Acute Appendicitis: (Classification. Clinical presentation, diagnosis, and management. Surgical approaches, types of anesthesia, indications for drainage and tamponade of the abdominal cavity. Complications of acute appendicitis

Reading Document
Medical Text Search

acute appendicitis classification clinical presentation diagnosis management

Medical Text Search

appendicitis surgical approaches anesthesia drainage complications peritonitis

Medical Image Search

acute appendicitis pathology imaging diagnosis

GradeResponse
GradeResponse
GradeResponse
Good results. Let me now compile a comprehensive, fully synthesized answer drawing on these sources plus my own clinical knowledge.

Acute Appendicitis


1. Classification

Acute appendicitis is classified by the degree of pathological progression:
GradeStagePathology
ISimple / CatarrhalMucosal inflammation, edema, hyperemia; wall intact
IIPhlegmonous (Suppurative)Full-thickness transmural inflammation; fibrinous exudate on serosa
IIIGangrenousIschemic necrosis of the appendiceal wall; black/green discoloration
IVPerforatedPerforation of the necrotic wall; spillage of luminal contents
IVaLocalized peritonitis / Periappendiceal abscessPerforation walled off by omentum and adjacent organs
IVbDiffuse (generalized) peritonitisFree perforation into the peritoneal cavity

2. Clinical Presentation

Symptoms

  • Classic triad: periumbilical pain migrating to the right iliac fossa (RIF) over 6–12 h + nausea/vomiting + anorexia
  • Pain is continuous, worsens with movement; patient prefers to lie still
  • Low-grade fever (37.5–38.5 °C); high fever suggests perforation or abscess
  • Nausea, vomiting, constipation (or diarrhea in pelvic appendicitis)

Physical Signs

SignDescription
McBurney's point tendernessMaximum tenderness at 1/3 distance from ASIS to umbilicus
Rovsing's signPalpation of LIF causes pain in RIF (peritoneal irritation)
Psoas signExtension of right hip increases pain (retrocecal appendix)
Obturator signInternal rotation of flexed right hip causes pain (pelvic appendix)
Blumberg's signRebound tenderness in RIF
Dunphy's signIncreased pain with coughing
Guarding / RigidityInvoluntary muscle defense — indicates peritoneal involvement

Atypical Presentations

  • Retrocecal appendix (~65%): vague flank/back pain, psoas sign positive
  • Pelvic appendix: urinary frequency, rectal tenderness, diarrhea
  • Subhepatic appendix: RUQ pain mimicking cholecystitis
  • Elderly patients: blunted signs, frequently present late with perforation
  • Pregnant women: appendix displaced superiorly; pain in RUQ by 3rd trimester
  • Children: higher perforation rate due to diagnostic delay and thin omentum

3. Diagnosis

Scoring Systems

Alvarado Score (MANTRELS)
CriterionPoints
Migration of pain to RIF1
Anorexia1
Nausea/vomiting1
RIF tenderness2
Rebound tenderness1
Elevated temperature (>37.3 °C)1
Leukocytosis (WBC >10,000)2
Shift to left (neutrophilia)1
Total10
  • ≤4: appendicitis unlikely → observe/discharge
  • 5–6: equivocal → imaging required
  • 7–10: high probability → operate or confirm with CT
AIR Score and Appendicitis Inflammatory Response (AIR) score are newer alternatives used in some European guidelines.

Laboratory Findings

  • Leukocytosis (WBC >10,000/µL) in ~80%; left shift (neutrophilia)
  • CRP elevated (>10 mg/L) — rises later (6–12 h); combination of WBC + CRP increases sensitivity
  • Urinalysis: mild pyuria/hematuria (5–25%) from ureteral proximity — does not exclude appendicitis
  • Serum β-hCG in women of childbearing age (exclude ectopic pregnancy)

Imaging

According to the American College of Emergency Physicians (ACEP) Clinical Policy:
Ultrasound (US)
  • First-line in children and pregnant women
  • Findings: non-compressible, blind-ending tubular structure >6 mm outer diameter, absent peristalsis, periappendiceal fluid
  • Sensitivity ~75–90%, specificity ~85–95%
  • Operator-dependent; limited by obesity and gas
CT Abdomen/Pelvis (gold standard in adults)
  • Sensitivity 94–98%, specificity 95–99%
  • Findings:
    • Appendiceal diameter >6 mm (thickened wall, lumen distension)
    • Periappendiceal fat stranding
    • Arrowhead sign (oral contrast funnel at cecal base pointing to occluded orifice)
    • Appendicolith (calcified fecalith)
    • Phlegmon or abscess in perforated cases
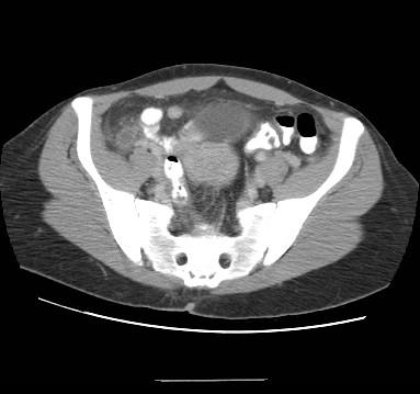
CT showing acute appendicitis — arrowhead sign, wall thickening, and periappendiceal fat stranding
Axial CT with IV/oral contrast: thickened appendix in the right iliac fossa with the arrowhead sign at the cecal base, circumferential wall enhancement, and periappendiceal fat stranding — hallmark findings of acute appendicitis.
MRI
  • Preferred in pregnant women when US is inconclusive
  • No radiation; sensitivity and specificity comparable to CT
Per ACEP guidelines, clinical prediction rules (e.g., Alvarado) can identify low-risk patients who may not require advanced imaging, but imaging (CT or US) remains the standard for equivocal cases.

4. Management

Non-Operative (Conservative) Management

  • Antibiotics-first strategy (APPAC trial, CODA trial) is a validated option for uncomplicated acute appendicitis in selected adults
  • Regimen: IV piperacillin-tazobactam or IV amoxicillin-clavulanate → oral antibiotics (5–10 days)
  • ~70% success at 1 year; ~30% will eventually require appendectomy
  • Not recommended for: perforated appendicitis, appendicolith, high-risk patients

Operative Management (Standard of Care)

  • Appendectomy remains the definitive treatment
  • Pre-operative: IV fluids, broad-spectrum antibiotics (cover gram-negatives and anaerobes), analgesia, NPO
  • Antibiotic prophylaxis: cefazolin + metronidazole (or piperacillin-tazobactam)

5. Surgical Approaches

Open Appendectomy (Laparotomy)

  • McBurney incision: oblique incision over McBurney's point (RIF) — classic approach
  • Lanz incision: transverse RIF incision — better cosmesis
  • Lower midline / right paramedian incision: used when diagnosis is uncertain or diffuse peritonitis is present
Technique: exteriorize appendix → ligate mesoappendix → ligate base with purse-string suture or simple ligation → appendix excised → stump invaginated or buried.

Laparoscopic Appendectomy (Preferred in Most Centers)

Three-port technique (umbilical camera port + 2 working ports)
Advantages over open:
  • Less postoperative pain
  • Shorter hospital stay
  • Faster return to normal activity
  • Lower wound infection rate
  • Better visualization for obese patients and uncertain diagnoses (Harrison's, p. 9193)
Disadvantages:
  • Higher incidence of intraabdominal abscess post-perforation (some studies)
  • Requires general anesthesia (cannot be done under spinal)
  • Longer OR time

Single-Incision Laparoscopic Surgery (SILS) / NOTES

  • Experimental/specialized centers; cosmetically superior, no clear outcomes benefit

6. Types of Anesthesia

Anesthesia TypeDetails
General anesthesia (GA)Standard for both laparoscopic and open appendectomy; allows muscle relaxation and airway control; risk approximates 0.1–0.5% mortality (Harrison's, p. 9193)
Spinal (subarachnoid) anesthesiaApplicable for open appendectomy (McBurney/Lanz); level T4–T6 required; option in patients with contraindications to GA (respiratory disease, difficult airway); used in resource-limited settings
Epidural anesthesiaLess commonly used; can supplement GA; useful for postoperative analgesia
Local anesthesiaRarely used; possible for very high-risk patients undergoing open appendectomy under specific circumstances
Choice considerations: GA is universal for laparoscopic approach. Spinal anesthesia is a viable alternative for open appendectomy, particularly where GA carries excessive risk.

7. Indications for Drainage and Tamponade of the Abdominal Cavity

Periappendiceal Abscess

  • Percutaneous CT/US-guided drainage: first-line for well-defined abscess (>3 cm)
  • Followed by interval appendectomy 6–8 weeks later (though this is debated — some do not require interval appendectomy if no appendicolith)
  • IV antibiotics as bridge therapy

Intraoperative Drainage Indications

  • Localized peritonitis with abscess: drain placed at time of appendectomy
  • Perforated appendicitis with contamination: thorough peritoneal lavage (warm saline 3–5 L), suction drainage
  • Ongoing soilage / complex phlegmon: closed-suction drain (e.g., Jackson-Pratt) left in the abscess cavity

Tamponade (Gauze Packing / Omental Tamponade)

  • Used when bleeding from the mesoappendix or appendiceal bed cannot be fully controlled
  • Omental packing used to wall off a necrotic/phlegmonous base that cannot be safely resected (rare)
  • "Damage control" approach in severely unstable patients: pack and re-look in 24–48 h
  • Indications:
    1. Uncontrolled hemorrhage from the mesoappendix/cecal base
    2. Severe fecal contamination requiring staged laparotomy
    3. Diffuse gangrenous peritonitis with hemodynamic instability — pack, close, ICU resuscitation, re-operation

Peritoneal Lavage

  • Performed in diffuse peritonitis (Grade IVb): copious irrigation with warm saline to reduce bacterial load
  • Controversial in localized perforation: lavage may spread contamination

8. Complications of Acute Appendicitis

Early Complications

ComplicationNotes
PerforationOccurs in 20–30% overall; higher in elderly and children; gangrenous wall ruptures, leading to peritonitis
Periappendiceal abscessPerforation walled off by omentum; palpable RIF mass (Plastron); treated with drainage ± interval appendectomy
Local peritonitisConfined to RIF; treated with appendectomy + lavage
Diffuse peritonitisFree perforation; surgical emergency; high mortality
Sepsis / Septic shockSystemic response to bacterial peritonitis; requires ICU management
Portal pylephlebitisSeptic thrombophlebitis of the portal vein; rare but life-threatening; presents with high fever, jaundice, hepatic abscesses

Postoperative Complications

ComplicationIncidenceManagement
Wound infection3–5% (simple), up to 20% (perforated)Wound opening, antibiotics
Intraabdominal abscess2–5%; higher after laparoscopy in perforated casesPercutaneous drainage; antibiotics
IleusCommonConservative — NGT, mobilization
Stump appendicitisRare — inflammation of retained stumpRe-operation
Bowel obstructionAdhesion formation; can occur months–years laterConservative → surgical lysis of adhesions
Fecal fistulaDehiscence of appendiceal stumpMost close spontaneously; surgical repair if persistent
HemorrhageMesoappendix slippageRe-operation

Chronic / Long-term Complications

  • Adhesive intestinal obstruction (small bowel obstruction from adhesions)
  • Infertility in women (right-sided pelvic adhesions following perforation)
  • Hernia at incision site (especially McBurney)
  • Chronic right iliac fossa pain / "stump appendicitis"

Mortality

  • Uncomplicated appendicitis: 0.1–0.5% (approximates the risk of general anesthesia alone)
  • Perforated appendicitis: 3% overall, up to 15% in the elderly (Harrison's, p. 9193)

Summary Algorithm

Suspected Acute Appendicitis
        ↓
Clinical assessment + Alvarado score
        ↓
Score ≥7 → Operate (or CT to confirm)
Score 4–6 → CT scan
Score ≤3 → Observe / alternative diagnosis
        ↓
Imaging confirms appendicitis?
        ↓
Uncomplicated → Laparoscopic appendectomy (or antibiotics if patient chooses)
Perforated + abscess → Percutaneous drainage + interval appendectomy
Perforated + diffuse peritonitis → Emergency appendectomy + peritoneal lavage ± drain

Sources: Harrison's Principles of Internal Medicine, 21st Edition (p. 9193); ACEP Clinical Policy: Evaluation and Management of Emergency Department Patients with Suspected Appendicitis; MedPix imaging database.
This is a shared conversation. Sign in to Orris to start your own chat.