Chronic eosinophil pneumonia Full details for md exam answer 15 marks

Reading File
Finding Sources
Finding Sources
Finding Sources
Reading File
Finding Sources
Reading File
Reading File
Reading File
Reading File
Reading File
Reading File
Reading File
Reading File
Reading File
Reading File
Reading File
Reading File
Reading File
Loading Image
Loading Image
I now have all the comprehensive information needed. Let me compile the full 15-mark MD exam answer.

Chronic Eosinophilic Pneumonia (CEP)

Also called Idiopathic Chronic Eosinophilic Pneumonia (ICEP)

1. Definition and Introduction

Chronic eosinophilic pneumonia (CEP) is a rare idiopathic disorder characterized by a protracted, progressive accumulation of eosinophils in the lung parenchyma — within alveolar spaces, alveolar septa, and interstitium — without an identifiable cause such as parasitic infection or drug exposure. First described in detail by Carrington et al. (1969), it is the most frequent cause of eosinophilic pneumonia in Western countries.

2. Epidemiology

FeatureDetail
SexPredominantly women (F:M ratio ≈ 2:1)
AgeHighest incidence in the fourth decade; rare before age 20
SmokingVast majority are non-smokers
AtopyPrior history of atopy in ~50% (allergic rhinitis, drug allergy, nasal polyps, eczema)
AsthmaPresent in ~65% at diagnosis; develops concurrently in 15%, and may appear after CEP in 13%
Murray & Nadel's Textbook of Respiratory Medicine

3. Etiology and Pathogenesis

The precise etiology is unknown. Current understanding implicates a Th2-skewed immune response:
  • Elevated IL-5, IL-4, and IL-13 in BAL fluid drives eosinophilopoiesis and recruitment
  • Eotaxin and RANTES (CCL-5) are elevated in BAL, attracting eosinophils to the lung
  • Type 2 helper T (Th2) cells are central to disease perpetuation, explaining the chronic, relapsing course
  • Elevated IgE levels in ~50% of patients
  • Dysregulated eosinophilopoiesis — IL-5 is the key cytokine in eosinophil maturation and survival
Fishman's Pulmonary Diseases and Disorders; Harrison's Principles of Internal Medicine 22E

4. Clinical Features

Symptoms develop progressively over weeks to months (mean interval from onset to diagnosis: several weeks to 4 months). The spectrum ranges from asymptomatic to respiratory failure.
Respiratory symptoms:
  • Cough (usually dry)
  • Progressive dyspnea (usually not severe initially, but respiratory failure can occur)
  • Chest pain
  • Wheezing (one-third of patients)
  • Crackles on auscultation (38%)
  • Hemoptysis (rare, <10%)
Constitutional symptoms:
  • Fever, night sweats
  • Weight loss (>10 kg in ~10%)
  • Fatigue, malaise, anorexia, weakness
Upper respiratory tract: Chronic rhinitis or sinusitis in ~20%
Murray & Nadel's; Goldman-Cecil Medicine

5. Laboratory Findings

TestFinding
Blood eosinophilsElevated in 66–95% of cases; typically >1000/mm³ (>6–30% of differential); absent in up to 1/3 at initial evaluation
Mean eosinophil %Generally >20% of differential; mean blood eosinophilia often >5×10⁹/L
CRP / ESRElevated
Total IgEElevated in ~50%; >1000 IU/mL in 15%
FeNOElevated (proposed for monitoring)
FBCNormochromic normocytic anemia; thrombocytosis may be present
BAL eosinophils>40% (range 12–95%); mean ~38–58%; >40% is most consistent with ICEP
Sputum eosinophiliaMay be present
Key point: Absence of peripheral eosinophilia does not exclude the diagnosis.
Fishman's; Murray & Nadel's

6. Imaging

Chest Radiograph

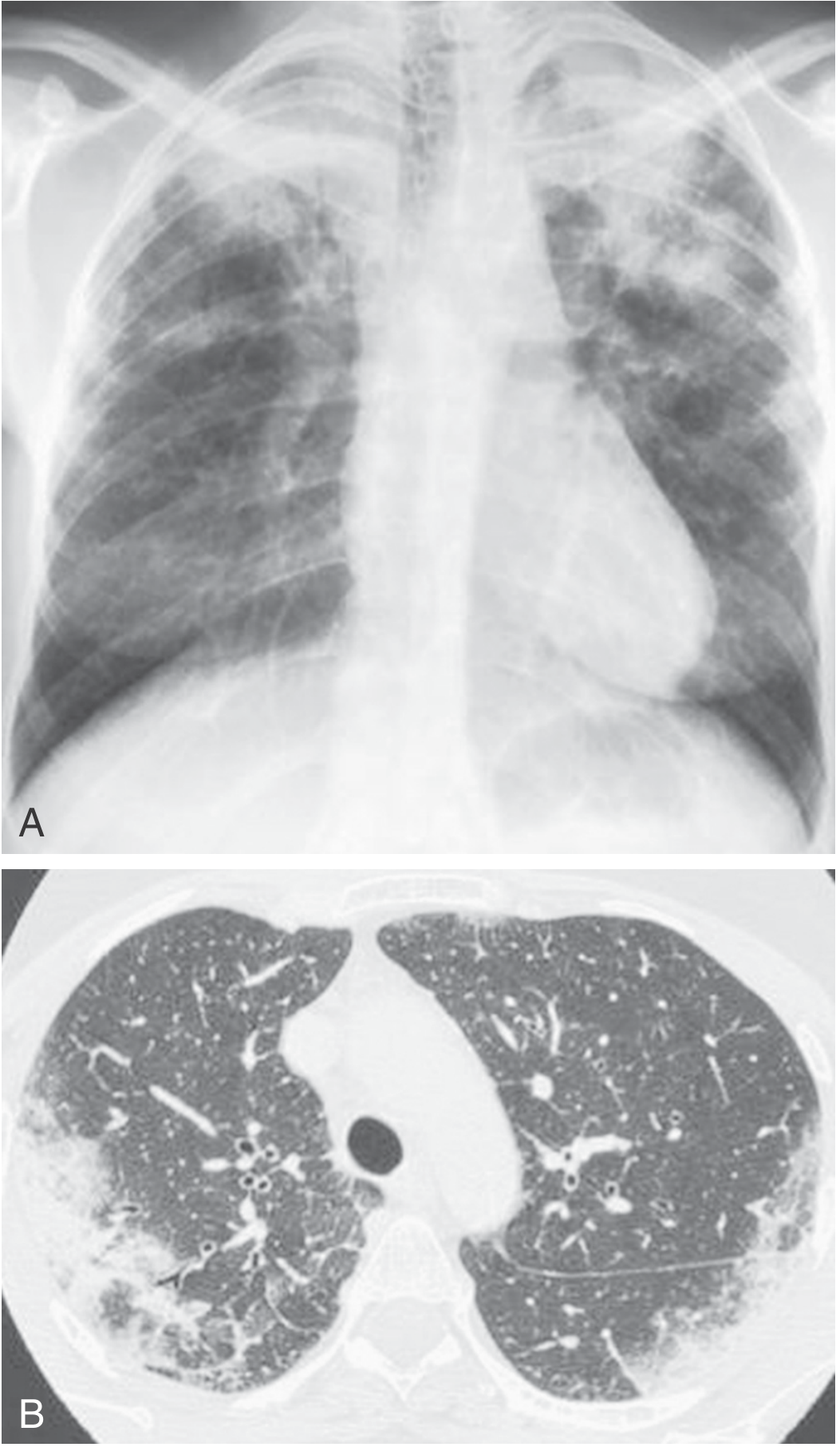
  • Peripheral, patchy, non-segmental areas of consolidation, predominantly in mid and upper lung zones
  • The classic "photographic negative of pulmonary edema" (Gaensler & Carrington sign): dense peripheral opacities paralleling the chest wall, with a clear central zone — seen in only 25–50% of cases
  • Infiltrates are typically bilateral, non-segmental, subsegmental, or lobar
  • May be migratory in up to 25% of cases
  • Pleural effusions and cavitation are rare

HRCT (more sensitive and specific)

  • Bilateral peripheral opacities in up to 97.5% of cases on HRCT (vs. ~50% on CXR)
  • Predominantly upper-lobe distribution
  • Both ground-glass opacity and consolidation coexist
  • Septal line thickening is common
  • Mediastinal lymphadenopathy may be present
  • With treatment: consolidation rapidly diminishes → transforms to ground-glass → then streaky/bandlike opacities parallel to chest wall → resolves
Distinguishing from organizing pneumonia (COP): CEP has peripheral opacities without nodules; nodules are seen in 32% of COP but only 5% of CEP.
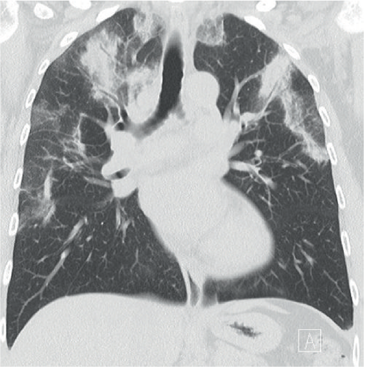
Coronal CT showing "photographic negative of pulmonary edema" pattern — bilateral upper-zone peripheral consolidation in CEP
Fig: Coronal CT reconstruction — upper-zone peripheral airspace opacification paralleling the chest wall in CEP (Grainger & Allison's Diagnostic Radiology)
CXR showing bilateral upper-lobe alveolar opacities (A) and axial HRCT showing bilateral symmetrical peripheral opacities (B) in ICEP
Fig: CXR (A) bilateral upper-lobe opacities; HRCT (B) symmetrical peripheral opacities in ICEP (Murray & Nadel's)
Grainger & Allison's Diagnostic Radiology; Murray & Nadel's; Fishman's

7. Pulmonary Function Tests

  • Obstructive ventilatory defect in ~50% (more common in asthmatics)
  • Restrictive physiology in the other ~50% (due to parenchymal infiltration)
  • Reduced DLCO (diffusing capacity) in some; transfer coefficient (DLCO/VA) impaired in only 1/4
  • Elevated alveolar-arterial oxygen gradient in 90%
  • PaO₂ ≤75 mmHg in 64%
  • PFTs normalize rapidly after treatment in most patients
  • A persistent obstructive defect may develop in 1/3 over time, especially in those with high BAL eosinophilia

8. Pathology

Lung biopsy is rarely required when BAL has been performed. When done:
  • Alveolar spaces and alveolar septa: Predominantly eosinophilic infiltrates with macrophages, lymphocytes, occasional plasma cells, and multinucleated giant cells
  • Fibrinous exudate within alveoli
  • Eosinophilic microabscesses may be present
  • Focal edema of capillary endothelium; focal type II pneumocyte hyperplasia
  • Basal lamina may be disrupted but frank alveolar necrosis is absent (unlike AEP)
  • Mild non-necrotizing microangiitis of small venules in some cases
  • Proliferative bronchiolitis obliterans/BOOP pattern in up to 1/3 of cases
  • Lymph nodes: lymphoid hyperplasia and eosinophil infiltration
Fishman's Pulmonary Diseases and Disorders

9. Diagnostic Criteria (Carrington Criteria / Current Consensus)

Diagnosis of CEP is based on all of the following:
  1. Compatible clinical presentation — progressive cough, dyspnea, constitutional symptoms over weeks to months
  2. Peripheral opacities on chest imaging (radiograph or CT)
  3. BAL eosinophilia >25% (most consistent when >40%)
  4. Exclusion of known causes: parasitic infection, drug-induced, TB, fungal, sarcoidosis, ABPA, EGPA, organising pneumonia
  5. Dramatic response to corticosteroids — considered near-diagnostic
A surgical lung biopsy is rarely required. Because of profound steroid responsiveness, a therapeutic trial of steroids is itself diagnostically informative.

10. Differential Diagnosis

ConditionDistinguishing Feature
Acute eosinophilic pneumonia (AEP)Acute onset, respiratory failure, BAL eos >25% but blood eosinophilia absent at onset, no relapse after treatment
Eosinophilic granulomatosis with polyangiitis (EGPA/Churg-Strauss)Systemic vasculitis, ANCA positive in 30–40%, multiorgan involvement
Organizing pneumonia (COP)Nodules more common; less peripheral eosinophilia
ABPAAsthma/CF, Aspergillus sensitization, central bronchiectasis
Drug-induced eosinophilic pneumoniaDrug exposure history
Parasitic infections / Loeffler syndromeParasitic exposure, migratory eosinophilia
SarcoidosisBilateral hilar adenopathy, non-caseating granulomas, less eosinophilia

11. Treatment

Corticosteroids — Mainstay of Therapy

Initial regimen:
  • Oral prednisone 0.5 mg/kg/day (typically 40–60 mg/day)
  • Continue until 2 weeks after resolution of symptoms and radiographic abnormalities (~4–6 weeks)
  • Then taper slowly by 0.25 mg/kg/d over 8 weeks
  • Total treatment duration: optimally 6–9 months (minimum 3 months)
Response timeline:
TimeframeResponse
6 hoursFever resolves
24–48 hoursDyspnea, cough, blood eosinophilia improve
2–3 daysHypoxemia resolves
1–2 weeksRadiographic improvement
2–3 weeksComplete symptom resolution
~2 monthsChest radiograph normalizes
This rapid, dramatic response is considered near-diagnostic — failure to respond should prompt reconsideration of diagnosis.

Steroid-Sparing / Biologic Agents

Used when steroids are not tolerated, in relapsing disease, or to reduce steroid dose:
  • Mepolizumab (anti-IL-5): associated with fewer relapses, improved imaging, reduced oral steroid dose
  • Benralizumab (anti-IL-5 receptor antagonist): reports of success in relapsed/refractory disease
  • Omalizumab (anti-IgE): steroid-sparing in cases with elevated IgE/allergic sensitization
  • Inhaled corticosteroids: not adequate as monotherapy; may have a role in reducing relapses, especially in asthmatics
Fishman's; Murray & Nadel's

12. Prognosis and Relapse

  • Prognosis is generally favorable; mortality directly from CEP is very rare
  • Relapse rate is high: 50–80% when steroids are tapered or discontinued
  • Relapses may occur in the same or different anatomic distribution
  • Up to 50% require long-term maintenance prednisone (2.5–10 mg/day)
  • Some patients require 1–3 years of initial steroid treatment
  • Relapses respond well to resuming prednisone ≥40 mg/day
  • Asthma often worsens after diagnosis of ICEP; may require long-term oral steroids
  • Persistent obstructive ventilatory defect develops in 1/3 over time
  • If left untreated, may result in pulmonary fibrosis
Key contrast with AEP: AEP does NOT relapse after treatment is stopped; CEP has a high relapse rate.

Summary Table: CEP vs AEP

FeatureCEP (ICEP)AEP (IAEP)
OnsetWeeks to monthsDays (<1 month)
SexWomen (2:1)Young men (20–40 yr)
SmokingNon-smokersOften recent smokers
FeverMild to moderateHigh fever
Respiratory failureRare initiallyCommon, may need ventilation
Blood eosinophiliaPresent in 66–95%Usually absent at onset
BAL eosinophils>40%>25%
CXR/CTPeripheral upper-zone consolidationBilateral diffuse ground-glass ± effusions
Pleural effusionRareCommon (up to 65–70%)
Response to steroidsDramatic, but high relapseDramatic, no relapse
PrognosisGood; relapses commonExcellent; no relapse

Sources: Goldman-Cecil Medicine, International Edition; Murray & Nadel's Textbook of Respiratory Medicine; Fishman's Pulmonary Diseases and Disorders; Grainger & Allison's Diagnostic Radiology; Harrison's Principles of Internal Medicine 22E (2025)
This is a shared conversation. Sign in to Orris to start your own chat.