Tb meningitis

Reading File
Finding Sources
Finding Sources
Reading File
Reading File
Reading File
Reading File
Reading File
Reading File
Reading File
Reading File
Here is a comprehensive overview of tuberculous (TB) meningitis based on authoritative neurology and clinical textbooks.

Tuberculous Meningitis

Epidemiology & Risk Factors

TB meningitis parallels systemic tuberculosis in incidence. In the US, cases declined markedly post-WWII but increased ~16% annually after 1985, largely driven by HIV. Among patients with full-blown HIV, the incidence of tuberculosis is almost 500 times that of the general population. In developing countries (sub-Saharan Africa, Asia, India), tuberculosis is ~25 times more frequent than in the US. High-risk groups include:
  • HIV-positive individuals
  • Alcoholics
  • Immigrants from high-prevalence regions (Asia, Africa, India, former Soviet Union)
  • Children (historically)
Adams and Victor's Principles of Neurology, 12th Edition

Causative Organism

Primarily Mycobacterium tuberculosis. Rarely: M. bovis, M. avian, M. kansasii, M. fortuitum (the latter post-neurosurgical procedures). HIV has increased cases caused by atypical mycobacteria.

Pathogenesis

Two stages:
  1. Hematogenous seeding of the meninges and subpial brain regions → formation of tubercles (granulomas)
  2. Rupture of tubercles → discharge of bacteria into the subarachnoid space → inflammatory cascade
The process is not confined to the subarachnoid space — it frequently invades the underlying brain, making this a true meningoencephalitis.
Adams and Victor's Principles of Neurology, 12th Edition

Pathological Findings

  • Basal exudate: thick, gelatinous exudate at the base of the brain — obliterates pontine and interpeduncular cisterns, extends to optic chiasm, medulla, floor of third ventricle, and temporal lobes
  • Microscopy: central caseation surrounded by epithelioid cells, giant cells, lymphocytes, plasma cells, and connective tissue
  • Cranial nerve involvement: far more common than in typical bacterial meningitis, due to involvement as nerves traverse the inflamed subarachnoid space
  • Vascular involvement: arteritis → occlusion → brain infarction
  • Hydrocephalus: from blockage of basal cisterns (most common) or ependymitis blocking the aqueduct/4th ventricle
  • Spinal cord: exudate can surround the cord → multiple radiculopathies, cord compression
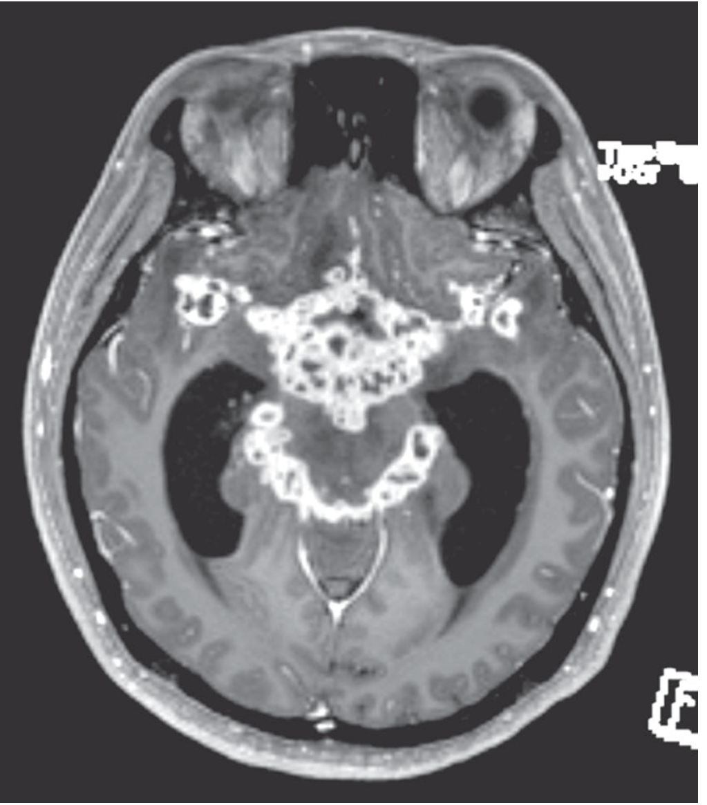
MRI in tuberculous meningitis showing gadolinium enhancement of the basal meninges, reflecting multiple abscesses, accompanied by hydrocephalus and cranial nerve palsies
Figure: MRI in TB meningitis — gadolinium enhancement of basal meninges, hydrocephalus, and cranial nerve palsies (Adams & Victor)

Clinical Features

Onset: Subacute — evolving over 1–2 weeks (slower than bacterial meningitis)
Early symptoms:
  • Fever (low-grade)
  • Malaise
  • Headache (>50% of cases)
  • Lethargy, confusion
  • Stiff neck (75% of cases), Kernig and Brudzinski signs
Later/advanced features:
  • Cranial nerve palsies (20% at presentation) — typically ocular palsies (CN III, VI), facial palsy, deafness
  • Papilledema (raised ICP)
  • Focal neurologic deficits from hemorrhagic infarction
  • Hypothermia, hyponatremia (SIADH or adrenal tuberculosis)
  • Seizures (especially in children)
Systemic TB: In ~2/3 of patients, active TB is found elsewhere — most often lungs, occasionally small bowel, bone, kidney, or ear.
Untreated course: Progressive confusion → stupor → coma → decerebrate posturing → death in 4–8 weeks

British Medical Research Council (MRC) Staging

StageDescription
IGCS 15, no focal signs
IIGCS 11–14, OR mild focal signs
IIIGCS ≤10, OR dense focal deficits

CSF Findings (Lumbar Puncture)

ParameterFinding
PressureElevated
Cells50–500/mm³, lymphocytic predominance (PMNs early, then lymphocytes)
ProteinElevated — typically 100–200 mg/dL, higher if spinal block
GlucoseReduced (<40 mg/dL); falls slowly, may only appear after days
Serum sodiumOften reduced (SIADH or Addisonian state)
Note: M. tuberculosis can occasionally cause a persistent PMN pleocytosis (like Nocardia, Aspergillus, Actinomyces).
Adams and Victor's Principles of Neurology, 12th Edition

Microbiological Diagnosis

TestDetails
Acid-fast smear (Ziehl-Neelsen)Sensitivity 10–50%; improves with large volumes and repeat LPs
CultureGold standard but slow — 3–4 weeks for growth
PCR (nucleic acid amplification)Rapid; single primer PCR has low sensitivity; multiplex PCR is significantly more sensitive
ADA (adenosine deaminase)Significantly elevated in TB meningitis vs. other meningitides
Dot-ELISA (TB antigens/antibodies in CSF)Positive in 86% of suspected cases; only 5% false positive
Tuberculin skin testPositive in 85% of children; only 40–60% of adults
IGRA (interferon-gamma release assay)~90% specific for active TB; caution in endemic areas
Henry's Clinical Diagnosis and Management by Laboratory Methods; Adams and Victor

Imaging

  • CT/MRI: Gadolinium enhancement of basal meninges is characteristic
  • Hydrocephalus
  • Deep cerebral infarctions (basal ganglia, internal capsule) from vasculitis of circle of Willis branches
  • Tuberculomas: enhancing ring lesions (2–12 mm), may be multiple
  • MR/CT angiography: can demonstrate vasculitic occlusions

Treatment

First-line Regimen (Intensive Phase — 2 months)

4-drug combination: Isoniazid (INH) + Rifampicin (RMP) + Ethambutol (EMB) + Pyrazinamide (PZA)
DrugAdult DoseKey Toxicities
INH5 mg/kg/dayPeripheral neuropathy (give pyridoxine 50 mg/day), hepatitis
Rifampicin10 mg/kg/dayHepatitis, drug interactions
Ethambutol15 mg/kg/dayOptic neuropathy (monitor visual acuity + red-green color)
Pyrazinamide20–35 mg/kg/dayRash, GI disturbance, hepatitis
Alternative: INH + PZA + high-dose RMP + moxifloxacin

Continuation Phase

All four (or three) drugs continued for total 9–12 months

Multidrug-Resistant TB (MDR-TB)

Add ethionamide (ETA) as fifth drug; ETA dose: 15–25 mg/kg/day in divided doses after meals (GI irritation); also causes optic neuropathy.

Corticosteroids

Dexamethasone IV 0.4 mg/kg/day for 1 week, then taper over 3–6 weeks — used for:
  • Threatened subarachnoid block
  • Raised ICP
  • Reduces mortality from 41% → 32% (RCT in Vietnam, Thwaites et al.), but no effect on residual disability

HIV Co-infection

  • Start antiretroviral therapy within 2 weeks of initiating anti-TB therapy

Neurosurgical Indications

  • Hydrocephalus → ventriculoperitoneal shunt or drainage
  • Up to 25% of advanced cases require neurosurgical intervention (Rosen's Emergency Medicine)
  • Tuberculoma with mass effect → excision if no response to antibiotics

Prognosis

  • Overall mortality: ~10% (higher in infants and elderly)
  • HIV-infected patients: ~21% mortality (higher due to diagnostic delays and drug resistance)
  • Approximately half of patients develop severe disability or death (Rosen's Emergency Medicine)
  • Favorable prognostic factors: early diagnosis, MRC Stage I at presentation, younger age, no drug resistance

Other CNS Tuberculosis Syndromes

SyndromeFeatures
Tuberculous serous meningitisSelf-limited; modest pleocytosis, normal glucose — adjacent tuberculous focus rather than frank meningitis
TuberculomaSpace-occupying lesion; 5–30% of intracranial masses in developing countries; ring-enhancing on MRI
MyeloradiculitisSpinal cord/root involvement from meningeal exudate
Pott diseaseTuberculous osteomyelitis of spine → kyphosis, "Pott paraplegia"

Sources: Adams and Victor's Principles of Neurology, 12th Edition | Henry's Clinical Diagnosis and Management by Laboratory Methods | Rosen's Emergency Medicine, 9th Edition
This is a shared conversation. Sign in to Orris to start your own chat.