Pathophysiology of hepatobilary system

Reading File
Finding Sources
Finding Sources
Finding Sources
Finding Sources
Finding Sources
Finding Sources
Reading File
Reading File
Reading File
Finding Sources
Reading File
Finding Sources
Reading File
Reading File
Reading File
Reading File
Reading File
Reading File
Reading File
Loading Image
Here is a comprehensive overview of the pathophysiology of the hepatobiliary system, drawn primarily from Robbins & Kumar Basic Pathology and Sleisenger and Fordtran's Gastrointestinal and Liver Disease.

Pathophysiology of the Hepatobiliary System


1. Structural Foundation

The adult liver (1,400–1,600 g) has a dual blood supply: the portal vein (60–70% of flow) and the hepatic artery (30–40%). Understanding two organizational models is essential for interpreting patterns of injury:
Lobular model — hepatocytes arranged around a central (terminal hepatic) vein, with portal tracts at the periphery. Acinar model — three metabolic zones based on proximity to the blood supply:
  • Zone 1 (periportal): richest O₂ supply; most vulnerable to toxins metabolized to reactive intermediates
  • Zone 3 (centrilobular/pericentral): poorest O₂ supply; most vulnerable to ischemia and alcohol injury
Models of liver anatomy showing lobular and acinar zones
Fig. 14.1 — Robbins & Kumar Basic Pathology
Key microstructural elements:
  • Sinusoids: fenestrated endothelium overlying the space of Disse, where hepatocyte microvilli project
  • Kupffer cells: sinusoidal macrophages; phagocytose debris, bile pigment
  • Hepatic stellate cells (Ito cells): reside in space of Disse; store vitamin A; become activated myofibroblasts during injury → key drivers of fibrosis
  • Bile canaliculi: 1–2 µm channels between adjacent hepatocytes, draining into canals of Hering → bile ductules → portal bile ducts

2. General Mechanisms of Hepatocyte Injury

MechanismExample
Steatosis (fat accumulation)Alcohol, obesity, diabetes
Cholestasis (bile accumulation)Obstruction, drug toxicity
NecrosisIschemia, paracetamol toxicity → zone 3
ApoptosisViral hepatitis, autoimmune, drug-induced
Confluent necrosisBridging between central veins / portal tracts
Ductular reactionStem cell activation from canal of Hering; marker of severe chronic injury
Liver disease is typically insidious — the large functional reserve means biochemical abnormalities precede clinical decompensation by months to years. — Robbins & Kumar, p. 596

Key Lab Correlates

TestWhat it reflects
↑ AST / ALTHepatocyte membrane disruption
↑ Alkaline phosphatase, GGTBile canalicular injury / cholestasis
↑ BilirubinImpaired secretion or obstruction
↓ Albumin, ↑ PTLoss of hepatocyte synthetic function
↑ Serum ammoniaFailure of urea cycle (encephalopathy risk)

3. Acute Liver Failure

Characterized by sudden loss of hepatic function in a previously healthy liver. Viral hepatitis accounts for ~10% of cases worldwide (HAV is most common globally; HBV predominates in Asia/Mediterranean). Others: drug toxicity (paracetamol), ischemia.
Clinical consequences:
  • Jaundice — failure to conjugate or excrete bilirubin
  • Coagulopathy — reduced synthesis of clotting factors I, II, V, VII, IX, X
  • Hepatic encephalopathy — accumulation of nitrogenous waste (ammonia, false neurotransmitters); cerebral edema in acute failure
  • Hypoglycaemia — failure of gluconeogenesis
  • Portal hypertension — its major acute consequences are ascites and encephalopathy

4. Chronic Liver Disease & Cirrhosis

4a. Pathogenesis of Fibrosis

Repeated hepatocyte injury → death → inflammatory cytokines (TGF-β, PDGF, TNF-α) → activation of hepatic stellate cells → transformation into myofibroblasts → deposition of collagen (types I and III) in the space of Disse → sinusoidal fibrosis.
Fibrous septa initially link portal tracts to central veins; with progression, nodules of regenerating hepatocytes become encircled by fibrous bands = cirrhosis.
Regression of fibrosis and even established cirrhosis may follow disease remission or cure — scars become thinner and eventually fragment. Adjacent regenerating nodules coalesce. — Robbins & Kumar, p. 598

4b. Morphology of Cirrhosis

  • Macroscopic: nodular, shrunken liver; regenerative nodules separated by fibrous bands
  • Micronodular (<3 mm): typical of alcohol-related and NAFLD cirrhosis
  • Macronodular (>3 mm): typical of viral hepatitis
  • End-stage may show "burned-out" appearance devoid of fat and inflammation

4c. Causes

CauseKey Mechanism
Chronic HBV/HCVImmune-mediated hepatocyte destruction; persistent inflammation → fibrosis
Alcohol-relatedSteatosis → steatohepatitis → centrilobular fibrosis → cirrhosis
NAFLD/NASHSimilar to alcohol; driven by insulin resistance, oxidative stress, lipotoxicity
Hereditary hemochromatosisIron deposition in hepatocytes → oxidative injury → fibrosis; Prussian blue–positive periportal deposition
Wilson diseaseCopper accumulation; ATP7B mutation → hepatic/CNS injury
Alpha-1 antitrypsin deficiencyMisfolded protein accumulates in hepatocytes (PAS-positive globules) → ER stress
Autoimmune hepatitisInterface hepatitis; plasma cell infiltrate; anti-SMA/ANA antibodies
Primary biliary cholangitis (PBC)Autoimmune destruction of small intrahepatic bile ducts; anti-mitochondrial antibodies (AMA) in >95%; "florid duct lesion" on histology
Primary sclerosing cholangitis (PSC)Inflammation + obliterative fibrosis of intra- and extrahepatic bile ducts; "beading" on MRCP; strongly associated with ulcerative colitis (~70%)

5. Portal Hypertension

Definition: Portal pressure >10 mmHg (normal 5–10 mmHg); clinical consequences appear when >12 mmHg.
Causes (classified by site of resistance):
  • Pre-hepatic: portal vein thrombosis
  • Intrahepatic (most common): cirrhosis → fibrous distortion of sinusoids + stellate cell contraction → ↑ vascular resistance + ↑ nitric oxide–driven splanchnic vasodilation → hyperdynamic circulation
  • Post-hepatic: Budd-Chiari syndrome, constrictive pericarditis
Consequences:
ComplicationMechanism
Esophageal/gastric varicesPorto-systemic collaterals; rupture → life-threatening hemorrhage
Ascites↑ hydrostatic pressure + ↓ oncotic pressure (hypoalbuminemia) + secondary hyperaldosteronism → Na+/H₂O retention
SplenomegalySplenic congestion → hypersplenism (pancytopenia)
Hepatic encephalopathyAmmonia + other toxins bypass the liver via collaterals
Hepatorenal syndromeSplanchnic vasodilation → ↓ renal perfusion → activation of renin-angiotensin + renal sympathetic system → afferent arteriolar vasoconstriction → oliguria and azotemia
Caput medusaeDilated periumbilical veins from recanalised umbilical vein

6. Cholestasis & Biliary Pathophysiology

Mechanisms

  • Intrahepatic cholestasis: hepatocellular secretory failure (drugs, sepsis, viral hepatitis, PBC) or damage to intrahepatic bile ducts
  • Extrahepatic cholestasis: choledocholithiasis (most common in adults), pancreatic carcinoma, strictures, biliary atresia (in children)
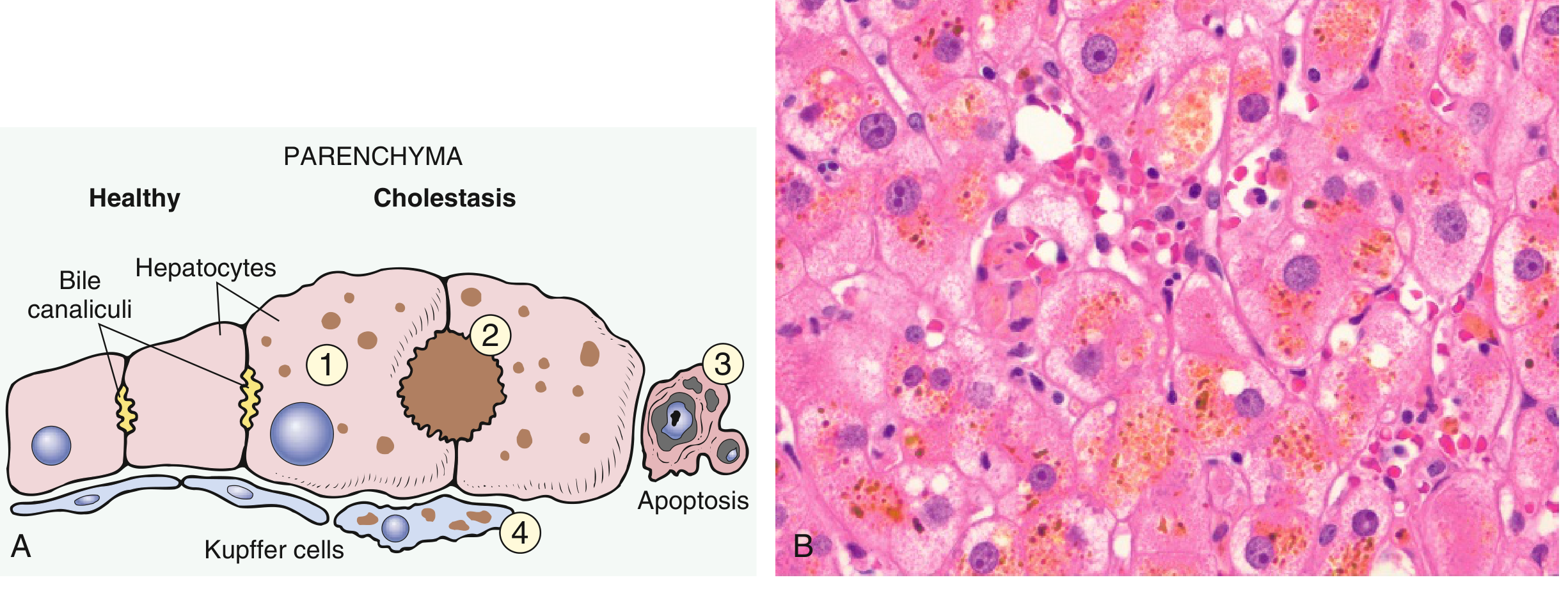
Morphology of cholestasis:
  • Green-brown bile plugs in dilated canaliculi
  • "Feathery degeneration" of hepatocytes (bile droplets)
  • Kupffer cell engorgement with bile pigment
  • Prolonged obstruction → ductular reactions → biliary cirrhosis
Clinical features: jaundice (conjugated hyperbilirubinaemia), dark urine, pale stool, pruritus (bile salt deposition), xanthomas, fat-soluble vitamin deficiency (A, D, E, K)
Cholestasis morphology
Fig. 14.25 — Cholestasis: canalicular bile plugs (2), apoptotic cells (3), Kupffer cells with bile pigment (4)

Ascending Cholangitis

Bacterial infection (usually gram-negative coliforms) ascending via obstructed biliary tree. Charcot's triad: fever, RUQ pain, jaundice. Suppurative form is life-threatening — dominated by sepsis over cholestasis.

7. Fatty Liver Disease (Steatosis → Steatohepatitis → Fibrosis)

Progression (shared by alcoholic and non-alcoholic NAFLD):
  1. Steatosis — macrovesicular fat (large droplets displacing nuclei) begins in centrilobular (zone 3) hepatocytes; reversible with abstinence/weight loss
  2. Steatohepatitis — "second hit" (oxidative stress, inflammatory cytokines, gut-derived endotoxins):
    • Hepatocyte ballooning (swelling + necrosis)
    • Mallory hyaline bodies (tangled ubiquitinated keratins 8 and 18 in degenerating hepatocytes)
    • Neutrophilic infiltration around ballooned cells
  3. Steatofibrosis — perisinusoidal "chicken-wire" collagen in space of Disse (zone 3) → bridging fibrosis → micronodular cirrhosis
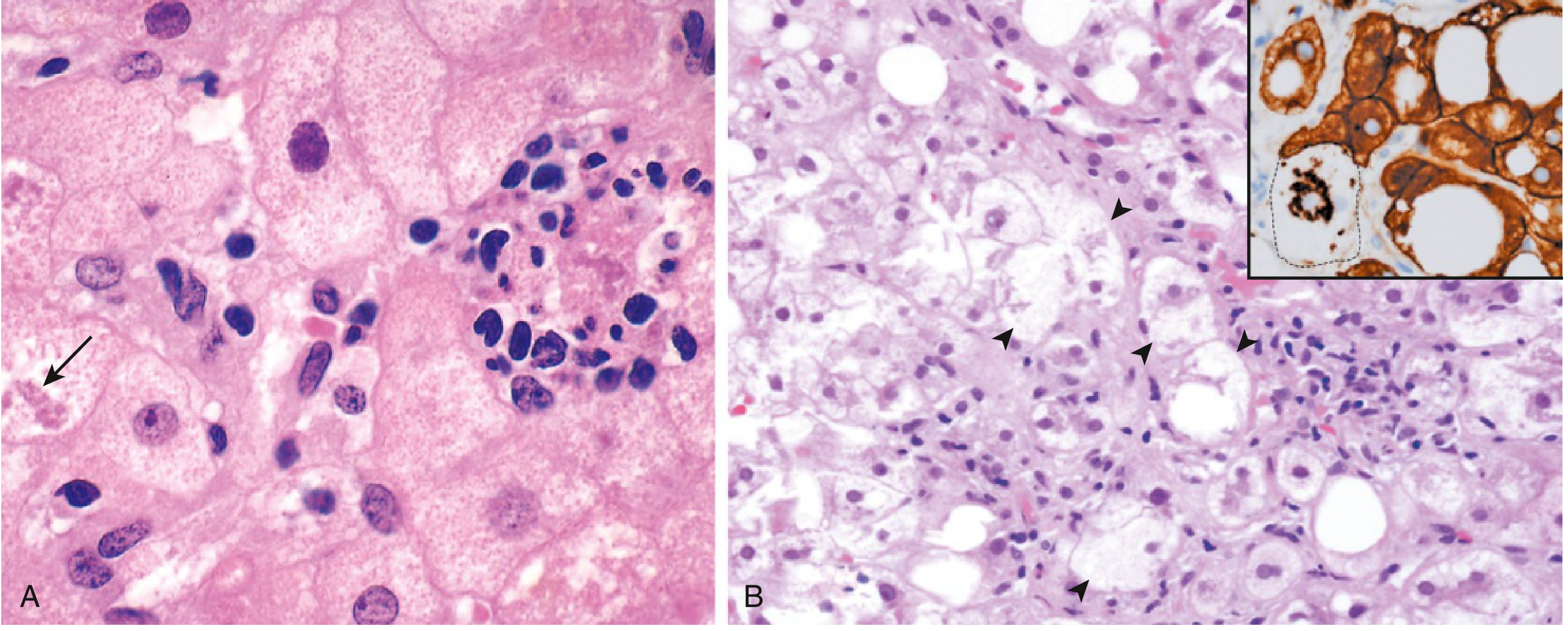
Steatohepatitis: Mallory hyaline bodies and ballooned hepatocytes
Fig. 14.17 — Hepatocyte injury in alcohol-related fatty liver disease. Arrow shows Mallory hyaline body; arrowheads show ballooned hepatocytes.

8. Hepatic Encephalopathy

Pathogenesis (multifactorial):
  • Ammonia hypothesis: liver failure → failure of urea cycle → systemic hyperammonaemia → astrocyte swelling → cerebral oedema
  • Glutamine theory: excess ammonia → astrocytes produce glutamine as osmolyte → astrocyte swelling
  • False neurotransmitters: aromatic amino acids (↑ in liver failure) cross BBB and compete with normal neurotransmitters
  • Neuroinflammation and GABA receptor upregulation contribute
Precipitants: GI bleeding, infection, hypokalemia, constipation, sedatives, renal failure (hepatorenal syndrome)

9. Viral Hepatitis — Pathophysiological Summary

VirusGenomeTransmissionChronicityKey Pathophysiology
HAVssRNAFecal-oralNeverCD8+ T cell–mediated lysis; self-limited
HBVPartially dsDNAParenteral/sexual/perinatal5–10% adults; >90% neonatesImmune-mediated (CTL attack); cccDNA persistence
HCVssRNAParenteral~75–85%Direct viral cytopathy + immune injury; high mutation rate → immune evasion
HDVDefective ssRNAParenteral (coinfection/superinfection with HBV only)~70–80% with superinfectionRequires HBV surface antigen (HBsAg) for replication
HEVssRNAFecal-oralRare (immunosuppressed)High mortality in pregnancy (20%); mechanism unclear

10. Congestive Hepatopathy ("Nutmeg Liver")

Passive congestion from right heart failure → centrilobular sinusoidal congestion → hepatocyte atrophy. Left heart failure or shock → centrilobular ischemic coagulative necrosis (zone 3 most vulnerable due to lowest O₂ tension). Combined → centrilobular hemorrhagic necrosis → grossly mottled "nutmeg" appearance. Chronic severe heart failure → cardiac sclerosis (centrilobular fibrosis) → rarely cirrhosis.

Summary of Key Disease-Pattern Relationships

Pattern of InjuryZone AffectedKey Disease
Ischemic/congestion necrosisZone 3 (centrilobular)Shock, right heart failure
Steatosis, alcoholic fibrosisZone 3Alcohol, NAFLD
Toxic injury (paracetamol)Zone 3Drug-induced liver injury
Viral hepatitis, autoimmunePiecemeal/interfaceChronic viral, AIH
Biliary cirrhosisPortal/periportalPBC, PSC, biliary obstruction
Iron depositionZone 1 (periportal)Hereditary hemochromatosis

Sources: Robbins & Kumar Basic Pathology, 10th Ed. (9780323790185), Chapter 14; Sleisenger and Fordtran's Gastrointestinal and Liver Disease (9780323609623).
This is a shared conversation. Sign in to Orris to start your own chat.