plasma cells, absence of hematopoietic precursors
  • No dysplasia, no fibrosis, no blasts

62. Methods of Bone Marrow Examination

1. Bone Marrow Aspiration (BMA)

  • Site: Posterior iliac crest (preferred), sternum (sternal aspiration — emergency use), anterior iliac crest, tibial bone (in infants)
  • Procedure: Needle aspiration of marrow fluid; smears prepared and stained (Giemsa/Wright, Perls' Prussian blue for iron, PAS, Sudan black)
  • Yields: Cytology of individual cells — morphology of erythroid, myeloid, megakaryocytic series; M:E ratio; blast percentage; iron stores
  • Limitations: May be a "dry tap" in fibrosis or aplasia; does not assess overall architecture

2. Bone Marrow Biopsy (Trephine Biopsy)

  • Site: Posterior superior iliac spine
  • Procedure: Core biopsy taken with a Jamshidi or Westerman-Jensen needle; formalin-fixed, paraffin-embedded; sections stained with H&E, reticulin, iron
  • Yields: Marrow cellularity, architecture, presence/extent of fibrosis, infiltration (tumor, granulomas), megakaryocyte distribution
  • Essential for: Aplastic anemia, myelofibrosis, lymphoma staging, hypocellular states, "dry tap"

3. Special Stains on Marrow Preparations

StainPurpose
Prussian Blue (Perls')Iron stores (sideroblasts, hemosiderin)
PAS (periodic acid-Schiff)Glycogen (lymphoblasts in ALL)
Reticulin/Masson's trichromeFibrosis grading
Sudan Black B / MPOMyeloid differentiation (AML)

4. Ancillary Studies

  • Flow cytometry: Immunophenotyping (leukemias, PNH clones)
  • Cytogenetics/FISH: Chromosomal abnormalities (leukemia, MDS)
  • Molecular studies: JAK2, BCR-ABL, FLT3, NPM1, etc.
  • Culture: For infection (tuberculosis, fungal)

63. Diagnosis and Principles of Treatment of Iron Deficiency Anemia

Diagnosis (Summary)

  • History: chronic blood loss (GI, menorrhagia), dietary insufficiency, malabsorption, pregnancy
  • CBC: microcytic hypochromic anemia
  • Iron studies: ↓ serum iron, ↓ ferritin, ↑ TIBC, transferrin saturation < 15%
  • Peripheral smear: microcytes, hypochromia, pencil cells
  • In adult males/postmenopausal females: must exclude GI malignancy as source

Principles of Treatment

1. Identify and treat the underlying cause (most important step)
  • Treat GI bleeding source, fibroids, malabsorption, dietary deficiency
2. Iron supplementation
Oral iron (first-line):
  • Ferrous sulfate 325 mg TID (65 mg elemental iron/dose) — standard
  • Take on empty stomach for best absorption; vitamin C enhances absorption
  • Expected response: reticulocytosis in 5–7 days; Hb rises ~1–2 g/dL per 2–3 weeks
  • Treat for 3–6 months after Hb normalization to replenish stores
  • Side effects: nausea, constipation, dark stools
Parenteral iron (IV/IM — indications):
  • Malabsorption (celiac disease, gastric bypass)
  • Intolerance to oral iron
  • Need for rapid repletion (severe anemia, chronic dialysis)
  • Agents: iron sucrose, ferric gluconate, ferric carboxymaltose, low-molecular-weight iron dextran
3. Blood transfusion
  • Reserved for severe symptomatic anemia (Hb < 7 g/dL) or hemodynamic instability
4. Dietary counseling
  • Increase dietary heme iron (red meat, poultry, fish)
  • Avoid tea/coffee with meals (inhibit absorption)

64. Iron-Containing Drugs: Indications and Contraindications

Oral Iron Preparations

DrugElemental Iron Content
Ferrous sulfate20% (65 mg per 325 mg tablet)
Ferrous gluconate12% (36 mg per 300 mg tablet)
Ferrous fumarate33% (99 mg per 300 mg tablet)
Ferric sulfate (Vitron-C)Various
Polysaccharide-iron complexVariable
Indications: Iron deficiency anemia, iron deficiency without anemia (prevention), pregnancy supplementation, infants on cow's milk diet
Contraindications (oral):
  • Hemochromatosis / hemosiderosis (iron overload)
  • Hemolytic anemia without iron deficiency (can worsen iron overload)
  • Active inflammatory bowel disease (may worsen GI irritation)
  • Repeated transfusions (risk of secondary iron overload)
  • Thalassemia (unless IDA confirmed)
Drug Interactions:
  • Reduces absorption of: fluoroquinolones, tetracyclines, levothyroxine, levodopa, bisphosphonates (separate by 2–4 hours)
  • Absorption decreased by: antacids, calcium, coffee, tea, PPI therapy

Parenteral Iron Preparations

DrugRouteNotes
Iron sucrose (Venofer)IVSafe, widely used; in dialysis patients
Ferric gluconate (Ferrlecit)IVUsed in CKD/hemodialysis
Ferric carboxymaltose (Injectafer)IVHigh-dose single infusion possible
Iron dextran (low-MW)IV/IMTest dose required; anaphylaxis risk
FerumoxytolIVRapid infusion; MRI interference
Indications for parenteral iron:
  • Oral intolerance/non-compliance
  • Malabsorption syndromes
  • Active/ongoing blood loss exceeding oral replenishment
  • Chronic kidney disease (on dialysis or with EPO therapy)
  • Inflammatory bowel disease
  • Perioperative anemia optimization
  • Heart failure with iron deficiency (even without anemia)
Contraindications (parenteral):
  • Iron overload states
  • Acute infection (iron may promote bacterial growth)
  • Known hypersensitivity to preparation
  • First trimester of pregnancy (for most preparations)

65. Diagnosis and Principles of Treatment of B12 and Folate Deficiency Anemia

Diagnosis

  • Macrocytic anemia (MCV > 100 fL)
  • Peripheral smear: macro-ovalocytes, hypersegmented neutrophils (≥ 5 lobes)
  • Low serum B12 (< 200 pg/mL) or low serum/RBC folate
  • Elevated homocysteine (both); elevated methylmalonic acid (B12 only)
  • Bone marrow: megaloblastic changes, hypercellularity
  • Pernicious anemia (main cause of B12 deficiency): anti-intrinsic factor antibodies (specific), anti-parietal cell antibodies (sensitive); Schilling test (historical)
  • Rule out B12 deficiency before starting folate — folate therapy corrects hematologic findings but does NOT prevent and may worsen neurologic deterioration from B12 deficiency

Treatment: B12 Deficiency

  • Cause of B12 deficiency determines route:
    • Dietary deficiency: oral B12 1,000 µg/day (high-dose oral can compensate for lack of intrinsic factor via passive diffusion)
    • Pernicious anemia / malabsorption: IM/SC cyanocobalamin or hydroxocobalamin 1,000 µg daily × 7 days → weekly × 4 weeks → monthly (lifelong)
  • Neurologic improvement may occur up to 6–12 months with treatment; subacute combined degeneration may be irreversible if longstanding
  • Reticulocytosis peaks at 5–7 days; Hb normalizes over 1–2 months

Treatment: Folate Deficiency

  • Oral folic acid 1–5 mg/day for 4 months (until stores replenished)
  • Treat underlying cause: alcohol cessation, manage malabsorption
  • Pregnancy prophylaxis: 0.4–0.8 mg/day (reduces neural tube defects)
  • Folinic acid (leucovorin) for drug-induced folate deficiency (methotrexate, trimethoprim)

66. Diagnosis and Principles of Treatment of Hemolytic Anemia

Diagnosis

Step 1 — Confirm hemolysis:
  • ↑ LDH, ↓ haptoglobin, ↑ indirect bilirubin, ↑ reticulocytes
  • Hemoglobinuria/hemosiderinuria (intravascular)
Step 2 — Characterize the hemolysis:
  • Direct Coombs test (DAT): If positive → immune-mediated (AIHA, drug-induced)
  • Peripheral smear: Spherocytes (AIHA, hereditary spherocytosis), schistocytes (MAHA), sickle cells, target cells
  • Osmotic fragility: Hereditary spherocytosis
  • Hb electrophoresis: Sickle cell, thalassemia, HbC
  • G6PD assay: G6PD deficiency (sample after acute episode when reticulocytes normalized)
  • Flow cytometry (CD55/CD59): PNH
  • Bone marrow: Erythroid hyperplasia; for PNH/aplastic context

Principles of Treatment

Autoimmune Hemolytic Anemia (Warm AIHA):
  1. Corticosteroids (first-line): Prednisolone 1 mg/kg/day → taper over months
  2. Splenectomy: Second-line if steroid failure/dependence
  3. Rituximab (anti-CD20): Effective for refractory cases
  4. Immunosuppressants: Azathioprine, cyclophosphamide (third-line)
  5. Blood transfusion: Only for life-threatening anemia (cross-matching is difficult)
  6. Treat underlying cause: Lymphoma, SLE, drugs
Cold Agglutinin Disease:
  • Avoidance of cold
  • Rituximab (most effective)
  • Plasmapheresis (acute severe)
  • Steroids less effective
G6PD Deficiency:
  • Avoid oxidant triggers (drugs — see Box above, fava beans, infections)
  • Supportive: hydration, transfusion in acute crises
  • No enzyme replacement available
Hereditary Spherocytosis:
  • Splenectomy (curative for hemolysis — removes main destruction site)
  • Folic acid supplementation (chronic hemolysis increases folate demand)
  • Cholecystectomy if gallstones
Sickle Cell Disease:
  • Hydroxyurea (increases HbF production)
  • Prophylactic penicillin + pneumococcal vaccination
  • Chronic transfusion (stroke prevention)
  • Hematopoietic stem cell transplantation (potentially curative)
  • Voxelotor, crizanlizumab (newer agents)
PNH:
  • Eculizumab/ravulizumab (anti-C5 complement inhibitors) — reduces hemolysis and thrombosis
  • Hematopoietic stem cell transplantation (only cure)
  • Anticoagulation (thrombosis prevention)
  • Meningococcal vaccination required before C5 inhibitor therapy
Aplastic Anemia with Hemolysis (PNH clone):
  • Immunosuppression with anti-thymocyte globulin (ATG) + cyclosporine
  • Eltrombopag (TPO receptor agonist)
  • HSCT for severe cases in young patients

Sources: Harrison's Principles of Internal Medicine 22E | Robbins & Kumar Pathology (10e) | Rosen's Emergency Medicine
This is a shared conversation. Sign in to Orris to start your own chat.