Infracts with arterial territory

Reading File
Finding Sources
Finding Sources
Reading File
Reading File
Reading File
Reading File
Reading File
Reading File
Reading File
Reading File
Based on the textbook content gathered, here is a comprehensive overview of cerebral infarcts by arterial territory:

Cerebral Infarcts by Arterial Territory

Pathological Background

Cerebral arterial occlusion leads to ischemia and then infarction in the distribution of the compromised vessel. The size, location, and shape of the infarct depend on:
  • Which artery is occluded
  • Availability of collateral circulation
  • Duration and completeness of occlusion
With hemodynamic ischemia (hypotension), the arterial border/watershed zones are most vulnerable. With direct occlusion, a wedge-shaped infarct in the center of the arterial territory results.
Bradley and Daroff's Neurology in Clinical Practice

1. Anterior Circulation

Internal Carotid Artery (ICA)

  • Occlusion may cause symptoms in both MCA and ACA territories
  • May present with ipsilateral amaurosis fugax (ophthalmic artery branch)
  • Contralateral hemiplegia, hemisensory loss, aphasia (dominant hemisphere)

Anterior Cerebral Artery (ACA)

  • Contralateral leg > arm weakness and sensory loss (leg area on medial cortex)
  • Personality changes, abulia, frontal lobe signs
  • Urinary incontinence

Middle Cerebral Artery (MCA)

The most commonly infarcted vessel:
DivisionDominant (Left) DeficitsNon-dominant Deficits
Superior trunkBroca aphasia, contralateral face/arm > leg weaknessDysarthria, contralateral weakness
Inferior trunkWernicke aphasia, contralateral hemianopiaNeglect, anosognosia, constructional apraxia
Complete MCAGlobal aphasia, dense contralateral hemiplegiaContralateral neglect + hemiplegia

Anterior Choroidal Artery

  • Arises from the ICA
  • Classic triad: contralateral hemiplegia + hemisensory loss + homonymous hemianopia
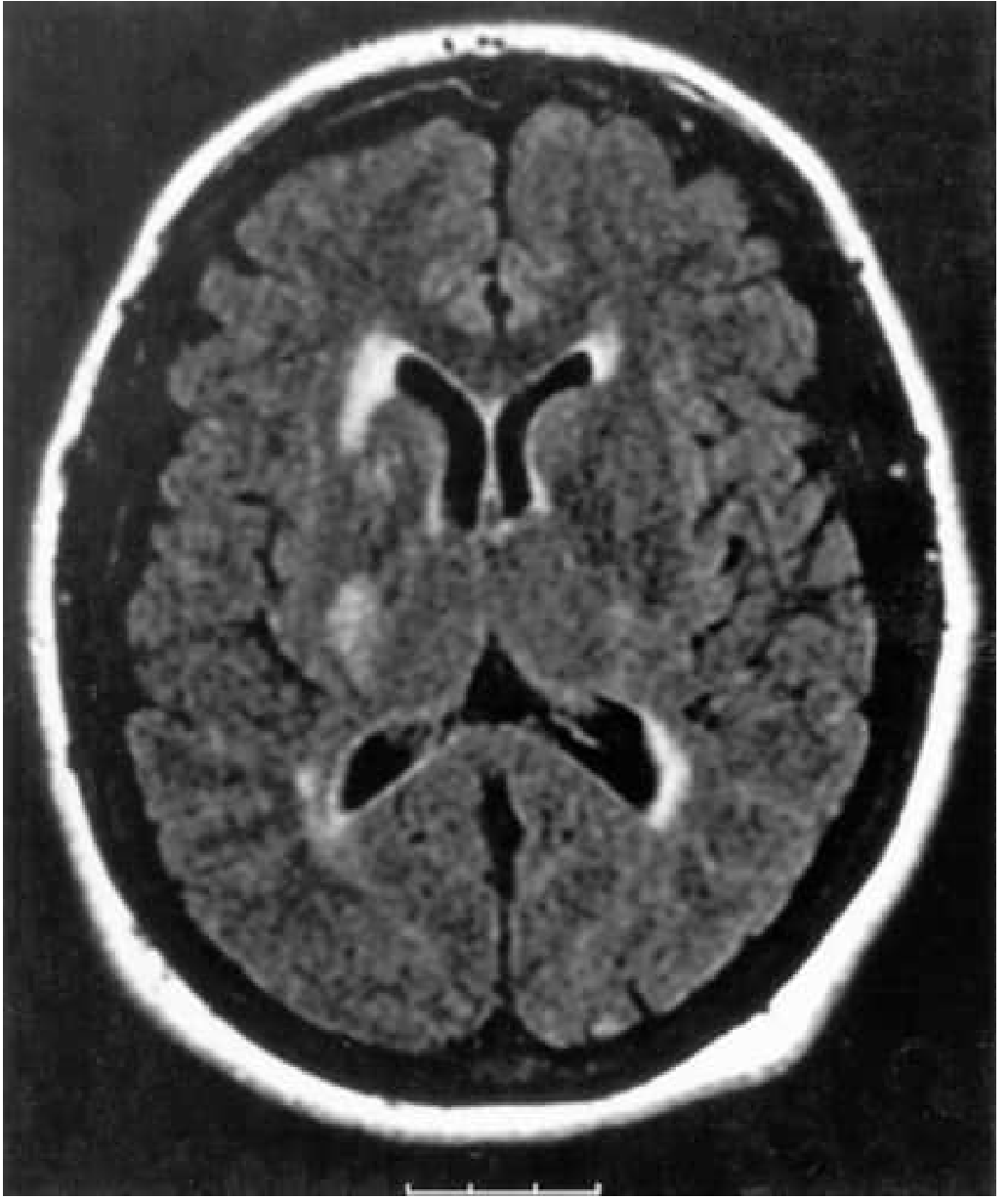
  • Infarction in the posterior limb of the internal capsule (Fig. 65.15, shown below)
Axial FLAIR MRI showing infarction in the posterior limb of the right internal capsule in the anterior choroidal artery territory
Anterior choroidal artery territory infarct in posterior limb of internal capsule — Bradley and Daroff's Neurology in Clinical Practice

2. Posterior Circulation

Posterior Cerebral Artery (PCA)

  • Contralateral homonymous hemianopia (occipital lobe) with macular sparing (if collaterals preserved)
  • Dominant: alexia without agraphia, visual agnosia, color anomia
  • Non-dominant: topographic disorientation, prosopagnosia
  • Deep branches → thalamic infarction (see below)

Vertebrobasilar System

  • Bilateral or shifting motor/sensory signs
  • Diplopia, dysarthria, dysphagia, vertigo (combination)
  • Cranial nerve palsies with contralateral limb weakness (crossed syndromes)
Lateral Medullary (Wallenberg) Syndrome — PICA territory:
  • Ipsilateral: facial pain/temperature loss, Horner's, ataxia, dysphagia
  • Contralateral: body pain/temperature loss
Basilar Artery Occlusion (catastrophic):
  • "Locked-in" syndrome, coma, quadriplegia, CN palsy

3. Thalamic Infarcts by Arterial Territory

The thalamic arteries arise from the posterior communicating artery and perimesencephalic posterior cerebral artery. Four main pedicles:
ArteryOriginThalamic TerritoryKey Deficits
Polar arteriesPosterior communicating a.Reticular, ventral anterior nucleiAmnesia, behavioral change
Paramedian thalamomesencephalicBasilar communicating (P1 PCA)Medial nuclei, centromedian, midlineAmnesia, vertical gaze palsy, hypersomnia
Thalamogeniculate pediclePCA (proximal to geniculate)Ventral caudal (VP) nucleiContralateral hemisensory loss — Déjerine-Roussy syndrome
Posteromedial choroidalPCA (just distal to PComm ostium)Pulvinar, medial geniculate, centromedianVisual/auditory disturbances, pain
The responsible arterial territory for a thalamic infarct can be inferred from the clinical syndrome.
Localization in Clinical Neurology, 8e

4. Watershed (Border-Zone) Infarcts

Occur at junctions between major arterial territories during hypoperfusion (cardiac arrest, severe hypotension):
ZoneLocationDeficit
ACA–MCA borderParasagittal frontal cortex"Man-in-a-barrel" — proximal arm > distal weakness
MCA–PCA borderTemporoparieto-occipital junctionVisual–spatial deficits, transcortical aphasia
Internal watershedPeriventricular white matterPure motor/sensory, cognitive impairment

5. Small Vessel (Lacunar) Infarcts

Occlusion of deep penetrating arteries (lenticulostriate, thalamoperforating) produces small (<1.5 cm) infarcts. Classic syndromes:
SyndromeLocation
Pure motor hemiplegiaPosterior limb internal capsule / pons
Pure sensory strokeThalamus (VPL nucleus)
Ataxic hemiparesisInternal capsule / pons
Dysarthria–clumsy handPons / genu internal capsule
Sensorimotor strokeThalamo-capsular

Summary Table: Artery → Infarct Location → Key Deficit

ArteryTerritoryHallmark Deficit
MCA (superior)Frontal + parietal operculumMotor/Broca aphasia
MCA (inferior)Temporal–parietalWernicke aphasia / neglect
ACAMedial frontalLeg > arm weakness
PCAOccipital + thalamusHemianopia ± thalamic pain
PICALateral medulla + cerebellumWallenberg syndrome
AICALateral pons + cerebellumIpsilateral facial palsy + deafness
SCASuperior cerebellumCerebellar ataxia ± CN IV
Ant. choroidalPosterior internal capsuleHemi-plegia + sensory + visual
LenticulostriateBasal ganglia / deep capsuleLacunar syndromes
Sources: Bradley and Daroff's Neurology in Clinical Practice; Localization in Clinical Neurology, 8e; Harrison's Principles of Internal Medicine 22E
This is a shared conversation. Sign in to Orris to start your own chat.